Biological sciences
/11.Bioengineering and bioinformatics
Dr.Sc.(Technology) Semenets V.V.
, Cand.Sc.(Technology) Natalukha Yu.V
,
Cond.Sc. (Medicine) Taranukha Î.À.
,
Cand.Sc. (Technology) Tokarev V.V.![]()
Kharkov National University of Radio
Electronics (KNURE),
Kharkov, Ukraine
Kharkov National
Medical University (KNMU),
Kharkov, Ukraine
Kharkov National University of Radio Electronics (KNURE),
Kharkov, Ukraine, tvv.v@mail.ru
Computer
system for retina non-invasive diagnostics of human visual analyzer
Particularity
of the retina diseases of the human visual analyzer consists in that they often
cause persistent loss of ability to work. Substantial growth in disability due
to loss of vision is observed among people of the working age, the reasons for
this are as follows: ischemic optic neuropathies, glaucoma and visual analyzer
traumas. The result is the need to develop the computer system (CS) of
noninvasive methods for the predictive diagnostic of the human visual analyzer
retina aimed at diseases detection in the early stages. The developed computer system (CS) for the retina noninvasive
diagnostics of the human visual analyzer can read and process automatically the
video information, store the received video data, diagnose retinal diseases of
the human visual analyzer and exclude the influence of human factors on the
survey results. Processing of video information, needed to diagnose retinal
diseases of the human visual analyzer, is
carried out in the proposed computer system on the basis of fast precision
algorithms and hardware and software for measurement of the retina image
informative parameters. Initially the image pre-processing is carried out,
namely, digital filtering, noise reduction, elimination of glare from an active
illumination of an eye and other interferences. In many occasions the
distortions can approximately be considered to be the consequence of the
original signal linear transform. This occurs, for example, as a result of the
atmosphere turbulence, movement or aberrations of the optical system. Another feature of the observed image
is the presence of additive interferences (noise) in it. Noises occur in the
paths of generation, transmission and reception of signals. Recently, linear
methods of images restoration (IR), used in the spatial and frequency domains,
have found an extensive application. Thus,
both deterministic and statistical approaches are used for describing
two-dimensional signals (fields). Let
and
be the intensity
distribution in the image plane and the original plane, respectively,
- the point
scattering function (PSF) on the assumption that the display is the linear one. The general equation to describe
has the following form [3]:
,
(1)
where
- is the
additive random noise.
For the spatial-invariant function of the scattering
point
=
and the integral in the right-hand side of
equation (1) leads to the two-dimensional convolution, i.e. [3]:
, (2)
Taking the form of the distortions described by
expressions (1) or (2), the restoration problem
can be
formulated as follows: with the known
, find a good estimate of (
denoted as
having a priori information concerning the values of
. The applied methods for restoration of images based on
the finite de-convolution windows use different number of known a priori
information and various quality criteria of assessment of
. The developed computer
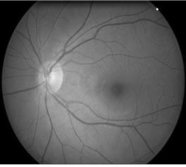
system for retina non-invasive diagnostics of the visual analyzer makes it possible to carry out image capture, analysis
and measurement of the retina in real time (fig. 1). The specialized software
can realize the automatic mode of operation of computer theme, adaptation for
the conditions of control and observation, processing of video information and
measurement of integral informative parameters of images.

Figure 1 – Image of retina visual analyzer
physiological norm
Methods
of redundant information reduction and increase in the computer systems speed
of operation in the information readout processes themselves can be used in
multi-element transducers with a random signals’ sampling. Fig. 2 demonstrates
the block diagram of the computer system for retina non-invasive diagnostics of
human visual analyzer.

Figure 2 – Block diagram of computer system for retina
non-invasive diagnostics of human visual analyzer
The
developed CS makes it possible to increase the precision of measurement and
control of the retina visual analyzer informative parameters and thus to
increase the reliability of diagnostics of congenital or acquired pathologies, in its turn this will allow to increase
the efficiency of the disease treatment or prevent them in the initial stage of
development.
Literature:
1. Computer
method of investigation into violation of color sense. Shamshinova À.Ì., Petrov À.S., Dvoryanchikova À.P., Arefyeva Yu.À., Eskina E.N., Kiselyeva Ò.N., Zol’nikova I.V. //
Bulletin of Ophtalmology - 2000. – V. 116. - ¹5. - P. 49-51. (In Rus.)
2. Functional
methods of investigation in ophthalmology / Shamshinova À.Ì., Volkov V.V. - Ì.: Medicine, 1999. - 416 p. (In Rus.)
3. Tokarev V.V. Image restoration based on
finite de-convolution windows [Text] / V.À. Afanas’iev, Ì.À. Il’in, Yu.V. Natalukha, V.V. Tokarev // Bionics of Intelligence.- 2012. - ¹2 (79). – P.80-83. (In Rus.)
4. Tokarev V.V. On one method of
non-invasive diagnostics of macular area of retina human visual analyzer [Text]
/ V.V. Semenets, Yu.V. Natalukha, Î.À. Taranukha, V.V. Tokarev // APLIKOVANÉ VĚDECKÉ
NOVINKY - 2014: ìateriály X - mezinárodní vědecko -
praktická konference 27 červenců - 05 srpna 2014 roku.- Praha, 2014. - P.67
- 69.
5. Tokarev V.V. Visual analyzer model in
computer system for diagnostics. [Text] / V.V. Semenets, Yu.V. Natalukha, Î.À. Taranukha, V.V. Tokarev // Information systems and technologies: Proc.
of IIIrd International Scientific Conf., September,
15-21, 2014 ã. – Kharkov, 2014. – P.81-82.
(In Rus.)