УДК:  616.155.391/.392 (045)

 

О морфологии острого гемоцитобластоза

А.К. Искиндирова,  К.О. Байбосынов

Актюбинский филиал  РГКП «Центр судебной медицины» МЗ РК г.Актобе

      Гемоцитобластоз -  одна из тяжелых форм недифференцированного лейкоза, имеющего обычно острое течение и для которого характерно появление в костном мозгу тканевых инфильтратов и в крови  гемоцитобластов. Эти клетки бывают небольших размеров, имеющих узкий поясок цитоплазмы и гиперхромное ядро (голые ядра). Процессы лейкозной инфильтрации и пролиферации развиваются в короткие сроки, измеряемые иногда неделями, а среди лейкозных клеток преобладают наименее зрелые – гемоцитобласты [1,2].

      Труп солдата У., 18 лет. Из анамнеза заболел остро. Поступил в сан.часть с жалобами на головные боли, слабость, недомогание. На следующий день поступает в больницу скорой медицинской помощи в отделение нейрохирургии, где был прооперирован по поводу наличия гематомы. Не приходя в сознание умирает. При вскрытии трупа умершего обращает  на себя внимание наличие признаков геморрагического диатеза с кровоизлияниями как в коже, так и во внутренних органах. Селезенка и печень не больших размеров.

     При микроскопическом исследовании наблюдалась выраженная инфильтрация костного мозга, селезенки, лимфатических узлов и лимфоидных образований слизистых оболочек, стенок сосудов, миокарда, почек и других органов однородного вида гемоцитобластами. 

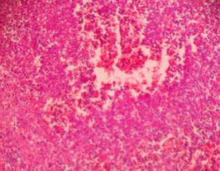
Под мягкими мозговыми оболочками скопления эритроцитов, с примесью лейкозных клеток. Подоболочечное пространство расширено, соединительно-тканные перемычки разорваны. Имеются участки густой инфильтрации мягких мозговых оболочек гемоцитобластами. Ткань  головного мозга с явлениями геморрагической инфильтрации и деструкции (рис.№1). Вокруг участков кровоизлияний ткань головного мозга с очагами сетчатого разряжения, с выраженным диффузным перицеллюлярным и периваскулярным отеком.

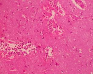
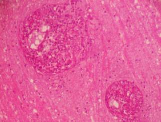
Лейкозные клетки в центре кровоизлияний, в  просвете и вокруг сосудов (рис. №№2-4). Сосуды вещества головного мозга неравномерно полнокровные. Вокруг сосудов скопления эритроцитов. Имеют место  выраженные дистрофические изменения нейронов коры полушария. Нейроциты с бледной цитоплазмой, ядрами.

DSCF3702

Рисунок 1-Головной мозг. Лейкозная инфильтрация вещества мозга с деструкцией и кровоизлияниями. Окраска Г.Э.

DSCF3703

Рисунок 2 – Головной мозг.  Лейкозные инфильтраты в стенке и в просвете сосудов. Окраска Г.Э.

 

DSCF3707

Рисунок 3 – Головной мозг. Лейкозные инфильтраты в веществе мозга. Окраска Г.Э.

DSCF3705

Рисунок 4 – Головной мозг. В центре кровоизлияний  в веществе мозга скопления лейкозных клеток. Окраска Г.Э.

 

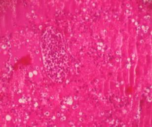
На эпикарде умеренное разрастание жировой ткани, сосуды которой пустые. Просвет коронарной артерии спазмирован, стенка незначительно утолщена за счёт разрастания фиброзной ткани. Вокруг коронарных сосудов эритроциты в небольшом количестве. Интрамуральные сосуды пустые. Вокруг сосудов разрастание соединительной ткани. Просветы мелких интрамуральных сосудов деформированы, местами облитерированы. В одном из препаратов -  лейкозная инфильтрация в субэпикардиальной жировой клетчатке, миокарде с развитием мелкоочаговых кровоизлияний в периваскулярной ткани (рис. №5,6).

DSCF3709

Рисунок 5 – Сердце. Лейкозная инфильтрация интерстиция миокарда. Окраска Г.Э.

DSCF3712

Рисунок 6 – Сердце. Лейкозная инфильтрация субэпикардиальной жировой клетчатки, с развитием кровоизлияний вокруг сосудов.  Окраска Г.Э.

 

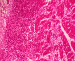
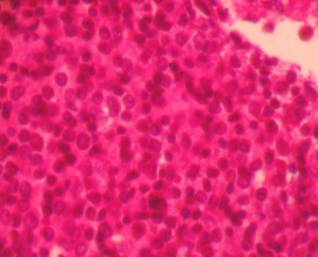
Плевра, стенки сосудов, бронхов инфильтрированы гемоцитобластами. В просвете альвеол значительное скопление эритроцитов.  На большем протяжении в респираторных отделах отёчная жидкость, с примесью эритроцитов. В просвете сосудов - наличие лейкозных клеток (рис. №7). В участках крупноочаговых кровоизлияний скопления гемоцитобластов (рис.№8).

  

DSCF3717

Рисунок 7 – Легкое. Скопления лейкозных клеток в просвете сосудов, по ходу межальвеолярных перегородок.   Окраска Г.Э.

DSCF3716

Рисунок 8 – Легкое. Клетки с гиперхромными ядрами и узким ободком цитоплазмы. Гемоцитобласты с ядрами губчатой структуры. Увеличение х 400. Окраска Г.Э.

 

В данном случае гистологическая картина лейкемической инфильтрации была монотонной и однообразной, так как отсутствовали клетки переходного, созревающего типа.

По-видимому, явления геморрагического диатеза можно объеснить не только нарушением целостности стенок сосудов в связи с лейкемической инфильтрацией, но и с повышенной кровоточивостью, связанной с падением тромбообразования в костном мозгу, который полностью замещается незрелыми клетками.

 

Литература:

1.     Дульцин М.С., Кассирский И.А., Раушенбах М.О. Лейкозы.-М., 1965;

2.     Кассирский И.А., Алексеев Г.А. Клиническая гематология.- М.,1970