Сексенов
Камбар Умурзакович¹, Оспанова Кульжами Есимхановна²
Кызылординский
филиал РГКП «Центр судебной медицины» МЗ РК¹, АО «Медицинский университет
Астана»²
Судебно-медицинская оценка синдрома внезапной смерти
детей
Синдром внезапной смерти детей (СВСД) уже
несколько десятилетий привлекает внимание врачей всех специальностей, в том
числе патологоанатомов и судебно-медицинских экспертов [1; 2].
По данным ВОЗ, доля этого синдрома в структуре
младенческой смертности в разных странах составляет от 15 до 33%.
СВСД определяется, как
внезапная смерть грудного ребенка в возрасте до одного года, которая остается
необъяснимой после проведения полного посмертного исследования, включающего
вскрытие, исследования места смерти и анализ медицинской документации. Случаи, не подпадающие под
это стандартное определение, включая те, при которых не было произведено
посмертное исследование, не должны диагностироваться как СВДС. Случаи, не
соответствующие данному определению, которые после тщательного посмертного
исследования остались неясными, должны классифицироваться, как неопределенные,
необъяснимые и т.п. (Консенсусная группа Национального Института Здоровья
Ребенка и Развития Человека (NICHHD), 1989) [3; 4].
СВДС относится к XVIII классу и входит в
группу неточно обозначенных и неизвестных причин смерти под рубрикой R 95. уже исходя из
классификатора становится понятно, что имеющиеся на сегодня медицинские знания
не позволяют однозначно трактовать СВДС [5].
Гистопатологический
диагноз в высшей степени субъективен, так как малое количество прозекторов, в
том числе и гистологов, хорошо разбирающихся в острой детской патологиии, за
счет чего у некоторых патологов имеется достаточно высокий порог, чтобы
констатировать, что гистопатологические проявления имеют летальный характер,
другие придают большое значение данным, которые большинство других патологов
расценивают как тривиальные.
Среди маркеров тканевой
гипоксии R. Naeye описывал: утолщение
стенок легочных артериол вследствие гиперплазии мышечного слоя; гипертрофию правого желудочка; персистирование бурого жира вокруг
надпочечников; гиперплазию мозгового
слоя надпочечников; патологические
каротидные тельца; персистирующий гемопоэз в печени; глиоз ствола головного мозга.
Однако Кооперативное
Эпидемиологическое Исследование NICHHD смогло подтвердить только три достоверно
частых находки при СВДС, являющимися вероятными маркерами тканевой гипоксии: персистирование
бурого жира вокруг надпочечников с уменьшением в органе ширины пучковой зоны и
объема эпинефроцитов; персистирующий гемопоэз в ткани печени; глиоз ствола головного мозга [6].
Цель исследования - установление патоморфологических особенностей маркеров тканевой
гипоксии новорожденных и грудных детей при СВДС для получения объективных критериев морфологической
диагностики синдрома.
Достижению поставленной цели способствовало
решение следующих задач:
1. Провести макроскопическое исследование маркеров
тканевой гипоксии на аутопсийном материале новорожденных и грудных детей,
умерших на дому;
2. Изучить микроскопическое строение внутренних
органов с целью установления патологических изменений и определения маркеров
тканевой гипоксии.
На гистологическое
исследование брались кусочки от следующих внутренних органов: кора головного
мозга с оболочками, субэпендимарные отделы головного мозга; сердце с клапанным
аппаратом; часть гортани с голосовыми
связками и регионарные лимфатические узлы;
три кусочка трахеи (верхняя, средняя и нижняя трети); внелегочные бронхи
с лимфатическими узлами; ткань легких из области патологических изменений; стенка
глотки, миндалины с дужками, слюнные железы; делались мазки-отпечатки слизистой
гортани, трахеи, бронхов, с поверхности легких с покраской их по Павловскому,
по Романовскому-Гимзе; вилочковая железа; лимфатические узлы; селезенка; печень; тонкий и толстый кишечник; надпочечники,
почки
Было проведено
исследование шести детей в возрасте до 1 года, умерших без видимых признаков
насильственной смерти, без видимых макро и микроскопических признаков. В части умершие младенцы были нормостенического телосложения, лишь в одном
случае – гипотрофичного, а в 2-х гипертрофического телосложения. Отмечался цианоз
губ и ногтевых пластинок.
При внутреннем
исследовании – жидкое состояние трупной крови. Пустые просветы полостей сердца. Под серозными оболочками на плевре, перикарде, эпикарде, под
капсулой тимуса мелкоточечные множественные кровоизлияния. Тимус
нормальных размеров, лишь в 2-х случаях был гиперплазирован. Все
лимфоидные органы и структуры были нормальны или были гиперплазированы. Надпочечники по объему соответствовали возрастной норме, лишь в одном
случае в капсуле встречались очаги
гиперплазии коркового вещества, так называемые «аденомы», что являлось, по-видимому,
маркером гипертензии. В случае с гиперплазией коркового слоя надпочечников того имело место утолщение
стенок легочных артериол за счет пролиферации гладкомышечных клеток, что так же
подтверждало имеющуюся гипертензию. Во
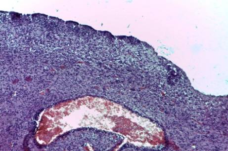
всех случаях имел место глиоз стволовой части мозга и субэпендимарной зоны,
причем глиоз в субэпендимарной зоне был
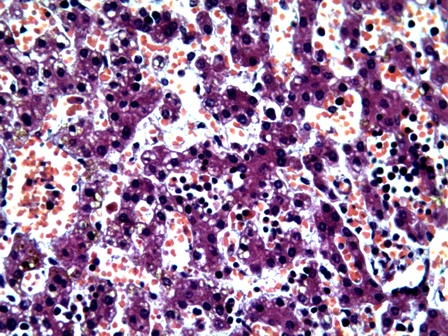
более выраженным (рис. №1). Во всех случаях имели место очаги
экстрамедуллярного кроветворения в печени, которые рассматривались как признаки морфологической незрелости ткани
вследствие внутриутробной гипоксии плода (рис. №2). Кроме этого отмечалось увеличение объема стромальных компонентов миокарда
желудочков сердца при СВДС, что так же являлось подтверждением внутриутробной
гипоксии.

Рисунок
1- Очаги
экстрамедуллярного кроветворения в ткани печени

Рисунок
2- Глиоз в
субэпендимарной зоне
Выводы
1. Для постановки
диагноза СВДС нужно исключить все другие насильственные и не насильственные
причины смерти;
2. Необходимо
получение дополнительных анамнестических данных (в том числе из «Истории
развития ребёнка») и забор большего количества объектов для дальнейших
лабораторных исследований, все это в совокупности снимет в последующем
большинство случаев диагноза СВДС;
3. Маркерами тканевой
внутриутробной гипоксии явились глиоз
субэпендимарной и стволовой части мозга, очаги экстрамедуллярного кроветворения
в ткани печени, увеличение объема стромальных компонентов миокарда желудочков
сердца и утолщение стенок легочных
артериол вследствие гиперплазии мышечного слоя
Литература
1.
Гольдберг Н.Д. Судебно-медицинское исследование
трупов внезапно умерших детей грудного и раннего возраста//Информационное
письмо №1401 от 28.05.87/Бюро главной суд.-мед.экспертизы МЗ РСФСР.-М.,1987.-30с.;
2. Саркисян Б.А. Внезапная смерть грудного ребенка//Методические
рекомендации.-Барнаул,2004.-32с.;
3. Бокерия
Л.А., Бокерия О.Л., Кулага О.И. Синдром внезапной смерти новорожденных:
современный взгляд на этиологию, патогенез, диагностические подходы и методы
профилактики//Сердечно – сосудистая хирургия. -2010.-№3.-С. 25-41;
4. Григорьев К.И. Угроза безопасности жизни
младенца: тактика наблюдения и профилактика//Медицинская сестра:
Научно-практический и публицистический журнал. -2004.-№6.-С. 2-6;
5. Международная
статистическая классификация болезней и проблем, связанных со здоровьем, X
пересмотра Принята 43-й Всемирной Ассамблеей Здравоохранения//Адаптированный
вариант, введен в действие с 1 января 1999 г. приказом Минздрава РФ от
27.05.1997 N170;
6.
Histopathology
Atlas for the Sudden Infant Death Syndrome / M. Valdes-Dapena, P.A. McFeeley,
H.J. Hoffman et al. — Washington, 1993. — 339 p Histopathology Atlas for the
Sudden Infant Death Syndrome / M. Valdes-Dapena, P.A. McFeeley, H.J. Hoffman et
al. — Washington, 1993. — 339 p