А.В.Гошовська, І.С.Давиденко, В.М.Гошовський,
О.В.Гарвасюк
Буковинський державний медичний університет
(м. Чернівці, Україна)
ХЕМІЛЮМІНЕСЦЕНТНЕ ВИЗНАЧЕННЯ НІТРОПЕРОКСИДІВ У СТРУКТУРАХ
ХОРІАЛЬНИХ ВОРСИНОК ПЛАЦЕНТИ В РІЗНІ ТЕРМІНИ ГЕСТАЦІЇ
Вступ. Враховуючи те,
що у ході навіть фізіологічної вагітності зростає інтенсивність
вільнорадикальних процесів у тканині плаценти, а при гіпоксії, спричиненій
залізодефіцитною анемією вагітних (ЗДАВ) вони ще більше інтенсифікуються,
доцільно було вивчити їх деякі найбільш важливі сторони.
Існує думка, що для оцінки окиснювального стресу в структурах
плацентарної тканини найпершу увагу слід приділяти нітропероксидам, які, на
відміну від активних форм кисню, завдяки більшому часу існування, здатні долати
порівняно більш значні дифузійні дистанції, і тому спроможні викликати реальну
патологію в глибині тканини, а не тільки на поверхнях.
Мета дослідження.
Встановити кількісні параметри хемілюмінесценції нітропероксидів в структурах хоріальних
ворсинок (ХВ) плаценти у різні терміни гестації на прикладі фізіологічної
вагітності та вагітності з залізодефіцитної анемії матері.
Матеріал і методи. Для
оцінки вмісту нітропероксидів у заморожених гістологічних зрізах використали
принцип ініціації світіння (виділення світлової енергії) нітропероксидів люмінолом.
Препарати після обробки робочим розчином люмінола вивчали в люмінесцентному
мікроскопі ЛЮМАМ-8 з відповідними світлофільтрами при довжині хвилі 425 нм.
Інтенсивність світіння оцінювали за
допомогою комп’ютерної програми GIMP (ліцензія
GPL, 2012) на цифрових монохромних копіях
зображення за показником «яскравість» у шкалі 256 градацій (від 0 – мінімум, до
255 – максимум).
Порівняння між групами дослідження
робили за допомогою непараметричного критерію Mann-Whitney
у середовищі комп’ютерної програми PAST
(вільна ліцензія). Попередньо виконували перевірку на нормальність у вибірках
методом Shapiro-Wilki за допомогою вищевказаної комп’ютерної програми.
Результати дослідження та їх обговорення. У термін гестації 5-12 тижнів цитоплазма трофобласта
ХВ при обробці зрізів люмінолом давала ледве помітне світіння (яскравість -
7-18, у середньому – 12,1±0,98). Спостережень ЗДАВ у цей термін не відмічено.
У проміжок вагітності 13-20 тижнів
таке світіння в контрольній групі очевидно посилювалося (у середньому –
84,4±2,04), а при ЗДАВ воно ставало ще більш інтенсивним (127±2,93). Розбіжність
між групами дослідження за критерієм Mann-Whitney була
вірогідною (p<0,001). Описані зміни
проілюстровані рисунком 1.

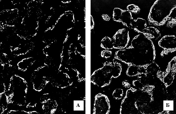
Рис. 1. Світіння цитоплазми трофобласта хоріальних ворсинок після
обробки люмінолом при довжині хвилі 425 нм. А) контрольна група. 18 тижнів
вагітності. Б) залізодефіцитна анемія. 18 тижнів вагітності. Мікроскоп ЛЮМАМ-8.
Об.20х. Ок.10х.
У проміжок гестації 21-27 тижнів
вищевказана закономірність щодо посилення світіння цитоплазми трофобласта
хоріальних ворсин після обробки люмінолом при ЗДАВ у порівнянні з контролем
зберігалася як за самою тенденцією відмін так і за рівнем бальної оцінки.
Аналогічна ситуація щодо світіння
цитоплазми трофобласта хоріальних ворсин після обробки люмінолом була відмічена
і для терміна гестації 28-36 тижнів, тобто при передчасних пологах (рис. 2).
Відмінностей у світінні цитоплазми трофобласта хоріальних ворсин після обробки
люмінолом залежно від зони плаценти не виявлено.
А Б


Рис 2. Світіння цитоплазми трофобласту хоріальних ворсинок після
обробки люмінолом при довжині хвилі 425 нм. А) контрольна група. 34 тижні
вагітності. Б) залізодефіцитна анемія. 33 тижні вагітності. Мікроскоп ЛЮМАМ-8. Об.20х. Ок.10х.
При
строкових пологах (37-40 тижнів гестації) інтенсивність світіння цитоплазми
трофобласта хоріальних ворсин після обробки люмінолом було вищим, ніж у
попередні терміни вагітності. У групі контролю середня інтенсивність світіння була
оцінено у 184,1±4,27. Однак, це світіння набувало рис вираженого фракціонування
по площі цитоплазми (3а). При ЗДАВ світіння було оцінено в 204±5,71, а
фракціонування по площі цитоплазми, такого, як у групі контролю не відмічалося.
Різниця між групами дослідження за критерієм Mann-Whitney
була вірогідною (p<0,001).

Рис.3. Світіння цитоплазми трофобласта хоріальних ворсинок після
обробки люмінолом при довжині хвилі 425 нм. А) контрольна група. 39 тижнів
вагітності. Б) залізодефіцитна анемія. 39 тижнів вагітності. Мікроскоп ЛЮМАМ-8.
Об.20х. Ок.10х.
Висновок. Проведені дослідження люмінесцентного світіння цитоплазми трофобласта хоріальних ворсинок після обробки люмінолом дозволили встановити, що з терміном гестації зростає кількість нітропероксидів у структурах плаценти, причому, починаючи з 13-16 тижня гестації і до її завершення, залізодефіцитна анемія вагітних спричиняє більш значне утворення нітропероксидів у цитоплазмі трофобласта ніж при відсутності анемії.