V.O.Kenbayev,
K.B.Djusupov
Application of enzymes
in complex treatment odontogenic infections
Shymkensky city hospital
of the first help
Introduction.
Despite
improvements in treatment of inflammatory diseases of the maxillofacial region,
the problem of purulent infection continues to be relevant (1,2).
Reduced
effectiveness of antibiotics, delayed clearance of necrotic purulent cavities
of the masses, which are a kind of barrier to the penetration of drugs into the
inflammatory focus, dictate the necessity of finding new treatments for
odontogenic inflammatory diseases.
Surgeons
have long attracted the attention of the idea of the ability
to influence the course of inflammatory processes with biologically active
drugs enzymes.
To
date, the specified requirements are satisfied polienzimnye drugsand the most
known method of application is the systemic enzyme therapy, treatment and
prevention through a combination of targeted selected hydrolytic enzymes of
animal and vegetable origin, providing co-operative effects on key
physiological and pathophysiological processes in the body (3).
Despite the large number of publications
reporting on the application of drugs for systemic enzyme therapy, there is no
work, summarizing the experience of their use in the maxillofacial region.
The
aim of the work was to study the histo-morphological changes of the skin from
underlying dermis using the drug "Wobenzym" and its influence on the
healing of the wound.
Materials and Methods.
The
material of our observations was the 55 patients with acute odontogenic
purulent processes of the soft tissues of the maxillofacial area in age from 10
to 70 years (17 women, 38 men).
Admission and in the dynamics of the disease
were carried out clinical and laboratory research.
Morphological
study of skin exposed to the underlying dermis. Pieces of tissue were fixed in
10% formalin solution and embedded in paraffin.
From these blocks serial sections were
prepared, stained them with hematoxylin and eosin and mikroskopirovali.
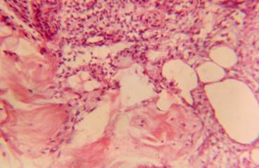
Results.
In
the initial period, sides and bottom of the wounds were presented
purulent-necrotic masses (Figure 1), the
thickness of which depended on the extent of tissue damage (Figure 2).
Detritus
was closely associated with developing granulation tissue.

Figure
1. Presented pyonecrotic mass. Uv.h200
In
some cases, the morphological study of the primary septic wounds reported a
mosaic structure developing granulation and marginally located infiltrative
tissue impregnated with fibrin containing large amounts of neutrophils.

Figure
2. Contains a large number of neutrophils. Uv.h200
Lumen
of blood vessels, the underlying tissues was extended, indicating that the
congestion in the area of the inflammatory process, a constant output of
neutrophils, macrophages, and fibrin.
Along
with an inflammatory erythema resulting mikrotrombozov due to the progression
of inflammation, foci of necrosis were observed.
In
the area of diffusely infiltrated by
neutrophils subcutaneous noted the presence of micro-abscesses and micro
phlegmon, which were isolated from the main defect of the wound and remained
incomplete after surgical treatment (Figure 3).
The
use of "Vobenzima" led to the sequestration of necrotic foci of
active soft tissue dissection and readjustment of micro abscesses and micro
phlegmon, reducing infiltration and edema of the border areas and the
elimination of secondary necrosis of soft tissues.
Along
with cleaning the wounds of devitalizirovannyh tissue filling the wound
occurred in parallel defect young, well vaskulyarizirovanymi granulations
(Figure 4).

Figure
3. In the area of diffusely infiltrated by neutrophils indicated the presence
of micro-abscesses. Uv.h200

Figure
4. There is a parallel to the filling of the wound defect young, well vaskulyarizirovanymi
granulations. Uv.h200
According
to pathological studies in the treatment of wounds shortened the period of
purification for 2-3 days, compared with the control group.
The
use of "Vobenzima" eliminated major manifestations of acute inflammation
in the wound at the time of its purification from necrotic masses and led to
the wound cavity filled with granulation tissue at 4-5 days of treatment
(Figure 5).

Figure
5. Eliminated the main manifestations of acute inflammation in the wound. Uv.h200
In
the initial biopsies of festering wounds and abscesses after autopsy revealed
phlegmon large variety of morphological changes.
By
the beginning of treatment in foci of purulent inflammation was observed
neutrophil infiltration of tissues and foci of necrosis, the presence of
numerous micro-abscesses and micro phlegmon, the development of granulation
tissue at different stages of maturation until fibrosis.
For
this material was characterized by leukocyte infiltration and purulent fusion
of the surface layers of granulation, and necrosis melkofokusny leukocytic
infiltration in the deeper layers of granulation tissue (Figure 6).

Figure
6. Leukocyte infiltration and purulent fusion of the surface layers of
granulation. Uv.h200
Analysis
of the individual dynamics of wound healing process with abscesses and purulent
processes and comparison of these data show that regardless of the stage of
wound healing, in which treatment is started,inflammation subsided under the
influence "Vobenzima" is an average of 5 days of starting
treatment,whereas in the comparison group to the same result occurs in 7-9 days
or more.Filling the wound defect was carried out by young granulation, to be
emanating from a more mature granulation tissue (Figure 7), which appeared in
populations secreting glikozoaminoglikanov fibroblasts.

Figure
7. Filling the wound defect was carried out by young granulation, to be
emanating from a more mature granulation tissue. Uv.h200
Thus,
the results indicate a high efficacy of systemic enzyme therapy.
Reference.
1.
Avakian, AV, Amiryan SS, TN Akopian, A. Harutyunyan The use of papain with
Dimexidum and furatsilinom for the treatment of purulent wounds / / clinical.
surgery. - 1987. - № 1. - S. 48-49 -
2. Bednova VN Borisenko KK, TI Novolotskaya
et al / / Antibiotics and chemotherapy. - 1998. - № 8. - S. 45-46.
3.Veremeenko KN, VN Kovalenko Systemic enzyme
therapy. Theoretical foundations, clinical experience. - Kiev: Morion, 2000. -
320s.