к.м.н. Косторная И.В.,
к.м.н. Ермакова О.М.
Ставропольский государственный
медицинский университет, доценты
кафедры патологической анатомии и судебной медицины
ПАТОЛОГИЯ РЕПРОДУКТИВНОЙ
СИСТЕМЫ ПРИ ХРОНИЧЕСКОЙ КАННАБИНОИДНОЙ ИНТОКСИКАЦИИ ПО МОРФОЛОГИЧЕСКИМ ДАННЫМ
Препараты
индийской конопли (марихуана, гашиш), кроме
основного эйфоригенного агента Д9-тетрагидроканнабинола
(ТГК), содержат более 60 других каннабиноидов, а также 360 различных веществ, таких как стеролы, терпены, флавиноиды, производные
фурана и алкалоиды [4]. В дыме сигареты
с марихуаной в газовой фазе можно обнаружить окись углерода, ацетальдегида,
акролеин, толуол, нитрозамин, винилхлорид,
а в фазе частиц — фенол, крезол и другие вредные вещества. Дым такой
сигареты по сравнению с табачной -
содержит в 2 раза больше нафталина и канцерогенов (бензантрацен,
бензпирен). Сам по себе ТГК характеризуется довольно низкой острой токсичностью и в отличие от героина не вызывает угнетение
дыхательного центра. Кроме того, физическая зависимость от этого
вещества или вообще не развивается, или выражена слабо. Тем не менее, сообщалось немало фактов, о деструктивном эффекте каннабиноидов на репродуктивную функцию организма, которая нарушалась
на всех этапах и у всех видов животных
(грызуны, собаки, обезьяна, человек)
[11,13,15].
Токсическое действие ТГК проявляется уже на стадии образования гамет. Предполагают, что этот
психомиметик ингибирует энергетические процессы в клетках тестикул и,
кроме того, стимулирует секрецию андрогенсвязывающего белка [5,14]. Не
исключено, что именно эти нарушения лежат в основе, наблюдаемой у курильщиков
марихуаны олигоспермии. Как сам ТГК,
так и его менее психоактивные производные
каннабинол и каннабидиол вмешиваются в процесс гипофизарной секреции половых гормонов (фолликулостимулирующего, лютеинизирующего и пролактина). Введение каннабиноидов во время
пренатального развития весьма неблагоприятно отражается на функции тестикул и сексуальном поведении взрослого животного,
что соответствует угнетающему влиянию этих веществ на секрецию андрогенов у
плода и новорожденного [12].
Добавление ТГК к зрелой плаценте in vitro
сопровождается ингибированием транспорта а-аминоизобутирата и валина, причем
эффект приобретает существенный характер, начиная с концентрации каннабиноида
20 мкМ. Поскольку рост плода зависит от
перехода питательных веществ через плаценту, эти данные могут объяснять
известные факты о внутриутробной
задержке развития плода при длительном использовании матерью препаратов
каннабиса [1,6].
Предпочтительное влияние ТГК на репродуктивную систему трудно
объяснить, так как это вещество весьма липофильно и легко распределяется в
липидной фазе многих клеток. Кроме того,
пока отсутствует информация о наличии специфического рецептора или мест
связывания для самого ТГК или его производных. Можно предположить, что
некоторые токсические эффекты препаратов
каннабиса опосредованы разнообразными
токсикогенными примесями. Как любой материал, который курят, марихуана
вызывает бронхит и эмфизему легких. Причем при сравнении последствий выкуривания равных по весу сигарет с
марихуаной и табаком обнаружили, что в первом случае возрастание уровня
карбоксигемоглобина в крови примерно в 5 раз, а количество дегтя, осевшего в
ткани легких, на УЗИ больше, чем во втором [2]. Сообщалось о влиянии
каннабиноидов на функцию сердца, включая изменения рабочей нагрузки, увеличение
объема плазмы и постуральную
гипотензию [10].
Информация об эффектах
каннабиноидов на субклеточном уровне весьма ограничена. Известно, что ТГК
претерпевает метаболическую активацию в системе микросомальных оксигеназ и
способен модулировать фармакологическое
действие некоторых лекарств [7]. Аналогичное
влияние оказывает каннабидиол [8]. Метаболическая активация
этого вещества в микросомах печени сопровождается деградацией цитохрома Р-450 и в результате ингибированием анилин-гидроксилазной
и нитроанизолдеметилазной активности.
Недавно показано, что ТГК при внутривенном введении вызывает снижение концентрации
спермидина в коре и среднем мозге крысы [9]. Смысл этих изменений трудно
объяснить, так как основная роль спермидина, как и близкого ему полиамина спермина, состоит в регуляции быстрого деления
и роста клеток. Если аналогичные сдвиги
провоцируются ТГК и в клетках герминативных
органов, они могут иметь непосредственное отношение к эффектам
препаратов каннабиса на систему репродукции.
Гистологическое
исследование секционного материала проводили
на парафиновых срезах, окрашенных гематоксилином и эозином,
пикрофуксином по Ван Гизону, а
также суданом III и реактивом Шиффа.
Для
статистического анализа полученных результатов использовали пакет программ STATISTICA
6.0, который включал при сравнении количественных переменных, использовался t-критерий
Стьюдента (сравнение пар переменных). В
связи с тем, что морфологические признаки (дистрофия, воспалительный
инфильтрат, фиброз) оценивали по ранговым шкалам, для оценки достоверности,
различия степени проявления этих признаков по группам интоксикации с учетом ее
длительности использован U-критерий Манна-Уитни. Для оценки
различий диагнозов по группам
длительности интоксикации
использовался непараметрический коэффициент ранговой корреляции Спирмена
(Rs) [3].
В нашем исследовании 226 умерших
больных, состоящих на учете в Ставропольском Краевом наркологическом
диспансере, как употреблявшие марихуану.
Все исследуемые были разделены на 3
подгруппы:
1 – 71 чел.(2,2%), стаж употребления марихуаны до 3 лет;
2 – 123 чел. (54,4%), стаж употребления
марихуаны от 3 до 7 лет;
3 – 32чел. (14,6%), стаж употребления
марихуаны более 7 лет.
Таблица № 1.
Сравнительная
характеристика возраста больных в зависимости от подгрупп длительности
интоксикации.
|
Группа |
Группа длительности заболевания |
n |
Возраст, лет |
|||
|
M±SE |
Медиана |
Min |
Max |
|||
|
|
1 |
71 |
21.0±0.3 |
20 |
15 |
25 |
|
2 |
123 |
23.6±0.2 |
24 |
18 |
34 |
|
|
3 |
32 |
30.9±1.0 |
31 |
22 |
39 |
|
|
1+2+3 |
226 |
23.8±0.3 |
23 |
15 |
39 |
|
Достоверность различий групп (по U – критерию
Манна-Уитни).
Из таблицы № 1 следует минимальный возраст
наркомана в 3-х исследуемых подгруппах – 15 лет; максимальный – 39 лет.
В таблице № 2 представлена сравнительная
характеристика возраста больных и пола.
Таблица № 2.
Сравнительная характеристика возраста
больных, в зависимости от группы интоксикации и пола
|
Группа |
Пол |
n |
Возраст, лет |
|||
|
M±SE |
Медиана |
Min |
Max |
|||
|
|
жен. |
70 |
24.2±0.6 |
24 |
18 |
39 |
|
муж. |
156 |
23.6±0.3 |
23 |
15 |
38 |
|
|
|
pм/ж= 0,451 |
|
|
|
|
|
Достоверность
различий средних между мужчинами и женщинами оценивалась по U-критерию Манна-Уитни.
Из таблицы № 2
следует, что средний возраст употребляющих марихуану: среди мужчин 23.6±0.3;
среди женщин - 24.2±0.6.
Наши данные
принципиально не расходятся с мнением других авторов, что смерть пациентов,
употребляющих каннабис в основном, наступает от соматической патологии. В паренхиматозных органах выявлены
преимущественно септические осложнения периваскулярный фиброз, характерные для
хронической интоксикации и схожи с
героиновой наркоманией. В нашей работе
уделили внимание репродуктивной системе и печени.
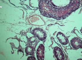
Гистологически в
яичках наблюдались явления субатрофии, которые выражались в фиброзе стенок
сосудов, базальных мембран семенных канальцев, исчезновением сперматоцитов 2-го
порядка (Рис.1); у 38 (16,9%) обнаружен
туберкулезный орхит (Рис.2).

Рис. 1. Б-ной К.,27 лет. Стаж
курения марихуаны 9 лет. Субатрофический орхит.
Липофусциноз.
Окраска гематоксилин – эозин. х 160.

Рис.2. Б-ной М., 25л. Стаж
курения марихуаны 7 лет. Туберкулезный
орхит с наличием гигантских клеток Пирогова-Лангханса. Зооспермия.
Окраска гематоксилин и эозин. х 200
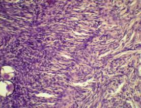
У женщин – в яичниках более выражен гиалиноз
стенок сосудов и фиброз коркового слоя
с небольшим содержанием примордиальных фолликулов (Рис.3).

Рис.3. Б-ная
25 лет. Стаж употребления марихуаны 8 лет. Атрофия коркового слоя яичника с
небольшим содержанием примордиальных фолликулов
Окраска гематоксилин и
эозин.
х 200.
Тетрагидроканнабинол вызывает
выраженную гиперсекрецию кортикостерона даже при однократном введении в дозе 50
мг/кг, действуя, по-видимому, на аденогипофиз и гипоталамус [7]. Эти эффекты не могут быть отнесены к
специфическим, однако они указывают
на участие эндогенных каннабиноидов
в формировании стрессорных реакций организма.
Резюме: в репродуктивной системе – при сравнительной характеристике проявлений патологии по длительности и полу имелись достоверные
факты, что репродуктивная система женщин страдает меньше чем мужская в группе 2
(употребление марихуаны свыше трех лет) - 0.006, по нашему мнению это зависит
от прямого влияния каннабиноидов на
сперматогенез. При морфометрическом
анализе яичников существует достоверная отрицательная корреляция между
длительностью наркотизации и высотой фолликулярного эпителия в зреющем
фолликуле (Rs=-0.50, p<0.01). Фиброза
стромы от вида наркомании и длительности статистически значимой связи не
выявлено. В яичках существует выраженная
отрицательная корреляция между длительностью приема наркотика и высотой
сперматогенного эпителия во всех группах
(Rs от -0.68 до -0.89, p<0.001), так же
отрицательная корреляция наблюдается с диаметром сосудов стромы от длительности
наркотизации во всех группах (Rs=-0.29, p<0.05).
Выражена положительная корреляция фиброза стромы в зависимости от длительности
наркотизации во всех группах: (Rs=0.65,
p<0.001).
Отмеченное в
тестикулах при макроскопическом исследовании в 57% наблюдений уменьшение
органов в размере, гистологически -
нередко (64,8%) выявляли угнетение сперматогенеза с наличием в канальцах лишь
сперматогониев и сперматоцитов 1-го, реже 2-го порядка без более зрелых форм, можно объяснить, как прямым
гонадотоксическим действием наркотика, так и стрессорными воздействиями, которые, как известно, нередко
сопровождаются подобными поражениями. Характерно обнаружение крупных комплексов
лейдиговских клеток в интеканаликулярной строме. Многие из них (53,9%) с
липофусцинозом.
Кисты
яичников по нашим наблюдениям, типичные фолликулярные, свидетельствующие о
нарушении овуляции, которое может иметь как центральное происхождение в
качестве компонента полиэндокринопатии, так и местный генез, связанный с
нередким у наркоманов наличием инфекций репродуктивной системы.
БИБЛИОГРАФИЧЕСКИЙ
СПИСОК:
1.
Богомолова
И.Н., Пиголкина Е.Ю. Роль гистологического исследования в судебно-медицинской
диагностике хронической наркотической
интоксикации // Судебно-медицинская экспертиза.-2003. №1. – С.40-42.
2.
Веселовская
Н.В., Коваленко А.Е. Наркотики: свойства, действие, фармакокинетика,
метаболизм. М.: «Триада-Х», 2000.-206с.
3.
С. Гланц
Медико-биологическая статистика. Пер. с англ. – М., Практика, 1998. -459с.
4.
Камаев А.Л.
Анашизм.- Самара, 1991. -212с.
5.
Николаева Л.А.
Каннабиноиды. – Кишинев: Штиинца, 2002. – 86с.
6.
Лужникова Е.А.
Клиническая токсикология. – М.: Медицина, 1994. – 368с.
7.
Пиголкин Ю.И..
Богомолова И.Н., Богомолов Д.В. Судебно-медицинская оценка морфологических
изменений печени при наркомании // Судебно-медицинская экспертиза. -2002.-№5.
–С. 33-35.
8.
Пятницкая И.Н.
Наркомании. – М.: Медицина, 1994. – 544с.
9.
Рудык Б.И.
Соматические расстройства у наркоманов // Врачебное дело. – 1990.-№1. – С.
97-101.
10.
Шабанов
П.Д. Основы наркологии. – С.-Пб.: Лань,
2002.-555с.
11. Aldrch M.R. Savings in California mariyuana law enforcement costs
attributable to the Moscone act of 1976 // J. Psychoact. Drugs. 2005. № 1. P. 75 –81.
12. Choy J.M., Robertson A.L., Stein R.J. Vascular changes in the nasal
submucosa of chronik cocaine addicts. Am. J. Forensic. Med. Pathol. – 2000. - № 2.-C. 136-143.
13. Himeno H., Enzan H., Saibara T.et al. //Virchows Arch. Abt. A. – 2004. – Bd. 424, №5. – S. 471 – 476.
14. Kida H., Yoshimura M. Kidneу diseases caused bу contrast media and narcotics. [Review]. Nippon Naika Gakkai Zasshi –
Journal of Japanese Societу
of Internal Medicine.. -1999.-83(10). –pp.1752-7.
15. La Rosa F. G., Clarke S.N., Lefkowitz J.B. Brodifacoum intoxication with marijuana smoking. Arhives of
Pathology & Laboratory Medicine., 1997.-121(1).
–pp. 67-9.