Ветеринария/1.Ветеринарная
медицина
К.в.н.
Баркова А.С., д.в.н. Колчина А.Ф.
Уральская
государственная сельскохозяйственная академия, Россия
Ультразвуковая диагностика
заболеваний молочной железы у коров
Ультразвуковое сканирование
является наиболее информативным диагностическим методом и в настоящее время
выходит на ведущее место в клинических исследованиях в ветеринарной практике.
Одним из преимуществ
ультразвуковой диагностики является возможность получения в течение одного
исследования множества проекций исследуемых органов и тканей, что обеспечивает
получение большого количества информации о протекающих в них патологических
процессах [2, 3]. При заболеваниях вымени отмечается множество изменений в его
паренхиме и других структурах, которые могут быть выявлены методом
ультразвуковой диагностики [1, 4]. В то же время, в исследовании молочной
железы коров этот метод применяется необоснованно мало.
Целью нашего исследования было
изучение эффективности метода ультразвукового сканирования для дифференциальной
диагностики заболеваний молочной железы у высокопродуктивных коров.
Материал и методы. Работа выполнена в 2011-2012
годах в одной из сельхозорганизаций Свердловской области с высокой производственной
интенсивностью, на коровах со среднегодовой молочной продуктивностью 7800 кг.
Уровень заболеваемости коров клиническим маститом в среднем по стаду составляет
5,9% в месяц, а скрытым маститом – 6,3%.
Исследования проведены с
использованием ультразвукового ветеринарного сканера Ecoson ES-900V. В данном устройстве для получения качественного
изображения представлено цифровое формирование луча, 4-секторная динамическая
фокусировка, динамическое сканирование частоты, контроль TGC и фильтрация волн. При проведении ультразвукового
сканирования нами были использованы линейный датчик 5-7,5 МГц – для
исследования молочной цистерны и конвексный датчик 2,5-5 МГц – для изучения
паренхимы молочной железы.
Для
исследования отбирали животных имеющих воспалительный процесс в одной из четвертей
молочной железы. Оценку состояния вымени проводили общепринятыми методами.
Сканировали вымя в период между доением коров. Участки кожи в области молочного
зеркала и на боковой поверхности вымени с обеих сторон тщательно очищали от загрязнения, при необходимости
удаляли шерстный покров и обрабатывали этиловым спиртом для удаления кожного
сала. Затем поверхность
молочной железы обильно смачивали водой, а непосредственно на головку датчика
наносили слой акустического геля. Трансдуктор помещали перпендикулярно коже
исследуемого участка вымени и изменяли направление колебаний звукового луча до
получения оптимального изображения, а затем «замораживали» его.
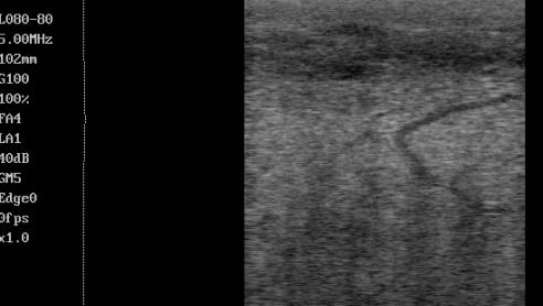
Результаты
исследований. Анализ полученных
данных и последующая обработка эхограмм показали, что ультрасонографически
текстура паренхимы здоровой молочной железы лактирующей коровы имеет
гипоэхогенную однородную структуру. Кровеносные сосуды и молочные ходы
идентифицируются в виде анэхогенных каналов, как в продольном, так и в
поперечном сечении. Молочные ходы, в отличие от кровеносных сосудов, не имеют
выраженных эхогенных стенок и отличаются более искривленными траекториями (рис.
1).
При ультразвуковом сканировании молочной
железы коров, больных катаральным маститом, в пораженной области наблюдается
незначительное повышение эхогенности всей паренхимы исследуемой честверти. В
целом сонографическая картина пораженной паренхимы характеризуется выраженной
неоднородностью. Визуализируются отдельные очаги повышенной эхогенности.
Отмечается резкое увеличение просвета молочных протоков с одновременным
утолщением их стенок. В просвете расширенных молочных ходов и молочной цистерне
выявляются хлопья казеина в виде эхогенных включений. Наблюдается значительное
усиление сосудистого рисунка, кровенаполнение сосудов (рис. 2-3.).

Рисунок 1 – Эхограмма паренхимы молочной железы
здоровой коровы.

Рисунок 2 – Эхограмма
паренхимы молочной железы коровы больной катаральным маститом.

Рисунок 3 – Эхограмма полости
молочной цистерны коровы
с эхогенными включениями при
катаральном мастите.
При исследовании коров с клиническими
признаками гнойно-катарального мастита нами было зарегистрировано повышение
общей эхогенности паренхимы пораженной четверти. Кроме того, отмечается также
наличие увеличенных в диаметре молочных ходов (рис. 4).

Рисунок 4 – Эхограмма
паренхимы молочной железы при
гнойно-катаральном мастите.
При ультразвуковом сканировании паренхимы
вымени удаётся диагностировать множественные глубоко расположенные абсцессы,
которые визуализируются в виде округлых отграниченных от окружающих тканей
бразований овальной или округлой формы с выраженными стенками и
умеренно-эхогенным содержимым с гипоэхогенным центром (рис. 5)

Рисунок 5 – Эхограмма
паренхимы вымени при множественных глубокорасположенных абсцессах.
После исчезновения симптомов
гнойно-катарального мастита в паренхиме молочной железы сохраняются
патологические изменения. При ультразвуковом сканировании лактирующей коровы
выявляется очаговое расширение молочных протоков в нижней трети вымени и
значительное усиление рисунка молочных ходов в верхней трети молочной железы,
что может быть связано с застойными процессами в органе (рис 6-7).

Рисунок 6 – Эхограмма нижней
трети четверти вымени
со значительно расширенным
молочным протоком.

Рисунок 7 – Эхограмма верхней
трети молочной железы после
гнойно-катарального мастита с
выраженным рисунком
молочных протоков.
При индурации четверти вымени наблюдается
изменение нормальной ровной эхоструктуры. Рисунок паренхимы приобретает
мозаичность. В поле зрения отсутствуют выраженные анэхогенные каналы,
представляющие кровеносные сосуды и молочные ходы. Кровеносные сосуды
представлены в виде нитевидных анэхогенных образований (рис. 8).

Рисунок 8 – Эхограмма
паренхимы четверти вымени с индурацией.
Выводы. Использование ультразвукового сканирования для
исследования молочной железы у коров позволяет диагностировать изменения в
паренхиме органа, связанные с воспалительными процессами, выявлять очаговые образования, оценивать
плотность и структуру паренхимы молочной железы, наличие молочных конкрементов,
состояние молочных ходов и кровеносных сосудов вымени. Данный метод дает
возможность установить степень повреждения тканей, уточнить локализацию
патологического процесса, а также оценить эффективность проведенного лечения.
Литература
1. Дроздова Л.И. Видовая, возрастная, типовая и породная
морфология молочной железы животных в норме и патологии / Л.И. Дроздова, С.Г.
Сайко. Екатеринбург: Изд. УрГСХА, 2007. 144 с.
2. Flöck M. and Winter P. Diagnostic ultrasonography in cattle with
diseases of the mammary gland. Vet. J.
2006. V. 171. P. 314–321.
3. Franz S., Floek M. and Hofmann-Parisot M. Ultrasonography of the bovine
udder and teat. Vet. clin. north am.
food anim. pract. 2009. V. 25.
P. 669–685.
4. Trinidad P., Nickerson S. C. and Adkinson R. W. Histopathology of
staphylococcal mastitis in unbred dairy heifers. J. Dairy Sci.
1990. V. 73 P. 639–647.