Биологические
науки /биохимия и биофизика
К.б.н Булякова Н.В., Азарова В.С.
ФУНКЦИОНАЛЬНОЕ СОСТОЯНИЕ МОЗГОВОГО ВЕЩЕСТВА В ТИМУСЕ ОДНОМЕСЯЧНЫХ КРЫСЯТ
В УСЛОВИЯХ ЛАЗЕРНОГО ОБЛУЧЕНИЯ, МЫШЕЧНОЙ ТРАВМЫ И АЛЛОПЛАСТИКИ
Лазерное излучение
оказывает системное воздействие на организм, в частности, при терапии органов и
тканей влияет на функциональное
состояние тимуса. Известно, что клетки нейроэндокринной системы, расположенные преимущественно в мозговом веществе тимуса, выделяют
гормоны, которые обладают выраженной
иммунорегуляторной активностью и координируют взаимодействие между тимоцитами и
клетками микроокружения.
Характерной структурной особенностью
мозгового вещества тимуса является наличие в нем телец Гассаля, периодически
образующихся из эпителиальных клеток и разрушающихся в ходе процессов
жизнедеятельности. Тельца Гассаля содержат большое количество
тканеспецифичных антигенов [1]. При разрушении телец с помощью макрофагов происходит процесс антигенпрезентации. Целью
данного исследования было оценить реактивные изменения телец Гассаля в тимусе
1-месячных крысят в ответ на
аллопластику мышечной раны в различных условиях облучения He-Ne
лазером. Материал и методы. Эксперимент проведен на беспородных крысах-самцах. Функциональное состояние
мозгового вещества в тимусе было исследовано при следующих условиях
восстановления травмированных мышц. В одной группе перед операцией в течение 2-х нед обе задние конечности животных
в области проекции икроножных мышц подвергались предварительномувоздействию лучей
He-Ne лазера (10 экспозиций по 3 мин, суммарно
в дозе 4.5–5.4 Дж/см2 на
каждую конечность). В другой группе крысята не облучались. На следующий день
после лазерного воздействия была проведена перекрестная аллопластика между
облученными и необлученными животными. В каждой группе у животных
полностью перерезали правые икроножные мышцы и в область травмы имплантировали
некоторое количество мышечной ткани,
вырезанной в момент операции из левой
не оперированной икроножной мышцы крысы другой группы. Эксперимент состоял
из четырех серий. Контроль-1: необлученные крысята до операции. Опыт-1: реципиент, у которого
необлученная лазером икроножная мышца и облученный аллоплант. Контроль-2:
крысята после 10 лазерных экспозиций до операции. Опыт-2: реципиент, у которого облученная икроножная мышца и
необлученный аллоплант. Поскольку в опыте-1 и опыте-2 одно и то же животное
было и донором, и реципиентом, генетические различия, т. е. варианты
несовместимости мышечной ткани у животных в обеих сериях, должны быть
одинаковы. У каждого животного
“методом полей” с помощью тестовой окулярной сетки на 3-4-х тимусных срезах
измеряли площадь мозгового вещества (в % от общей площади среза), подсчитывали число телец Гассаля и
количество их выражали в относительных
единицах (число тимических телец на единицу площади мозгового вещества). Для
цитологического анализа в мозговом слое было подсчитано до 2000-2500 клеток,
определен митотический индекс (МИ, ‰) и число лимфоцитов с кариопикнозом (%).
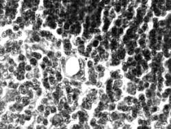
Срезы окрашивали железным гематоксилином по Рего и Маллори. Результаты. Контроль-1. У животных
до операции количество мозгового вещества в тимусе составляло 15.48±1.10%.
Тимоциты располагались плотно. МИ и
количество лимфоидных клеток с пикнотическими
ядрами равнялось 7.37±1.12‰ и 0.48±0.04 % соответственно. На единицу площади
мозгового вещества приходилось 0.5 телец Гассаля. Они имели разную величину и находились на разных стадиях
развития. Преобладали тельца, в центре
которых отмечались тени клеток с гипертрофированными ядрами или формировалась
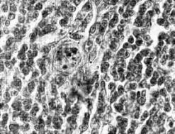
пустая полость (рис.1). В опыте-1 через
30 сут после имплантации облученной лазером аллогенной мышечной ткани
количество мозгового вещества в тимусе имело тенденцию к увеличению
(19.00±1.53%). На фоне достоверного повышения МИ тимоцитов (14.69‰±1.08, p<0.01) число клеток с
пикнотическими ядрами не превышало уровень в контроле-1 (0.44±0.09%).
Количество телец Гассаля увеличивалось до 1.9 на ед. площади. Кроме телец с
образующейся полостью встречались тельца, в полости которых видны клетки с
распадающимися ядрами (рис. 2). Контроль-2. Предварительное воздействие
лазера на икроножные

рис. 1
рис. 2
мышцы, подготавливаемые к операции, количество
мозгового вещества (14.26±1.67%), МИ
тимоцитов (8.9.6±1.03‰) и число клеток с пикнозом ядер (0.38±0.07%) не
отличались достоверно от соответствующих показателей у необлученных лазером
крыс до операции (контроль-1). Тимоциты
располагались сравнительно плотно. На
единицу площади мозгового вещества приходилось 1.06 тельца. Чаще встречались молодые
тельца, представленные скоплением 7-12 крупных клеток с гипертрофированными
ядрами, и тельца, в полости которых
появлялись 1-2 клетки с уплотненными ядрами или отмечались остатки клеточного
детрита (рис. 3). В опыте-2 через 30
сут после аллопластики облученной
мышцы реципиента количество мозгового вещества (17.95±1.67%),МИ тимоцитов
(11.00±1.38‰) и пикноз ядер (0.58±0.10%) имели тенденцию к увеличению по
сравнению с контролем-2. Количество
телец Гассаля увеличивалось до 1.6 на ед. площади. Среди

рис.
3
рис. 4
них преобладали тельца
с образующейся полостью
и тельца, в полости
которых встречается
клеточный детрит или клетки разной величины, в том числе с уплотненным ядром и
формирующимся кератиновым ядром (рис.4). Обсуждение. Полученные результаты показали,
что лазерное излучение в указанной дозе и режиме воздействия влияет на
функциональное состояние мозгового вещества в тимусе крыс-реципиентов, о чем
судили на основании анализа телец Гассаля. Перед операцией у облученных лазером
крыс-реципиентов (контроль-2)
количество телец Гассаля увеличивалось в 2.1 раза по сравнению с
необлученными крысами-рецепиентами (контроль-1). После аллопластики мышечной
ткани наибольшее увеличение телец Гассаля (в 4 раза) наблюдалось в опыте-1 по сравнению с контролем-1, т.е. у
необлученных крыс-реципиентов при аллопластике облученной ткани. И наоборот, в опыте-2 по сравнению с
контролем-2 количество телец
увеличилось только в 1.5 раза. Увеличение количества телец Гассаля может быть
обусловлено появлением новых тканевых
антигенов после воздействия лазерного облучения и аллопластики, а также усилением их регулирующей активности на фоне
значительного увеличения количества пролиферирующих тимоцитов. Более низкая
реакция мозгового вещества в тимусе предварительно облученных реципиентов по
сравнению с необлученными может свидетельствовать о снижении чувствительности
тимуса к генетически чужеродной ткани.
ЛИТЕРАТУРА: 1. Беловешкин
А. Г. Роль телец Гассаля тимуса человека в позитивной и негативной селекции
тимоцитов / А. Г. Беловешкин // Молодой ученый. — 2012. — №7. — С. 334-338.