к.м.н. Скрипкин Д. А., Метелева Л. В.
Бюджетное учреждение Омской области «Клинический Диагностический центр»
МЕТОДИКА ПРОВЕДЕНИЯ ВИРТУАЛЬНОЙ КОЛОНОСКОПИИ РЕНТГЕНЛАБОРАНТОМ И АНАЛИЗ ОПЫТА ПРИМЕНЕНИЯ
В последние годы отмечается широкое
внедрение мультиспиральной компьютерной томографии (МСКТ) для исследования
различных органов и систем [1]. Одной из новых МСКТ-методик исследования
толстой кишки является виртуальная колоноскопия (ВКС), позволяющая получать
трехмерные изображения толстой кишки с возможностью осмотра поверхности
слизистой кишки в различных вариантах. В настоящее время ВКС достаточно широко
используется в диагностике и скрининге патологии толстой кишки [2].
Виртуальная колоноскопия (ВКС) – метод
обследования толстой кишки, который осуществляется с помощью мультиспирального
компьютерного томографа и соответствующего программного обеспечения,
позволяющего выполнить различные плоскостные и объемные изображения просвета
кишки.
Наибольшее значение данная методика имеет
в диагностике новообразований толстой кишки, аномалий развития, дивертикулов
и воспалительных поражений толстой
кишки. Приоритетным направлением
является выявление неопластических изменений толстой кишки, в связи с высокими показателями заболеваемости раком
толстой кишки, как в России (3-4 месте в структуре онкологических заболеваний),
так и в мире (2-3 место в структуре смертности от онкологических заболеваний) [3].
Возникновение колоректального рака возможно предупредить путем своевременного
выявления и удаления полипов. Выбор методов
обследования для программы скрининга полипов и колоректального рака
предполагает не только убедительные показатели достоверности результатов, но и
доверие к методу у пациентов, их расположение к подготовке и проведению
исследования [4].
С целью получения качественного
исследования при ВКС необходимо
проводить предварительное очищение кишки. При хорошей подготовке кишечника
чувствительность ВКС в выявлении полипов всех размеров увеличивается. Полипы и
раковые опухоли могут скрываться под резидуальным содержимым (Рисунок 1).

Рисунок 1.
Эндоскопическое окно при виртуальной колоноскопии. Некачественная подготовка.
Пристеночное резидуальное содержимое симулирует полиповидные образования.
Подготовка начинается накануне перед
исследованием. Обед в день перед
исследованием не позже 13-00 часов, вечером накануне и утром в день
исследования рекомендуется исключить прием пищи, возможен прием жидкости.
Для очищения кишки перед
виртуальной колоноскопией используется
один из 2-х методов: клизмление или сочетание клизмления и слабительных
препаратов. Метод клизмления заключается в приеме касторового масла накануне
после обеда и в последующей
постановке очистительных клизм в
20 часов водой комнатной температуры в объеме из расчета 100 мл раствора на 1
год жизни детям до 15 лет, детям старше 15 лет и взрослым в объеме 1,5-2 литра.
Утром не позднее, чем за 3 часа до исследования, выполняется еще 2-3
клизмы.
При сочетании
слабительных препаратов и клизмления используются различные слабительные (на
основе полиэтиленгликоля либо лактулозы) в дозировке соответствующей массе тела.
Утром в день исследования, не позже чем
за 3 часа до процедуры, производилась постановка 2-3 клизм. Постановка
клизм осуществлялась в связи с тем,
что, несмотря на прием слабительных средств, в просвете толстой кишки довольно
часто оставалось жидкостное резидуальное содержимое, преимущественно в правых
отделах толстой кишки, которое не резорбировалось слизистой. При проведении
клизмления остатки слабительных препаратов механически выводятся из организма,
после чего остающаяся в просвете вода беспрепятственно резорбируется слизистой
(Рисунок 2).

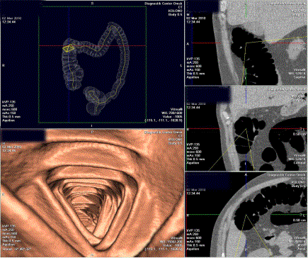
Рисунок 2.
Виртуальная колоноскопия. Качественная подготовка толстой кишки.
Все исследования ВКС были проведены без
использования седативных средств.
Во время подготовки
пациент продолжал прием лекарств, которые принимает обычно. Для пациентов с
сахарным диабетом необходима корректировка дозы сахароснижающих препаратов
лечащим врачом на период подготовки и в день исследования.
Внутривенное введение
рентгеноконтрастных препаратов не проводилось.
Важное значение имеет
психо-эмоциональная подготовка пациента, рентгенлаборант должен подробно и
доступно объяснить методику проведения исследования, чтобы уменьшить тревогу и
страх.
Исследование
начинается с введения определенного количества воздуха, углекислого газа или смеси газов в толстую
кишку [5,6].
Традиционно для растяжения кишки
используется атмосферный воздух [6].
Пациент размещается на столе аппарата, в прямую кишку вводится
наконечник, смазанный вазелином (можно использовать гель, содержащий лидокаин
для уменьшения болевых ощущений), через который нагнетается воздух, углекислый
газ или смесь газов. Установка наконечника может осуществляться
рентгенолаборантом в положении пациента на правом боку с согнутыми в коленях
ногами. Для нагнетания газа в толстую кишку используются различные устройства.
Самое простое – это груша, соединенная с наконечником. Нами используется
запатентованное устройство для раздувания толстой кишки, которое позволяет контролировать
давление и объем вводимого газа [7].
Инсуффляция газа начинается в положении пациента на правом боку, что
позволяет раздуть нисходящий и сигмовидный отделы, затем пациент поворачивается
на спину.
Обычно вводится 1,5 л воздуха под давлением, не превышающем 30 мм.
ртутного столба. При возникновении болевых ощущений в брюшной полости,
чувства дискомфорта введение воздуха
прекращается. Далее от пациента
требуется лежать на спине неподвижно. Проводится предварительное
сканирование (КТ-сканограмма), по данным которого определяется степень
растяжения кишки и производится разметка области сканирования. При
необходимости пациенту вводится дополнительный объем газа. Сканирование брюшной
полости осуществляется от куполов диафрагмы до вершин седалищных бугров.
После сканирования на
спине пациенты переворачиваются на живот. Как отмечает большинство пациентов, неприятные ощущения от введенного газа
достаточно быстро проходят. Время
сканирования при виртуальной колоноскопии составляет 10-30 секунд в зависимости
от роста пациента и количества рядов детекторов компьютерного томографа. Общее время исследования составляет 5-10
минут.
Как отмечает большинство пациентов, неприятные ощущения от введенного газа
достаточно быстро проходят. Дискомфорт в области живота исчезает в течение
10-30 минут после окончания процедуры.
Виртуальная колоноскопия может проводиться
как скрининговое исследование, а также как диагностическая методика,
соответственно, показания и противопоказания в каждом из этих вариантов будут
различные.
Показания для проведения ВКС в качестве скринингового метода
(первичного выявлений новообразований толстой кишки) следующие [5]:
·
возраст старше 50 лет,
·
положительный результат
теста на онкомаркеры,
·
наличие скрытой крови в
анализах кала,
·
анемия неясного генеза,
·
незавершенная (в полном объеме) эндоскопическая колоноскопия,
·
пациенты группы высокого риска (с отягощенной наследственностью).
Диагностическая
ВКС показана следующим группам пациентов [5]:
·
с повторяющимися желудочно-кишечным кровотечениями,
·
с изменением функций кишечника,
·
с болями внизу живота,
·
с подозрением на аномалию развития толстой кишки,
·
с подозрением на воспалительные заболевания кишечника,
·
с железо-дефицитной анемией,
·
для осмотра престенотических участков, недоступных для оптической
колоноскопии,
·
для динамического наблюдения полипов.
Противопоказаниями
для проведения ВКС являются [5]:
·
острый живот,
·
ранний послеоперационный период,
·
токсический мегаколон,
·
ущемленная грыжа толстой кишки,
·
беременность и лактация,
·
абсолютная клаустрофобия.
В Клиническом
Диагностическом Центре Омской области в течение последних лет виртуальная
колоноскопия широко применяется в диагностике патологии толстой кишки. В период с 1 декабря 2007 по 1 декабря 2011
года было выполнено 657 исследований.
Осуществляемая методика проведения виртуальной колоноскопии средним медицинским персоналом позволяет
получать качественное исследование с
минимальными болевыми ощущениями. Все исследования прошли без
осложнений.
У 25 пациентов из исследуемой группы были
выявлены признаки колоректального рака (Рисунок 3).
Рисунок 3. Виртуальная
колоноскопия. Экзофитный рак купола слепой кишки.
Кроме оценки характера роста опухоли и протяженности процесса
исследование позволило у 8 пациентов обнаружить увеличенные брыжеечные
лимфоузлы, у 3-х пациентов выявить
метастазы в печень. У 6 пациентов после проведения виртуальной колоноскопии
были выявлены злокачественные новообразования других локализаций, в том числе
поджелудочной железы, почки и простаты. У 55 пациентов выявлены полиповидные
образования толстой кишки (Рисунок 4).

Рисунок 4. Виртуальная
колоноскопия. Полиповидное образование восходящей кишки.
Помимо
новообразований, виртуальная колоноскопия позволяет диагностировать
воспалительные заболевания, дивертикулы и аномалии развития толстой кишки. У 173 пациентов при виртуальной
колоноскопии были выявлены
воспалительные изменения, в том числе у 6 человек проявления болезни Крона.
Аномалии развития толстой кишки диагностированы у 202 пациентов, в том числе
долихосигма, долихоколон различной степени выраженности, трансверзоптоз. Единичные
и множественные дивертикулы были выявлены у 65 человек. Виртуальная
колоноскопия позволяет выявить признаки дивертикулита, при этом исследование
менее болезненное по сравнению с фиброколоноскопией.
Заключение
От качества
выполнения методики виртуальной колоноскопии средним медицинским персоналом
зависит информативность метода, переносимость процедуры пациентами и как
следствие лояльность к исследованию контингента лиц подлежащих скринингу колоректального
рака. При правильном выполнении рентгенлаборантом всех этапов методики виртуальная
колоноскопия является высокоинформативной и малоинвазивной методикой
исследования толстой кишки, которая позволяет проводить скрининговые и
диагностические исследования толстой кишки.
Список
литературы:
1.
Матиас
Прокоп, Михаэль Галански Спиральная и
многослойная компьютерная томография : Учебн. Пособие : В 2 т./ ; Пер. с англ.; Под ред. А.В. Зубарева,
Ш.Ш.Шотемора. – М.: МЕДпресс-информ, 2006-2007-07-20
2.
Levin B., Lieberman D.A., McFarland B., et al. Screening
and surveillance for the early detection of colorectal cancer and adenomatous
polyps, 2008: a joint guideline from the American Cancer
Society, the US Multi-Society Task Force on Colorectal Cancer, and the American
College of Radiology. Gastroenterology 2008; 134:1570-95.
3.
Jemal A., Siegel R., Ward E., et al. // Cancer
statistics, 2008. CA Cancer J Clin 2008;58:71-96.
4.
Robert H. Fletcher // Colorectal Cancer Screening on Stronger
Footing / NEJM 359;12, 2008; p. 1285-1288
2006, X, 200 p.
6. Yee J.
Virtual colonoscopy//Ed. by Galdino G., 2008; 219 p.
7.
Устройство для
раздувания толстой кишки: п. м. 71072
Российская Федерация: МПК А61М 1/00 /
Е.Ю. Хомутова, Ю.Т. Игнатьев,
Д.А.Скрипкин, Ю.Г. Филиппова; заявитель и патентообладатель ГОУ ВПО
«Омская Государственная Медицинская Академия Федерального агентства по
здравоохранению и социальному развитию». – №2007118097/22; заяв. 14.05.2007 ;
опубл. 27.02.08, Бюл. № 6.