Орлова Т.Б., Алимбаева Б.Ж., Хохлова В.А., Попова М.Р.
ГККП на ПХВ
«Патологоанатомическое бюро», г.Астана
Синдром Казабаха-Меррита- случай из практики.
В
структуре онкологических заболеваний детского возраста наиболее часто
встречаются сосудистые опухоли. Среди доброкачественных новообразований опухоли
сосудов составляют 50,6%, из них на долю гемангиом приходится 81,3% случаев. Синдром Казабаха-Мерритта встречается
только на первом году жизни, проявляется в виде интенсивно растущих гемангиом различной локализации
и разного гистологического строения в сочетании с тромбоцитопенией и общими
коагуляционными нарушениями (описан
H.Kasabach, K.Меrritt в 1940 г.). Рост данного опухолевого образования
чрезвычайно бурный и скорость роста может достигать до 1 см в день. Кроме того,
гемангиомы обладают способностью к инфильтрирующему росту, в связи, с чем склонны к рецидивам.
Кровоточивость (геморрагии в кожу, кровотечения из слизистых оболочек, мелена,
кровоизлияния в мозг) связана в основном с выраженной тромбоцитопенией,
обусловленной укорочением жизни кровяных пластинок в кровотоке - задержкой,
агрегацией и мацерацией их в гемангиоме, а возможно, и с иммунным повреждением.
При отсутствии возможности радикального удаления опухоли лечение состоит в
назначении переливаний крови, тромбомассы, антикоагулянтов и кортикостероидов,
лучевой терапии. Дети умирают от
кровотечения из опухоли.
В виду редкости указанной патологии в педиатрической
практике приводим собственное
наблюдение: Мальчик И., от первой
беременности, преждевременных оперативных родов в сроке 26-27 недель
беременности, массой 1000,0г. Возраст
матери 21 г. Беременность у женщины
протекала на фоне кандидоза, ОРВИ, преэклампсии тяжелой, хронического
пиелонефрита. При рождении оценка по Сильверману на 7-8 баллов, по таблице
Дементьевой соответствует 27 неделям гестации. Состояние ребенка при рождении: очень тяжелое за счет СДР
3степени, гипоксического поражения ЦНС на фоне незрелости органов и систем,
глубокой недоношенности. На коже правого предплечья уплощенное, опухолевидное
образование размером 3,5х7 см темно-вишневого цвета проникающее в подлежащие
мягкие ткани. С 3-х суток у ребенка
выраженный ДВС синдром, тяжелая анемия. В динамике отмечается прогрессирование роста и интенсивности образования
правого предплечья, анемии и тромбоцитопении. На 4 сутки произошло
внутрижелудочковое кровоизлияние с нарастанием вплоть до паренхиматозного
кровоизлияния. Впоследствии
присоединилась постнатальная пневмония. В возрасте 1 месяц 11суток наступила
смерть.
При патологоанатомическом
исследовании:
в ходе аутопсии обнаружены гемангиомы
смешанного строения на правом предплечье (размером 7х4,5 см), в
I
сегменте верхней доли правого легкого (4х3х0,5 см), на передней поверхности нижней доли правого легкого
(2,5х2,5х0,5
см). При микроскопическом
исследовании: в
верхней и нижней долях правого легкого, определяются множественные
капиллярно-кавернозные ангиоэктазии, представленные сосудистыми полостями,
различной величины и формы, выстланные
одним слоем уплощенных эндотелиальных клеток и разделены
соединительнотканными прослойками различной величины (Рис.1). В просвете
полостей эритроциты. На остальном
протяжении морфологическая структура ткани не нарушена.

Рис.1
Капиллярно-кавернозные ангиоэктазии в правом легком.
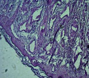
Гистопатологическое
исследование кожного лоскута с правого
предплечья - субэпителиально
определяются множественные капиллярно-кавернозные ангиоэктазии сосудистыми полостями, различной величины и формы,
выстланные одним слоем уплощенных
эндотелиальных клеток (Рис.2).

Рис.2
Капиллярно-кавернозные ангиоэктазии в коже правого предплечья
Таким
образом, причиной летального исхода в данном случае явилось нарушение
микроциркуляции, снижение скорости кровотока,
нарушение показателей свертывающей системы крови и накопление тромбоцитов в огромном сосудистом
ложе гемангиомы. Заболевание имело волнообразное течение
с наступлением непрогнозированных
тяжелых осложнений.