Медицина/ 4. Терапия
Kuzmіna G.P., Kniazieva O.V.
State Establishment «Dnipropetrovsk Medical
Academy»
The clinician about Multiple
myeloma
Multiple myeloma (MM)
is a cancer of plasma cells characterized by a proliferation of malignant cells
that produce monoclonal immunoglobulin (paraprotein (M-protein)) and invade and destroy adjacent bone tissue.
Common manifestations include bone pain, renal insufficiency, hypercalcemia,
anemia, and recurrent infections. Diagnosis requires demonstration of M-protein
(sometimes present in urine and not serum) and either lytic bone lesions,
light-chain proteinuria, or excessive plasma cells in bone marrow. A bone
marrow biopsy is usually needed.
The incidence of
multiple myeloma is 2 to 4/100 000. Male:female ratio is 1,6:1, and the median
age is about 65 years. Prevalence in blacks is twice that in whites.
The precise
etiology of MM has not yet been established. Roles have been suggested for a
variety of factors, including genetic causes, environmental or occupational
causes, MGUS, radiation, chronic inflammation, and infection.
-
Myeloma
develops in 4 per 100 000 people per year.
-
Slightly
more common in men than in women
-
Higher
incidence in afro-americas vs whites (2:1)
-
Median
age at diagnosis is 69 years for men and 71 years for women
The M-protein
produced by the malignant plasma cells is IgG in about 60 % of myeloma patients
and IgA in about 25 %; of patients producing either IgG or IgA, 40 % also have
Bence Jones proteinuria, which is free monoclonal Korl, light chains in the
urine. In 20 % of patients, plasma cells secrete only Bence Jones protein. IgD
myeloma accounts for about 1 % of cases.
Diffuse
osteoporosis or discrete osteolytic lesions develop, usually in the pelvis
(12%), spine (25%), ribs (45%), and skull (65%). Lesions are caused by bone
replacement by expanding plasmacytomas or by cytokines that are secreted by
malignant plasma cells that activate osteoclasts and suppress osteoblasts. The
osteolytic lesions are usually multiple; occasionally, they are solitary
intramedullary masses. Enhanced bone loss may also lead to hypercalcemia.
Extraosseous solitary plasmacytomas are unusual but may occur in any tissue,
especially in the upper respiratory tract.
Renal failure
(myeloma kidney) occurs in many patients at diagnosis or during the course of
the disorder due to many causes, most commonly from deposition of light chains
in the distal tubules and hypercalcemia. Patients also often develop anemia
usually from kidney disease or suppression of erythropoiesis by cancer cells.
Susceptibility
to bacterial infection may occur in some patients. Viral infections, especially
herpes infections, are increasingly occurring as a result of newer treatment
modalities. Secondary amyloidosis occurs in 10 % of myeloma patients, most
often in patients with Bence Jones proteinuria (12%) of À-type.
In 2003, the International Myeloma Working Group
agreed
on diagnostic criteria for symptomatic myeloma, asymptomatic myeloma and MGUS (monoclonal gammopathy of undetermined
significance), which was subsequently updated in 2009:
• Symptomatic
myeloma:
1.
Clonal
plasma cells >10 % on bone marrow biopsy or (in any quantity) in a biopsy
from other tissues (plasmacytoma)
2. A monoclonal protein
(paraprotein) in either serum or urine (except in cases of true non-secretory
myeloma)
3. Evidence of
end-organ damage felt related to the plasma cell disorder (related organ or tissue impairment, ROTI, commonly
referred to by the acronym “CRAB”):
•
Hypercalcemia (corrected
calcium >2,75 mmol/L) (39%)
•
Renal insufficiency
attributable
to myeloma (42%)
•
Anemia
(hemoglobin
<10 g/dL) (76%)
•
Bone lesions
(lytic
lesions or osteoporosis with compression fractures) (86%)
Recurrent
infections alone in a patient who has none of the CRAB features is not
sufficient to make the diagnosis of myeloma. Patients who lack CRAB features
but have evidence of amyloidosis should be considered as amyloidosis and not
myeloma. CRAB like abnormalities are common with numerous diseases, and it is
imperative that these abnormalities are felt to be directly attributable to the
related plasma cell disorder and every attempt made to rule out other
underlying causes of anemia, renal failure etc.
• Asymptomatic
(smoldering) myeloma:
1. Serum
paraprotein >30 g/L AND/OR
2. Clonal plasma
cells >10 % on bone marrow biopsy AND
3. NO
myeloma-related organ or tissue impairment
• Monoclonal
gammopathy of undetermined significance (MGUS):
1. Serum
paraprotein <30 g/L AND
2. Clonal plasma
cells <10 % on bone marrow biopsy AND
3. NO
myeloma-related organ or tissue impairment
Related
conditions include solitary plasmacytoma (a single tumor
of plasma cells, typically treated with irradiation), plasma cell dyscrasia (where only the antibodies produce symptoms,
e.g. AL amyloidosis), and POEMS syndrome (peripheral neuropathy, organomegaly,
endocrinopathy, monoclonal plasma cell disorder, skin changes).
The International Staging System of the International
Myeloma Working Group is also based on 3 stages.
Stage I consists
of the following:
•
(3-2
microglobulin less than or equal to 3,5 g/dL and albumin >3,5 g/dL
•
CRP
>4,0 mg/dL
•
Plasma
cell labeling index <1 %
•
Absence
of chromosome 13 deletion
•
Low
serum IL-6 receptor
•
Long
duration of initial plateau phase Stage II consists of the following:
•
P-2
microglobulin level >3,5 to <5,5 g/dL, or
•
p-2
microglobulin <3,5 g/dL and albumin <3,5 g/dL
Stage III
consists of the following:
•
P-2
microglobulin of 5,5 g/dL or more
Median survival
is as follows:
•
Stage
I, 62 months
•
Stage
II, 44 months
•
Stage
III, 29 months
The Salmon-Durie
classification of MM is based on 3 stages and additional subclassifications.
In stage I, the
MM cell mass is less than 0.6xl012 cells/m2, and all of
the following are present:
•
Hemoglobin
value greater than 10 g/dL
•
Serum
calcium value less than 12 mg/dL (normal)
•
Normal
bone structure or only a solitary bone plasmacytoma on radiographs
•
Low
M-component production rates (IgG value less than 5 g/dL, IgA value less than 3
g/dL, urine light-chain M component on electrophoresis less than 4 g/24 h)
In stage II, the
MM cell mass is (0,6-l,2)xl012 cells/m2. The other values
fit neither those of stage I nor those of stage III.
In stage III,
the MM cell mass is greater than 1,2x ] 012 cells/m2, and
all of the following are present:
•
Hemoglobin
value equal to 8,5 g/dL
•
Serum
calcium value greater than 12 mg/dL
•
Advanced
lytic bone lesions on radiographs
•
High
M-component production rates (IgG value greater than 7 g/dL, IgA value greater
than 5 g/dL, urine light-chain M component on electrophoresis greater than 12
g/24 h)
•
A:
serum creatinine <2 mg/dL (<177 umol/L)
•
B:
serum creatinine >2 mg/dL (>177 umol/L)
Median survival
is as follows:
•
Stage
I, >60 months
•
Stage
II, 41 months
•
Stage
III, 23 months
Disease in
subclassification B has a significantly worse outcome (e.g., 2-12 months
survival in 4 separate series).
Diagnostic
considerations. The most widely accepted schema for the
diagnosis of multiple myeloma (MM) uses particular combinations of laboratory,
imaging, and procedure findings as diagnostic criteria. The findings are as
follows:
•
I
= Plasmacytoma on tissue biopsy
•
II
= Bone marrow with greater than 30 % plasma cells
•
III
= Monoclonal globulin spike on serum protein electrophoresis, with an immunoglobulin
(Ig) G peak of greater than 3,5 g/dL or an IgA peak of greater than 2 g/dL, or
urine protein electrophoresis (in the presence of amyloidosis) result of
greater than 1 g/24 h.
•
a
= Bone marrow with 10-30 % plasma cells
•
b
= Monoclonal globulin spike present but less than category 111
•
c
= Lytic bone lesions
•
d
= Residual IgM level less than 50 mg/dL, IgA level less than 100 mg/dL, or IgG
level less than 600 mg/dL
The following
combinations of findings are used to make the diagnosis of multiple myeloma:
•
I
plus b, c, or d
•
II
plus b, c, or d
•
III
plus a, c, or d
•
a
plus b plus c
•
a
plus b plus d
Polyneuropathy,
organomegaly, endocrinopathy, monoclonal gammopathy, and skin changes (POEMS)
syndrome is a rare syndrome consisting of polyneuropathy, organomegaly,
endocrinopathy, M-protein deviations, and skin changes.
Amyloidosis is
often secondary to MM, but it may develop without MM. Patients with amyloidosis
typically lack sufficient numbers of plasma cells in the bone marrow or
sufficiently high levels of M protein to meet the diagnostic criteria for MM.
Indolent MM is a
subset of the disease in which patients have no (or very limited) bone disease,
a performance status greater than 70 %, a hemoglobin level greater than 10
g/dL, a calcium level within the reference range, a creatinine level less than
2 mg/dL, no infections, and low (i.e., <7 g/dL for IgG, <5 g/dL for IgA)
M-protein levels.
Smoldering MM is
the same as indolent MM, except that these patients have less than 30 % plasma
cells in their bone marrow, and they have no bone disease.
Evaluation of multiple myeloma
|
History
and physical |
|
|
Blood workup |
■
CBC with differential and platelet
counts, ESR ■
BUN, creatinine ■
Electrolytes, calcium, albumin, LDH,
protein *
Serum quantitative immunoglobulins *
Serum protein electrophoresis and
immunofixation *
Serum P-microglobuline ■
Serum free light chain assay |
|
Urine |
■
24-hour protein ■
Protein electrophoresis
(quantitative Bence Jones protein) ■
Immunofixation electrophoresis |
|
Other |
■
Skeletal survey ■
Unilateral bone marrow aspirate and
biopsy evaluation with immunohistochemistry or flow cytometry, cytogenetics,
and FISH ■
Imaging as indicated, MRI, Bone marrow
aspiration |
Presenting
symptoms of multiple myeloma include bone pain, pathologic fractures, weakness,
anemia, infection (often pneumococcal), hypercalcemia, spinal cord compression,
or renal failure. The diagnosis is incidental in 30 % of cases. MM is often
discovered through routine blood screening when patients are being evaluated
for unrelated problems.
Clinical Features at Presentation:
•
Monoclonal
(M) protein: 93 %
•
Lytic
bone lesions: 67 %
•
Increased
plasma cells in the bone marrow: 96 %
•
Anemia
(normochromic normocytic): 73 %
•
Hypercalcemia
(corrected calcium >11 mg/dL): 13 %
•
Renal
failure (serum creatinine >2,0 mg/dL): 19 %
Major Symptoms at Diagnosis:
•
Bone
pain: 58 %
•
Fatigue:
32 %
•
Weight
loss: 24 %
•
Paresthesias:
5 %
11 % of patients
are asymptomatic or have only mild symptoms at diagnosis
Bone pain is the
most common presenting symptom in MM. Most case series report that 70 % of
patients have bone pain at presentation. The lumbar spine is one of the most
common sites of pain.
Pathologic
fractures are very common in MM; 93 % of patients have more than one site of
bony involvement. A severe bony event is a common presenting issue.
The symptoms
that should alert physicians to consider spinal cord compression are back pain,
weakness, numbness, or dysesthesias in the extremities. Because spinal cord
compressions in MM occur at multiple levels, comprehensive evaluation of the
spine is warranted. Patients who are ambulatory at the start of therapy have
the best likelihood of preserving function and avoiding paralysis.
Occasionally, a
patient may come to medical attention for bleeding resulting from
thrombocytopenia. Rarely, monoclonal protein may absorb clotting factors and
lead to bleeding.
Confusion,
somnolence, bone pain, constipation, nausea, and thirst are the presenting
symptoms of hypercalcemia. This complication may be present in as many as 30 %
of patients with MM at presentation. In most solid malignancies, hypercalcemia
carries an ominous prognosis, but in MM, its occurrence does not adversely
affect survival.
Abnormal humoral
immunity and leukopenia may lead to infection. Pneumococcal organisms are
commonly involved, but shingles (i.e., herpes zoster) and Haemophilus infections are
also more common among patients with MM.
Hyperviscosity
may be associated with a number of symptoms, including, generalized malaise,
infection, fever, paresthesia, sluggish mentation, and sensory loss. Patients
may report headaches and somnolence, and they may bruise easily and have hazy
vision. Patients with MM typically experience these symptoms when their serum
viscosity is greater than 4 times that of normal serum.
Epistaxis may be
a presenting symptom of MM with a high tumor volume. Occasionally, patients may
have such a high volume of monoclonal protein that their blood viscosity increases,
resulting in complications such as stroke, myocardial ischemia, or infarction.
Carpal tunnel
syndrome is a common complication of myeloma. Meningitis (especially that
resulting from pneumococcal or meningococcal infection) is more common in
patients with MM. Some peripheral neuropathies have been attributed to MM.
Long-term neurologic function is directly related to the rapidity of the
diagnosis and the institution of appropriate therapy for MM.
Anemia, which
may be quite severe, is the most common cause of weakness in patients with MM.
On head, ears,
eyes, nose, and throat (HEENT) examination, the eyes may show exudative macular
detachment, retinal hemorrhage, or cotton-wool spots. Pallor from anemia may be
present. Ecchymoses or purpura from thrombocytopenia may be evident.
Bony tenderness
is not uncommon in MM, resulting from focal lytic destructive bone lesions or
pathologic fracture. Pain without tenderness is typical. Pathologic fractures may be observed. In general,
painful lesions that involve at least 50 % of the cortical diameter of a long
bone or lesions that involve the femoral neck or calcar femorale are at high
(50 %) risk for a pathologic fracture. The risk of fracture is lower in
upper-extremity lesions than in lower-extremity lesions. Even a small cortical
defect can decrease torsional strength by as much as 60 % (stress riser
effect).
Neurologic
findings may include a sensory level change (i.e., loss of sensation below a
dermatome corresponding to a spinal cord compression), neuropathy, myopathy, a
Tinel sign, or a Phalen sign due to carpel tunnel compression secondary to
amyloid deposition.
Extramedullary
plasmacytomas, which consist of soft-tissue masses of plasma cells, are not
uncommon. Plasmacytomas have been described in almost every site in the body.
Although the aerodigestive tract is the most common location, reports also
describe orbital, ear canal, cutaneous, gastric, rectal, prostatic, and
retroperitoneal lesions.
On evaluation of
the abdomen, hepatosplenomegaly may be discovered. Cardiovascular system
examination may reveal cardiomegaly secondary to immunoglobulin deposition.
Amyloidosis may
develop in some patients with MM. The characteristic physical examination
findings that suggest amyloidosis include the following:
•
Shoulder
pad sign
•
Macroglossia
•
Typical
skin lesions
•
Postprotoscopic
peripalpebral purpura
The shoulder pad sign is
defined by bilateral swelling of the shoulder joints secondary to amyloid
deposition. Physicians describe the swelling as hard and rubbery. Amyloidosis
may also be associated with carpal tunnel syndrome and subcutaneous nodules.
Macroglossia may
occur secondary to amyloid deposition in the tongue and is a common finding in
patients with amyloidosis.
Skin lesions
that have been described as waxy papules or nodules may occur on the torso,
ears, or lips.
Postprotoscopic
peripalpebral purpura strongly suggests amyloidosis. Patients may develop
raccoonlike dark circles around their eyes following any procedure that
parallels a prolonged Valsalva maneuver. The capillary fragility associated
with amyloidosis may account for this observation. In the past, this
correlation was observed when patients underwent rectal biopsies to make the
diagnosis.
Perform a complete blood count (CBC) to determine if the patient
has anemia, thrombocytopenia, or leukopenia. The CBC and differential may show
pancytopenia, abnormal coagulation, and an increased erythrocyte sedimentation
rate (ESR). The reticulocyte count is typically low. Peripheral blood smears
may show Rouleau formation.
Obtain a
comprehensive metabolic panel to assess levels of total protein, albumin and
globulin, blood urea nitrogen (BUN), creatinine, and uric acid (uric acid will
be high if the patient has high cell turnover or is dehydrated).
Obtain a 24-hour
urine collection for quantification of the Bence Jones protein (i.e., lambda
light chains), protein, and creatinine clearance. Quantification of proteinuria
is useful for the diagnosis of MM (>1 g of protein in 24 h is a major
criterion) and for monitoring the response to therapy. Creatinine clearance can
be useful for defining the severity of the patient’s renal impairment.
Serum protein
electrophoresis (SPEP) is used to determine the type of each protein present
and may indicate a characteristic curve (i.e., where the spike is observed).
Urine protein electrophoresis (UPEP) is used to identify the presence of the
Bence Jones protein in urine. Immunofixation is used to identify the subtype of
protein (i.e., IgA lambda).
The 2011
National Comprehensive Cancer Network (NCCN) Clinical Practice Guidelines on
Oncology, Multiple Myeloma Version recommend the use of serum free light chain
assay as well as fluorescence in situ hybridization (FISH) for 1 q21
amplification as part of the initial diagnostic workup.
Chemical
screening, including calcium and creatinine SPEP, immunofixation, and
immunoglobulin quantitation, may show azotemia, hypercalcemia, an elevated
alkaline phosphatase level, and hypoalbuminemia. A high lactic dehydrogenase
(LDH) level is predictive of an aggressive lymphomalike course.
SPEP is a useful
screening test for detecting M-proteins. An M-component is usually detected by
means of high-resolution SPEP. The kappa-to-lambda ratio has been recommended
as a screening tool for detecting M-component abnormalities. An M- component
serum concentration of 30 g/L is a minimal diagnostic criterion for MM. In
about 25 % of patients, M-protein cannot be detected by using SPEP.
Routine
urinalysis may not indicate the presence of Bence Jones proteinuria. Therefore,
a 24-hour urinalysis by means of UPEP or immunoelectrophoresis may be required.
UPEP or immunoelectrophoresis can also be used to detect an M-component and
kappa or lambda light chains. The most important means of detecting MM is
electrophoretic measurement of immunoglobulins in both serum and urine.
Quantitative Immunoglobulin Levels (IgG, IgA, IgM).
Suppression of nonmyelomatous immunoglobulin is a minor diagnostic criterion
for MM. The level of MM protein (i.e., M-protein level), as documented by the
immunoglobulin level, can be useful as a marker to assess the response to
therapy.
P-2 Microglobulin is
a surrogate marker for the overall body tumor burden. The level of beta-2
microglobulin is increased in patients with renal insufficiency without MM,
which is one reason that it is a useful prognosticator in MM. The prognosis of
patients with MM and impaired renal function is reduced.
C-reactive
protein (CRP) is a surrogate marker of interleukin (IL)-6 activity. IL-6 is
often referred to as the plasma cell growth factor. Like P-2 microglobulin, CRP
is useful for prognostication.
Check the serum
viscosity in patients with central nervous system (CNS) symptoms, nosebleeds,
or very high M-protein levels.
Simple
radiography is indicated for the evaluation of skeleton lesions, and a skeletal
survey is performed when myeloma is in the differential diagnosis. Plain
radiography remains the gold standard imaging procedure for staging newly
diagnosed and relapsed myeloma patients, according to an International Myeloma
Working Group consensus statement.
Perform a
complete skeletal series at diagnosis of MM, including the skull (a very common
site of bone lesions in persons with MM), the long bones and the spine.
Onventional
plain radiography can usually depict lytic lesions. Such lesions appear as
multiple, rounded, punched-out areas found in the skull, vertebral column,
ribs, and/or pelvis. Less common but not rare sites of involvement include the
long bones. Plain radiographs can be supplemented by computed tomography (CT)
scanning to assess cortical involvement and risk of fracture. Diffuse
osteopenia may suggest myelomatous involvement before discrete lytic lesions
are apparent.
Findings from
this evaluation may be used to identify impending pathologic fractures,
allowing physicians the opportunity to repair debilities and prevent further
morbidity.
Magnetic
resonance imaging (MRI) is useful in detecting thoracic and lumbar spine
lesions, paraspinal involvement, and early cord compression. Findings from MRI
of the vertebrae are often positive when plain radiographs are not. MRI can
depict as many as 40 % of spinal abnormalities in patients with asymptomatic
gammopathies in whom radiographic studies are normal. For this reason, evaluate
symptomatic patients with MRI to obtain a clear view of the spinal column and
to assess the integrity of the spinal cord.
Comparative
studies have suggested the possible utility of positron emission tomography
(PET) scanning in the evaluation of MM. For example, a comparison study of PET
scanning and whole-body MRI in patients with bone marrow biopsy-proven multiple
myeloma found that although MRI had higher sensitivity and specificity than PET
in the assessment of disease activity, when used in combination and with
concordant findings, the 2 modalities had a specificity and positive predictive
value of 100%.
These
researchers suggest that the combination of modalities may be valuable for
assessing the effectiveness of treatment, when aggressive and expensive
regimens are used. However, PET scanning has not yet been integrated into
standard practice. The International Myeloma Working Group notes the potential
usefulness of PET scanning in selected patients but suggests that such studies ideally
should be performed in the context of a clinical trial.
Do not use bone
scans to evaluate MM. Cytokines secreted by MM cells suppress osteoblast
activity; therefore, typically, no increased uptake is observed. On technetium
bone scanning, more than 50 % of lesions can be missed.
MM is
characterized by an increased number of bone marrow plasma cells. Plasma cells
show low proliferative activity, as measured by using the labeling index. This
index is a reliable parameter for the diagnosis of MM. High values are strongly
correlated with progression of the disease.
Obtain bone marrow aspirate and biopsy samples from patients
with MM to calculate the percentage of plasma cells in the aspirate (reference
range, up to 3 %) and to look for sheets or clusters of plasma cells in the
biopsy specimen. Bone marrow biopsy enables a more accurate evaluation of
malignancies than does bone marrow aspiration.
Plasma cells are
2-3 times larger than typical lymphocytes; they have eccentric nuclei that are
smooth (round or oval) in contour with clumped chromatin and have a perinuclear
halo or pale zone. The cytoplasm is basophilic.
Many MM cells
have characteristic, but not diagnostic, cytoplasmic inclusions, usually
containing immunoglobulin. The variants include Mott cells, Russell bodies,
grape cells, and morula cells. Bone marrow examination reveals plasma cell
infiltration, often in sheets or clumps. This infiltration is different from
the lymphoplasmacytic infiltration observed in patients with Waldenstrom
macroglobulinemia.
Analysis of bone
biopsy specimens may reveal plasmacytic, mixed cellular, or plasmablastic
histologic findings. With the plasmacytic type, median survival is
approximately 39,7 months. With the mixed cellular type, survival is 16,1
months, and with the plasmablastic type, survival is 9,8 months.
Cytogenetic
analysis of the bone marrow may contribute significant prognostic information
in multiple myeloma. The most significant cytogenetic abnormality appears to be
deletion of 17p 13. This abnormality is associated with shorter survival, more
extramedullary disease, and hypercalcemia. This locus is the site of the TP53 tumor
suppressor gene. Chromosome 1 abnormalities and c-myc defects are
also significant prognostic factors in multiple myeloma.
Although not as
well defined as in other hematologic malignancies, such as acute leukemia,
risk-adapted therapy based on cytogenetic abnormalities is at the forefront of
myeloma research.
Renal failure
and insufficiency are seen in 25 % of patients with MM, including the following
manifestations:
•
Myeloma
kidney syndrome with multiple etiologies
•
Amyloidosis
with light chains
•
Nephrocalcinosis
due to hypercalcemia
Anemia,
neutropenia, or thrombocytopenia is due to bone marrow infiltration of plasma
cells. Thrombosis and Raynaud phenomenon due to cryoglobulinemia may be
present.
Bone disease may
result in the following:
•
Severe
bone pain, pathologic fracture due to lytic lesions. Lytic disease or fracture
may be observed on plain radiographs.
•
Increased
bone resorption leading to hypercalcemia
•
Spinal
cord compression. This is one of the most severe adverse effects of MM. Reports
indicate that as many as 20 % of patients develop spinal cord compression at
some point during the course of their disease. Symptoms typically inc!ude back
pain, weakness or paralysis in the legs, numbness, or dysesthesias in the lower
extremities. However, depending on the level of involvement, patients may
present with upper-extremity symptoms.
Radiculopathy
and/or cord compression may occur because of skeletal destruction and nerve
compression.
Bacterial
infection may develop; it is the leading cause of death in patients with
myeloma. The highest risk is in the first 2-3 months of chemotherapy.
Purpura, retinal
hemorrhage, papilledema, coronary ischemia, seizures, and confusion may occur
as a result of hyperviscosity syndrome.
Hypercalcemia
may cause polyuria and polydipsia, muscle cramps, constipation, and a change in
the patient’s mental status.
Differential
diagnoses
•
Malignant
Lymphoma
•
Metastatic
Carcinoma
•
Monoclonal
Gammopathies of Uncertain Origin
•
Waldenstrom
Hypergammaglobulinemia Treatment
•
Chemotherapy
for symptomatic patients
•
Thalidomide,
bortezomib, or lenalidomide with corticosteroids and/or chemotherapy
•
Possibly
maintenance therapy
•
Possibly
stem cell transplantation
•
Possibly
radiation therapy
•
Treatment
of complications (anemia, hypercalcemia, renal insufficiency, infections,
skeletal lesions)
Initial Approach
to Treatment of MM
1.
Nontransplantation
candidate (based on age, performance score, and comorbidity. Induction
treatment → Maintenance
2.
Transplantation
candidate: Induction treatment (nonalkylator-based induction x4-6 cycles)
→Stem cell harvest →Stem
cell transplantation →Maintenance
NCCN. Clinical
practice guidelines in oncology: multiple myeloma Induction Therapies:
Transplantation Eligible
•
NCCN
Category 1
- Bortezomib/dexamethasone
(VD)
- Bortezomib/thalidomide/dexamethasone
(VTD)
-
Bortezomib/doxorubicin/dexamethasone
(PAD)
-
Lenalidomide/dexamethasone
(RD)
•
NCCN
Category 2A
-
Bortezomib/cyclophosphamide/dexamethasone
(CyBorD)
-
Bortezomib/lenalidomide/dexamethasone
(VRD)
•
NCCN
Category 2B
-
Thalidomide/dexamethasone (TD)
-
Dexamethasone
-
Liposomal
doxorubicin/vincristine/dexamethasone (DVD)
Induction
Therapies: Transplantation Eligible
•
NCCN
Category 1
-
Lenalidomide/low-dose
dexamethasone (Rd)
-
Melphalan/prednisone/bortezomib
(MPV)
-
Melphalan/prednisone/lenalidomide
(MPR)
-
Melphalan/prednisone/thalidomide
(MPT)
•
NCCN
Category 2A
-
Bortezomib/dexamethasone
(VD)
- Melphalan/prednisone
(MP)
•
NCCN
Category 2B
- Dexamethasone
-Liposomal
doxorubicin/ vincristine/dexamethasone (DVD)
- Thalidomide/dexamethasone
(TD)
- Vincristine/doxorubicin/dexamethasone
( VAD)
Factors Affecting Transplant Eligibility:
•Age
- Older than 65
years of age may not be eligible
- Older patients
more sensitive to toxicity; less physical reserve
•
Performance
score
•
Comorbidities
- Increased risk
of infection
- Decreased
tolerability for high-dose therapy
Treatment of malignant cells: Until recently,
conventional chemotherapy consisted only of oral melphalan and prednisonegiven
in cycles of 4 to 6 weeks with monthly evaluation of response. Recent studies
show superior outcome with the addition of either bortezomib orthalidomide.
Other chemotherapeutic drugs, including other alkylating drugs (e.g.,
cyclophosphamide, doxorubicinand its newer analog liposomal pegylated
doxorubicin) also are more effective when combined with thalidomide or
bortezomib. Many other patients are effectively treatedwith bortezomib,
thalidomide, or lenalidomide plus glucocorticoids and/or chemotherapy.
Chemotherapy
response is indicated by decreases in serum or urine M-protein, increases in
RBCs, and improvement in renal function among patients presenting with kidney
failure.
Autologous
peripheral blood stem cell transplantation may be considered for patients who
have adequate cardiac, hepatic, pulmonary, and renal function, particularly
those whose disease is stable or responsive after several cycles of initial
therapy. Allogeneic stem cell transplantation after non-myeloablative
chemotherapy (e.g., low-dose cyclophosphamide andfludarabine) or low-dose
radiation therapy can produce myeloma-free survival of 5 to 10 years in some
patients. However, allogeneic stem cell transplantation remains experimental
because of the high morbidity and mortality from graft vs. host disease.
In relapsed or
refractory myeloma, combinations of bortezomib, thalidomide, or its newer
analog lenalidomide with chemotherapy or corticosteroids may be used. These
drugs are usually combined with other effective drugs that the patient has not
yet been treated with, although patients with prolonged remissions may respond
to retreatment with the same regimen that led to the remission.
Maintenance
therapy has been tried with nonchemotherapeutic drugs, including interferon a,
which prolongs remission but does not improve survival and is associated with
significant adverse effects. Following a response to corticosteroid-based
regimens, corticosteroids alone are effective as a maintenance treatment.
Thalidomidemay also be effective as a maintenance treatment, and studies are
evaluating maintenance therapy with bortezomiband lenalidomide among patients
who have responded to these drugs alone or in combination therapeutic regimens.
Treatment of complications. In addition to
direct treatment of malignant cells, therapy must also be directed at
complications, which include anemia, hypercalcemia, renal insufficiency,
infections, and skeletal lesions.
Anemia can be treated with recombinant erythropoietin
(40 000 units sc once/week) in patients whose anemia is inadequately relieved
by chemotherapy. If anemia causes cardiovascular or significant systemic
symptoms, packed RBCs are transfused. Plasmapheresis is indicated if hyperviscosity
develops.
Hypercalcemia is treated with
saluresis, IV bisphosphonates, and sometimes withprednisone. Most patients do
not require allopurinol. However, allopurinol is indicated for patients with
high levels of serum uric acid or high tumor burden and a high risk of tumor
lysis syndrome with treatment.
Renal compromise can be
ameliorated with adequate hydration. Even patients with prolonged, massive
Bence Jones proteinuria (>10 to 30 g/day) may have intact renal function if
they maintain urine output >2000 mL/day. Dehydration combined with high- osmolar
IV contrast may precipitate acute oliguric renal failure in patients with Bence
Jones proteinuria.
Infection is more likely
during chemotherapy-induced neutropenia. In addition, infections with the
herpes zoster virus are occurring more frequently in patients treated with
newer antimyeloma drugs. Documented bacterial infections should be treated with
antibiotics; however, prophylactic use of antibiotics is not routinely
recommended. Prophylactic use of antiviral drugs may be indicated for patients
receiving specific drugs. Prophylactic IV immune globulin may reduce the risk
of infection but is generally reserved for patients with recurring infections.
Pneumococcal and influenza vaccines are indicated to prevent infection.
Skeletal lesions require multiple
supportive measures. Maintenance of ambulation and supplemental Ca and vitamin
D help preserve bone density. Analgesics and palliative doses of radiation
therapy (18 to 24 Gy) can relieve bone pain. However, radiation therapy may
impair the patient’s ability to receive cytotoxic doses of systemic
chemotherapy. Most patients, especially those with lytic lesions and
generalized osteoporosis or osteopenia, should receive a monthly IV
bisphosphonate (either pamidronate or zoledronic acid). Bisphosphonates reduce
skeletal complications and lessen bone pain and may have an antitumor effect.
MM is a
heterogeneous disease, with survival ranging from 1 year to more than 10 years.
Median survival in unselected patients with MM is 3 years. The 5-year relative
survival rate is around 35 %. Survival is higher in younger people and lower in
the elderly. It was estimated that about 10 580 Americans (5 640 men and 4 940
women) would die of multiple myeloma in 2008.
The tumor burden
and the proliferation rate are the 2 key indicators for the prognosis in
patients with MM. Many schemas have been published to aid in determining the
prognosis.
One schema uses
C-reactive protein (CRP) and P-2 microglobulin (which is an expression of tumor
burden) to predict survival as follows:
•
If
levels of both proteins are less than 6 mg/L, the median survival is 54 months.
•
If
the level of only one component is less than 6 mg/L, the median survival is 27
months.
•
If
levels of both protein values are greater than 6 mg/L, the median survival is 6
months.
Poor prognostic
factors include the following:
•
Tumor
mass
•
Hypercalcemia
•
Bence
Jones proteinemia
•
Renal
impairment (i.e., stage B disease or creatinine level >2 mg/dL at diagnosis)
The prognosis by
treatment is as follows:
•
Conventional
therapy: overall survival is approximately 3 years, and event-free survival is
less than 2 years.
•
High-dose
chemotherapy with stem-cell transplantation: the overall survival rate is
greater than 50 % at 5 years.
•
Serum
amyloid P retention: more than 50 % of patients have a median survival of
approximately 11 months.
•
Serum
amyloid P retention: median survival is 24 months.
Bacterial
infection is the leading cause of death in patients with myeloma.
A study by
Larsen et al., found that a significant reduction in plasma cell proliferation
in patients with newly diagnosed MM is an important predictor of survival.
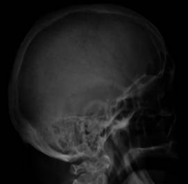
Clinical case. 52-year-old patient with multiple myeloma complicated
with chronic renal failure.
Fig. 1. Skull X-ray showing multiple
lucencies due to multiple myeloma.

Fig. 2. Pathological fracture of the L-spine due to multiple
myeloma.

Fig. 3. Ultrasound diagnostic. Hypersplenism. Heterogeniety echo.

Fig. 4. Bone
marrow morphology. Plasma cells.

Literature:
1.
Vij R, W.M., Orlowski R et al., Initial results of PX-171-004, an open
label, single arm, phase II study of carfilzomib(CFZ) in patient with rtelpased
myeloma(MM). Blood, 2008. 112, (Abstr
865).
2. Jagannath S, Vij R, Stewart AK, et al. Initial results of PX-171-003,
an open-label, single arm, phase II study of carfilzomib(CFZ)in patients with
relapsed refractory multiple myeloma(MM). Blood, 2008;. 112: 864
3. Lacy MQ,
Hayman SR, Gerttz MA, et al. Pomalidomide(CC4047) plus low dose Dexamethasone (pom/dex) is highly effective therapy
in relapsed multiple myeloma. Blood 2008; 112: 866s
4. Badros A,
Philip S, Neisvisky R, et al. Phase I trial of suberoylanilide hydroxamic
acid(SAHA) plus Bortezomib (Bort) in relapsed multiple
myeloma(MM) patients. Blood 2007; 110:354A
5. Weber DM,
Jagannath S, Mazumder A, et al. Phase I trial of oral vorinostat
(suberoylanilide hydroxyamic acid, SAHA) in combination with Bortezomib in patients with advanced multiple
myeloma. Blood 2007; 110:335A
6. Ponisch W, Rozanski M,Goldschmidt H, et al. Combined bendamustine,
prednisolone and Thalidomide for refractory or relapsed multiple
myeloma after autologous stem-cell transplantation or conventional
chemotherapy: results of a Phase I clinical trial. Br J Haematol
2008;143:191-200
7. Hidshima T,
Catly I, Raje N, et al. Inhibition of AKT induces significant downregulation of
surviving and cytotoxicity in human multiple myeloma. Br J Haematol. 2007;
138:783-91.
8. Richardson P,
Chanan-Khan A, Lonial S, et al. A multicenter phase I clinical trial of
tanespimycin(KOS-953)+ bortezomib(BZ): encouraging activity and manageable
toxicity in heavily pre-treated patients with relapsed refractory multiple
myeloma(MM). 2006 Annual Meeting of American Society of Hematology; Orlando,
FL; December 2006.
9. Jakubowiak
AJ, Don M Benson DM, Bensinger W, Siegel DS, et al. Elotuzumab In combination
with Bortezomib In patient with Relapsed Refractory
Multiple Myeloma: Updated Results of Phase 1 Study. Annual Meeting of American
Society of Hematology; December 2010. II-203p