Давиденко І.С.
ІМУНОГІСТОХІМІЧНЕ ДОСЛІДЖЕННЯ
ФАКТОРУ ВІЛЛЕБРАНДА В ОКРЕМИХ СТРУКТУРАХ ПЛАЦЕНТИ
Буковинський
державний медичний університет, м. Чернівці, Україна
Актуальність
Фактор Віллебранда
(von Willebrand factor) – глікопротеїн крові, відомий як один із факторів
зсідання крові, цікавий тим, що він є маркером молодих, щойно утворених
ендотеліоцитів кровоносних судин (тобто свідчить про наявність активного
процесу ангіогенезу) та відкладається у місцях початку утворення фібриноїду та
тромбів плаценти. У доступній літературі нами не виявлено повідомлень про опис
результатів імуногістохімічних досліджень фактору Віллебранда у плаценті. Цікавим
є вивчення фактору Вілебранда при у незрілих плацентах при передчасних пологах.
Інтерес до передчасних пологів пов'язаний із тим, що в незрілій плаценті
відбуваються бурхливі процеси ангіогенезу, а у термін гестації 32-33 тижні
вперше з'являється інтервільозний фібриноїд при фізіологічному перебігу
вагітності. При патологічному перебігу вагітності інтервільозний фібриноїд може
утворюватися значно раніше, навіть у першому триместрі [1].
Мета роботи
Імуногістохімічним
методом з'ясувати локалізацію фактору Віллебранда у структурах плаценти.
Матеріали і методи
Нами обстежено 24
вагітних при фізіологічній вагітності та 28 вагітних термін гестації 29-36 тижнів.
Матеріал
фіксували 20-22 години у забуференому нейтральному 10% розчині формаліну з
наступним зневоднюванням у висхідній батареї спиртів та заливкою у парафін при
560С.
Імуногістохімічну
методику виконували на парафінових зрізах (після депарафінізації) із
застосуванням первинних антитіл проти фактору Віллебранда із візуалізацією
первинних антитіл полімерною системою (DAKO) із барвником
діамінобензидином.
Оптичну густину
гістохімічного забарвлення вимірювали у відносних одиницях оптичної густини
методом комп'ютерної мікроденситометрії на цифрових копіях зображень [2].
Статистичну
обробку цифрового матеріалу здійснювали за допомогою двобічного непарного
критерію Стьюдента. Статистично значущими вважали розбіжності при р≤0,05.
Результати та їх обговорення
Результати
імуногістохімічної методики надані на рисунках 1-3.
Найбільш
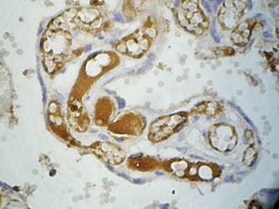
інтенсивне імуногістохімічне забарвлення виявлено в ендотеліоцитах плодових
кровоносних судин хоріальних ворсинок плаценти (рис.1). Слід відмітити, що по
кількості Віллебранд-позитивних ендотеліоцитів нами не встановлено розбіжностей
між передчасними та терміновими пологами. Водночас, відмічено, що оптична
густина забарвлення була у середньому у 1,4 рази більш інтенсивна при
передчасних пологах, ніж при термінових. Отже, з одного боку слід констатувати,
що процеси ангіогенезу є високоактивними як у незрілій так і у зрілій плаценті.
Як і очікувалося, в незрілій плаценті, ці процеси є більш активними (висновок
на основі інтенсивності імуногістохімічного забарвлення). В багатьох капілярах
виявлені Віллебранд-позитивні структури, які повністю виповнювали просвіти цих
судин. На даному етапі дослідження нам не вдалося розшифрувати цей факт – це
проліферуючі ендотеліоцити чи ранній мікротромбоз. Потрібні будуть додаткові
дослідження.
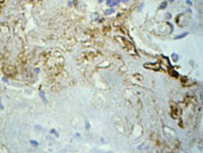
Іншою
локалізацією фактору Віллебранда були об'єкти в інтервільозних просторах
(рис.2), серед яких однозначно були ідентифіковані тіла інтервільозного
фібриноїду (фактор Віллебранда в них був, як правило у вигляді ниткоподібних
хаотично розташованих структур), а інші об'єкти за морфологією скоріше
нагадували свіжі мікротромби. Можливо, це були й місця початку утворення
інтервільозного фібриноїду. Це ще слід з'ясувати. Цікаво, що у незрілих
плацентах знаходили значно більше Віллебранд-позитивних об'єктів в
інтервільозних просторах плаценти.

Рис.1. Імуногістохімічна методика на
антигени фактору Віллебранда. Хоріальна ворсинка плаценти. Дофарбування ядер
гематоксиліном. Об. 20х. Ок.10х.

Рис.2. Імуногістохімічна методика на
антигени фактору Віллебранда. Інтервільозний фібриноїд. Дофарбування ядер
гематоксиліном. Об. 20х. Ок.10х.
Ще однією
локалізацією була поверхня синцитіотрофобласта хоріальних ворсинок плаценти
(рис.3). Мова йде про те, що не на всіх, але на певній частині хоріальних
ворсинок відмічалася вузька смужка фактору Віллебранда на поверхні
синцитіотрофобласта. За попередньою нашою думкою – це місця ушкодженої поверхні
синцитіотрофобласта, на який починаються процеси згортання крові. Тобто, фактор
Віллебранда в таких випадках, напевно, вказує на ранні ушкодження трофобласта
хоріальних ворсинок плаценти.




Рис.3. Імуногістохімічна методика на
антигени фактору Віллебранда. Хоріальні ворсинки плаценти. Стрілки вказують на
Віллебранд-позитивну поверхню синцитіотрофобласта. Дофарбування ядер
гематоксиліном. Об. 20х. Ок.10х.
Висновки
1. Фактор
Віллебранда в плаценті визначається щонайменше в трьох локалізаціях – в
ендотеліоцитах кровоносних судин хоріальних ворсинок, в окремих об'єктах
інтервільозних просторів плаценти (інтервільозний фібриноїд та, можливо,
мікротромби), на поверхні синцитіотрофобласта хоріальних ворсинок плаценти.
2. За
попередніми даними, імуногістохімічні дослідження фактору Віллебранда в
плаценті дозволять оцінювати процеси ангіогенезу як при передчасних так і при
термінових пологах, вивчати механізми утворення фібриноїду плаценти та тромбів
інтервільозних просторів плаценти, виявляти ранні ушкодження поверхні
синцитіотрофобласта хоріальних ворсинок плаценти в різні терміни гестації.
Література
1. Benirschke K.
Pathology of the human placenta. / К.
Benirschke, G. J. Burton., R.N. Baergen //
6th ed. – 2012. – New York: Springer. – 974 p.
2. Шендерюк О. П. Концентрація плацентарних гормонів у
трофобласті хоріальних ворсинок плаценти при запаленні посліду
(імуногістохімічне дослідження) / О. П. Шендерюк, І. С. Давиденко // Клінічна
та експериментальна патологія. – 2012. – Т. XI, № 3 (41). – 139 – 141.