Ветеринария/1. Ветмедицина

ПАТОМОРФОЛОГИЧЕСКАЯ ДИАГНОСТИКА ОПУХОЛЕЙ СОБАК В КЛИНИКАХ САМАРСКОЙ ОБЛАСТИ

Д.в.н. Салимов В.А., к.с.-х.н. Салимова О.С.

Самарская государственная сельскохозяйственная академия, Россия

Актуальность темы. Опухоли (онкос, бластомы, новообразования) представляют собой атипические разрастания тканей организма, отличающиеся от компенсаторно-приспособительных процессов автономностью роста и отсутствием созревания. Проблема носит общесоциальный характер [1-4].

В ветеринарной практике для диагностики опухолей определяют её ферментативный профиль, активность ферментов, применяют электрофоретическое исследование спектра эстераз с помощью субстратно-ингибиторного анализа здоровой и бласттрансформированной ткани [5].

Однако определить характер атипического разрастания без изучения гистоморфологической структуры бластом и назначить соответствующий курс лечебно-профилактических мероприятий весьма затруднительно. Поэтому оперативные вмешательства ветеринарных специалистов часто осложняются рецидивами и неблагоприятными исходами, что послужило основанием для проведения настоящих исследований.

Цель и задачи исследований. Использование гистопатоморфологичес-ких методов исследования для диагностики опухолей плотоядных в ведущих клиниках Самарской области и прогнозирование исхода процесса.

Материал и методы исследования. Материал набирался в клиниках Самарской области. За три года прооперировано 263 собаки разных пород и возраста. У ветеринарных специалистов, использующих клинические методы исследования, диагноз во всех случаях не вызывал сомнений. Материал для приготовления гистологических препаратов, проведения патологоморфологических исследований, монтажа влажных музейных препаратов отбирали при неблагоприятных исходах оперативного вмешательства и возникновении рецидивов. Гистоморфологическому исследованию подвергнут материал от 34 пациентов. После парафиновой проводки готовили гистологические срезы, которые для обзорного изучения, окрашивали гематоксилином и эозином, на соединительную ткань – по Ван Гизону, на жир – Суданом -3. Техника проводки материала и его изучения изложена в практикуме [6]. 

Полученные данные. Опухоли у  собак в виде компактных узлов или без резко выраженных границ локализовались на различных участках кожи и  органов (рис.1-4).

Рис. 1,2. Липомы  в области головы и конечностей

Рис. 3. Ангиосаркома

Рис. 4. Фибросаркома

Когда опухоль имела форму хорошо отделённого от окружающей ткани узла, на разрезе однородную структуру, напоминающую жировую ткань предварительно ставился диагноз жировик (липома) – доброкачественная опухоль, построенная по типу жировой ткани. На основании изучения гистологических препаратов диагноз подтверждался и одновременно исключались элементы метастазирования злокачественных новообразований. Атипизм липом характеризовался неравномерным расположением жировых ячеек, формой ячеек и степенью заполнения жироподобным веществом, соотношением стромы с паренхимой (рис. 5,6).

P1010489

P1000510

Рис. 5. Липома. Поверхность разреза гладкая, однородная

Рис. 6. Неравномерное расположение жировых ячеек около кровеносного сосуда. Ван Гизон. Ок. 10, Об. 20

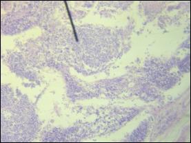
Поверхность злокачественных опухолей часто подвергалась некрозу с формированием язв и выделением клейкой жидкости красноватого цвета. На разрезе опухоли напоминали вид рыбьего мяса, просматривались участки кровоизлияний и обширных некрозов, патогистологический диагноз – круглоклеточная саркома, злокачественная опухоль соединительнотканного происхождения. При изучении гистологических препаратов, окрашенных гематоксилином и эозином просматривались различного размера фокусы клеток округлой формы, напоминающие в норме полибласты. Нежные волокна соединительной ткани располагались хаотично и имели ярко-красный цвет при окрашивании методом Ван Гизона (рис. 7-12).

Рис. 7. Внешний вид саркомы с участками некроза

Рис. 8. Поверхность разреза напоминает цвет рыбьего мяса

Рис. 9. Обширное кровоизлияние в глубине опухоли

P1010486 Рис. 10. Нарост мелкоклеточной саркомы

Фибросаркома

Рис.11. Фибросаркома молочной железы с участками некроза

P1000475

Рис.12. Мелкоклеточная саркома. Гематоксилин и эозин. Ок. 7, об. 8

 

 

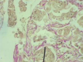
При локализации разрастаний в области молочных желёз обнаруживались участки уплотнения тканей с гладкой ровной поверхностью. Иногда молочные железы имели бугристую ячеистую поверхность, которая в отдельных местах тоже подвергалась некротическому распаду. Внешне опухоли подобного строения можно спутать со злокачественным разрастанием. Однако архитектоника гистологического строения позволила диагностировать аденому, доброкачественную опухоль, построенную по типу железистой ткани, в которой просматривались желёзки, разделённые стромой. В строме располагались кровеносные сосуды с сформированием тромба (рис. 13, 14).

 

Аденома

Рис.13. Внешний вид аденомы с участками некроза

P1000442Рис.14. Аденома. Тромбоз сосуда (1), очаги паренхимы, (2), железы с секретом (3). Гематоксилин и эозин. Ок. 7, об. 8

Аденокарценома

Рис.15. Аденокарцинома с участками некроза

 

DSC01841

Рис.16. Раковые ячейки, заполненные секретом, клетками в состоянии митоза. Гематоксилин и эозин.

Ок.10, об.40

 

 

Рис. 17. Участок инвазии клеток опухоли в слизистую оболочку. Ван Гизон. Ок. 10, об. 40, насадка х 2,5

P1000497 

Рис.18. Аденокарцинома. Хаотично расположенные волокна стромы.

 Ван Гизон. Ок.7,об.40

 

 

При гистологическом исследовании аналогичных разрастаний в молочных железах нередко диагностировались аденокарциномы – злокачественные опухоли, построенные по типу железистой ткани. Хотя определить характер разрастаний лишь по внешним признакам не всегда удавалось.  Под микроскопом заметно, что такого рода опухоли состояли из различного размера раковых ячеек, заполненных слизеподобной массой, десквамированными (слущенными) клетками паренхимы, среди которых многие клетки содержали пикнотичные ядра или ядра в состоянии различной фазы митоза. Можно было заметить участки инвазии (внедрения) крупных клеток карциномы в железистый эпителий. Строма состояла из нежных, хаотично расположенных волокон соединительной ткани (рис. 15-18).

 

Выводы.

1.            В отдельных клиниках Самарской области новообразования у плотоядных достигают – 50% с преимущественным поражением молочных желез. Из них 55% составляют доброкачественные опухоли и 45 – злокачественные. Доброкачественные опухоли представлены липомами (15%), фибромами (фибромиомами – 25%) и аденомами (55%). Среди злокачественных выявлены аденокарциномы и фибросаркомы.

2.            Клинические симптомы и синдромы не всегда позволяют точно определить природу атипического разрастания, поэтому доля рака молочных желез достигает 45-50% с неблагоприятным прогнозом   до 25% случаев.

3.            При изучении гистологических препаратов обязательно необходимо применять специальные метода выявления соединительной ткани.

 

Литература:

1. Аксель, Е.М. Статистика заболеваемости и смертности от злокачественных новообразований в 2000 году / Е.М. Аксель, М.И. Давыдов // Злокачественные новообразования в России и странах СНГ в 2000 г. –              М.: РОНЦ им. Н.Н.Блохина РАМН, 2002. – С. 85-106.

2. Калишьян, М.С. Сравнительный анализ спонтанных злокачественных

опухолей молочной железы у собак и человека (подходы к неоадьювантной терапии) / М.С. Калишьян, М.Н. Якунина, Е.М. Трещалина // Российский ветеринарный журнал (мелкие домашние животные). – 2009. – Ч. 1. №3. – С. 42-43.

3. Семиглазов, В.Ф. Новый взгляд на неоадьювантную химиотерапию рака молочной железы / В.Ф. Семиглазов, А.С. Арзуманов, А.А. Божок // Современная онкология. 2003. – С.102-107.

4. Уайт Ричард. Онкологические заболевания мелких домашних животных: пер. с англ. Е.Б. Махиянова. – М.: ООО «Аквариум ЛТД», 2003. – 352с.

5. Шемарова, И.В. Субстратно-ингибиторный анализ в диагностике опухолей молочной железы у собак / И.В. Шемарова, А.Н. Орехов,                         Н.Г. Шемаров // Ветеринария. – 2002. – №6. – С. 52-56.

6. Салимов, В.А. Практикум по патологической анатомии животных: Учебное пособие. 2-е изд., перераб. – СПб.: Издательство «Лань», 2013. –       258 с.: ил. (Учебники для вузов. Специальная литература).

 

Studied material from 34 dogs of various ages and breeds admitted to veterinary clinics Samara region. After the occurrence of relapses and adverse outcomes from all animals selected material for pathological studies. Prepared histological specimens stained with hematoxylin and eosin, by Van Gieson, Sudan - 3.

Pathomorphological methods revealed benign tumors (45%), malignant (35%), teratoma (20%). Among benign detected lipoma, osteoma, chondroma (10%), fibroids (fibroids - 30%), HPV (15%), adenomas (45%) of cancer - adenocarcinoma (55%) and sarcomas (45%).