Медицина/7. Клиническая медицина
Ніколенко
О.Ю., Ніколенко В.Ю., Могилевська Х.Е.
Донецький національний медичний
університет ім. М.Горького, м. Донецьк, Україна
Нові підходи до
моделювання на щурах синдрому Коліне-Каплана
Хвороби
легень від впливу фіброгенного пилу залишаються актуальними наряду з провідними
проблемами медицини праці. Не дивлячись на покращення умов праці, щорічно
реєструються нові випадки пилових захворювань легень, таких як пневмоконіози
(ПК) та хронічний пиловий бронхіт (ХПБ) [1, 2]. Близько 84% профзахворювань,
серед яких домінує пневмоконіоз, реєструється у працівників вугледобувної
промисловості [3]. Захворюваність шахтарів на пневмоконіоз залишається високою
в усіх країнах світу, де є вугледобувна промисловість, і спричиняє значні економічні
збитки [4, 5]. Привертає увагу зв'язок пневмоконіозу і ревматоїдного артриту
(РА). Першими звернули увагу на подібне поєднання Colinet (1950) і Caplan (1953). Останнім часом
більшість дослідників визнає клінічні варіанти силікозу. Ці варіанти одержали
назву синдром Коліне-Каплана, силікоартриту або ревматоїдного пневмоконіозу,
при якому аутоімунний процес відіграє провідну роль в прогресуванні
захворювання. Якщо говорити про синдром Коліне-Каплана, то йдеться про
первинність силікотичного ураження легенів. Дія пилу сприяє розвитку РА, що
перебігає з вторинним ураженням легенів, з утворенням ревматоїдних вузликів [6].
Матеріал і методи. В експерименті використані дві
групи щурів – самців лінії «Вістар» з масою тіла 200-250 гр.: 1 група – здорові
тварини (25 щурів), 2 група – тварини з моделюванням синдрому Коліне-Каплана по
повній схемі (вводили повний ад'ювант Фрейнда 0,5мл, що містить 0,5 мг вакцини
БЦЖ, який викликає розвиток вторинної імунної відповіді. На 7-му добу тварині,
яка фіксується на спині, під поверхневим ефірним наркозом в голосову щілину
через вушну воронку за допомогою затупленої голки довжиною 10 см вводили 1 мл
суспензії вугільно-порідного пилу з розрахунку 50 мг пилу на одного щура.
Відразу після введення щуру надавали вертикальне положення. Вся операція
введення в трахею пилової суспензії продовжувалася 2-4 хв. На 15 і 34 добу в
корінь хвоста щуру вводили повний ад'ювант Фрейнда 0,5мл. На 29 і 40 добу
вводили цитостатик – азатіоприн в дозі 50мг/кг, який викликає в такій дозі загибель
лімфоцитів під час їх максимального поділу, перш за все
Т-лимфоцитів-супресорів. Доза азатіоприна, яку використовують, значно менша за
ту, яка здатна викликати тотальну загибель клітин кісткового мозку, а з 16 по
29 добу та з 43 по 49 добу вводили з молоком метилурацил в дозі 0,2 г/кг, який
стимулює і підсилює імунну відповідь. Дослідження проводилось 49діб).
Для обробки
результатів дослідження проводили розрахунки за допомогою параметричних та
непараметричних методів статистики. Також використовували кореляційний та
регресійний методи аналізу з оцінкою середнього значення (
), їх помилки (S
), Хі-квадрат (χ2), достовірності статистичних показників
(р) на коп’ютері SAMSUNG (R 20) за допомогою
ліцензійних пакетів «Statistica 5,5» (Start Soft Rus) і «Stadia 6.1» («Информатика и компьютеры», Москва) [7-13].
Результати досліджень. У препаратах тварин контрольної
групи під час забарвлення гематоксиліном та еозином добре видно, що у легенях
збережена структура альвеол, різко виражений спазм у бронхах і зустрічаються
дрібні вогнища гострої емфіземи. Є вогнищеві потовщення міжальвеолярних
перегородок із вираженою лімфогістіоцитарною інфільтрацією (хронічне межуточне
запалення, часто серед інфільтратів макрофаги з коричневим пігментом в просвіті
одиничних альвеол, поліморфноядерні лейкоцити в стані апоптозу (рис. 1). Під
час забарвлення за ван Гизоном: колаген зустрічається в стінках крупних судин
бронха і тонкі волокна в міжальвеолярних перегородках.

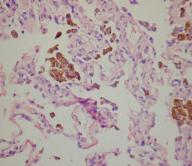
Рис.1. Гематоксилін-еозин:
гістологічна будова легень у контрольної тварини (щура). Легені з одиничними і
дрібними вогнищами гострої емфіземи. Структура альвеол збережена. Збільшення
х200.
У модельних
тварин з моделлю синдрома Коліне-Каплана мали місце значні гістологічні зміни
легень. Виражене запилення з накопиченням пилу в просвіті альвеол,
міжальвеолярних перегородках (рис.2).

Рис. 2. Пил в макрофагах та
альвеолах у щурів із моделлю синдрому Коліне-Каплана. Забарвлення
гематоксилін-еозином, збільшення х400.
У гістологічних
препаратах модельних тварин відмічається хронічний бронхіт з наявністю
лімфоїдного фолікула, з великим числом келихоподібних клітин, нерівномірні
звуження і розширення в просвітах бронхів. Структура
легень різко порушена за рахунок крупних вогнищ емфіземи з різким потоншенням
та розривом міжальвеолярних перегородок. У інших ділянках міжальвеолярних
перегородок
– потовщення, часто з відкладеннями пилу і лімфогистіоцитарною інфільтрацією поряд
із пилом або без нього. У просвіті альвеол зустрічаються альвеолярні макрофаги
з пилом. Одиничні альвеоли повністю покриті макрофагами з великою кількістю
пилу або макрофаги заповнюють весь просвіт (рис.3)

Рис. 3. Потовщення
міжальвеолярних перегородок у щурів із моделлю синдрому Коліне-Каплана.
Примітка: потовщення
міжальвеолярних перегородок з вираженою клітинною інфільтрацією
(лімфогістіоцити та еозинофіли), коричневі включення в альвеолах. Забарвлення
гематоксилін-еозином, збільшення х400.
Під час
забарвлення за ван Гизоном: визначається перібронхіальний склероз, включаючи
бронхи середнього калібру, а також периваскулярний склероз, виражений склероз
міжальвеолярних перегородок в місці клітинних інфільтратів (рис. 4).

Рис. 4. Фіброз
легень у щурів
із моделлю синдрому Коліне-Каплана.
Примітка: перібронхіальний, періваскулярний та інтерстиціальний фіброз
легень. Забарвлення
за ван Гизоном, збільшення х200.
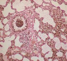
Виражений
склероз навколо бронхів, на місці альвеол, бронхіол (рис. 5).

Рис. 5. Склероз легень у щурів із
моделлю синдрому Коліне-Каплана.
Примітка: склероз навколо
бронхів, на місці альвеол, бронхіол. Забарвлення за
ван Гизоном, збільшення х 200.
За
результатами гістологічного дослідження легень тварин з моделлю синдрому
Коліне-Каплана і контрольних тварин встановлено, що емфізема зустрічалася у всіх
дослідних тварин 100% на відміну від контролю (8,00±5,42)% (χ²=42,53, р<0,001), клітинна інфільтрація в
міжальвеолярних перегородках траплялась значно частіше у модельних тварин
(80,0±8,0)% на відміну від контролю (4,00±3,91)% (χ²=29,64, р<0,001), склероз в міжальвеолярних
перегородках не зустрічався у здорових тварин 0% на відміну від дослідних
(88,00±6,49)% (χ²=39,29,
р<0,001), коричневий пігмент (пил) в макрофагах зустрічався тільки у хворих
тварин (96,00±3,91)% на відміну від контролю 0% (χ²=46,15, р<0,001), коричневі включення (пил) у просвіті альвеол не
знайдені у здорових тварин 0% на відміну від модельних тварин (96,00±3,91)% (χ²=46,15, р<0,001), злущений альвеолярний епітелій
в просвіті не зустрічався у контрольних тварин 0% на відміну від дослідних
тварин (68,00±9,32)% (χ²=25,76,
р<0,001), ателектаз легень траплявся частіше у модельних тварин (80,0±8,0)%
на відміну від здорових щурів (4,00±3,91)% (χ²=29,64,
р<0,001), еритроцити в просвіті зустрічались тільки у хворих тварин
(44,00±9,92)% на відміну від контрольних тварин 0% (χ²=14,10, р=0,0002), тканинні базофіли в
міжальвеолярних перегородках зустрічались у дослідних тварин значно частіше
(76,00±8,54)%, ніж у здорових тварин (8,00±5,42)% (χ²=23,73, р<0,001).
За
результатами гістологічного дослідження бронхів тварин з моделлю синдрому
Коліне-Каплана і контрольних тварин встановлено, що хронічний бронхіт
зустрічався у модельних тварин значно частіше (92,00±5,42)%, ніж у здорових
(8,00±5,42)% (χ²=35,28, р<0,001),
перібронхіальний склероз траплявся у дослідних тварин частіше (88,00±6,49)%,
ніж в контролі (4,00±3,91)% (χ²=35,51,
р<0,001), лімфоїдні фолікули в бронхах у хворих тварин складали
(68,00±9,32)% на відміну від здорових тварин (4,00±3,91)% (χ²=22,22, р<0,001), склероз стінок бронхів
зустрічався тільки у модельних тварин (60,00±9,79)% на відміну від контролю 0%
(χ²=21,43, р<0,001), спазм бронхів траплявся у хворих тварин
значно частіше (80±8,0)%,
ніж у контрольних тварин (8,00±5,42)% (χ²=26,30, р<0,001), тканинні базофіли у бронхах зустрічались
тільки у хворих тварин (40,00±9,89)% на відміну від
контролю 0% (χ²=12,50, р=0,0004),
перібронхіальна інфільтрація зустрічалась тільки у хворих тварин (60,00±9,79)%
на відміну від контролю 0% (χ²=21,43, р<0,001).
Висноски.
1.
Створена модель синдрому Коліне-Каплана на щурах, в якій спостерігаються
морфологічні зміни, характерні для синдрому Коліне-Каплана у хворих на
пневмоконіоз.
2.
Нова модель синдрому Коліне-Каплана на щурах дозволяє дослідникам швидко
відтворити патологічний процес в організмі дослідних тварин та може
використовуватись для апробації лікарських засобів для терапії аутоімунного
процесу і пневмоконіозу.
Література:
1. Goldyn S. R. The burden of exposure-related diffuse lung disease / S. R. Goldyn, R. Condos, W. N. Rom // Semin. Respir. Crit. Care Med.
– 2008. – Vol. 29, № 6. – P. 591-602.
2. Beder A. The
evaluation of the pneumoconiosis cases, whose liability times being expired,
applied to the Social Security High Health Committee between the years
1998-2001 / A. Beder // Tuberk. Toraks. – 2008. – Vol. 56, № 4. – P. 422-428.
3.
Басанець А. В. Діагностика пневмоконіозу / А. В. Басанець // Укр.
пульмонол. журн. – 2004. – № 3. – С. 69-71.
4.
Mukherjee A. K. Assessment of respirable dust and its free silica
contents in different Indian coalmines / A. K. Mukherjee, S. K. Bhattacharya,
H. N. Saiyed // Ind. Health. – 2005. – Vol. 43, № 2. – P. 277-284.
5. Sherson D.
Silicosis in the twenty first century / D. Sherson // Occup. Environ. Med. –
2002. – Vol. 59, № 11. – P. 721-722.
6.
Silica-related rheumatoid arthritis without lung involvement / D.
Markovits, D. Schapira, A. Wiener, A. M. Nahis // Clin. Rheumatol. – 2003. –Vol. 22, № 1. – P. 53-55.
7.
Боровиков В. П. STATISTICA / В. П. Боровиков,
И. П. Боровиков. – М.: б. и., 1998. – 583 с.
8.
Куланчев А. П. Методы и средства анализа данных в среде Windows STADIA /
А. П. Куланчев. – М.: Информатика и компьютеры, 1999. – 342 с.
9.
Однофакторный
дисперсионный анализ в пакете STADIA.6.0 / Ю.
Е. Лях, Ю. Г. Выхованец, Е. И. Чуприна [и др.]; под ред. В. Н. Казакова. –
Донецк: изд-во мед. ун-та, 2000. – 240 с.
10. Лапач С. Н. Статистические методы в
медико-биологических исследованиях с использованием EXEL / С. Н. Лапач, А. В. Губенко, П. Н. Бабич. – К.:
Морион, 2000. – 320 с.
11. Сергиенко В. И. Математическая статистика в
клинических исследованиях / В. И. Сергиенко, И. Б. Бондарева. – М.:
ГЭОТАР-Медиа, 2006. – 303 с.
12. Основы компьютерной биостатистики: анализ информации в
биологии, медицине и фармации статистическим пакетом MedStat / Ю. Е. Лях, В. Г. Гурьянов, В. Н. Хоменко, О. А. Панченко.
– Донецк: Папакица Е. К., 2006. – 214 с.
13. Гланц С. Медико-биологическая статистика / С. Гланц ;
пер. с англ. – М.: Практика, 1998. – 459 с.