Д.мед.н. Бабкіна О.П., Калашніков Д.А.
ДЗ « Луганський
державний медичний університет» (ректор – В.К. Івченко)
Донецьке обласне
бюро судово-медичної експертизи (начальник – Калашніков Д.А.)
ВИВЧЕННЯ ОСОБЛИВОСТЕЙ ЗМІН МОРФОЛОГІЧНИХ
ПОКАЗНИКІВ НИРОК ЗАЛЕЖНО ВІД СТРОКІВ МЕХАНИЧНИХ УШКОДЖЕНЬ
Вступ. В загальній структурі механічних ушкоджень
травма органів черевної порожнини та заочеревинного простору складає 5-10 %, з
яких до 56 % припадає на печінку, 24-42 % – на тонку кишку, заочеревинна
гематома зустрічається в 5-50 % спостережень [1-3]. У групі відкритих ушкоджень
черевної порожнини превалюють колено-різані поранення (80 %), а також
вогнепальні поранення, які характеризуються значною зоною деструкції м’яких
тканин і ушкодженнями паренхіматозних органів. За останній час спостерігається
також збільшення кількості закритих пошкоджень живота, які супроводжуються
порушенням цілісності органів [4].
Зв'язок
роботи з науковими програмами, планами, темами. Стаття є фрагментом науково-дослідницької
роботи за темою: « Вплив
ендогенних та екзогенних факторів на стійкість організму до дії патогенних
подразників та їх корекція» і має номер
державної реєстрації 0113u002551.
Метою даної роботи було вивчення особливостей змін гістологічних показників
травмованих тканин нирок при різноманітних видах механічних ушкоджень в
залежності від механізму та давності їх
заподіяння.
Матеріал та методи
дослідження. Матеріалом дослідження на сьогоднішній час є тканини лівої та правої нирок 58 трупів осіб
чоловічої та жіночої статі, віком від 20 до 60 років, що загиблі при відомому
часі травми і відомому часі настання
смерті при наявності та відсутності алкоголю в крові та підлягали розтину в
танатологічному відділі бюро судово-медичної експертизи м. Донецьк протягом
2010-2013 років. Забір тканин травмованих органів здійснювався при температурі
повітря в морзі від + 16 до 25 С, відносній вологості – 40-60 %. Після забору
тканин подалі проводилась фіксація тканин, потім готувалися тонкі парафінові зрізи,
які фарбувалися гематоксиліном та
еозином, 3% пікрофуксином за Ван-Гизон, а потім досліджувались
гістологічним методом.
Результати та їх
обговорення. За нашими даними в перші години після травми нирок по
периферії ушкодження спостерігається порушення кровообігу; судини
нерівномірного кровонаповнення з лейкостазами та сепарацією плазми в просвітах
окремих судин. Стінки артерій нерівномірні, місцями потовщені за рахунок
набряку, спазмовані. Строма мозкового та місцями коркового слоїв набрякла.
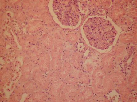
Через 6-12 годин після травми продовжується спостерігатися спостерігається
порушення кровообігу; судини нерівномірного кровонаповненн з лейкостазами та
сепарацією плазми в просвітах окремих судин, виявляються дистрофічні зміни у
епітелії канальців: місцями епітелій набухлий, вакуолізований, в інших ділянках
епітелій глибчастий, спостерігається відсутність ядер епітелію, що відображено
на рисунку 1. Протягом 12-24 годин на фоні вищезазначених змін в стромі дифузно
визначаються поодинокі лейкоцити, кількість яких зменшується, цілісність
багатьох лейкоцитів порушена, наростає
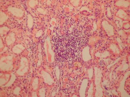
кількість лімфоідних інфільтратів, виявляються поодинокі гістіоцити. Через 2-3
доби після заподіяння травми починаються ознаки організації: в стромі виявляється
наростання лімфогістіоцитарної інфільтрації, що відображено на рисунку 2,
починається утворення тонкостінних судин зі стінок капілярів. В даний термін
(2-3 доби) в стромі також визначаються ознаки компенсаторної гіпертрофії
нефронів. Ближче к 4-6 добам молода грануляційна тканина стає більш зрілою,
починається формування рубців. В даній термін заподіяння травми
виявляються вогнища склерозу в
корковому шарі. Після 6 доби з моменту з моменту отримання травми продовжуються
процеси організації, деякий час ще зберігається лімфогістіоцитарна інфільтрація,
продовжується формування судинно-тканинних
рубців.

Рис. 1. Дистрофічні
зміни епітелію канальців. Забарвлення гемотоксилин-еозіном. Х.200.

Рис. 2. Вогнищева гістіоцитарна інфільтрація. Забарвлення гемотоксилин-еозіном. Х 200.
В зоні ушкодження в перші часи після травми
спостерігається недокрів'я судин, їх спазмованість, вогнищеві скупчення
еритроцитів з чіткими контурами, в центрі виявляється гемоліз окремих груп,
присутня домішка поодиноких лейкоцитів, гранулоцитів, мозковий та частково
корковий шари інфільтровані (рис. 3). В терміни 12-24 годин йде розпад
еритроцитів, навкруги зони ушкодження виявляється накопичення лейкоцитів, а
також починають з'являтися нитки фібрину, які починають формувати демаркаційний
вал. Епітелій канальців безструктурний, епіталізований. В наступні 2-3 доби
виражений розпад еритроцитів, нитки фібрину формують добре виражений
демаркаційний вал, виявляється паренхіматозний некроз; в звистих канальцях
спостерігається злущення епітелію та накопичення білку.

Рис.3.
Крововилив в паренхіму нирки. Забарвлення гемотоксилин-еозіном. Х 200.
В подальшому, в термін 4-6 годин після травми в корковому
шарі спостерігаються значні ділянки розростання сполученої тканини, окремі
клубочки заміщені волокнистою сполученою тканиною, в звивистих канальцях
епітелій некротизиваний в більшості канальців, в стромі коркового шару судини
мають потовщені стінки за рахунок волокнистої сполученої тканини з ознаками
еластофіброзу, у канальцях мозкового шару цитоплазма епітелію містить бурий
пігмент,в стромі мозкового слою ділянки розростання волокнистої сполученої
тканини. При гістологічному досліджені більше 6 діб ділянки розростання
волокнистої сполученою тканини збільшуються, ділянки некротизації епітелію в
звивистих канальцях поширюються, продовжується заміщення клубочків волокнистою
сполученою тканиною, в цитоплазмі епітелію спостерігається бурий пігмент.
Висновки. Таким чином, в результаті проведених досліджень нами виявлена закономірна
динаміка змін гістологічних показників нирок у загиблих, які померли внаслідок
заподіяних травм, що вказує на можливість розробки комплексу критеріїв для
оцінки встановлення давності виникнення ушкоджень внутрішніх органів поза
черевного простору, зокрема нирок. При встановленні часу заподіяння травми
обов'язково слід враховувати зовнішні та внутрішні чинники, які могли
спостерігатися у травмованих та померлих при різноманітних видах травм, а саме:
наявності захворювань, алкоголю, синдрому взаємного утягнення, травматичної
хвороби, індивідуальних особливостей організму, обставин та механізму травми,
наявність супутніх ушкоджень та локалізацію, характер і обсяг самого ушкодження
нирки.
Література
1.Амирова А.А.
Травма паренхиматозных органов брюшной полости и забрюшинного пространства:
эхографические аспекты диагностики в выборе тактики хирургического лечения:
дис. ... канд. мед. наук: 14.00.27 / А.А. Амирова. - Москва, 2008. - 184
c.
2.
Антонюк М.Г. Аналіз летальності при тяжкій закритій торакоабдомінальній травмі
/ М.Г. Антонюк // Клінічна хірургія. - 2003. - № 10. - С. 26-28.
3.Митин
К.С. Изменения ультраструктуры почек и легких в динамике аутолиза как
показатель давности наступления смерти / К.С. Митин, Ю.Л. Мельников, М.Е.
Березовський, З.Т. Джаманкулов // Судебно-медицинская экспертиза. - 1986. - Т.
29, № 3. - С. 8-11.
4.Гыскэ
А.В. Судебно-медицинская характеристика повреждений почек при закрытой тупой
травме живота: автореф. дис. … канд. мед. наук: 14.00.24 «Судебная медицина» /
А.В. Гыксэ. - М., 1988. - 21 с.