к. мед. н. Семенов К.А.
ГУ
«Днепропетровская медицинская академия Министерства здравоохранения Украины»,
кафедра стоматологии ФПО.
НОРМАЛИЗАЦИЯ ОККЛЮЗИОННЫХ
ВЗАИМООТНОШЕНИЙ В ЗУБНЫХ РЯДАХ – ОСНОВНОЙ ЭТАП ЛЕЧЕНИЯ ЗАБОЛЕВАНИЙ ВИСОЧНО -
НИЖНЕЧЕЛЮСТНОГО СУСТАВА.
Резюме
Рассмотрен клинический
пример лечения пациента с хроническим травматическим артритом
височно-нижнечелюстного сустава, возникшим вследствие нарушения пространственных
взаимоотношений зубов верхней и нижней челюстей.
Лечение и наблюдение за
пациентом проводилось на протяжении двух лет и включало в себя медикаментозные,
хирургические, терапевтические, а также ортопедические этапы работы, которые
были направлены на устранение болевых ощущений в области височно-нижнечелюстных
суставов и восстановление окклюзионных взаимоотношений зубных рядов.
Проведенные лечебные мероприятия были нацелены на достижение нормализации
функциональной активности зубочелюстного аппарата путем восстановления
равномерности распределения окклюзионных нагрузок.
Ключевые слова: Пациент, лечение, хронический травматический артрит височно – нижнечелюстного сустава.
Semenov K.A. (Candidate of
Medical Sciences)
The State Establishment
“DNIPROPETROVSK MEDICAL ACADEMY
of the Ministry of Health of
Ukraine”,
Department of Dentistry, Faculty
of Postgraduate Education.
NORMALIZATION
OF OCCLUSIONAL RELATIONSHIPS WITHIN DENTITIONS AS THE MAIN STAGE OF TREATMENT
OF DISORDERS OF TEMPOROMANDIBULAR JOINT
Abstract
Clinical example of treatment of a patient with chronic traumatic
arthritis, which arose as a result of disorder in the occlusal
relationships of the teeth of the upper and lower jaws, is a subject of
consideration.
Treatment and monitoring of the patient were carried out for two years
and included medical, surgical, therapeutic, as well as orthopedic stages, which
contributed to the elimination of pain in the temporomandibular
joints and
restoration of occlusal relationships within
dentitions. Treatment measures were aimed at normalization of functional
activity in the dentofacial apparatus by restoration
of uniform distribution of occlusal loads.
Keywords:
Patient treatment, chronic traumatic arthritis of temporomandibular joint.
Движения нижней челюсти
происходят в результате сложного взаимодействия жевательных мышц, височно –
нижнечелюстных суставов и зубов, координируемого и контролируемого центральной
нервной системой. Рефлекторные и произвольные движения нижней челюсти регулируются
нервно – мышечным аппаратом.
Височно – нижнечелюстной
сустав обеспечивает фиксацию нижней челюсти по отношению к верхней в дистальном
положении и создает направление для ее движений в определенных пределах трех
плоскостей: сагиттальной, трансверзальной и
вертикальной.
Зубы также образуют
направляющие плоскости для движения нижней челюсти вперед и в левую, а также
правую стороны в соответствии контактам зубных рядов.
Гармоничное
взаимодействие суставов и зубных рядов приводит к оптимальному функционированию нервно –
мышечного аппарата. При нормальной функции жевательного аппарата, мышцы,
составляющие его, работают согласованно и слажено. Это позволяет нижней челюсти
выполнять произвольные и рефлекторные движения в пределах границ ее движения, а
также осуществлять такие функции, как жевание, глотание, произношение звуков.
Чаще всего причиной
отсутствия функционального равновесия зубочелюстного аппарата является
нарушение соотношений зубов в зубном ряду или их неправильное положение, а
также повреждения нервно – мышечного компонента. Правильный межбугорковый
контакт между зубами при стабильном вертикальном и горизонтальном расположении
нижней челюсти является необходимым условием для достижения функциональной
гармонии. Его нарушение препятствует плавному движению нижней челюсти вперед и
в стороны. Такое состояние называют «дисгармонией окклюзии», в результате
которой может изменяться и нарушаться функциональная согласованность нервно –
мышечного аппарата. [1].
В последние годы возросло
количество пациентов с заболеваниями височно - нижнечелюстного сустава (ВНЧС).
Интерес у специалистов к этой патологии остаётся довольно высоким, т.к. многие
аспекты данной проблемы до настоящего времени остаются спорными и недостаточно
изученными. Наиболее частой патологией ВНЧС являются артриты, артрозы и
мышечно-суставная дисфункция [Тимофеев А. А., Максимча С. В., Новинский В. П.
2012, Маргунская В. А., Людчик Т. Б. 2012]. [6,7]
Височно-нижнечелюстной сустав является парным
и синхронно работающим. Неравномерная нагрузка двигательной части жевательного
аппарата считается одним из основных факторов развития дисфункции ВНЧС.
Имеется много
клинических, рентгенологических и миографических исследований, указывающих на
то, что в этиологии данного нарушения значительную роль играют асимметричные
контакты зубов-антагонистов, которые приводят к асимметричной функции мышц
жевательного аппарата и ВНЧС. [1,4,8]
Возникновение нарушений
в ВНЧС редко происходит внезапно, за исключением острой травмы (удар в
околосуставную область, падение на подбородок, резкое максимальное открывание
рта). Существует определенная зависимость хронической перегрузки группы мышц
при вынужденном одностороннем жевании, патологическом прикусе, частичной
вторичной адентии, длительном термине прорезывания зубов мудрости. В результате
на рабочей стороне возникает гипертрофия мышц, приводящая к стойкой дисфункции
сустава. Основными симптомами при этом могут быть щелканье в ВНЧС, заклинивание
при движении нижней челюсти, усталость мышц при жевании, невозможность откусывания,
нарушение в смыкании зубов, артралгия [Аболмасов Н.Г., Рябоконь Е.Н., 2006; Й.
Иде, Наказава К., Хватова В.А., 2001, Шувалов С.М., Силин А.В., Мирза Р.А.,2013; Михеева
И.В. 2012; Wang
Y.
Edwin,
Fleisher
A.
Kenneth,
2008]. [5, 6, 7, 8].
Эмоционально-физическое
напряжение и окклюзионная дисгармония – это главные причины, от которых зависит
нарушение функционального баланса жевательной системы и адаптационной
способности организма.
В результате появляются
такие клинические симптомы, как боль, напряженность и усталость мышц,
пощелкивание и ограничение подвижности в височно-нижнечелюстном суставе,
болевые симптомы в области ушей, истирание, разрушение зубов и выраженная
нагрузка на периодонт [1,3,4].
Лечение дисфункции
двигательной части жевательного аппарата состоит в восстановлении нормальной
его функциональности, а также в избавлении пациента от боли и прочих симптомов.
Для достижения этой цели необходимо придерживаться следующих принципов:
1.
Воспроизведение правильных
внутрисуставных взаимоотношений в ВНЧС, т.е. восстановление правильного
положения суставных головок нижней челюсти и суставных дисков ВНЧС при максимальном
межбугорковом контакте зубов.
2.
Восстановление нормальной или
адаптированной окклюзии, а также ее стабилизация путем воспроизведения непрерывности
зубных рядов.
3.
Восстановление правильной функции мышц
жевательного аппарата. [4]
Цель нашей работы. Рассмотреть клинический пример лечения пациента с хроническим
травматическим (окклюзионным) артритом височно-нижнечелюстного сустава.
Материалы и методы исследования.
17.04.15 г. Пациентка Р. 1981 г. (36 лет)
обратилась с жалобами на боль в области правого ВНЧС, иррадиирующую
в правое ухо, височную область и усиливающуюся
при пережёвывании пищи, а также затрудненное открывание рта. Беспокойства со стороны
сустава появились полгода назад и
вначале носили периодический характер. В настоящее время ограничение движения челюсти и дискомфорт при употреблении пищи стали
постоянными.
У пациентки Р. проведение осмотра полости рта было
затруднительным за счет ограничения движений нижней челюсти - амплитуда
открывания рта составляла около полутора сантиметров. При пальпации области
ВНЧС справа у больной возникали дискомфорт в состоянии покоя и болезненные
явления при движении нижней челюсти.
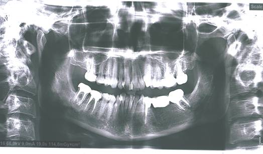
Пациентки Р. рекомендовали выполнить «2D исследование» - панорамную рентгенографию. Рис. 1

Рис. 1 Панорамная рентгенография пациентки Р., исходное состояние.
При анализе панорамной рентгенографии обнаружено
следующее: включенный дефект нижней челюсти в области 35-37 зубов; дистопия и ретенция 48-38 зубов; скученность зубов фронтального
участка нижней челюсти; нарушение соотношений 13 и 43, 23 и 33 зубов; эндодонтическое лечение 47, 26, 27
зубов; нарушение окклюзионных взаимоотношений зубов верхней и нижней челюстей;
неравномерность окклюзионной кривой, деформация
структуры головки ВНЧС справа, ее дистализация за
счет деформации пломбы в 46 зубе и снижения высоты прикуса; разница
анатомического объёма головок ВНЧС слева и справа; несимметричное расположение
головок суставов левой и правой сторон; суставная щель слева практически не
прослеживается.
На основании жалоб и анализа
панорамной рентгенографии пациентке Р. был установлен диагноз - хронический
травматический (окклюзионный) артрит ВНЧС справа с
дистальным смещением суставной головки нижней челюсти.
Для снятия болевого синдрома и восстановления амплитуды
движений нижней челюсти назначено следующее:
Синарта
или (Дона) по 1 амп.
+ прилагаемый растворитель, в/м (внутримышечно),
3 раза в неделю на протяжении 4 недель,
утром после еды;
Инцена по 10 капель 3
раза в день, через 1 час после еды, 30 дней; Хондроксид (гель) Смазывать кожные покровы в обл.
суставов 2 раза в день, 30
дней;
Персен
по 1 таб. 2 раза в день, 30
дней.
Рациональное
питание:
Техника внесения пищи в
ротовую полость при заболеваниях височно-нижнечелюстного сустава заключается в
следующем: пациенту разрешается употреблять привычную для него еду, но при этом
закладывать её в полость рта небольшими равномерными кусочками, чтобы не
перенапрягать связочный аппарат сустава при открывании рта. Обязательное
условие – пользоваться в процессе не рабочей рукой. К примеру: если человек
«правша», то левой рукой, а если «левша» - правой рукой. В этот момент на
помощь приходят нож и вилка: ножом создаются маленькие комфортные кусочки пищи,
а вилкой вносят их в полость рта согласно нормам этикета. При подношении вилки
не рабочей рукой к полости рта срабатывает безусловный рефлекс, благодаря
которому рот открывается параллельно срединной линии тела и тем самым происходит
более равномерное распределение нагрузки на мышечный и связочный компонент
височно-нижечелюстного сустава. Координация движений в организме человека
осуществляется за счет согласованной деятельности коры больших полушарий
головного мозга, мозжечка, вестибулярного аппарата. Ведущим органом координации
движений является мозжечок, который регулирует и мышечный тонус. [2] При подношении кусочка
пищи не рабочей рукой происходит синхронизация мышечного компонента
зубочелюстного аппарата, так как рука стремится к кончику носа (пальценосовая
проба) [2]. Если принимается жидкая пища, то необходимо использовать десертную
ложку, которую вносят в полость рта обычным привычным способом, но при этом
стараться не сильно открывать рот. При употреблении пищи, вносимой в рот руками
(хлеб, фрукты, кусочки овощей, семечки, орехи и т.д.), необходимо создать
небольшие комфортные кусочки и вносить не рабочей рукой стараясь равномерно
распределять их при пережевывании по левой и правой сторонам зубочелюстного
аппарата.
Через месяц после
проведенного симптоматического лечения и выполнения рекомендаций по способу
употребления пищи пациентке Р. рекомендован повторный осмотр для изготовления
диагностической модели и планирования стоматологического лечения по поводу
восстановления целостности зубного ряда и создания условий для равномерного
распределения жевательного давления в зубочелюстном аппарате.
Результаты и их
обсуждение
Повторный осмотр
05.06.15 г.: после проведенного симптоматического лечения и соблюдения
рекомендаций по поводу специфики приема пищи состояние пациентки Р. нормализовалось,
болевые приступы в области ВНЧС
стали возникать реже и с меньшей интенсивностью проявления,
амплитуда открывания рта составляла 3 см, страх перед употреблением жёсткой
пищи исчез.
Для анализа окклюзионных
взаимоотношений зубов верхней и нижней челюстей была изготовлена
диагностическая модель.
Пациентке Р.
рекомендовали провести стоматологическую санацию полости рта, включающую
хирургические, терапевтические и ортопедические аспекты, направленные на
восстановление целостности зубных рядов, стабилизацию высоты прикуса и
выравнивание окклюзионной кривой левой и правой
сторон. А именно: удаление дистопированных и ретенированных 48 и 38 зубов, эндодонтическую подготовку
16, 34, 37, 46 и 47 зубов для последующего их использования в ортопедической
нормализации окклюзионных взаимоотношений зубов верхней и нижней челюстей со
стабилизацией высоты прикуса. Во время подготовительных этапов к
ортопедическому лечению был удален 35 зуб, в связи с продольной трещиной корня.
После проведенного лечения рекомендованы выполнение панорамной рентгенографии и
плановые осмотры 2 раза в год. Рис. 2

Рис.2 Панорамная
рентгенография пациентки Р., после проведенного лечения.
Восстановление и
стабилизация прикуса осуществлялась при помощи мостовидного
металлокерамического протеза с опорой на 34 – 37 зубы и встречными
металлокерамическими коронками на 16, 46, 47, 26, 27 зубы. Выравнивание окклюзионной кривой
левой и правой сторон позволило изменить положение головок ВНЧС. С левой
стороны, после проведенного лечения, появилась видимая суставная щель, которая
практически не прослеживалась при анализе исходной панорамной рентгенографии.
Это свидетельствует о нормализации окклюзионных взаимоотношений зубов верхней и
нижней челюстей.
На данный момент
пациентка Р. чувствует себя удовлетворительно, жалоб со стороны ВНЧС не
предъявляет, приём пищи и движение нижней челюсти при разговоре и жевании не
вызывают появления болевых ощущений и дискомфорта.
Пациентка
предупреждена, что при максимальном раскрытии полости рта могут появиться
болевые ощущения и нарушение функции ВНЧС. Поэтому ей рекомендовано открывание
рта на комфортное расстояние, при котором не возникают болевые ощущения.
Универсального
метода лечения или идеальной схемы, применяемой при заболеваниях
височно-челюстного сустава, пока нет. Комплексный подход к проблеме патологии
височно-нижнечелюстного сустава с учетом
всех факторов, способствующих нарушению функциональной работы сустава,
позволяет добиться стабилизации в развитии
данной патологии и облегчения состояния пациента в периоды обострения.
Выводы
1. Постановка
точного диагноза с учетом этиологических факторов при патологии височно-нижнечелюстного
сустава позволяет выбрать наиболее рациональный метод лечения и способствует
длительной ремиссии заболевания.
2.
Выявление нарушений и нормализация
окклюзионных взаимоотношений зубов в зубочелюстной системе является главной
задачей при лечении патологий височно-нижнечелюстного сустава.
Список литературы
1.
Гросс М. Д. Нормализация
окклюзии / М. Д. Гросс, Дж. Д. Мэтьюс.- М.: Медицина. – 1986. – 286с.
2.
Гусев
Е. И. Учебное пособие по неврологии и нейрохирургии / Е.
И. Гусев, Г. С Бурд, А. Н. Коновалов.
- Ростов-на-Дону: Издательство Феникс.- 2006. – 692 с.
3.
3. Корж Н. А. Остеоартроз / Корж
Н. А., Хвисюк А. Н., Дедух Н. В. – Харьков: Золотые страницы. – 2007. – 424 с.
4.
Кляйнрок М. Функциональные
нарушения двига-тельной части жевательного аппарата / М. Кляйнрок. – Львов:
«ГалДент». – 2015. – 256 с.
5.
Ральф
Е. Стоматология детей и подростков / Е. Ральф, Мак-Дональд, Дейвида Р. Эйвери.
– М.: Медицинское стоматологическое агентство. – 2003. – 766 с.
6.
Тимофеев А. А. Руководство
по челюстно-лицевой хирургии и хирургической стоматологии / Тимофеев А. А.. –
Киев: ООО “Червона Рута-Турс”. – 2004. – 1062с.: ил.
7.
Тимофєєв О. О. Щелепно-лицева
хірургія: [підру-чник] / Тимофєєв О. О.. – К.: ВСВ «Медицина». – 2011. – 512с.
8.
Хватова В. А.
Клиническая гнатология / Хватова В. А. – М: Медицина.- 2005. – 312с.