Лактюшина Ольга
Александровна
ФГБОУ ВПО «ОмГАУ им.
П.А.Столыпина» Институт ветеринарной медицины и биотехнологии, Россия
Лайм-боррелиоз собак в
г. Омске
В последнее десятилетие значительное внимание во всем мире
уделяется изучению заболеваний людей и животных, передаваемых членистоногими.
Изменение климата, отражающееся в повышение среднегодовых температур на
территории Европы и Европейской части России способствует распространению
основных переносчиков и трансмиссивных заболеваний из южных регионов в
северные.
Трансмиссивные заболевания собак – это группа заболеваний,
опасных для здоровья и жизни собак, переносчиками которых являются кровососущие
насекомые – клещи, блохи, комары, москиты (векторы). Они наносят непоправимый
вред здоровью животных и часто являются трудноизлечимыми или практически
неизлечимыми [5].
В настоящее время изменение климата сопровождается не только
расширением географического ареала жизнедеятельности векторов, но и ростом
плотности их популяции, увеличением длительности жизни и межсезонной активности
[9]. Не ослабевает миграция собак в различные регионы в результате торговли
племенными животными. В тоже время существует недостаток знаний о проблеме
защиты животных от укусов кровососущих насекомых, а также доступных методов
диагностики трансмиссивных заболеваний животных, что способствует их активному
распространению [8].
Болезнь Лайма (лайм-боррелиоз, ИКБ) – это инфекционное
трансмиссивное природно-очаговое заболевание животных и людей, вызываемая
спирохетами Borrelia burgdorferi s.l.,
передающееся иксодовыми клещами, и
характеризующееся преимущественным поражением опорно-двигательного аппарат,
сердечно-сосудистой и нервной системы, а также склонностью к хроническому и
латентному течению. По уровню заболеваемости, тяжести и продолжительности
клинического течения, затруднений в диагностике, а также широкого
распространения она занимает одно из ведущих мест среди природно-очаговых инфекций
в России и за рубежом [4].
В связи с выявлением очагов ИКБ и зараженных
клещей в непосредственной близости от жилищ человека особую актуальность
приобретает вопрос об участии в циркуляции спирохет домашних животных, в
особенности собак, и их заболеваемости указанным зооантропонозом [16].
Восприимчивость к спирохетам у собак очень высокая. Зараженная собака не только
весь период до окончательного выздоровления служит резервуаром инфекции, но и
может передавать возбудителя потомству трансплацентарно и даже с молоком [12].
ИКБ собак интенсивно изучается в США, Канаде,
Японии и странах Европы [2]. В России имеются все условия для циркуляции
возбудителя ИКБ у собак, но заниматься этой проблемой стали лишь недавно, а
диагностика и профилактика боррелиоза животных не узаконена и не принята
ветеринарной практикой [3]. Широкое изучение проблемы ИКБ у собак в России
крайне важно не только с позиции ветеринарии, но и для успешной профилактики ЛБ
человека [6].
Диагностика ИКБ у собак по клиническим признакам
крайне затруднительна, т.к. имеет несколько форм. В России отсутствуют
отечественные тест-системы для иммунологической диагностики ИКБ у собак,
поэтому практикующие ветеринарные врачи при подозрении на данное заболевание
испытывают затруднения в своевременной и правильной диагностике, проведении
лечения и контроля за ним.
Этиология и патогенез.
Возбудителем болезни Лайма является бактерия –
спирохета, относящаяся к порядку Spirochaetales, семейству Spirochaetaceae,
роду Borella, вид Borrelia burgdorferi (рис. 1.). По форме спирохеты напоминают
штопорообразную извитую спираль длиной
4 – 30 мкм и шириной 0,18-0,25 мкм, состоящую из осевой нити, вокруг которой
расположена цитоплазма. Малый диаметр спирохет позволяет им проникать через
большинство бактериальных фильтров. Микробная клетка B.burgdorferi состоит из
плазматического цилиндра, окруженного клеточной мембраной, содержащей
термостабильный липополисахарид. Размеры и форма могут изменяться от условий
существования в разных хозяевах, при культивировании на питательных средах и
под действием антибиотиков.

Рис. 1. Возбудитель–спирохета Borrelia
burgdorferi s.l. (темнопольная микроскопия, х 400).
По Грамму спирохета окрашивается в красный цвет
(грамотрицательная бактерия). Имеет жгутики, число которых у некоторых штаммов
может варьировать.
Боррелии – строгие анаэробы, крайне
требовательны к условиям выращивания. Боррелии культивируются на жидкой питательной
среде, обогащенной аминокислотами, витаминами, альбумином бычьей и кроличьей
плазмы и другими веществами (модифицированная среда BSK-II). Оптимальная
температура роста возбудителя болезни Лайма от 33° до 37° С. Спирохеты могут
сохранять свои свойства при температуре минус 70° С на протяжении нескольких
лет, что позволяет создавать банки штаммов.
В морфологическом отношении эти спирохеты более
сходны с трепонемами, однако крупнее их. Они имеют группы поверхностных (Osp A,
Osp В, Osp С, Osp D, Osp E и OspF), жгутиковых и цитоплазматических антигенов,
которые и определяют различие отдельных штаммов [14].
Боррелии попадают в организм хозяина со слюной
клеща. На коже в месте его присасывания развивается мигрирующая кольцевидная
эритема. Плазминоген, связываясь с боррелиями, активируется, образуется
плазмин, который способствует диссеминации боррелий из места внедрения. С током
лимфы и крови возбудитель попадает во внутренние органы. Боррелии обладают
тропизмом к тем клеткам тканей организма, где увеличен синтез мукополисахаридов
соединительной ткани и коллагена. Под воздействием факторов неспецифической
защиты макроорганизма часть боррелий погибает, выделяя эндотоксин, который
запускает каскад иммунопатологических реакций [11].
Механизмы, с помощью которых B. burgdorferi
выживает в организме хозяина, избегая действия его иммунной защиты, являются
предметом многочисленных исследований [15]. Известно, что эти механизмы
задействуют рекомбинацию генов иммунодоминантных поверхностных белков боррелий,
которая приводит к изменению их антигенных детерминант [4]. Генная конверсия и
точечные мутации вызывают появление новых генетических вариантов боррелий,
способных ускользать от ранее сформированного иммунного ответа организма [8].
При этом существует обратная связь между формирующимся в процессе инфекции
гуморальным ответом и экспрессией ряда поверхностных антигенов боррелий [17].
Индукция гуморального иммунного ответа на
поздних стадиях боррелиоза приводит к накоплению в синовиальной оболочке
суставов, дерме, почках, миокарде специфических иммунных комплексов, содержащих
антигены спирохет. Скоплению иммунных комплексов способствует миграция
нейтрофилов, которые вырабатывают различные медиаторы воспаления, биологически
активные вещества и ферменты, вызывающие воспалительные и дистрофические
изменения в тканях [12].
Постепенно (в течение нескольких недель)
иммунная система животного избавляется от спирохет в органах и суставах,
освобождаясь от клинических признаков болезни. Однако исчезновение клинических
признаков заболевания не означает, что боррелии полностью выведены из организма
собаки. Известно, что инфекции, вызываемые спирохетами, могут персистировать в
организме инфицированной собаки очень долго (до нескольких месяцев и даже лет).
Эпизоотологические и эпидемиологические
особенности Лайм-боррелиоза в г. Омске.
Согласно эпидемиологическим данным на всей
территории Российской Федерации в последние годы резко возросло количество
случаев заболеваемости людей клещевым боррелиозом. В зависимости от региона до
60% клещей в популяции являются переносчиками возбудителя (2,8-6,1% по Омской
области). В Омской области к неблагополучным по иксодовому клещевому боррелиозу
районам относят Большереченский, Большеуковский, Знаменский, Горьковский,
Колосовский, Крутинский, Муромцевский, Нижне-Омский, Омский, Саргатский,
Седельниковский, Тарский, Тевризкий, Тюкалинский, Усть-Ишимский (рис. 2.). По
интенсивности эпидемического процесса и распространению зараженных клещей
ежегодно увеличивается значимость территории самого г. Омска.

Рис. 2. Неблагополучные по инфекционному клещевому
боррелиозу районы Омской области.
По результатам собственных исследований в нашем
регионе из иксодовых клещей встречаются следующие виды:
- I. persulcatus (таежный клещ) – он имеет
первостепенное эпидемиологическое и эпизоотологическое значение, активен с апреля по август (рис. 3.);
- I. ricinus (европейский лесной клещ, собачий
клещ) – активен с апреля по сентябрь (рис. 4.);
- Dermacenter reticulatus – активен в мае и
осенью, эпизоотологического значения по иксодовому клещевому боррелиозу и
клещевому энцефалиту не имеет (рис. 5.). Он является переносчиком
бабезиоза.

Рис.
3. I. persulcatus (таежный клещ).
Рис. 4. I. ricinus (собачий
клещ).

Рис. 5.
Dermacenter reticulatus.
Численность и активность клещей, снятых с собак,
за 2011 – 2013 гг. варьируют в разные годы от 139 до 368 штук (график 1.).
![]()
График 1. Динамика численности иксодовых клещей, снятых с
собак, в г. Омске за 2011-2013 гг.
Снятых с животных клещей (n=846)
мы исследовали методом ПЦР и методом темнопольной микроскопии в лаборатории
клещевых боррелиозов Омского НИИ природно-очаговых инфекций на наличие ИКБ.
Результаты этих исследований были следующие: по ИКБ 23 клеща были положительными,
что соответствует 2,7%. Причем из них 12 клещей принадлежат роду Dermacenter, а
не Ixodes (что является не характерным). При исследовании сывороток крови от 23
собак, клещи от которых были заражены боррелиями, нами выявлены суммарные антитела к антигену в 14 (60,9%) пробах
крови в разведении 1:40 - 1:160, а в девяти (39,1 %) пробах антитела к
антигенам возбудителей ИКБ не выявлены.
Отсутствие антител у собак, которые подверглись
покусам клещей можно объяснить тем, что, несмотря на
присутствие в клеще боррелий, заражение не произошло. Это зависит от вида клеща и времени кровососания.
Полученные нами результаты согласуются с литературными данными [7]. Только
клещи с боррелиями в слюнных железах способны передавать их со слюной животным
и человеку во время укуса.
Решение проблемы диагностики паразитарных
болезней животных с помощью серологических методов является перспективным
направлением, которое значительно ускоряет время постановки диагноза и повышает
чувствительность метода.
По данным Госветотчетности ИКБ у животных в
Омске (Омской области) не регистрируется. Диагностика клещевого боррелиоза в
Областной ветлаборатории не ведется.
С целью выяснения эпизоотологической ситуации в
период 2011-2013 гг. методом РНИФ было
исследовано 196 проб сыворотки крови от
клинически здоровых собак и 236 проб – от заболевших собак, но не с
симптомами поражения опорно-двигательного аппарата. Все результаты были
отрицательными.
Клиническая картина.
За отчетный период клиническому осмотру было
подвергнуто 246 собак с внезапными приступами боли в суставах, хромотой, в
возрасте от 2 месяцев до 17 лет, с живой массой тела от 1,5 до 65 кг, разного
пола (90 суки и 156 кобелей) и пород (лайка, ротвейлер, лабрадор,
лабрадор-ретривер, немецкая, кавказская, среднеазиатская,
восточно-европейская овчарки, мопс,
английский коккер-спаниель, той-терьер, йоркширский терьер, пинчер, пикенес,
шелти, шпиц, грифон, такса, пудель, чау-чау, шар-пей, американский
стаффордширский терьер, дратхар, боксер, японский хин, джек рассел терьер,
бассет хаунд, риджбек, фокс-терьер, беспородные).
Из них у 16 (6,5%) при серологическом
исследовании крови отмечали высокий титр антител к боррелиям – 1:40-1:160.
У всех животных наблюдали схожие клинические
признаки: повышение температуры тела в пределах 39,5º-41,0ºС,
анорексию, угнетение, общую слабость, изменение походки, хромоту разной
степени, при пальпации болезненность преимущественно в тазобедренных суставах
разной интенсивности. У 132 собак (53,6%) в анамнезе была клещевая инвазия за
несколько месяцев до появления клинических признаков, у 54 животных (21,9%) –
тупая травма суставов (падения с высоты, удары об окружающие предметы и др.).
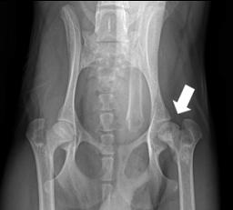
При рентгенологическом обследовании (рис. 6) у
96 собак (39 %) выявлены признаки артрита (расширение суставной щели,
разрежение костной ткани, изменение рельефа суставных поверхностей, уплотнение
тканей суставных связок).

Рис. 6. Рентгенологический снимок тазо-бедренного сустава
двухгодовалой немецкой овчарки с
признаками артрита.
При морфологическом исследовании крови у 224
заболевших (91 %) регистрировали повышение СОЭ (18-36 мм/ч) и нейтрофильный
лейкоцитоз со сдвигом ядра влево (лейкоциты – 35-57 тыс/мкл). Результаты
проведенных биохимических исследований показали у 65 больных собак (26,4%)
повышенное содержание в сыворотки крови аспартатаминотрансферазы (АСТ), которое
составляло от 44 до 112 МЕ/л. Уровень аланинаминотрансферазы (АЛТ) был повышен
только у 74 животных (30%) и составлял от 75 до 134 МЕ/л. У 34 собак (13,8%)
отмечалось повышение креатинина (от
153,2 до 212 ммоль/л) и мочевины (от 10,1 до 26,4 ммоль/л). Содержание в
сыворотке крови глюкозы составляло от 2,6 до 6,4 ммоль/л, общего белка от 36,7
до 75,4 г/л.
При серологическом исследовании крови у 26 собак
(10,6%) отмечали высокий титр антител к боррелиям (у 12 животных он составил
1:160, у 5 – 1:80 и у 9 – 1:40).
Лечение.
Возбудитель клещевого боррелиоза, как и другие
патогенные спирохеты, чувствителен к антибиотикам, поэтому лечение больных
животных, особенно в остром периоде заболевания, проблема решенная [13]. Тем не
менее, успех химиотерапевтического лечения во многом зависит от своевременной
диагностики, правильной оценки периода болезни и выраженности клинических
признаков с учетом органных поражений. Своевременно начатое лечение создает
предпосылки локализации инфекции в первичном кожном очаге, предотвращает
гематогенную диссеминацию боррелий [4,10]. Целесообразность сочетания
этиотропной терапии с методами патогенетического и симптоматического лечения
подчеркивается большинством авторов [1]. Поскольку нередко на фоне применения
антибактериальных препаратов наблюдается выраженное обострение симптомов
болезни, что обусловлено массовой гибелью спирохет и выходом эндотоксинов в
кровь [18].
Для этиотропной терапии Лайм-боррелиоза в
основном используются антибиотики трех фармакологических групп: тетрациклины,
пенициллины и цефалоспорины [3]. Результаты применения макролидов при
Лайм-боррелиозе носят противоречивый характер и до настоящего времени не
существует единой точки зрения об эффективности этой группы антибиотиков [7].
Таким образом, одной из задач нашего
исследования стало изучение эффективности антибиотиков разных фармакологических
групп при лечении клещевого боррелиоза у собак.
Исследование проводили на базе одной из
ветеринарной клиники г. Омска в условиях круглосуточного стационара. В
исследования были включены 10 собак с клиническими признаками болезни Лайма
различных пород (такса, лабрадор, немецкая овчарка, шар-пей, русский
той-терьер, американский кокер-спаниель, помесные, лабрадор-ретривер), возраста
(с 9 мес. до 6 лет), пола (4 суки и 6 кобелей) и массы тела (от 3 кг до 45 кг).
Всех животных распределили случайным методом на две группы по пять особей в
каждой.
Собакам обеих групп проводили симптоматическую
терапию, включающую в качестве обезболивающего, противовоспалительного и жаропонижающего средства 5% раствор римадила
в дозе 4 мг/кг подкожно двухкратно с интервалом 24ч, сердечный препарат
(раствор рибоксина в дозе 20 мг/кг 1 раз/сутки внутривенно струйно в течение
3-5 дней), внутривенные инфузии 0,9% раствора натрия хлорида в объеме 80-100
мл, витаминно-минеральные добавки (витам в дозе 5 мл/10кг 1 раз/сутки в течение
5-7 дней струйно или подкожно).
Животные первой группы в дополнение к
симптоматической терапии получали антибиотик цефтриаксон (цефтриаксон в форме
динатриевой соли) в дозе 20 мг/кг массы тела внутримышечно 1 раз/сутки, собакам
второй группы вводили оксивет (1 мл содержит 50 мг окситетрациклина
гидрохлорида и растворитель) в дозе 1-2 мл/10 кг внутримышечно 1 раз в 48 ч на
протяжении двух недель.
Клиническое состояние собак оценивали перед
началом исследования (таблица 1.) и спустя 14 дней. Кроме того, учитывали
следующие моменты: физическая активность, аппетит, походка, болезненность в
суставах. Титр антител к Borrelia burgdorferi составил у четырех животных (40%)
1:80, у шести (60%) - 1:160.
Таблица 1.
Клинические
признаки у собак при клещевом боррелиозе
|
Симптомы
|
Результат
исследования |
|||||||||
|
1
группа (n=5) |
2
группа (n=5) |
|||||||||
|
кокер-спаниель |
той-терьер |
лабрадор-ретривер |
беспородная |
нем. овчарка |
шар-пей |
беспородная |
такса |
немецкая
овчарка |
лабрадор |
|
|
Температура
тела, °C |
39,5 |
39,6 |
40,0 |
39,5 |
39,8 |
39,6 |
39,8 |
39,4 |
39,9 |
41,0 |
|
Анорексия
|
+ |
+ |
+ |
+ |
+ |
+ |
+ |
+ |
+ |
+ |
|
Физическая
активность |
угнетение,
общая слабость |
|||||||||
|
Изменение
походки |
+ |
+ |
+ |
- |
+ |
+ |
- |
+ |
+ |
+ |
|
Хромота
|
на
задние конечности |
на
переднюю правую лапу |
на
задние конечности |
- |
на
правую переднюю и правую заднюю конечность |
на
задние конечности |
- |
на
правую переднюю и правую заднюю конечность |
на
правую переднюю и правую заднюю конечность |
на
переднюю правую лапу |
|
Болезнен-ность
в суставах при пальпации |
- |
- |
- |
- |
+ |
- |
- |
- |
- |
+ |
В
результате лечения улучшение клинического состояния (возросла физическая
активность, нормализовались температура и аппетит, уменьшилась болезненность в
суставах) у собак первой группы наблюдали уже на следующий день, во второй
группе – после второй инъекции антибиотика, т.е. на четвертый день. Через 14
дней от начала лечения все животные были клинически здоровы. После курса
лечения титр антител у трех собак первой группы (60%) составил 1:40, у двух собак (40%) антител в крови не
обнаружено, во второй группе – у одного животного 1:40 (20%), у остальных
особей 1:80 (80%), что свидетельствует о преимуществе цефтриаксона перед
оксиветом.
Литература.
1. Ананьева Л. П. Лайм-боррелиоз или иксодовые
клещевые боррелиозы. Часть 2. Лечение и профилактика // Инфекции и
антимикробная терапия. – 2002. – Т.4, № 3. – С. 68–71.
2. Белименко
В.В. Бабезиоз собак в Оренбургской и Московской областях: диссертация канд.
биол. наук. – М., 2008. – 141 с.
3. Васильева
И.С., Ришина Н. А. Заболевание собак Лайм-боррелиозом и их роль в поддержании
природных очагов инфекций// РЭТ-инфо. - 2003, №3. - С. 10-14.
4. Воробьева
Н.Н. Клиника, лечение и профилактика иксодовых клещевых боррелиозов / Н.Н.
Воробьева. – Пермь: Урал-Пресс, 1998. – 159 с.
5. Деконенко
Е.П. Лайм-боррелиоз. Инфекционные болезни. Руководство по внутренним болезням /
под общ. ред. В.И. Покровского. – М.: Медицина, 1996. – С. 428-434.
6. Карташов С.Н., Ключников
А.Г., Ермаков А.М. и др. Клинико-лабораторные особенности эрлихиоза у собак //
Ветеринария Кубани.- 2010. - №4.- С. 24-26.
7. Лобзин Ю.В. Серия: актуальные
инфекции. Лайм-боррелиоз (иксодовые клещевые боррелиозы)/ Ю.В. Лобзин, А.Н.
Усков, С.С. Козлов. – С-Пб: Фолиант, 2000. – 160 с.
8. Макаров В.В., Бетлинг
Е.С., Тимофеев Б.А. Боррелиоз Лайма // Эпидемиология и инфекционные болезни. -
2004. - №5. - С. 11-13.
9. Малый В.П., Шепилева Н.В., Ткаченко Л.В. Клещевые инфекции в Харьковской
области // Международный медицинский журнал. - 2010. - №3. - С. 99-102.
10. Манзенюк И.Н. Клещевые боррелиозы (болезнь Лайма)/ И.Н. Манзенюк, О.Ю. Манзенюк. - Кольцово,
2005. - 85 с.
11. Новикова Т.В., Молотова
Н.В., Рыбакова Н.А., Филоненко И.В., Чубарова Т.В., Щустрова М.В. Экология иксодовых
клещей и эпизоотология передаваемых ими заболеваний // Ветеринария. – 2004. -
№11. – С. 32-34.
12. Пустовит Н.С. Сезонная динамика и клинические проявления болезни Лайма у
собак Московской области // Паразитология и инвазионные болезни животных.-
1998, - № 4.- С. 239-240.
13. Санин А. В. Ветеринарный справочник традиционных и нетрадиционных методов
лечения собак. – М.: Колос, 2003. – 156 с.
14. Шуляк Б.Ф. Болезнь Лайма у собак // Практик. - 2003. - №7-8. - С. 90-97.
15. Anguita J., Samanta S., Revilla B. Lyme disease
/ Anguita J., Samanta S., Revilla B. et al. // Infect. Immunol. – 2000. – Vol. 68. –
P.1222–1230.
16. Appel M.J. Experimental Lyme disease in dogs
produces arthritis and persistent infection / Appel M.J., Allan S., Jacobson
R.H. et al. // J. Infect. Dis. – 1993.
– №3. – Р.651-654.
17. Barthold S. // Infect. Immunol. – 1999. – Vol.
67. – P.36–42.
18. Golightly M.G., Thomas J.A., Viciana A.L. The
laboratory diagnosis of Lyme Borreliosis., Lab Med, 1990; No. 21, Р. 299-304.