УДК 681.32;
621.372.54
СРЕДСТВА ПОВЫШЕНИЯ ТОЧНОСТИ ЦИФРОВОЙ ОБРАБОТКИ ИЗМЕРИТЕЛЬНОЙ
ИНФОРМАЦИИ
Мехтиев К.А., Mехтиева А.М., Алиева Л.А.
Ключевые слова: повышения точности измерений, цифровая измерение, погрешность измерения, цифровая
обработка, несинусоидальные электрические сигналы, фильтрация сигналов.
Целью работы является контроль и
повышение эффективности управления объектов выработки и потребления
электрической энергии путем
преобразования и цифровой обработки
несинусоидальных электрических сигналов, разработка и применение методов и средств повышения точности цифровой
обработки измерительной информации. В
любом случае процесс разработки собственного программного обеспечения важно
упростить, сократить временные и прямые финансовые затраты на его разработку.
В настоящее время в связи с развитием вычислительной
техники широкое распространение получают алгоритмические методы повышения
точности измерений [1, 2]. Они основаны на получении в процессе
функционирования информационно-измерительных систем дополнительной информации,
позволяющей исключить влияние погрешностей на результат измерения.
Дополнительная информация может быть получена за счет наличия структурной,
временной или структурно – временной
избыточности информационно-измерительных систем. Отличительной особенностью
использования алгоритмических методов является возможность повышения точности
результатов измерений без улучшения метрологических характеристик исходных
измерительных устройств и систем.
Любое измерительное устройство можно представить в
виде некоторого числа измерительных преобразователей, функциями которых
является преобразование величины, подаваемой на их вход. В общем случае
измерительное устройство измеряется входная величина
, являющаяся случайной функцией времени и ряда параметров. В
общем случае, параметры реальной функций преобразований измерительное
устройство являются нестационарными случайными функциями времени. В связи с
этим погрешность измерительное устройство будет также являться нестационарной
случайной функцией времени [3].
Во время бурения нефтяных скважин измеряется некоторые
параметры как температура, давление, плотность и т.д. В дальнейшем все эти
параметры обрабатывают для того, чтобы получить определенную информацию. Поскольку
результаты экспериментальных измерительных данных, полученных из скважин,
защемлены, необходимо, чтобы выполнить фильтрацию этих данных прежде, чем
сделать их обработку. Фильтрация должна быть и высокой частотой, и низкой
частотой [4, 5].
Неблагоприятное влияние несинусоидальности на работу
сетей, электрооборудования и электроприемников состоит в следующем: появляются
дополнительные потери в электрических машинах, трансформаторах и сетях, а также
дополнительные отклонения напряжения; сокращается срок службы изоляции
электрических машин и аппаратов; ухудшается работа устройств автоматики,
телемеханики и связи.
Как известно [6, 7], диагностику электродвигателей на нефтегазовой
промышленности можно осуществлять путем измерения и обработки величин токов и
мощностей в режимах холостого хода и короткого замыкания. От того, насколько
точно сделаны замеры этих параметров, зависит достоверность контроля и
диагностики. В процессе измерения тока и напряжения полезный гармонический
сигнал оказывается зашумленным, т.е. на него в результате измерения
накладывается высокочастотный шум (помеха). В результате чистый гармонический
сигнал оказывается негармоническим. Кроме того, в реальных цепях наличие
дополнительных гармоник обусловливает несинусоидальность также самих
измерительных сигналов u(t) и i(t).
Причины возникновения несинусоидальности напряжений и
токов в электрической сети – наличие
вентильных преобразовательных установок и электроприемников с нелинейной
вольт-амперной характеристикой. Основное влияние оказывают вентильные
преобразователи. Источниками несинусоидальности в энергосистемах могут быть
также генераторы или трансформаторы при работе их на нелинейной части кривой
намагничивания.
Нами было проведено имитационное моделирование в
среде Matlab.
В качестве результирующей погрешности сигнала
рассматривалась сумма случайной погрешности, равномерно распределенной на
отрезке [0, 1], генерируемой встроенной функцией Matlab rand и систематической
погрешности второго порядка, описываемой функцией вида
.
Спектры исходных сигналов рассчитаны в программной
среде Matlab с помощью быстрого преобразования Фурье – функции fft. На рис.1(а)
изображена результирующая погрешность, на рис.1.(b) –исходный несинусоидальный сигнал, на рис.1 (v, q) – спектры
соответствующих исходных сигналов.
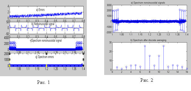
Далее в результате произведения несинусоидального
сигнала и погрешности получен результирующий сигнал, спектр которого изображен
на рис.2 (а). Как видно из рис. 2 (а) результирующий спектр содержит в своем
составе определенное количество гармоник (13).

Расчеты, приведенные на рис.2 (b) показали, что в спектре значительно уменьшилось
влияние дополнительных гармоник. Их амплитуда стала порядка 20, то есть произошло подавление спектра почти в 100
раз.
Таким образом, предлагаемый системный подход к
созданию информационно-измерительных систем рассматриваемого назначения состоит
в совокупном анализе процессов измерения и корректирующей фильтрации с целью
достижения сбалансированных показателей метрологической,
структурно-алгоритмической и функциональной эффективности разрабатываемых
средств.
ЛИТЕРАТУРА
1. Aliyev T.A. Robust
Technology with Analysis of Interference in Signal Processing: monogr. –
New-York: Kluwer, 2003. – 199 p.
2.
Орнатский
П.П., Скрипник Ю.А., Туз Ю.М. Развитие структур измерительных устройств. В
сб.: Информационно-измерительные системы. Изд-во Киевского государственного
университета, 1974, 152 с.
3.
Алиев Т.A., Сейдель Л.Р. Автоматическая коррекция
погрешностей цифровых измерительных приборов. –М.: Энергия, 1975. –216 с.
4.
Исмаилов Ш.Ю., Абдуллаев
И.М., Мамедов Н.Я. Преобразование и цифровая обработка непрерывных сигналов.
Баку, Элм, 2004, 184 с.
5.
Аллахвердиева Н.Р., Мехтиева А.М., Мехтизаде
Э.К. Повышение
точности преобразования и цифровой обработки электрических сигналов.
«Информационно-измерительные и управляющие системы». Москва, 2010, №9, т.8,
с.69-74.
6.
Гольдберг О.Д.,
Абдуллаев И.М., Абиев А.Н. Автоматизация контроля параметров и диагностики асинхронных двигателей. М.:
Энергоатомиздат, 1991, 160 с.
Сведения об
авторах
Мехтиева
Алмаз Мобил кызы
Место
работы: доцент кафедры «Автоматика,
телемеханика и электроника» Азербайджанской Государственной Нефтяной Академии,
Баку
Адрес:
Азербайджан, Баку, пос.Ахмедлы, ул. Шихлинского, дом 39-а, кв.82
Почтовый индекс: AZ1016
E-mail: almazmehdiyeva@yahoo.com
Телефон: +994 50 4370438