УДК 502:7. 925.21
ВЛИЯНИЕ АЛИМЕНТАРНОЙ КОРРЕКЦИИ НА ПАТОМОРФОЛОГИЧЕСКОЕ
СОСТОЯНИЕ ЖЕЛУДОЧНО-КИШЕЧНОГО ТРАКТА КРЫС В ПЕРИОД ХРОНИЧЕСКОЙ ИНТОКСИКАЦИИ
ГЕКСАНОМ
Бекеева С.А.
Евразийский национальный университет им. Л.Н.Гумилева,
Астана
Актуальность. Нефтепродукты относятся к числу наиболее
распространенных и опасных веществ, загрязняющих окружающую среду. Входящие в
состав нефтепродуктов низкомолекулярные алифатические, в частности гексан, и
особенно ароматические углеводороды оказывают токсическое и, в некоторой
степени, наркотическое воздействие на организм, поражая сердечную, сосудистую и
нервную системы [1,2]. В экспериментах на животных наблюдали эффекты
воздействия гексана на различные ферментные системы в легких, которые
проявлялись в виде аталектазов и отеков легких, отмечались изменения в
монооксигеназной системе печени, отмечены атрофические изменения тимуса и
селезенки, нарушения со стороны лимфатических узлов [3,4]. Таким образом,
очевидно, что гексан является политропным ядом, воздействующим на самые
различные ткани организма.
Изучение действия веществ, модифицирующих
токсическое действие алифатических углеводородов, может послужить основой
разработки профилактики развития патологических изменений при действии на
организм гексана. При этом восстановление состояния нервной системы и характера
метаболических изменений в желудочно-кишечном тракте являются одной из наиболее
важных характеристик метаболической адаптации.
Цель
исследования: оценить
профилактическую эффективность специализированного продукта при воздействии
гексана в хроническом эксперименте.
Материалы
и методы исследования. Была проведена
ингаляционная затравка гексаном в дозе 300 мг/м3 (ПДКв.р.з.)
в течение 16-17 недель (4 месяца) по 4 часа ежедневно 5 дней в неделю. Затравка
проводилась в стандартных 200-литровых камерах Курлянского, на половозрелых
белых крысах-самцах, массой 170-210 гр. На протяжении всего срока воздействия
контроль воздушной среды камеры проводился через 60 минут общепринятым
химическим методом, что позволило поддерживать концентрацию гексана.
Экспериментальные животные были разделены на 3 группы: 1 группа – интактные
крысы; животные 2 и 3 групп подвергались статическому ингаляционному
воздействию гексаном. Животные 3-ой группы получали дополнительно к рациону
специализированный продукт. В состав специализированного рациона, в качестве
базового компонента, включали богатых каротином мелких рачков Artemia salina;
богатые фосфолипидами и ПНЖК, незаменимыми аминокислотами, биологически
активными флавоноиды семена люцерны, сухое молоко, как источник полноценного
животного белка, в качестве антиоксиданта включался рутин. Муку и сахар
использовали для придания продукту консистенции. Экспериментальных животных содержали в стационарных
условиях вивария при естественном освещении в соответствии с правилами,
принятыми Европейской конвенцией по защите позвоночных животных, используемых
для экспериментальных и иных целей (Страсбург, 1986). В течение
эксперимента проводили наблюдения за динамикой изменения веса тела. Белых крыс
забивали методом декапитации. Тонкий кишечник животных фиксировали в 10%
растворе нейтрального формалина, с последующей заливкой в парафин. С
парафиновых блоков готовились срезы ткани кишечника толщиной 5 мкм, окрашивали
общепринятыми методами: гематоксилин-эозином [5]. Микроскопическое исследование
препаратов проводили с помощью компьютерной микроскопической видеосистемы «Quantimet 550 IW» фирмы «Laica» Англия. Статистический анализ результатов
исследования проводили с учетом
общепринятого критерия Стьюдента
(p<0.05) по Р.П. Бирюковой [6].
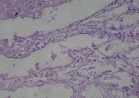
Результаты исследования. У животных 2-группы, препараты ткани тонкого кишечника
отмечались нарастанием воспалительной инфильтрации слизистой оболочки и с
дисрегенераторными изменениями в виде уплощения энтероцитов, дальнейшей
деформацией ворсинок и крипт с нарастанием дистрофических, некробиотических и
атрофических изменений во всех отделах слизистой оболочки кишечника и в стенке
в целом (рисунок 1).

Рисунок 1. Деформация ворсинок. Диффузные атрофические изменения слизистой оболочки кишечника. Увеличение: объектив 10., окуляр 40. Окраска: гематоксилин с эозином.
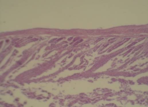
Поверхностный эпителий уплощается, становится
базофильным с гиперхромными ядрами. Появляется большое количество резко
вытянутых, истонченных ворсинок с десквамированными или резко атрофичным
эпителием. Собственные железы кишечника также деформированы, мелкие атрофичные.
Железистый эпителий гиперхромный, полиморфный. Мышечный слой стенок истончен,
склерозирован (рисунок 2).

Рисунок 2. Железистый эпителий гиперхромный, полиморфный. Мышечный слой стенок истончен, склерозирован. Увеличение: объектив 10., окуляр 40. Окраска: гематоксилин с эозином.
Следовательно, можно констатировать, что к концу эксперимента
наблюдалась трансформация подострого энтерита в хронический атрофический
энтерит, что проявлялось атрофическими изменениями, как в слизистой оболочке
тонкого кишечника, так и его мышечного слоя с обильной лимфоплазмоцитарной
инфильтрацией и прогрессирующим склерозированием стенки.
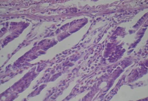
Однако, в период хронической интоксикации
гексана (4 месяца) на позднем сроке эксперимента гистологическое исследование
выявляло положительный эффект специализированного продукта. Так у животных 3
группы подвергавшихся ингаляционному воздействию гексана и получавшие дополнительно
к рациону специализированный продукт, рельеф слизистой оболочки не нарушался
(рисунок 3).

Рисунок 3. Умерено выраженный отек стромы со слабой лимфоцитарной инфильтрацией. Регенераторная пролиферация покровного и железистого эпителия слизистой оболочки кишечника. Увеличение: объектив 10., окуляр 40. Окраска: гематоксилин с эозином.
Полнокровие сосудов носили умеренный характер. Сосуды
были слабо полнокровные. Лимфатические сосуды умерено расширены. Воспалительная
клеточная реакция в слизистой оболочке и подслизистой основе была слабо
выражена. Слизистые структуры собственной пластинки располагались равномерно.
Просвет зияет. В просвете располагалось слабое эозинофильное содержимое. Мышечная оболочка стенки была эозинофильна.
Мышечные волокна плотноупакованы, располагались параллельно. Ядра клеток хорошо
выражены. Серозная оболочка плотно прилегала к мышечной основе.
Выводы:
Потребление специализированного
продукта нивелировало выраженные количественно-качественные патоморфологические
изменения желудочно-кишечного тракта экспериментальных животных при воздействии
гексана.
Список
литературы
1. Mutti A. et al
J//Intern. Arch. Occup. Environ.
Health.1982. Vol.51, №1. P.45-54; Brit. J. Ind. Med. 1984. Vol. 41, № 4.
P. 533-538.
2. Baker T.S.,
Rickart D.E. //Toxicol. a. Appl. Pharmacol. 1981. Vol. 61, № 3. P. 414-422.
3. Iwasaki K.,
Tsuruta H.//Ind. Health. 984. Vol.22, №3. P. 177-187.
4. Graham D.G.,Abou-Donia .B.J.Toxicol.a.Environ.Health.1980.Vol.6,№ 3.P.621-631.
5. Данилов Р.К.,
Быков В.Л. Руководство по гистологии. – СПб.: СпецЛит, 2001. – 496с.
6. Бирюкова Р.П. К вопросу о вычислении среднего
квадратического отклонения по размаху (амплитуде) // Гигиена и санитария. – 1962. - №7. – С.43 – 46.
2.
Бекеева
3.
Саулемай
4.
Айдаровна
5.
г.Астана
010000 ул. Янушкевича д.4 ком.314;
сот:8-705-765-67-87; т.дом. 8 (7172) 37- 94- 89; Эл. почта - alima77764@mail.ru
6.
Республики
Казахстан
7. Влияние алиментарной
коррекции на патоморфологическое
состояние органа желудочно-кишечного
тракта крыс в период хронической интоксикации гексаном
8.
Количество
страниц в статье -6
9.
-
10.
Кафедра биологии и
биотехнологии, факультет естественных наук,
11.
Кандидат биологических наук, доцент
12.
Евразийский национальный
университет им.Л.Р.Гумилева
13.
Из
интернета
14.
РЕЗЮМЕ
Влияние
алиментарной коррекции на патоморфологическое состояние органа желудочно-кишечного тракта крыс в
период хронической интоксикации гексаном
Бекеева С.А.
Была проведена ингаляционная затравка гексаном в дозе 300 мг/м3 (ПДКв.р.з.) в течение 16-17 недель (4 месяца) по 4 часа ежедневно 5 дней в неделю. Затравка проводилась в стандартных 200-литровых камерах Курлянского, на половозрелых белых крысах-самцах, массой 170-210 гр. К концу эксперимента наблюдалась трансформация подострого энтерита в хронический атрофический энтерит, что проявлялось атрофическими изменениями, как в слизистой оболочке тонкого кишечника, так и его мышечного слоя с обильной лимфоплазмоцитарной инфильтрацией и прогрессирующим склерозированием стенки. Потребление специализированного продукта нивелировало выраженные количественно-качественные патоморфологические изменения желудочно-кишечного тракта экспериментальных животных при воздействии гексана.