Материал и методы. Под нашим наблюдением находилось 98 больных эрозивно-язвенными
гастродуоденальными кровотечениями на фоне хронической обструктивной болезни
легких (ХОБЛ). Пациентам проводилось обследование:
фиброгастродуоденоскопия, оценка кислотообразующей функции желудка,
цитологическое, гистологическое, исследование
биоптатов слизистой оболочки желудка, иммунологическое исследование.
Результаты и их обсуждение. Мы
исследовали иммунные показатели у пациентов эрозивно-язвенными
гастродуоденальными кровотечениями и ХОБЛ. У 98 больных язвенными
гастродуоденальными кровотечениями и ХОБЛ проведено исследование
клеточно-гуморального иммунитета. Анализ полученных данных показал (таблица 1), что с нарастанием степени тяжести
кровопотери происходит снижение в крови числа СD3+. Это снижение соответствует степени кровопотери
(коэффициент корреляции = - 0,946). Так, при
кровопотере I степени число СD3+ клеток составило 65,2±0,2%, а у больных с II
степенью кровопотери их уровень достоверно снизился и составил 63,4±0,5% (р1
< 0,05). У пациентов с III степенью кровопотери число СD3+, по сравнению с
II степенью кровопотери, достоверно снизилось до 61,5±0,3% (р2 < 0,001).
Получено достоверное снижение уровня СD3+ клеток у больных с IV степенью
кровопотери до 55,2±0,5% по сравнению с III степенью кровопотери (р3 <
0,001). Выявлено достоверное снижение количества CD4+ клеток (коэффициент
корреляции = - 0,990) с 33,7±0,8% у пациентов
II степени кровопотери до 29,7±0,7% у больных с III степенью кровопотери (р2
< 0,05). Получено достоверное снижение уровня CD4+ до 23,2±0,5% у больных с
IV степенью кровопотери по сравнению с III степенью кровопотери (р3 <
0,001). Определено достоверное снижение числа CD8+ клеток (коэффициент
корреляции = - 0,982) с 30,2±0,3 % у пациентов
с I степенью кровопотери до 28,2±0,3% у больных с II степенью кровопотери (р1
< 0,001).
Таблица 1 – Показатели клеточно-гуморального
иммунитета у больных эрозивно-язвенными гастродуоденальными кровотечениями и
ХОБЛ в зависимости от степени тяжести кровопотери
|
Показатель иммунитета |
Степень тяжести кровопотери (М±m) |
|||||
|
Ι |
ΙΙ |
ΙΙΙ |
IV |
|||
|
n=24 |
n =31 |
n=28 |
n=15 |
|||
|
CD3+ (%) |
65,2±0,2 |
63,4±0,5 |
61,5±0,3 |
55,2±0,5 |
||
|
|
р1< 0,05 р2< 0,05
р3< 0,001 |
|||||
|
CD4+ (%) |
37,4±0,6 |
33,7±0,8 |
29,7±0,7 |
23,2±0,5 |
||
|
|
р1<0,05 р2< 0,05 р3< 0,05 |
|||||
|
CD8+ (%) |
30,2±0,3 |
28,2±0,3 |
25,2±0,5 |
20,4±0,3 |
||
|
|
р1< 0,05 р2<
0,001 р3< 0,05 |
|||||
|
CD22+ (%) |
35,2±0,3 |
37,2±0,6 |
39,2±0,5 |
38,2±0,6 |
||
|
|
р1< 0,001 р2> 0,05 р3> 0,05 |
|||||
|
IgM (г/л) |
1,7±0,4 |
2,9±0,5 |
3,1±0,3 |
3,6±0,5 |
||
|
|
р1> 0,05 р2> 0,05 р3> 0,05 |
|||||
|
IgG (г/л) |
14,8±0,4 |
12,8±0,4 |
10,2±0,3 |
9,5±0,4 |
||
|
|
р1< 0,05 р2>0,05 р3< 0,05 |
|||||
|
IgA (г/л) |
2,5±0,4 |
2,3±0,3 |
1,9±0,5 |
1,7±0,3 |
||
|
|
р1 >0,05
р2>0,05 р3 >0,05 |
|||||
р1 – достоверность между I и II степенью кровопотери,
р2 – достоверность между II и III степенью
кровопотери,
р3 – достоверность между III и IV степенью
кровопотери.
Получено
достоверное снижение количества CD8+ у больных с III степенью кровопотери до
25,2±0,5% по сравнению с II степенью кровопотери (р2 < 0,001). Выявлено
достоверное снижение CD8+ до 20,4±0,3% у больных с IV степенью кровопотери по
сравнению с III степенью кровопотери (р3 < 0,001). Выявлено достоверное
увеличение количества CD22+
(коэффициент корреляции = 0,752) с 35,2±0,3% у
пациентов с I степенью кровопотери до 37,2±0,6% у пациентов II степени кровопотери
(р1 < 0,001). Выявлено достоверное снижение IgG (коэффициент корреляции = - 0,988)
с 14,8±0,4 г/л у больных с I степенью кровопотери до 12,8±0,4 г/л у
пациентов с II степенью кровопотери (р1 < 0,05). Получено достоверное
снижение IgG с 10,2±0,3 г/л у больных с III
степенью кровопотери до 9,5±0,4 г/л у пациентов с IV степенью кровопотери (р3
< 0,05), IgA (коэффициент корреляции = - 0,997) с 2,5±0,4 г/л у больных с I степенью
кровопотери до 2,3±0,3 г/л у больных с II степенью кровопотери (р1 >0,05).
Получено снижение IgА с 1,9±0,5 г/л у больных с III
степенью кровопотери до 1,7±0,3 у пациентов с IV степенью кровопотери (р3 <
0,05), а что касается количества IgМ, то
достоверного изменения не выявлено (р1,2,3 > 0,05).
Таким образом, у больных
эрозивно-язвенными гастродуоденальными кровотечениями и ХОБЛ имеется
корреляционная связь между степенью кровопотери и изменениями показателей
иммунного статуса. Выявлено достоверное снижение уровня СD3+, СD4+, СD8+, IgG, IgА (коэффициент корреляции = -0,961), повышение уровня CD22+ (коэффициент корреляции = 0,371). Следовательно,
чем больше кровопотеря, тем более выражены иммунные нарушения.
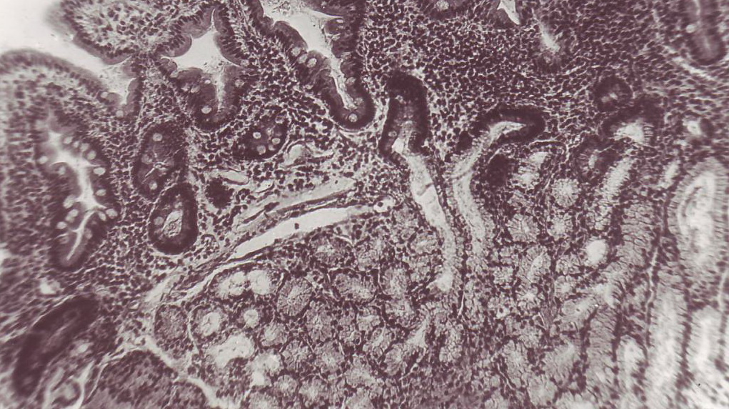
При
изучении биоптатов, полученных из параульцерозной зоны у больных
эрозивно-язвенными гастродуоденальными кровотечениями и ХОБЛ установлено, что
изменения носили распространенный характер, иногда с выраженной перестройкой
структуры слизистой оболочки. Желудочные ямки на большом протяжении извитые,
местами очень глубокие, заполненные секретом, чередовались с уплощенными ямками
мелкой глубины. В некоторых наблюдениях отмечались дистрофические изменения
клеток покровного эпителия со смазанными границами, с уплощенной формой,
наличием мелкозернистости и вакуолизации цитоплазмы, снижением интенсивности
окраски ядер. Нередко вследствие дистрофических изменений железистого эпителия
нарушалось слизеобразование. Покрывающий протекторный слой истончен. Ядра
смещались в апикальную часть клеток. Имело место нарушение слизеобразования.
Число желез в собственной пластинке слизистой оболочки было уменьшено, между
ними отмечались очаговые и диффузные разрастания соединительной ткани,
вследствие чего железы были разобщены, окруженные прослойками волокнистых
структур. Эти процессы сопровождались значительным отеком и разрыхлением
собственной пластинки. На фоне отека основного вещества стромы собственной
пластинки выявлялись расширенные, заполненные эритроцитами кровеносные сосуды с
явлениями стаза , что свидетельствовало о нарушении микроциркуляторного русла
(рисунок 1).

Рисунок 1 – Микрофото. Дистрофические изменения
покровного эпителия слизистой оболочки желудка (стрелки). Окр. Гематоксилином и
эозином. Ув.*200
Таким образом, наблюдаемые морфологические изменения в
слизистой оболочке желудка в большей степени зависят от циркуляторной гипоксии
вследствие нарушения микроциркуляторного русла, глубины дистрофических и
некротических изменений.
Литература:
1.
Верткин А.Л., Фролова Ю.В., Петрик Е.А., Адонина
Е.В., Вовк Е.И., Дзивина М.Ю. Профилактика желудочно-кишечных кровотечений при
обострении ишемической болезни сердца // Consilium Medicum. 2008. № 2.
Гастроэнтерология.
2.
Зайратьянц О.В., Колобов
С.В., Н.И.Полянко, Хохлова Е.Е. Острые эрозивно-язвенные кровотечения у больных
терапевтического и неврологического профиля. Сб. тез. докл. VIII Московской
Ассамблеи «Здоровье Столицы». М., 2009. С.256-257.
3.
Ивашкин В.Т., Шептулин
А.А. Эрозивно-язвенные поражения желудка и двенадцатиперстной кишки,
обусловленные нестероидными противовоспалительными препаратами. Врач. 2001. 3.
22-3.
4.
Козлова
И.В., Чумак Е.П. Поражения желудка и двенадцатиперстной кишки Российский журнал
гастроэнтерологии, гепатологии, колопроктологии 2008. № 6. С 75-80.
5.
Хохлова Е.Е.
Клинико-морфологическая характеристика острых
эрозий и язв желудка и двенадцатиперстной кишки у больных
терапевтического и неврологического профиля автореф. дис. ... канд. мед. наук.
М., 2010. 24с.