Медицина/
7. Клиническая медицина
Бабина К.С.
Первый МГМУ им. И.М. Сеченова, Россия
Оценка влияния
гигиенического ополаскивателя «неолактоферрин дента» на формирование и рост
биопленки
Кариес зубов
и заболевания пародонта широко распространены среди населения [1, 2, 3, 6, 7].
Микроорганизмы играют важную, если не сказать, решающую роль в развитии
стоматологических заболеваний [1-8, 11-14, 16].
Из полости
рта человека выделено более 700 видов различных представителей микробной флоры,
что дает основание считать ее наиболее разнообразной средой человеческого
организма [11,12].
Накопление
микроорганизмов на поверхности зуба традиционно получило название «бляшки».
Зубная бляшка представляет собой многовидовое сообщество микроорганизмов,
располагающихся на поверхности зубов в виде биопленки [5, 11, 13, 14, 16].
Недавние исследования показали, что биопленка является предпочтительной формой
жизнедеятельности и роста большинства микроорганизмов [4, 11, 13, 14].
Микробная
биопленка является важным звеном в этиопатогенезе кариеса и заболеваний
пародонта [5]. Патологический процесс связан с высоким содержанием тех видов,
которые в норме составляют лишь малую часть микробной флоры полости рта.
Таким образом,
необходимо поддерживать зубной налет на уровне совместимом со здоровьем для
поддержания гомеостаза микробов, нарушение которого ведет к повышению риска
развития заболеваний [5, 6, 8, 13].
Секрет
слюнных желез содержит целый ряд защитных факторов, которые способствуют
сохранению динамичного равновесия между резидентной микрофлорой и организмом
хозяина, одним из них является лактоферрин.
Лактоферрин
относится к семейству трансферринов - гликопротеинов, переносящих ионы железа.
Лактоферрин уникален своей исключительной полифункциональностью. Его защитные
свойства заключаются как в
противоопухолевом, противовоспалительном, иммуномоделирующем действии
так и в противомикробной активности в отношении целого ряда микроорганизмов.
Антимикробное
действие лактоферрина обусловлено его способностью связывать ионы железа, тем
самым лишая микроорганизмы элемента, необходимого для их жизнедеятельности.
Кроме того в исследованиях in vitro
доказано противовоспалительное действие этого белка [9].
Лактоферрин
является защитным фактором в борьбе с патогенными микроорганизмами, включая Str.
Mutans и Candida albicans.
Заболевания пародонта включают целую группу поражений, вызванных
пародонтопатогенными микроорганизмами. В последнее время широко изучалась
антимикробная активность и биологическая эффективность лактоферрина в отношении
Aggregatibacter actinomycetemcomitans, Porphyromonas gingivalis, и Prevotella intermedia [10, 15].
Также большое внимание уделяется лактоферрину в качестве маркёра
воспалительных заболеваний пародонта, основанное на его количественной оценке в
десневой жидкости.
Пародонтопатогенные микроорганизмы присутствуют в составе под- и
наддесневой биоплёнки. Многие исследования указывают на антибактериальную
активность лактоферрина в отношении P. gingivalis и P. Intermedia, кроме того он обладает выраженным ингибирующим
воздействием на рост биоплёнки и уменьшает концентрацию этих микроорганизмов в
уже имеющейся зубной бляшке. Так, одно из клинических исследований показало,
что назначение коровьего лактоферрина уменьшило количесвенное значение P. gingivalis и P. intermedia в поддесневой бляшке у
пациентов с хроническими формами пародонтитов. Таким образом, лактоферрин
показал ингибирующее действие в образовании биопленки в исследованиях in vitro и in vivo [10, 15].
В связи с
этим использование лактоферрина в качестве лекарственного препарата для
профилактики и лечения таких заболеваний как кариес и воспалительные
заболевания пародонта представляется довольно перспективным. С этой целью был
создан также целый ряд дополнительных средств индивидуальной гигиены полости
рта, в том числе зубные пасты, гигиенические пенки и ополаскиватели.
Цель исследования: Определить влияние гигиенической пенки
«неолактоферрин дента» на формирование и рост биоплёнки на основании индексной
оценки гигиенического состояния полости рта.
Материалы и методы:
В исследовании приняли
участие 60 человек в возрасте от 20 до 53 лет, из них 38 женщин и 22
мужчины. Участники исследования были
разделены по случайному признаку на 5 групп (дизайн исследования «split
mouth»):
1) 1 группе было предложено
очищать левую половину зубных рядов верхней и нижней челюсти (2 и 3 квадранты)
при помощи зубной щётки и пасты, правую (1 и 4 квадранты) – не очищать в
течение 3 дней;
2) 2 группе было предложено
не использовать зубную щётку и пасту в течение 3 дней и применять аппликации
ополаскивателя «неолактоферрин дента»
на правой стороне зубных рядов(1 и 4 квадранты);
3) 3 группе было предложено
очищать левую половину зубных рядов (2 и 3 квадранты) при помощи зубной щётки и
пасты, на правой стороне (1 и 4 квадранты) - применять аппликации гигиенического ополаскивателя
«неолактоферрин дента»;
4) 4 группе было предложено
не использовать зубную щётку и пасту в течение 3 дней и применять ватные
валики, смоченные водой, на правой
стороне зубных рядов (1 и 4 квадранты);
5) 5 группе было предложено
очищать левую половину зубных рядов (2 и 3 квадранты) при помощи зубной щётки и
пасты, на правой стороне (1 и 4квадранты) - применять ватные валики, смоченные
водой.
При
формировании групп участников исследования учитывались следующие особенности:
-отсутствие
ортодонтических и ортопедических конструкций в полости рта;
-наличие не
менее 6 зубов в каждом из оцениваемых квадрантов;
-отсутствие
местных и общих медицинских противопоказаний.
Для
исключения возможного влияния различных средств и методов гигиены полости рта
на результаты исследования все участники были обеспечены одинаковыми зубными
пастами и зубными щётками и не пользовались
в процессе исследования дополнительными средствами гигиены (флоссы, ирригаторы
и т.д.), иммуностимулирующими и антибактериальными препаратами.
Участники,
входящие в 1,3 и 5 группы использовали стандартную методику чистки зубов (Г.Н.
Пахомова), чистка проводилась 2 раза в день.
В начале исследования было проведено обучение индивидуальной гигиене
полости рта и контролируемая чистка зубов для исключения влияния неправильной
методики и режима чистки на результаты исследования.
Представители 2 и 3 групп применяли аппликации
гигиенического ополаскивателя «неолактоферрин дента» на ватных тампонах в
течение 5 мин. 3 раза в день.
Участники 4
и 5 групп использовали ватные валики, смоченные водой, в течение 5 мин. 3 раза
в день.
Для оценки
гигиенического состояния ротовой полости использовался индекс Quigley-Hein
в модификации Turesky (S. Turesky
et al., 1970).
Результаты исследования:
Таблица 1.
Динамика значений
индекса TQHPI в зависимости от протокола гигиенического ухода за полостью
рта
|
|
1,4 квадранты |
2,3 квадранты |
||||||
|
TQHPI1 |
TQHPI2 |
TQHPI1 |
TQHPI2 |
|||||
|
|
Ср. |
Ст. откл. |
Ср. |
Ст. откл. |
Ср. |
Ст. откл. |
Ср. |
Ст. откл. |
|
1 группа (n=12) |
2,733 |
0,20 |
3,623 |
0,21 |
2,561 |
0,24 |
2,356 |
0,19 |
|
2 группа
(n=12) |
3,121 |
0,22 |
3,089 |
0,21 |
2,825 |
0,2 |
2,989 |
0,23 |
|
3 группа
(n=12) |
2,915 |
0,22 |
2,845 |
0,25 |
2,814 |
0,21 |
2,625 |
0,25 |
|
4 группа
(n=12) |
2,956 |
0,26 |
3,597 |
0,22 |
2,811 |
0,21 |
3,833 |
0,29 |
|
5 группа
(n=12) |
2,894 |
0,23 |
3,644 |
0,21 |
2,763 |
0,24 |
2,77 |
0,23 |
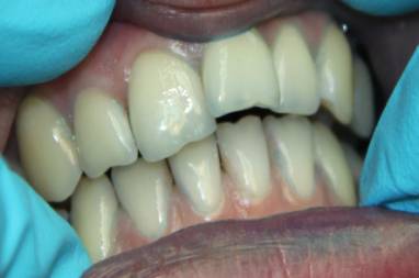
В 1 группе при очищении
только левой половины полости рта произошло значительное ухудшение
гигиенического состояния в области 1 и 4 квадрантов, о чём свидетельствуют
показатели индекса Turesky (TQHPI1=2,733±0,20, TQHPI2=3,623±0,21; прирост
33%). Уровень гигиены левой стороны
улучшился (табл. 1), что, очевидно,
связано с особой тщательностью очищения всех поверхностей при отсутствии
возможности проведения гигиенических мероприятий на протяжении всего зубного
ряда (рис. 1).

Рис.1 Гигиеническое состояние полости рта одного из участников 1
группы через 3 дня после начала исследования.
Во 2
группе участники исследования применяли
в области 1 и 4 квадрантов аппликации ополаскивателя «неолактоферрин дента».
Гигиенические мероприятия на левой стороне зубных рядов не проводились. На фоне
отсутствия чистки зубов, гигиеническое состояние левой половины полости рта
ухудшилось незначительно (TQHPI1=2,825±0,20, TQHPI2=2989,±0,23). Показатели
индекса Turesky, рассчитанные для 1 и 4 квадрантов, остались практически на прежнем уровне (TQHPI1=3,121±0,22, TQHPI2=3,089±0,21)(рис. 2).

Рис.2 Гигиеническое состояние полости рта одного из участников 2
группы через 3 дня после начала исследования.
В 3-ей
группе после чистки левой половины зубных рядов при помощи зубной щетки и пасты
и аппликаций гигиенического ополаскивателя «неолактоферрин дента» на правой
стороне, гигиеническое состояние полости рта незначительно улучшилось.
Положительная динамика отмечалась во всех квадрантах. На стороне чистки зубов
редукция значений индекса Turesky составила 7% (TQHPI1=2,814±0,21, TQHPI2=2,625±0,25). В тех
отделах зубных рядов, где использовался лактоферринсодержащий раствор, среднее
значение индекса также снизилось незначительно: на 2 % (TQHPI1=2,915±0,22, TQHPI2=2,845±0,25).

Рис.3 Гигиеническое состояние полости рта одного из участников 3
группы через 3 дня после начала исследования.
Участникам
четвёртой группы было предложено отказаться от чистки зубов в течение 3 дней. В
области 1 и 4 квадрантов накладывались ватные тампоны, смоченные водой.
Аппликации длительностью 5 минут повторялись 3 раза в день. На фоне проводимых
мероприятий гигиеническое состояние и правой и левой половин полости рта
значительно ухудшилось, что отражается в динамике значений индекса Turesky.
Среднее значение TQHPI для 2 и 3 квадрантов в первое посещение
составило 2,811±0,21, через две недели отмечался прирост данного показателя в
размере 36% (TQHPI2=3,833±0,29). Для правой половины полости рта
динамика выглядела следующим образом: TQHPI1=2,956±0,26, TQHPI2=3,597±0,22; прирост 22%
(рис.4).

Рис.4 Гигиеническое состояние полости рта одного из участников 4
группы через 3 дня после начала исследования.
В 5 группе
при чистке левой половины полости рта и применении ватных валиков, смоченных
водой, на правой половине, гигиеническое состояние 1 и 4 квадрантов значительно
ухудшилось (TQHPI1=2,894±0,23, TQHPI2=3,644±0,21, прирост
26%), на стороне чистки - практически не изменилось.

Рис.5 Гигиеническое состояние полости рта одного из участников 5
группы через 3 дня после начала исследования.
Обсуждение
результатов и выводы:
По
результатам исследования в 1 и 4 группах наблюдался значительный прирост
значений индекса Turesky в области тех
квадрантов, где участникам было предложено воздержаться от проведения
каких-либо гигиенических мероприятий. То есть отсутствие гигиенического ухода
за зубами в течение 3 дней заметно отразилось на уровне гигиены полости рта,
что в свою очередь создает благоприятные условия для созревания биопленки и
повышения её патогенного потенциала.
Ватные
валики, смоченные водой оказывают незначительное очищающее действие, связанное,
видимо, с механическим воздействием ватного тампона (группы 4,5). Однако
прирост значений индекса Turesky также указывает на
выраженное ухудшение гигиенического состояния полости рта.
Для
исключения влияния индивидуальных особенностей на результаты нами был выбран
дизайн исследования «split mouth».
То есть ополаскиватель использовался только в области определенной группы
зубов. Аппликации гигиенического ополаскивателя «неолактоферрин дента» оказали
ингибирующее действие на образование и рост биоплёнки. Значения индекса Turesky
через 3 дня остались на прежнем уровне даже в отсутствии гигиенического ухода
за полостью рта. Подобный эффект
наблюдался не только на стороне
применения, но и на противоположной стороне зубного ряда (группы 2,3) .
Таким
образом, можно сделать вывод, что использование гигиенического ополаскивателя
«неолактоферрин дента» препятствует формированию и созреванию биопленки,
главного этиологического фактора кариеса зубов и болезней пародонта, а,
следовательно, его применение может являться эффективной мерой профилактики
основных стоматологических заболеваний.
Литература:
1. Болезни полости рта/ Под
ред. Л. М. Лукиных. - Н. Новгород: Изд-во Нижегородской государственной
медицинской академии, 2004. – 508 с.
2. Боровский Е. В.,
Леонтьев В. К. Биология полости рта. // М.: Мед.
книга; Н. Новгород: Изд-во НГМА, 2001. — 304 с.
3. Кузьмина Э. М.
Профилактика стоматологических заболеваний. Учебное пособие – М.:
«Тонга-принт»,2003. – 216 с.
4. Леонтьев В. К., Пахомов
Г. Н. Профилактика стоматологических заболеваний. // М.: КМК-ИНВЕСТ, 2006. -
410 с.
5. Леус П. А. Биофильм на
поверхности зуба и кариес. Физиологическая роль и патогенное значение. // М.:
STBOOK, 2008. - 88 c.
6. Леус П. А., Горегляд А.
А., Чудакова И. О. Заболевания зубов и полости рта: Учебное пособие. // Ростов
на Дону: Феникс, 2002. – 288 с.
7. Терапевтическая
стоматология: Учебник для студентов медицинских вузов/ Под ред. Е. В.
Боровского. - М.: «Медицинское информационное агенство», 2007. – 840 с.
8. Улитовский С. Б. Гигиена
полости рта в пародонтологии . // М.: Мед. книга, 2006. – 268с.
9.
García-Montoya
IA, Cendón
TS, Arévalo-Gallegos
S, Rascón-Cruz
Q. Lactoferrin a multiple bioactive protein: An
overview. Biochim Biophys Acta. 2011 Jun 25.
10. Hiroyuki Wakabayashi, Koji Yamauchi, Tetsuo
Kobayashi, Tomoko Yaeshima, Keiji Iwatsuki, and Hiromasa YoshieInhibitory Effects of Lactoferrin on Growth
and Biofilm Formation of Porphyromonas
gingivalis and Prevotella
intermedia . Antimicrob Agents Chemother. 2009 August; 53(8):
3308–3316.
11. Huang R., Li M., Gregory R. L. Bacterial interactions in dental biofilm.
//Landes bioscience – 2011. – P. 435-444.
12. Kutsch V. K., Young D. A. New directions in the etiology of dental
caries disease. //С DA J. – 2011. – Vol. 39. - №10. – P. 716-721.
13. Marsh P. D. Contemporary perspective on plaque control. // British
Dental J. – 2012. – Vol. 212. - №12. - P. 601-606.
14. Marsh P. D. Dental Plaque as a microbial biofilm. // Caries Res. – 2004.
- Vol. 38. –P. 204-211.
15. Wakabayashi H, Kondo I, Kobayashi T, Yamauchi K, Toida T, Iwatsuki K, Yoshie H. Periodontitis, periodontopathic
bacteria and lactoferrin. Biometals. 2010 Jun;23(3):419-24.
16. Wolff M. S., Larson C. The cariogenic dental biofilm: good, bad or just
something to control. // Braz. Oral Res. – 2009. – Vol. 23. – P. 31-38.