Ветеринария/1.Ветеринарная медицина
К.вет.н. Шамсутдинова
Н.В., д.вет.н Залялов И.Н.,
к.вет.н. Миншагаева Ф.И.
ФГБОУ ВПО
« Казанская государственная академия ветеринарной медицины имени Н.Э. Баумана»,
Россия
Возрастные
изменения в гистоструктуре почек у котов
Бессимптомное течение нефропатии на протяжении длительного времени
обусловлено тем, что почки обладают огромными компенсаторными возможностями и
годами могут поддерживать гомеостаз организма, даже на фоне тяжелых поражений
своей паренхимы и чашечно-лоханочного комплекса (3). Поэтому для ветеринарных
врачей крайне важно иметь информацию о наиболее важных изменениях в органах
мочевыделительной системы кошек, чтобы
остановить или замедлить ее течение и продлить жизнь пациента (1,2).
Целью наших исследований было изучение гистоструктуры почек у клинически
здоровых котов в возрасте от 10 до20 лет.
Объектом
исследования служили 6 трупов котов в возрасте от 10 до 20 лет.
Для решения поставленной задачи нами использованы общепринятые гистологические методы и метод обычного
анатомического препарирования. Для гистологического исследования кусочки почек фиксировали в 10% водном растворе
нейтрального формалина. Уплотнение фиксированного патологического материала после его
обезвоживания в спиртах возрастающей плотности проводили после заливки в
парафин. Гистологические срезы готовили
на санном микротоме толщиной 5-10 мкм и окрашивали гематоксилин -
эозином. Изучение гистоструктуры почек
проводили с использованием микроскопа «Микмед-5».
В
гистологических срезах почек выявлено выраженное утолщение коркового вещества. Вследствие гипертрофического
разрастания волокнистой соединительной
ткани структура строения этой
области органа была умеренно сохранена. Отмечалась плохая сохранность
просветов канальцев. Почечные тельца отличались резким расширением полости капсулы
клубочка. Сосудистые клубочки
оттеснены в сторону артериол. В них отсутствовали просветы капилляров. В
отдельных клубочках разрежены
мезангиоциты и эндокриноциты.
Атрофические процессы с явлениями
некробиоза наблюдались в эпителиальных клетках большинства извитых
канальцах (рис.1).

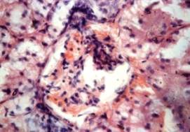
Рис
1. Атрофические, склеротические и некробиотические изменения почечного тельца
кота 20 летнего возраста. Окраска гематоксилином и эозином. Х240.
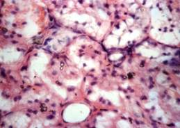
В эпителиальных клетках канальцев содержались мелкие и крупные
вакуоли, резко увеличивающие объем клеток. Гиперхромные мелкие ядра их клеток
отличались полиморфизмом. Просветы отдельных участков канальцев были
увеличены вследствие застоя в них жидкости вследствие очаговой десквамации
эпителия и непроходимости в
нижерасположенных областях (рис. 2) .

Рис. 2. Слущенные эпителиальные клетки канальцев. Окраска
гематоксилином и эозином Х 240.
.
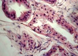
На общем фоне проявления
склеротических и атрофических процессов, в отдельных канальцах, расположенных
вблизи к мозговому веществу, отмечали
хорошую сохранность структуры эпителия.
В местах, где сохранилась структура
канальцев, наблюдается завершенный
процесс разрастания волокнистой соединительной ткани, на что указывает наличие фиброцитов
между пучками коллагеновых волокон (рис. 3).

Рис.3.Очаговое разрастание волокнистой соединительной ткани
между канальцами с признаками атрофии. Окраска гематоксилином и эозином. Х 240.
Аналогичные склеро-атрофические
процессы отмечались в стенках кровеносных сосудов органа. Эндотелиальные клетки
в них выбухали в просвет (рис.4).

Рис.4.
Склеро-атрофические изменения в кровеносном сосуде почек. Окраска
гематоксилином и эозином Х280.
Структура мозгового вещества почек по
сравнению с корковой областью была лучше сохранена. Эпителиальные клетки собирательных трубочек имели преимущественно
оксифильную окраску с наличием
полиморфных гиперхромных ядер. В отдельных местах встречаются
мелкоочаговые кровоизлияния и отторгнутый слущенный эпителий (рис.5).
Возрастные изменения также
характеризовались резким уменьшением
содержания интерстициальных клеток.

Рис.5. Мелкоочаговые
кровоизлияния и участки с отторгнутым слущенным эпителием собирательных
трубочек мозгового вещества почек. Окраска гематоксилином и эозином Х 280.
Таким
образом, в почках котов 10 – 20 летнего возраста были найдены изменения,
которые характеризуют возрастные
склеротические процессы. Но прижизненный анамнез доказывают, что органы
могут функционировать и поддерживать гомеостаз организма.
ЛИТЕРАТУРА:
1.Леонард, Р.А. Гломерулонефриты кошек: современные методы
диагностики, лечения и профилактики. / Р.А.Леонард. - Челябинск. – Здоровье. - 2010 – 75 с. 2. Сигитова, О. Н.
Хроническая болезнь почек и хроническая почечная недостаточность: современные
подходы к терминологии, классификации и диагностике. /
О. Н. Сигитова. - Вестн. соврем. клин. медицины. – 2008. -
№ 1. - С. 87.
3. Шилов, Е. Н. Хроническая болезнь почек. / Е. Н. Шилов, В. В. Фомин, М. Ю. Швецов. - М.: ГЭОТАР - Медиа. - 2007. - С. 599 -
612.