Медицинские науки/8.Морфология
К.б.н.
Григоренко Д.Е.
ФГБУ НИИ морфологии человека, Москва, Россия
Состояние лимфоидной ткани собственной пластинки слизистой оболочки в
стенке желудка у людей преклонного
возраста
Введение.
Основной из причин
старения организма считают нарушения в функционировании иммунной системы в
целом, так и в отдельных ее звеньях [5,7,13].
Между тем, исследований организма старого человека проводится недостаточно. В
области геронтологии иммунологические
исследования связаны, в основном, с исследованиями крови [3,8,10]. Что
касается изучения органов иммуногенеза у старого человека, то некоторые сведения о них можно встретить
при исследовании молодых возрастных групп [1,2,4]. Известно, что иммунная (лимфоидная) ткань в стенках полых органов, в том числе в
пищеварительной системе, является основным защитным барьером в организме [5,7,9]. Установлено, что в желудке, помимо его пищеварительной и моторно-эвакуаторной функций, залегающая в стенках органа лимфоидная ткань,
принимает участие в поддержании гуморального и клеточного иммунитета,
которые изменяются с возрастом [11,12,14].
В связи с этим целью нашего исследования является изучение структурной организации и клеточного
состава лимфоидной ткани в стенках фундального отдела желудка у людей пожилого и старческого возраста.
Материал и методы исследования. Секционный материал (фрагменты фундального
отдела желудка) получен в
судебно-медицинском морге №2 (при РГМУ, г. Москва), согласно статье №67 п.4
Федерального закона Российской
Федерации № 323 – ФЗ от 21.11.2011 "Об основах охраны здоровья
граждан Российской Федерации". Материалом исследования явились фрагменты
стенок фундального отдела желудка от 5 трупов людей пожилого возраста и 5
трупов старческого возраста, скоропостижно скончавшихся от заболеваний
сердечно-сосудистой системы. При патологоанатомическом вскрытии заболеваний
органов иммунной системы выявлено не было. Для сравнения результатов
исследования использовался материал от трупов людей 1 и 2-го зрелого возраста,
погибших от случайных причин (по 3 случая в каждой группе). Фрагменты желудка фиксировали в 10% нейтральном формалине, проведены по спиртам
восходящей концентрации, залиты в парафин и изготовлены гистологические срезы толщиной 4-5 мкм. Для оценки цитоархитектоники лимфоидной ткани гистологические
срезы окрашивали гематоксилином-эозином и азур2-эозином. На гистологических
срезах органа подсчет клеток
проводили под микроскопом Leica ДМ
2500 (Швейцария) при увеличении окуляра - 10 и объектива -100 (под масляной
иммерсией). Для подсчета клеток использовалась 25-узловая сетка (с шагом 10 мкм), вмонтированная в
окуляр микроскопа. Учитывали все клетки
на условной единице площади
гистологического среза в 880мкм². В стенке фундального отдела желудка изучен
клеточный состав в подэпителиальной зоне, в собственной пластинке слизистой
оболочки и в лимфоидных скоплениях.
Статистический анализ количественного содержания клеток проводили с использованием программного обеспечения «Statistica
6.0» и «Excel». Достоверность результатов оценивалась при
р≤0,95.
Результаты исследований. У
людей пожилого и старческого возраста стенка дна (фундального отдела)
желудка состоит из слизистой оболочки,
покрытой однослойным цилиндрическим эпителием, из подслизистой основы,
отделенной от слизистой оболочки толстой мышечной пластинкой и мышечного слоя,
состоящего из 3-х слоев гладкой мускулатуры.
На гистологических срезах стенки желудка 2/3 всей его поверхности занимают мощные мышечные слои. Слизистая
оболочка с покровным эпителием довольно тонкая, в разных участках стенки
желудка на ее долю приходится всего около 1/3 площади органа. Слизистая оболочка желудка представлена подэпителиальной зоной, а также собственной
и мышечной пластинкой, образующих складки, желудочные поля и желудочные ямки,
где локализованы выводные протоки желудочных желез. В основании собственной
пластинки слизистой оболочки желудка находятся главные фундальные (основные)
железы, начинающиеся от мышечной пластинки, а также слизистые железы,
продуцирующие слизь.
Под эпителием (в подэпителиальной зоне) в
складках желудка отмечаются диффузно
рассеянные клетки лимфоидного ряда, плотность распределения которых на
стандартной площади среза неоднородна. Менее всего этих клеток встречается в
1-м и 2-м зрелых возрастах (15,5 и 17,6 клеток) и более всего их - в пожилом
возрасте (42,8 клеток, на единице площади срезав 880 мкм²).

В
подэпителиальной зоне основную долю клеток составляют деструктивно измененные и
разрушенные клетки (рис.1), содержание которых практически одинаково во все
возрастные периоды (от 27,38 % до 30,28 %, различия не достоверны). Отмечено практически равное распределение ретикулярных клеток (22,70% - 24,42%). В подэпителиальной зоне молодые формы клеток
выявлены только в пожилом возрасте (1,39% больших лимфоцитов). Плазматические
клетки отмечаются в равном числе в 2-м зрелом и в пожилом возрасте (12,70 и
11,70%) и менее всего их в 1-м зрелом возрасте (9,62%, рис.1). В подэпителиальной
зоне во 2-м зрелом возрасте отмечено более всего макрофагов, по сравнению со
старшими возрастными группами (11,99% против 4,85% и 4,59%) и больше содержание гранулярных лейкоцитов
(нейтрофилов и эозинофилов - 4,22%). В 1-м зрелом и пожилом возрасте эти клетки
(эозинофилы) встречаются значительно реже - 1,18% и 0,92%, соответственно.
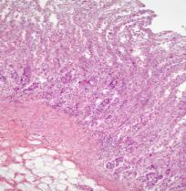
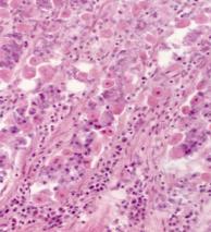
В
пожилом и старческом возрасте в стенке фундального отдела желудка в собственной
пластинке слизистой оболочки встречаются два вида лимфоидной ткани. В стенке
органа чаще всего преобладают диффузно-рассеянные лимфоидные клетки и цепочки
лимфоцитов вдоль желез (Рис.2 А,Б). Вместе с тем в глубоких слоях слизистой оболочки, в основном, над мышечной
пластинкой, отмечаются скопления лимфоидной ткани в виде тяжей или округлых образований "предузелков" (Рис. 2. В).
![]()


А. Б. В.
Рис.2. Стенка желудка мужчины 65 лет.
А- диффузно рассеянная лимфоидная ткань в слизистой
оболочке желудка.
Б- тяжи клеток лимфоидного ряда вдоль фундальных желез
желудка.
В-скопление лимфоидной ткани (показано стрелкой) над
мышечной пластинкой в слизистой оболочке органа.
В пожилом и старческом
возрасте в собственной пластинке
слизистой оболочки отмечается равная плотность распределения лимфоидных клеток
(23,0-24,0 клетки), которая на 16,0 клеток меньше, чем во 2-м зрелом
возрасте. Также в старших возрастных
группах в равном числе отмечено
количество малых лимфоцитов (28,46% и 26,95%), которых достоверно
меньше, чем во 2-м зрелом возрасте (34,29%, рис.3).

В
собственной пластинке слизистой оболочки значительную долю среди всех клеток в
лимфоидной ткани составляют деструктивно измененные клетки, содержание которых
в старческом возрасте резко увеличивается (на 10,10%), тогда как в предыдущие
возрастные периоды они сохраняются практически на одном уровне (25,3% - 26,1%,
рис.2). Максимальная доля макрофагов также отмечена в старческом возрасте, их
число увеличивается от 0,79% во 2-м зрелом возрасте до 3,19% в старческом
возрасте. Более всего молодых форм
клеток отмечено во 2-м зрелом возрасте
(2,17%) и менее 1% их выявлено в старческом возрасте (0,56%).
В пожилом и старческом возрасте в собственной
пластинке слизистой оболочки общее содержание плазматических клеток в 1,6 раза
меньше, чем во 2-м зрелом возрасте. При этом в старших возрастных группах эти
клетки выявлены в равном количестве
(7,32% и 7,29%). Однако в старческом возрасте среди плазматических клеток в 1,5
раза меньше антителпродуцирующих плазматических клеток (плазмоцитов), по
сравнению с предыдущими возрастными группами. К старческому возрасту в
собственной пластинке слизистой оболочки увеличивается доля эозинофилов (до
4,41%) , которых в 8 раз больше, чем в пожилом возрасте.
Лимфоидные скопления (рис. 2,В) в слизистой оболочке образованы
различными видами клеток, большую часть которых составляют лимфоциты (средние и малые лимфоциты), на долю которых
в пожилом и старческом возрасте приходится
по 54,0% (Рис.4).

Молодые формы клеток в старческом возрасте встречаются
в 1, 3 раза реже, чем в пожилом возрасте. При этом в старческом возрасте
увеличивается доля плазматических клеток, особенно, за счет их зрелых форм
(плазмоцитов в 1,8 раза - от 3,51% до 5,73%). На фоне равного содержания
макрофагов (2,73% и 2,12%, соответственно) в старческом возрасте снижено
содержание деструктивно измененных клеток (17,48% - в пожилом и 10,89% -в
старческом возрасте). В лимфоидных
скоплениях в старческом возрасте резко возрастает доля нейтрофилов и
эозинофилов (от 0,33% в пожилом возрасте до 1,98% в старческом возрасте).
Заключение. Исследование
показало, что в стенке фундального отдела желудка в пожилом и старческом
возрасте отсутствуют типичные лимфоидные образования (лимфоидные узелки с
центром и без центра размножения), характерные для более молодых возрастных
групп. В престарелом возрасте в стенке желудка иммунная ткань представлена, в
основном, диффузно ассоциированной
лимфоидной тканью с редко
встречающимися лимфоидными скоплениями.
Выявлено, что основная масса лимфоидной ткани сконцентрирована в основании
собственной пластинки слизистой оболочки, где чаще всего отмечаются скопления
лимфоидной ткани. Слизистая оболочка в стенке желудка неравномерно насыщена
лимфоцитами, содержание которых максимально в лимфоидных скоплениях (до 54,0%)
и менее всего их – в подэпителиальной зоне (23,33%). Характерным признаком
лимфоидной ткани для лиц в престарелом возрасте является отсутствие клеток с
картинами митозов, что считается
проявлением низкого уровня
лимфоцитопоэза [5,7,8,14]. В связи с этим, можно считать, что выявленные
малодифференцированные (молодые) клетки
в разных участках в стенке желудка, содержание которых уменьшается к
старческому возрасту, поступают в
лимфоидную ткань органа по сосудам [5,9].
Отличительной особенностью цитоархитектоники лимфоидной ткани в пожилом и
старческом возрасте является высокое содержание
плазматических клеток в подэпителиальной зоне желудка (11,7% - 12,7 %), что свидетельствует
об усилении антигенного воздействия на стенку на границе с просветом желудка
[5,9]. Сходная закономерность в накоплении числа плазматических клеток в
лимфоидной ткани на границе с просветом органа
в старших возрастных группах человека отмечена также в 12-перстной кишке,
в лимфоидной (пейеровой) бляшке в стенке подвздошной кишки и в слепой кишке [1,2,6]. В слизистой оболочке желудка отмечена значительная
доля деструктивно измененных и разрушенных клеток. Установлена определенная
закономерность в их распределении в стенке желудка. Так, менее всего клеток в
состоянии деструкции выявлено в основании
слизистой оболочки в лимфоидных скоплениях (10,9%) и более всего их – в подэпителиальной зоне (27,0%-30,3%).
Отмеченная тенденция в накоплении и содержании клеток в состоянии
деструкции свидетельствует об их
миграции из глубоких отделов слизистой оболочки желудка к его просвету.
В
заключении следует отметить, что
иммунная ткань в стенке фундального отдела желудка в престарелом возрасте
обладает слабой функциональной активностью.
Высокая деструкция клеток и низкий уровень лимфоцитопоэза в лимфоидной ткани могут приводить к
развитию иммунодефицита. Наряду с этим, компенсаторно усиливается созревание
антителпродуцирующих плазматических клеток из лимфоцитов, что способствует
сохранению местного гуморального иммунитета в стенке органа у людей пожилого и
старческого возраста.
Литература.
1.
Аминова Г.Г., Сапин М.Р.
Особенности распределения клеток в лимфоидных узелках слепой кишки человека в
разных возрастных группах Морфологические ведомости, 2007, №3-4, с.3-5.
2.
Григоренко Д.Е. Динамика
межклеточных взаимоотношений в структурных зонах лимфоидной (пейеровой) бляшки
человека в онтогенезе. Морфологические ведомости, 2006, №3-4, с. 21-24.
3.
Захарова Н.О., Лысенко
А.И. Возрастные особенности агрегатного состояния крови у лиц старческого
возраста при физиологическом старении. Успехи геронтологии, 2011, т. 24, №2, с.
268-273.
4.
Кузнецова М.А.
Лимфоидные структуры маточных труб у женщин разного возраста. Автореф. дисс.
канд. мед. наук. М,. 2009,- 28 с.
5.
Петров Р.В. Иммунология
и иммуногенетика. М., Медицина,- 1976,- 336 с.
6.
Русскина Л.Н.
Цитоархитектоника и гистотопография лимфоидных образований в стенках
двенадцатиперстной кишки человека в постнатальном онтогенезе. Автореф. дисс.
канд. мед. наук. М., 1999, 21 с.
7.
Сапин М.Р., Этинген Л.Е.
Иммунная система человека.- М., Медицина,1996,- 304 с.
8. Серова Л.А. Иммунология старения.
Медицинский вестник "Избранные
статьи",
2001,- № 27.- с. 87-98.
9. Серов В.В., Шехтер А.Б. Соединительная
ткань М., Медицина, 1981,
312 с.
10. Шукаев
С.А, Манукян А.Г, Селиванов Е.В, Сидоренкова Н.Н.
Иммунный
статус пожилых пациентов с атеросклерозом,
гиперхолестеринемией
и артериальной гипертензией.//Успехи
геронтологии.-2000.-№5.-
С.40.
11. Уголев
А.М. Естественные технологии
биологических систем. Л.,
Наука, 1987, 317с.
12. Циммерман Я.С. Гастроэнторология: руководство. Изд. ГЭОТАР,-
Медиа, 2012, 800с.
13. Этинген Л.Е. Нормальная морфология человека
старческого возраста.-
М.: 2003.-256 с.
14. Chakravarti Bulbul, Abraham George
N. Aging and T-cell-mediated
mmunity//Mech. Ageing and Dev. – 1999.-108, №3, - С. 183-206.