Д.ф.м.н. Рандошкин В.В., д.ф.м.н. А.М.Салецкий, к.ф.м.н. Усманов Н.Н.
Московский государственный университет им. М. В .Ломоносова, Физический факультет, Россия
Импульсное намагничивание эпитаксиальных
пленок (Bi,Lu)3(Fe,Ga)5O12 с ориентацией (210)
В
размагниченном состоянии в отсутствие постоянного магнитного поля в монокристаллических
пленках феррит-гранатов (МПФГ), которые используются в различных запоминающих и магнитооптических устройствах [1-7] обычно имеет
место полосовая или лабиринтная доменная
структура. Процесс импульсного намагничивания МПФГ, в частности, используется
при измерении динамических параметров МПФГ [8-10].
В
работе [11] исследовались эпитаксиальные
пленки (Bi,Lu)3(Fe,Ga)5O12 с
ориентацией (210), которые имеют ромбическую магнитную анизотропию (РМА), а ось
легкого намагничивания (ОЛН) в них отклонена от нормали к пленке. При
отсутствии внешних магнитных полей в таких пленках обычно реализуется структура
полосовых доменов, доменные стенки (ДС) которых ориентируются вдоль проекции
ОЛН на плоскость пленки.
Импульсное
намагничивании МПФГ исследовали методом фотоотклика [8-10]. Формирующиеся в
процессе намагничивания динамические доменные структуры наблюдали методом
высокоскоростной фотографии (ВСФ) [8-10,12,13].
Исследуемые
МПФГ (Bi,Lu)3(Fe,Ga)5O12
выращивали методом жидкофазной эпитаксии из переохлажденного раствора-расплава на основе Bi2O3 - B2O3 на подложках Gd3Ga5O12 с ориентацией (210). Параметры магнитной анизотропии
измеряли с помощью метода ферромагнитного резонанса (ФМР) на частоте
ω/2π = 9.34 ГГц [12,13].
В
установке ВСФ источником подсветки служил импульсный лазер с длительностью
импульса 10 нс и длиной волны излучения l = 510 нм, который использовался
в режиме фазового контраста. Намагничивание осуществляли импульсами магнитного
поля с длительностью фронта τf ≈ 40 нс,
амплитуда которых варьировалась.

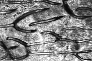
Рис.
1. Изображение динамической доменной структуры,
формирующейся в процессе намагничивания МПФГ (Bi,Lu)3(Fe,Ga)5O12 с ориентацией (210).
На рис. 1 приведено изображение доменной структуры, формирующейся
в процессе намагничивания МПФГ с ориентацией (210), не содержащей
быстрорелаксирующих ионов. При использовании фазового контраста в ДС,
отклоняющихся от направления проекции ОЛН на плоскость пленки, видны протяженные
диффузно уширенные участки. Изображение участков ДС, не отклоняющихся от
направления проекции ОЛН на плоскость пленки, не имеет столь значительного
диффузного уширения. Импульсное магнитное поле по-разному воздействует на ДС,
ориентированные параллельно проекции ОЛН на плоскость пленки и под углом к ней
(рис. 1).
При воздействии импульса магнитного поля
на полосовую доменную структуру, ДС которой ориентированы вдоль проекции ОЛН на
плоскость пленки, сохраняется полосовая доменная структура (рис.2). При приложении
импульса поля с амплитудой Hp, превышающей поле насыщения Hs, домены, которые имеют компоненту
намагниченности, направленную против импульсного магнитного поля, сужаются, при
этом сохраняется полосовая доменная структура. В отсутствие магнитных дислокаций
намагничивание полосового домена с его концов наблюдается только после его
сжатия до размеров, меньших диаметра коллапса цилиндрического магнитного домена
(ЦМД). При воздействии импульсом магнитного поля с Hp < Hs после однородного сжатия с сохранением
полосовой структуры начинается процесс неоднородного сжатия с последующим
разрывом и образованием нескольких доменов.

Рис. 2. Изображение динамической доменной
структуры в МПФГ (Bi,Lu)3(Fe,Ga)5O12 с ориентацией (210) в момент времени t = 350 нс при воздействии импульса
магнитного поля с амплитудой Hp =
12 Э.
Изучали движение ДС под действием
импульсного магнитного поля, перпендикулярного плоскости пленки. В начальный
момент времени t =0 образец был размагничен. Регистрировали изображение исходной
доменной структуры и ее изображение после подачи импульса магнитного поля с
амплитудой Hp в момент времени t1 >
0. Затем при Hb = 0 вновь создавали полосовую доменную
структуру и регистрировали ее изображение. Далее фиксировали изображение
динамической доменной структуры в момент времени t2 > t1.
Эти наблюдения позволяют сделать вывод, что в полях Hp > Hs механизм перестройки структуры полосовых
доменов с ДС, параллельными проекции ОЛН на плоскость пленки, включает
встречное движение ДС с сохранением периода и пространственной ориентации
доменной структуры. Эта характерная особенность динамики ДС в МПФГ с
ориентацией (210) позволяет легко рассчитать размагничивающее поле, возникающее
при смещении ДС [11,15,16]. Таким образом, имея информацию о периоде и
поперечном размере домена полосовой структуры во время сжатия, можно рассчитать
размагничивающее и действующее магнитные поля в любой интересующий момент
времени. Изменение со временем поперечного размера полосового доменов в МПФГ (Bi,Lu)3(Fe,Ga)5O12 с
ориентацией (210) при разной амплитуде Hp показано на рис. 3.

Рис. 3. Временная зависимость ширины полосового домена w в МПФГ (Bi,Lu)3(Fe,Ga)5O12 с ориентацией (210) при
различной амплитуде импульса магнитного поля Hp, Э: 1 - 48; 2 – 36;
3 – 24; 4 – 12.
При исследовании динамики ДС полосовой доменной структуры была
выявлена неравномерность их движения во время действия импульса магнитного поля
(рис. 4). Из рис. 4 видно, что временная зависимость скорости ДС V(t) имеет максимум, который растет с
увеличением амплитуды Hp и при этом сдвигается к началу действия
импульса магнитного поля. Наибольшая скорость ДС, наблюдаемая в эксперименте,
достигает значения V ≈ 200 m/s
(кривая 1 на рис. 4). При Hp=48; 36 и 24 Oe (кривые 1, 2 и 3 на рис. 4) после
достижения максимума скорости происходит быстрое торможение ДС, причем, чем
большую скорость набрала ДС, тем быстрее она тормозится, а после снижения
скорости до значения V ≈ 10 m/s она мало меняется. Несколько своеобразно
выглядит зависимость V(t)
для случая воздействия полем Hp =12 Oe (кривая 4 на рис. 4). В этом случае
скорость ДС максимальная в начале действия импульса магнитного, а затем она
только снижается.

Рис. 4. Временная зависимость скорости ДС V в Вс-МПФГ (Bi,Lu)3(Fe,Ga)5O12 с ориентацией (210) при
различной амплитуде импульса магнитного поля Hp, Э: 1 - 48; 2 – 36; 3 – 24;
4 – 12.
Таким
образом, при импульсном намагничивании Вс-МПФГ (Bi,Lu)3(Fe,Ga)5O12 с
ориентацией (210):
-
динамическое поведение ДС зависит от ее ориентации относительно проекции ОЛН на
плоскость пленки;
- зависимость скорости ДС от времени является немонотонной.
Список литературы
1. Бобек Э., Делла Торрe Э. Цилиндрические магнитные домены / Пер. с англ. под
ред. М.А.Боярченеова, В.К.Раева. М.: Энергия, 1977, 192 с.
2. Лисовский Ф.В. Физика
цилиндрических магнитных доменов, М.: Сов. радио, 1979, 192 с.
3. Раев В.К., Ходенков Г.Е.
Цилиндрические магнитные домены в элементах вычислительной техники. М.:
Энергия, 1981, 216 с.
4. Эшенфельдер А. Физика и
техника цилиндрических магнитных доменов: Пер. с англ., М.: Мир, 1983, 496 с.
5. Балбашов А.М., Лисовский Ф.В., Раев В.К. и др. Элементы и устройства на цилиндрических магнитных доменах: Справочник. Под ред. Н.Н.Евтихиева, Б.Н.Наумова. М.: Радио и связь, 1987, 488 с.
6. Звездин А.К., Котов В.А.
Магнитооптика тонких пленок. М.: Наука, 1988, 192 с.
7. Рандошкин В.В.,
Червоненкис А.Я. Прикладная магнитооптика. М.: Энергоатомиздат, 1991, 320 с.
8.
Дудоров В.Н., Рандошкин В.В., Телеснин Р.В. Синтез и физические свойства
монокристаллических пленок редкоземельных феррит-гранатов, УФН, 1977, т. 122, №
2, с. 253-293.
9.
Рандошкин В.В., Старостин Ю.В. Технология изготовления запоминающих устройств
на цилиндрических магнитных доменах. Радиоэлектроника за рубежом, 1982, № 1, с.
1-49.
10. Рандошкин В.В. Заводская
лаборатория. Диагностика материалов. 62 32 (1996).
11. Усманов Н.Н., Ильичева Е.Н., Шишков А.Г. Исследование
движения доменных границ в феррит-гранатовых пленках с ориентацией (210). //Вестник
МГУ, cер.3, физ., астрон.,
36, 5, с.74, 1995.
12. Randoshkin V.V., Vasil’eva N.V., Gusev
M.Yu., Kozlov Yu.F., Neustroev N.S., Kozlov V.I., Saletskii A.M., Usmanov N.N.
Proceedings Fifth International Conference, Obninsk, 1 230
(2003).
13. Рандошкин В.В., Усманов Н.Н., Кокшаров Ю.А., Козлов В.И., Салецкий А.М., Сысоев Н.Н., Васильева Н.В. ЖТФ, , т.76, № 6, с.119 (2006).
14.
Рандошкин В.В. Динамика научных исследований – 2012, Перемышль, 07 – 15 июля 2012, 22 70 (2012).
15. Малоземов А., Слонзуски Дж. Доменные стенки в
материалах с цилиндрическими магнитными доменами: Пер. с англ. - М.:
Мир, 1982. - 382 с.
16. Г.А.Бажажин, Е.Н. Иличева, И.В.Мушенкова и др. Особенности
смещения доменных границ в феррит-гранатовых пленках //ЖТФ.
- 1985. Т.55. - В.2. -С.396.