Нестеренко А.А. к.т.н. Решетняк
А.И.
Кубанский государственный аграрный университет, Краснодар,
Россия
Действие электромагнитного поля низких частот на мясное
сырье
Анализ литературных
данных свидетельствует о том, что сегодня одним из перспективных направлений
интенсификации технологического процесса производства сырокопченых колбас
является применение электромагнитного поля низких частот (ЭМП НЧ). Однако
применение ЭМП НЧ связано с необходимостью изучения выбора оптимальных частот,
безопасности для человека, применения ЭМП НЧ на производстве, изучению действия
ЭМП НЧ на стартовые культуры и мясное сырье.
Целью данной работы является
гистологическое изучение влияния низкочастотной обработки на мышечную ткань
свинины и говядины.
При действии ЭМП НЧ с частотой 100 Гц и продолжительностью 30 минут
мышечная ткань свинины характеризуется содержанием многочисленных, несколько
больших в области межпучковых пространств и перимизия, светлыми пространствами,
и ассоциированием с соединительнотканными структурами мышечного каркаса. Между
мышечными волокнами располагается незначительно развитый соединительнотканный
каркас мышц. Отмечается существенно более развитые процессы деструктивных
изменений, сопровождающиеся повреждениями сарколеммы и фрагментацией мышечных
волокон. Небольшая часть мышечных волокон характеризуется значительными
поперечно-щелевидными нарушениями целостности и разрывами. Наряду с первичными
пучками с рыхлым расположением волокон встречаются уплотненные пучки мышечных
волокон. Степень деформации самих мышечных волокон ограниченная (рис. 1).



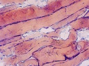
Рисунок 1 – Продольный срез мышечных волокон свинины охлажденной. Поперечные трещины и фрагментация. Окр. гематоксилин-эозин. УВ. ×200. (1 – разрывы эпимизия; 2 – фрагментация мышечных волокон)
Мышечные волокна достаточно часто разобщаются за счет появления вокруг них светлого не окрашиваемого гематоксилином и эозином пространства или же тесно сближены между собой. Между мышечными волокнами, преимущественно в областях перимизия, встречаются небольшие группы жировых клеток, имеющие различные размеры. Мышечные волокна характеризуются умеренной извитостью с выраженными проявлениями процессов созревания и автолиза, выражающихся в многочисленных поперечно-щелевидных нарушениях целостности и разрывах. При этом ядра хорошо окрашиваются, в некоторых случаях локализованы в не типичных для мышечной ткани местах.
При анализе на уровне световой микроскопии говядины охлажденной после электромагнитной обработки с частотой 100 Гц и продолжительностью 30 минут установлено следующее: на продольных срезах в мышечных волокнах выявляется неотчетливая поперечная исчерченность, а в некоторых участках она сменяется на продольную. На фоне преобладающей линейной формы мышечных волокон можно обнаружить умеренно волнистые волокна или же их фрагменты. Сарколемма не сохраняет свою непрерывность на большом протяжении мышечных волокон, разрывы и деструкция мышечных волокон обнаруживаются достаточно часто. На поперечных срезах форма мышечных волокон полигональная, с ограниченной округленностью или же округлая (рис. 2).



Рисунок 2 – Продольный срез мышечных волокон говядины. Окр. гематоксилин-эозин. УВ. ×200. (1 – разрыхленные миофибриллярные пучки; 2– фрагментация мышечных волокон)
Компоновка отдельных волокон в первичном пучке довольно рыхлая, с заметным светлым пространством в области эндомизия. Не всегда хорошо различима граница между отдельными мышечными волокнами. Ядра клеток соединительной ткани и мышечных волокон в большинстве случаев овальные, с нечетко выделяющимся хроматином, располагаются непосредственно под сарколеммой. Деструктивные изменения в мышечной ткани в результате электромагнитного воздействия выражены достаточно значительно (рис. 3).

Рисунок 3 – Продольный срез фрагментированных мышечных волокон. Мышечные волокна говядины. Окр. гематоксилин-эозин. УВ. ×200.
Установлено, что при обработке ЭМП НЧ говядины и свинины с частотой 100 Гц и продолжительностью 30 минут мышечная ткань характеризуется существенными структурными изменениями, выраженными частичным или полным разрушением мышечных волокон. При этом значение рН обоих образцов мышечной ткани смещается в кислую сторону, уменьшается влагосвязывающая способность, изменяется масса испытуемых образцов и снижается микробиологическая обсемененность сырья.
Выводы.
При обработки ЭМП с частотой 100 Гц приводит к более значительным изменениям мышечной структуры. По нашему предположению данные изменения происходят за счет достижения резонанса внутренней частоты клетки и внешнего воздействия на нее. Нарушения целостности клеточной структуры могут привести к изменению рН ткани и изменению белкового состава ткани.
Литература:
1. Пат. 2489025 РФ МПК А23В 4/01. Способ обработки мясного сырья / Решетняк, А. И., Бебко, Д. А., Нестеренко, А. А., Бессалая, И. И.; заявитель и патентообладатель ФГБОУ ВПО «Кубанский государственный аграрный университет». – № 2011151958/13; заявл. 19.12.2011., опубл. 10.08.2013, Бюл. № 22. – 6 с.
2. Пат. 2489886 РФ МПК А23В 4/01. Устройство для обработки мясного сырья / Решетняк, А. И., Бебко, Д. А., Нестеренко, А. А., Бессалая, И. И.; заявитель и патентообладатель ФГБОУ ВПО «Кубанский государственный аграрный университет». – № 2011151957/13; заявл. 19.12.2011., опубл. 20.08.2013, Бюл. № 23. – 6 с.