Ветеринария/1.Ветеринарная медицина
Д.в.н Тегза
А.А, магистранты Нугманов А.А., Нагурбекова
Г.А.,
магистр
ветеринарных наук Хасанова М.А.
Костанайский государственный
университет им. А. Байтурсынова, Казахстан
ГИСТОЛОГИЧЕСКАЯ ХАРАКТЕРИСТИКА ЯЙЦЕПРОВОДА
ПРИ КАТАРАЛЬНОМ ЭНДОМЕТРИТЕ У КОРОВ
Актуальность проблемы. Одна из главных проблем, которая в животноводстве остается
по-прежнему актуальной это воспроизводство животных[1]. Большой интерес в доступной литературе
уделяется состоянию воспроизводительных
качеств маточного поголовья крупного рогатого скота, как основы достижения
реализации генетического потенциала [2, 3, 4]. Для дальнейшей интенсификации этой
отрасли решающая роль отводится активизации репродуктивной функции. Что, в свою
очередь, требует более глубоких, комплексных исследований
механизмов регуляции функции воспроизводства самок на основе своевременной
диагностики патологии и применения эффективных способов профилактики и терапии
[1].
На основании вышеизложенного мы пришли к выводу, что вопрос о причинах бесплодия коров и о морфологических особенностях тканей их репродуктивной системы продолжает оставаться актуальным. Цель исследований: изучить морфологические характеристики стенки покровного эпителия слизистой оболочки левого и правого яйцеводов коров. Материал исследований: ткани яйцевода коров при катаральном эндометрите в возрасте от 4 до 7 лет, содержавшихся в сельхозформированиях Костанайской области. Кусочки тканей половых органов коров фиксировали в 10% растворе нейтрального формалина, уплотнение материала проводили путем заливки в парафин, Гистологические препараты для выявления общей цитологической характеристики органов изготовлены на санном микротоме и окрашены гематоксилином и эозином [5]. Препараты изучали с помощью микроскопа Leica DMRXA [Германия].
В
результате исследований тканей левого
яйцепровода коров при катаральном эндометрите
установлено, что его слизистая оболочка собрана в высокие складки, придающие
слизистой оболочке ажурный вид. На первичных складках размещены вторичные, имеющие высоту 1/3 от
высоты первичных складок.
Слизистая оболочка
яйцепровода выстлана однослойным мерцательным эпителием, представленным
двумя видами клеток: столбчатыми ресничатыми и безресничатыми. Среди них довольно
много клеток с митозами.
Апикальные концы столбчатых
клеток покровного эпителия оформлены цитоплазматическими выростами.
Безресничатые клетки имеют меньшую высоту, чем ресничатые. Ядра эпителиоцитов
расположены на разной высоте от базальной мембраны.
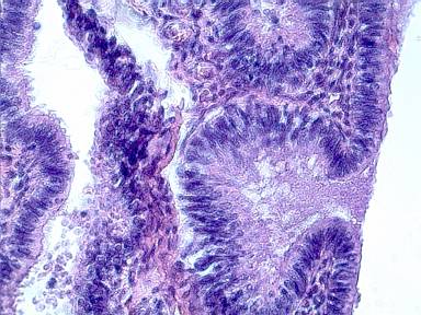
В структурной организации
эндометрия у коров при катаральном эндометрите наблюдались дистрофические
процессы клеток покровного эпителия, желёзистых ямок с вакуолизацией и пикнозом
их ядер. Строма эндометрия отечна, разрыхлена и инфильтрирована клеточными
элементами. (Рисунок 1).
Основная пластинка и
подслизистая основа представлены рыхлой
соединительной тканью, содержащей инфильтрат представленный форменными элементами
крови.
Среди
ретикулярных и соединительнотканных волокон встречаются единичные гладкие
миоциты. Прослойки соединительной ткани
рыхлые, аморфные, содержат экссудат пенистого вида (Рисунок 1).
Слизистая оболочка яйцепровода содержит немногочисленные железистые ямки, концевые отделы которых имеют вид ожерелья, и представлены
21-30 призматическими клетками с
крупными эозинофильными ядрами,
содержащими 1-2 ядрышка. Можно выделить 2 вида клеток: высокие призматические реснитчатые и безреснитчатые. Границы между клетками
четко выражены. Вблизи базальной мембраны
видны четко очерченные клетки,
заполненные просветленной цитоплазмой. Они содержат от 1 до 3 ядрышек. Железистые ямки заполнены аморфным, рыхлым секретом пенистого вида.

Рисунок 1_Покровный эпителий яйцепровода коров при катаральном эндометрите. Заполнение железистых ямок экссудатом. Дистрофические процессы покровного эпителия (гематоксилин и эозин, Х400)
Устья
железистых ямок извилистые, длинные,
петлевидные, имеют по 3-4 ампулообразных кармашка. Апикальный конец,
эпителиоцитов покрыт цитоплазматическими выростами в виде равномерной каймы. Подслизистая основа в
правом яйцеводе более плотная, в
сравнении с таковой в левом роге.
Мышечная
оболочка представлена гладкими миоцитами расположенными в два слоя: кольцевым наружным и продольным
внутренним Мышечные клетки плотно прилегают друг к другу. В каудальном
участке яйцепроводов появляется третий
косо - ориентированный мышечный слой. Мышечный слой правого яйцепровода превышает толщину левого яйцепровода в 2-2,5 раза. Внутренний продольный слой представлен плотно прилегающими друг к другу миоцитами.
Наружный кольцевой слой имеет обширные, хорошо выраженные,
соединительно-тканные прослойки. В
рыхлой соединительной ткани вблизи кольцевого
слоя просматриваются кровеносные
капилляры с признаками инфильтрации лейкоцитов в окружающую сосуд ткань. Стенка сосудов рыхлая, ткани вокруг сосудов инфильтрированы лимфоцитами в них отмечены
скопления плазмоцитов и гистиоцитов.
Таким образом, на основании анализа
результатов исследований нами установлено, что слизистая оболочка яйцепровода
выстлана однослойным мерцательным эпителием, представленным двумя видами
клеток: столбчатых реснитчатых и безреснитчатых, среди которых довольно много
клеток с митозами.
Мышечная
оболочка яйцепровода представлена гладкими миоцитами расположенными в два слоя: кольцевым наружным и продольным
внутренним Мышечные клетки плотно прилегают друг к другу. В каудальном
участке яйцепроводов появляется третий
косо - ориентированный мышечный слой.
Мышечный слой правого яйцепровода превышает толщину левого яйцепровода в
2-2,5 раза.
В структурной организации
эндометрия у коров при катаральном эндометрите наблюдались дистрофические
процессы клеток покровного эпителия, желёзистых ямок с вакуолизацией и пикнозом
их ядер. Строма эндометрия отечна, разрыхлена и инфильтрирована клеточными
элементами.
Литература:
1. Баженова Н.
Б. Диагностическая и прогностическая
информативность эпителиальной ткани органов репродуктивной системы коров в
норме и при патологии: Клинико-морфологические исследования. // Автореф. дис.
д-ра вет. наук. Санкт-Петербург-2001.
2.
Тегза А.А., Тегза
И.М.Воспроизводительная способность симментальского чистопородного скота и их
помесных генотипов.// Байтурсыновские чтения, материалы Международной
научно-практическая конференция. г. Костанай 2012, часть 1 -С.37-39.
3.
Тегза А.А., Хасанова
М.А. Эффективность осеменения телок однополым семенем // Матер.
Республиканской научно-теоретической конференции «Инновационное развитие ветеринарии
в условиях интенсификации животноводства», посвященную 95-летию со дня
рождения доктора ветеринарных наук, профессора Кадырова Н.Т. (КазАТУ им.
С.Сейфуллина Астана, апрель 2012.
С.82-84.
4.
М.Н. Джуланов
Распространённость и этиология постабортального и послеродового
гнойно-катарального эндометрита у коров /М.Н. Джуланов// Материалы первого международного
ветеринарного конгресса.- Алматы, 2002.
5. Меркулов Г.А. Курс патогистологической техники. –Л.: Медгиз, 1969.-424 с.