Ветеринария/
2.Зооинженерия
Д.в.н. Колчина
А.Ф., к.в.н. Баркова А.С., аспирант Серебрицкий П.М.
ФГБОУ ВПО
«Уральский государственный аграрный университет»,
г.
Екатеринбург, Свердловская обл., Россия, 620075, e-mail: hkafedra@mail.ru
Применение метода ультразвукового сканирования для диагностики заболеваний
метритного комплекса у коров
при патологии матки у коров
Введение. На сегодняшний день в молочном
скотоводстве широко распространены послеродовые заболевания, они приводят к
ощутимым убыткам [2, 3]. К ним относят послеродовые
эндометриты и метриты, включая периметрит, и субинволюцию матки. Однако в
некоторых зарубежных источниках авторы оперируют таким понятием, как «метритный комплекс» [1, 5]. Оно несколько шире и включает в себя, помимо
перечисленных выше заболеваний, также задержание последа (патология третьего
периода родов) и хронические эндометриты (гинекологическая патология). Заболевания,
входящие в состав метритного комплекса, имеют общую этиологию и факторы риска.
Также они могут перетекать из одного в другое в процессе саногенеза и имеют
сходные принципы лечения [5].
Для диагностики послеродовых заболеваний
применяют в основном трансректальную пальпацию гениталий, в меньшей степени –
вагинальное исследование. Также собирают анамнез и проводят общее клиническое
исследование. Эти клинические методы позволяют определить размеры, консистенцию,
сократимость матки, болевую реакцию и характер экссудата. Однако определение
состояния внутренних структур матки этими методами не возможно. При этом следует
отметить: ультразвуковое сканирование при исследовании коров с акушерской и
гинекологической патологией применяется мало [4].
Цель работы —
выяснить
результативность ультразвукового исследования для диагностики и контроля
лечения послеродовых заболеваний матки коров.
Материал и методика исследований. Исследования выполнены в ряде
сельхозпредприятий Свердловской области, содержащих высокопродуктивных скот
черно-пестрой породы типа «Уральский». Для ультразвукового исследования матки
использовали ультразвуковой ветеринарный сканер Ecoson ES-900V с ректальным электронным
линейным мультичастотным датчиком 5 / 6,5 / 7,5 МГц. Предварительно проводили
клиническое исследование животных с трансректальной оценкой состояния органов
репродуктивной системы. Всего было исследовано 33 коровы.
Результаты исследований и их обсуждение. Применение ультразвукового исследования в
большинстве случаев подтверждало диагоноз, основанный на использовании клинических
методов (табл. 1).
Таблица 1
Количество животных,
подвергнутых ультразвуковому исследованию
|
Вид
патологии |
ООО «Щелкунское» |
ФГУП «Учхоз «Уралец» |
|
Задержание
последа |
4 |
7 |
|
Острый
гнойно-катаральный эндометрит |
4 |
3 |
|
Подострый
гнойно-катаральный эндометрит |
4 |
3 |
|
Хронический
гнойно-катаральный эндометрит |
- |
3 |
|
Хронический
катаральный эндометрит |
- |
2 |
|
Острый
некротический метрит |
2 |
- |
|
Всего |
15 |
18 |
Однако примерно в трети случаев диагноз,
основанный на применении клинических методов, оказывался неточным либо не
подтверждался вовсе.
Следует отметить, что при нормальном течении
послеродового периода ультразвуковая картина матки характеризуется наличием в
её полости анэхогенного содержимого с гипоэхогенными включениями (лохии). Также
в первые дни после родов хорошо визуализируются карункулы, за счет чего стенки
рогов матки приобретают хорошо выраженную неоднородность.
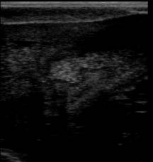
Ультразвуковое исследование матки коров после
оперативного отделения последа выявило наличие остатков плацентарной ткани,
которая визуализируется в виде яркой гиперэхогенной линии на поверхности
карункулов. Стенки матки разрыхленные, эхоструктура неоднородна. В полости
матки содержится большое количество анэхогенной жидкости с хлопьевидными гипер-
и гипоэхогенными включениями, что подтверждает наличие воспалительного процесса
(рис. 1).

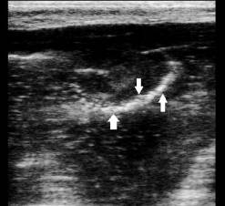
Рис. 1. Неотделившаяся плацентарная ткань
на карункуле
(после оперативного отделения последа).
При остром послеродовом эндометрите мы наблюдали
незначительное повышение температуры тела, обильное выделение бурого экссудата
с прожилками гноя; при ректальном исследовании матка располагалась позади
лонного сращения, дрябловатая на ощупь. Ультразвуковая картина характеризуется
наличием в полости матки относительно однородного гипоэхогенного содержимого от
значительного до небольшого объема. Слизистая оболочка утолщена и разрыхлена,
хорошо визуализируются карункулы, что связано с нарушением инволюционных
процессов половых органов (рис. 2).

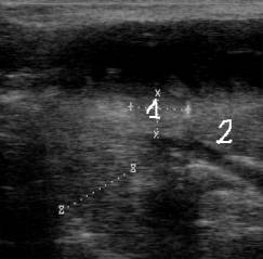
Рис. 2. Ультразвуковая картина
при остром эндометрите.
Цифрами обозначены: 1 –
карункул; 2 – полость матки с жидкостью.
При остром послеродовом метрите клинически
наблюдались повышенная температура тела, кровянистая густая масса; при
ректальной пальпации матка обнаруживалась в брюшной полости, была болезненна и
уплотнена. При этом на ультрасонограмме визуализируется значительное утолщение
сосудистого и мышечного слоёв, последний утолщён и выглядит гиперэхогенным, что
придает стенке матки слоистый вид. Характерным является отсутствие
визуализируемых карункулов и наличие в полости матки гипоэхогенной жидкости с
гиперэхогенными включениями («метель») (рис. 3).

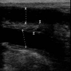
Рис. 3. Ультразвуковая картина
при послеродовом метрите.
При ультразвуковом исследовании животных с
клинической картиной подострого эндометрита (желтовато-белые хлопья в мутной
слизи, при ректальном исследовании матка располагалась позади лонного сращения,
ее тонус снижен, рога опущены в брюшную полость) было выявлено утолщение
эндометрия, четкое разграничение эндометрия и миометрия. В полости матки
отмечается наличие неоднородного гиперэхогенного содержимого, что говорит о
скоплении гнойного экссудата густой консистенции (рис. 4).

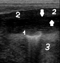
Рис. 4. Ультразвуковая картина
при подостром эндометрите: 1 – эндометрий; 2 – миометрий; 3– полость матки с
жидкостью (стрелками показан сосудистый слой)
У коров с хроническим течением эндометрита
отмечается накопление жидкости в краниальной и нижней частях рогов матки. В
зависимости от характера экссудата он визуализируется либо как анэхогенное
содержимое (катаральный эндометрит), либо как содержимое повышенной эхогенности
и неоднородной эхоструктуры (при его гнойной форме). Эндометрий утолщен,
эхоструктура его неоднородна (рис. 5).


Рис. 5. Ультразвуковая картина
при хроническом гнойном эндометрите (слева – хронический катаральный
эндометрит, справа – хронический катарально-гнойный эндометрит).
Заключение. Результаты наших
исследований показывали высокую эффективность ультразвукового исследования
органов репродуктивной системы для дифференциальной диагностики заболеваний
«метритного комплекса» у коров. Ультразвуковое сканирование позволяет
определить состояние внутренних структур матки и, как следствие, избежать
ошибок в диагностике заболеваний матки у коров, а также дает возможность
контролировать эффективность их лечения.
Литература:
1. Медведев Г.Ф., Гавриченко Н.И. Влияние заболеваний
метритного комплекса на частоту синдрома «повторение половой охоты» у коров //
Материалы межд. науч.- практ. конф. «Современные проблемы ветеринарного
акушерства и биотехнологии воспроизведения животных». Воронеж. 2012. С.
332-338.
2. Нежданов А.Г., Мисайлов В.Д., Шахов А.Г. Болезни
органов размножения у коров и проблемы их диагностики, терапии и профилактики
// Материалы межд. науч.- практ. конф. «Актуальные проблемы болезней органов
размножения и молочной железы у животных». Воронеж. 2005. С.8-11.
3. Стуков А.Н., Колчина А.Ф.,
Тимкин А.В. методы повышения репродуктивной функции высокопродуктивных коров
Аграрный вестник Урала. 2010. № 11-2. С. 50.
4. DеsCôtеaux L., Cоllоtоn J., Gnеmmi G., DеsCôtеaux L. Practical Atlas оf Ruminant
and Camеlid Rеprоductivе Ultrasоnоgraphy. Wilеy-Blackwеll, 2010. 228 p.
5.
Sheldon M., Cronin J., Goetze L., Donofrio G., Schuberth H.J. Defining
postpartum uterine disease and the mechanisms of infection and immunity in the
female reproductive tract in cattle. Biology of reproduction. 2009. V. 81.
P.1026 – 1029.