Біолоічні
науки/Структурна ботаніка і фізіологія рослин
Пюрко
О.Є., Перерва К.Р.
Мелітопольський
державний педагогічний університет ім. Б. Хмельницького
Функціонально-гістологічний
аналіз галофітних рослин півдня України
Засолені ґрунти
складають майже 30% всієї земної поверхні. Площі їх, на жаль, мають стійку
тенденцію до розширення за рахунок аридизації клімату та глобального підвищення
середньорічної температури повітря планети [1,3]. В Україні біля 1 млн. га площ мають різний ступінь засолення
ґрунту, зокрема і в Приозів’ї, розташованому в степовій зоні та території Присиваш'я [2,4].
Доведено, що характерні
анатомо-морфологічні зміни рослин, що ростуть на засолених грунтах, багато в
чому пояснюються якістю засолення. Показано, що у досить
солестiйкого солонцю при хлоридному засоленні (порівняно з сульфатним) виявлено
збільшення розмірів клітин епідермісу, зменшення числа продихів на одиницю
площі листка, збільшення
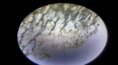
потужності палісадної і губчастої паренхіми (рис. 1).

Рис.1. Гістологічне зображення листку солонцю
європейського.
Крім того, стимулюється
розтягнення клітин, що збільшує товщину стебла. Анатомічну будову стебла
солонцю наведено на рисунку 2. Структурний
аналіз стебла солонцю показав, що він має пристосування, щоб знижувати
інтенсивність транспірації: a) шкірка у Salicornia двошарова (не
рахуючи ще одного шару гіподерми), стінки клітин потовщені; продихи більш або
менш завантажені; листя зрослися між собою і зі стеблом в м'ясисті членики;
водоносна тканина добре розвинена.

Рис. 2. Структурна
характеристика стебла солонцю: 1-тонкостінний епідерміс; 2 - палісадна тканина, 3 - внутрішня водоносна
тканина, 4 - центральна частина.
Солонець має, крім внутрішньої водоносної тканини, ще і дуже оригінальну
зовнішню у вигляді густого сріблястого покриву з великих бульбошкоподібних
роздутих водоносних волосків. Ця зовнішня водна тканина має двояке
значення. По-перше - збільшувати солеємкість листя, по-друге - знову прямо або
опосередковано знижувати інтенсивність випаровування.
При дуже високих
концентраціях солей у галофітів розміри клітин зменшуються, що затримує ріст
рослини. До того ж дуже сильне засолення ґрунтів крім придушення ростових
процесів переводить рослини в стан часткового або короткочасного спокою, що теж
пригнічує зростання (рис.3).

Рис.3. Всі три рослини солонцю
посіяно в один час. Зліва-направо: грунт- без засолення, грунт засолений
сульфатами, грунт засолений хлоридами.
Слід зазначити, що
коренева система у солонця дуже невелика. Найбільша маса
коренів розвивається в грунті до глибини лише 5-6 см. Ендодерма помітна
погано, так як у її клітин потовщені лише радіальні стінки (плями Каспари). При
великому збільшенні видно, що клітини тонкостінної паренхіми, що лежать між
ксилемою і флоемою, розділені тангентальними перегородками. Між ксилемою і
флоемою розташована широка камбіальна зона, що має нерівні обриси і складається
з декількох рядів досить дрібних клітин таблитчатої форми. Вторинне потовщення
пов'язано з закладенням і діяльністю камбію. Вторинна ксилема значно перевищує
за площею флоему і лежить ближче до центру. Вона представлена великими
судинами, волокнами і дрібними клітинами паренхіми. Вторинна флоема, що
знаходиться по периферії камбіальної зони, представлена ситовидними трубками з
простими горизонтальними ситовидними пластинками, клітинами-супутницями і
паренхімою. Первинна флоема розташована на самій периферії пучка, її ситовидні
трубки деформовані. Між провідними пучками знаходяться широкі первинні лубодревесні промені, утворені
міжпучковим камбієм. Великі паренхімні клітини, що утворюють промені, дещо
витягнуті в радіальному напрямку. З поверхні корінь покритий перидермою.
При хлоридному засоленні стимулюється розтягнення клітин, що збільшує
товщину кореня. Галофіти пропускають
через себе багато засолену воду, але не перетворюються при цьому в соляну
бурульку. Продихи галофітів продовжують працювати, навіть при досить високих
концентраціях солей. Засолення (не надмірне) ґрунту стимулює зростання
галофітів, тобто вони звертають собі на користь негативний екологічний фактор. Рослини солонців, зазвичай, не володіють подібними рисами. Це
більш-менш типові ксероморфні рослини, тобто ксерофіти за своїм водним режимом.
Література
1.
Строгонов
Б. П. Физиологические
основы солеустойчивости растений (при разнокачественном засолении почвы). - М.,
1962. - 253с.
2.
Вавилов П. П.
Растениеводство. - М.: Агропромиздат, 1986. - 455с.
3.
Лебедев С. И. Физиология
растений. – М.: Агропромиздат, 1988. - С. 519.
4.
Лосева А. С.,
Петров-Спиридонов А. Е. Устойчивость растений к неблагоприятным факторам среды.
– М.: - изд-во МСХА, - 1983. - 47 с.