Давиденко І.С., Гошовська А.В.

ІМУНОГІСТОХІМІЧНА КОНЦЕНТРАЦІЯ ФЕРМЕНТУ «МЕТАЛОПРОТЕЇНАЗА-2» В ІНВАЗИВНОМУ ЦИТОТРОФОБЛАСТІ ТА ТРОФОБЛАСТІ ХОРІАЛЬНИХ ВОРСИНОК ПРИ ГІПЕРАНДРОГЕНІЇ

Буковинський державний медичний університет, м. Чернівці, Україна

Вступ

Нами поставлена мета доступними для нас різними методами морфологічного дослідження якомога більш систематично вивчити особливості хоріону та ендометрію за умов гіперандрогенії у вагітних жінок у перший триместр вагітності на матеріалі викиднів. У попередніх дослідженнях нами при гіперандрогенії встановлені морфологічні особливості хоріальних ворсинок та ендометрію на основі класичних гістологічних методів дослідження [2-4], виявлені особливості пошкоджень поверхні трофобласту хоріальних ворсинок за допомогою люмінесцентних колоїдних наночастинок [5-6], вивчені кількісні параметри нітропероксидів в трофобласті хоріальних ворсинок методом хемілюмінесценції з люміналом [7] та отримані дані щодо процесів окиснювальної модифікації білків [8] і обмеженого протеолізу [9] в клітинах хоріону та децидуальнозміненого ендометрію.

Дотепер в структурах плідного яйця не були ще вивчені металопротеїнази різних типів при гіперандрогенії, хоча такі дослідження є перспективними, бо можуть пояснити як порушення процесів інвазії трофобласту в ендометрій [1], так і деякі порушення обміну білків у трофобласті хоріальних ворсинок [1] при гіперандрогенії, що є одним із найбільш суттєвих проявів недостатності плаценти.

Метою даного дослідження є кількісна оцінка імуногістохімічної концентрації ферменту «металопротеїназа-2» в інвазивному цитотрофобласті та у трофобласті хоріальних ворсинок при гіперандрогенії.

Матеріали і методи

Досліджені 12 викиднів при вагітності з нормальним гормональним статусом жінок та 11 – при невиношуванні вагітності та гіперандрогенії. Матеріал тканини плаценти фіксували протягом 22 годин у 10%-му розчині нейтрального забуференого формаліну, після чого проводили зневоднювання у висхідній батареї спиртів та парафінову заливку при температурі 580С. На санному мікротомі робили серійні гістологічні зрізи товщиною 5 мкм. Після депарафінізації гістологічних зрізів виконували імуногістохімічну методику із застосуванням первинних антитіл проти ферменту «металопротеїназа-2» (остаточна візуалізація барвником - діамінобензидин) з дофарбовуванням клітинних ядер гематоксиліном Майера. Фотодокументування здійснювали за допомогою цифрової фотокамери Olympus SP 550UZ. Кількісну оцінку відносної концентрації  ферменту «металопротеїназа-2» робили на основі методу зондової комп’ютерної мікроденситометрії на цифрових копіях зображення у середовищі комп’ютерної програми GIMP (ліцензія GLP) з переводом отриманих даних шляхом логарифмування в одиниці оптичної густини. Порівняння середніх показників між двома групами дослідження здійснювали за допомогою методу Mann-Whitney у середовищі програми PAST (вільна ліцензія).

Результати власних досліджень

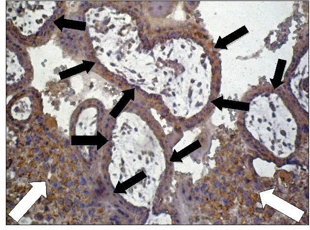
         Результати забарвлення при застосованій імуногістохімічній методиці проілюстровані за допомогою рисунку 1.

         Використання методу зондової комп’ютерної мікроденситометрії на цифрових копіях зображення дало наступні результати. Оптична густина специфічного забарвлення на фермент «металопротеїназа-2» в інвазивному цитотрофобласті у жінок з нормальним гормональним статусом становила 0,324±0,0023 умовних одиниць оптичної густини, а при гіперандрогенії – 0,208±0,0019 умовних одиниць оптичної густини (вірогідність розбіжності p<0,001). Оптична густина специфічного забарвлення на фермент «металопротеїназа-2» у трофобласті хоріальних ворсинок у жінок з нормальним гормональним статусом оцінена із середніми параметрами 0,209±0,0018 умовних одиниць оптичної густини, а у жінок з гіперандрогенією - 0,204±0,0017 умовних одиниць оптичної густини (розбіжність невірогідна – p>0,05). Слабка позитивна імуногістохімічна реакція на фермент «металопротеїназа-2» відмічалася також у стромальних клітинах хоріальних ворсинок (Рис.1), однак вимірювання інтенсивності забарвлення в цих клітинах не входило в задачі даного дослідження.

 

 

 

 

 

 

 

 

 

 

 

 


Рис. 1. Мікрофотографія. Інвазивний трофобласт (білі стрілки) та хоріальні ворсинки (чорні стрілки вказують на трофобласт хоріальних ворсинок) при гіперандрогенії. Слабке позитивне імуногістохімічне забарвлення відмічається також у стромальних  клітинах хоріальних ворсинок. Імуногістохімічна методика на фермент «металопротеїназа-2» з дофарбуванням ядер гематоксиліном. Об.20х. Ок.10х.

 

Висновок

При гіперандрогенії суттєво знижується імуногістохімічна концентрація ферменту «металопротеїназа-2» в інвазивному цитотрофобласті, тоді коли у трофобласті хоріальних ворсинок вона у середньому не змінюється.

Перспектива подальших досліджень

         Перспектива полягає в оцінці  імуногістохімічної концентрації ферменту «металопротеїназа-2» в стромальних клітинах хоріальних ворсинок при гіперандрогенії.

Література

1.     Benirschke K., Burton G.J., Baergen R.N. Pathology of the Human Placenta. - 6th ed., Springer-Verlag: New York, LLC. - 2012. - 941 p.

2.     Гошовська А.В., Давиденко І.С., Гошовський В.М.Морфологія децидуальнозміненого ендометрію та клітин хоріону при гіперандрогенії // Матеріали наукової конференції «Сучасні проблеми медичних та фармацевтичних наук» Дніпропетровськ: «Salutem», 2012. – 115 с. – С.27-30.

3.     Гошовська А.В., Давиденко І.С. Гістологічні критерії зрілості матково-плацентаної ділянки у вагітних з проявами гіперандрогенії // Матеріали Міжнародної науково-практичної конференції «Місце та роль медицини у ХХІ столітті», 30-12 березня 2012 р. – м.Одеса, 2012. – С.14-17.

4.     Гошовська А.В., Давиденко І.С., Заболотна І.Е. Роль клітин Гофбауера плаценти у патогенезі невиношування вагітності при гіперандрогенії // Матеріали Міжнародної наукової конференції «Научное пространство Европы 2012»,  Том 30, Медицина. - Польща, Пршемисль, 2012. – С.3-5.

5.     Гошовська А.В., Федів В.І., Давиденко І.С. Мікроскопічний люмінес­центний аналіз хоріальних ворсинок плаценти при об­робці гістологічних препа­ратів колоїдними CdMnS-наночастинками за умов невиношування вагітності та гіперандрогенії // Матеріали Міжнародної наукової конференції «Ключевые проблемы современной науки 2012», Том 25, Лекарство. - Болгарія, Софія: «Бял-ГРАД-БГ» ООД, 2012. – С.3-7.

6.     Гошовська А.В., Давиденко І.С., Гошовський В.М. Гістологічний аналіз хоріа­льних ворсин при викори­станні гістологічних препа­ратів за умов невиношуван­ня вагітності при гіпер­андрогенії з колоїдними CdMnS-наночастинками // Збірник матеріалів міжнародної науково-практичної конференції (м.Київ), Медична наука та практика ХХІ  століття. 07-08 вересня 2012 р.). – Київ: «Київський медичний науковий центр», 2012. – 100с. - С.33-36.

7.     Гошовська А.В., Давиденко І.С., Гошовський В.М., Гарвасюк О.В. Хемілюмінесцентне визначення нітропероксидів у структурах хоріальних ворсинок плаценти // MATERIÁLY  IX MEZINÁRODNÍ VĚDECKO - PRAKTICKÁ KONFERENCE «ZPRÁVY VĚDECKÉ IDEJE - 2013» 27 října - 05 listopadu 2013 roku, Díl 17 Lékařství. - Praha: Publishing House «Education and Science» s.r.o . - 2013. – С. 3-6.

8.     Гошовська А.В., Давиденко І.С. Окиснювальна модифікація білків у клітинах хоріону та децидуальнозміненого ендометрію при гіперандрогенії (гістохімічне дослідження) // Materiály VIII mezinárodní vědecko - praktická konference  «Vznik moderní vědecké - 2012». - Díl 13. Lékařství:  Praha. Publishing House «Education and Science» s.r.o - 112 stran. – P.23-27.

9.     Гошовська А.В., Давиденко І.С. Процеси протеолізу в клітинах хоріону та децидуальнозміненого ендометрію при гіперандрогенії (гістохімічне дослідження) // Materiały VIII międzynarodowej naukowi-prakty­cznej konferencji «NAUKA I INOWA­CJA – 2012» 07-15 października 2012 Volume 15 Medycyna. – Przemyśl: Nauka i studia 2012. – P.3-6.