Новый подход
к лечению заболеваний пародонта у профессиональных спортсменов
Сафаралиев
Ф.Р., Бабаев Е.Е., Ибрагимова Л.К.
Азербайджанский Медицинский Университет
Кафедры ортопедической и терапевтической стоматологии
Интенсивные физические и
психоэмоциональные нагрузки у профессиональных спортсменов очень часто
сопровождаются существенными организменными нарушениями, снижением состояния
иммунологической реактивности органов и систем организма, негативными
изменениями качественного и количественного состава нормальной и патогенной
микрофлоры, что и обусловливает выраженность и хронизацию различных
патологических процессов местного и системного уровней. По данным ряда научных
исследований в области спортивной медицины в последние годы наблюдается рост
частоты встречаемости хронических воспалительных заболеваний у спортсменов всех
уровней, причем это происходит гораздо чаще, чем у людей, не занимающихся
спортом (2,3,5,12,15). Не санированные очаги хронической инфекции, чреватые
серьезными осложнениями и нередко способствующие более быстрому развитию
синдрома перетренированности -
переутомлению, ухудшению адаптационных возможностей организма профессиональных
спортсменов к беспрерывным и интенсивным тренировкам, особенно в пре - и
соревновательный периоды, несомненно, влияют на уровень физической подготовки и
рост спортивных результатов. Постоянный своевременный контроль над любыми
клиническими синдромами и симптомами, свидетельствующими о возникновении или об
обострении патологического состояния в органах и тканях организма на
вышеуказанных этапах спортивной деятельности, где на фоне интенсивных
тренировок наблюдается снижение иммунной реактивности, позволит внести
необходимые лечебно-профилактические коррективы и повысить, таким образом,
эффективность процесса физической подготовки спортсменов. Важным звеном в
улучшении качества жизни профессиональных спортсменов выступает оценка и
коррекция стоматологического статуса (11). Под действием чрезмерных физических
и психоэмоциональных нагрузок спортсменов в состоянии перетренированности
установлено достоверное ухудшение
качественных и количественных показателей иммуноглобулинов в слюне, снижение
кислотоустойчивости эмали зубов и барьерной функция слизистой полости рта.
Согласно малочисленным литературным данным нарушения функционального состояния
местного иммунитета и неспецифических
факторов защиты полости рта на фоне развития синдрома перетренированности и
иммунодефицита приводят к резкому повышению уровня распространенности и интенсивности
основных стоматологических заболеваний (1,4,7,9). Большое значение для решения
стоматологических проблем в спорте высших достижений имеют эффективные
реабилитационные мероприятия и поиск биологически нейтральных лекарственных
средств, не обладающих побочным действием и благоприятно воздействующих на
физиологические функции и метаболические процессы ротовой полости, для
профилактики и лечения воспалительных заболеваний полости рта у
профессиональных спортсменов (10).
Цель
работы - определить эффективность применения биологически нейтральных средств в стоматологии у
спортсменов высокой квалификации
Материалы и методы исследований
Оценка стоматологического статуса 60
спортсменов - единоборцев (борьба, бокс,
кикбоксинг) и 60 лиц контрольной группы, не занимавшихся профессиональным
спортом, проводилась с использованием общепринятых методик и критериев.
Гигиеническое состояние полости рта оценивали с помощью индекса
Ю.А. Федорова, В.В. Володкиной (1971); выраженность и
распространенность воспалительного процесса оценивали индексом РМА [Shour I., Massler M., 1947], в модификации Parma С. (1960 г.).
В зависимости от применяемых
лечебно-профилактических средств, выбранной методики и сравнительной
лабораторной оценки их эффективности 55 больных с заболеваниями тканей
пародонта легкой степени тяжести были разделены на 4 группы. 1-ая группа
14 больных – применение экстракта на основе цветков шафрана посевного (Crocus Sativus L.) (8,13); во второй группе 14 больных использовали аппликации
гели «Апибальзам1» (состав:
прополис, растительное масло; 3 группу составили 14 пациентов, которым
назначались орошения десны препаратом «Бальзам
гранатовый» ( состав: прополис, экстракты маральего корня, золотого корня,
аралии маньчжурской, пихтовой хвои и т.д.) после чистки зубов в течении дней
(6); в 4-ой группе 13 профессиональных спортсменов с пародонтопатиями
использовали препарат «Solident» на растительной основе (состав: гранатовая кожура,
шалфей, зеленый чай) (14). Для изучения качественного и количественного состава
микрофлоры полости рта нами был обследована смешанная слюна. Материал засевался
на следующие питательные среды: кровяной агар; желточно-солевой агар; среда
Эндо среда Сабуро, сахарный бульон и т.д. Забор
материала осуществляли до и после
лечебно-профилактических мероприятий.
Статистические методы исследования
включали методы вариационной статистики (определение средней арифметической
величины – М, их средней стандартной ошибки – m, критерия значимости Стьюдента – t). Статистическая обработка
результатов клинических исследований выполнялась с использованием стандартных
программных пакетов прикладного статистического анализа (Microsoft Excel и Statistica 6.0 для Windows).
Результаты собственных исследований
Стоматологическое обследование профессиональных
спортсменов и определение их стоматологического статуса осуществлялось
определением уровня гигиены полости рта с помощью индекса Федорова-Володкиной
(ИГФВ), а клиническая выраженность степени развития воспалительного процесса в
тканях пародонта посредством
папиллярно – маргинального - альвеолярного индекса (РМА). Клинический и
микробиологический мониторинг предусматривал обследование полости рта
профессиональных спортсменов в различных возрастных группах на фоне чрезмерных
физических и психоэмоциональных нагрузок, приводящих к частому развитию
синдрома перетренированности, т.е. при наличии факторов, негативно влияющих на
функциональное состояние различных органов и систем организма. И все это, в
конечном счете, приводит к возникновению и даже провоцирует развитие тяжелых
форм патологических процессов в тканях пародонта. Анализ результатов
клинических исследований гигиенического статуса у обследуемых свидетельствовал
об ухудшении состояния гигиены полости рта у профессиональных спортсменов,
особенно в предсоревновательный и соревновательный периоды, где предъявлялись
чаще всего следующие жалобы: кровоточивость десен, неприятный запах изо рта,
гиперестезия зубов. Для количественной оценки гигиенического состояния полости
рта всем спортсменам на фоне интенсивных физических нагрузок рассчитывался
индекс гигиены по показателю зубного налета. Неудовлетворительная гигиена
полости рта по показателям индекса отмечена во всех группах обследуемых, но
наибольшие значения определялись у профессиональных спортсменов в средних
возрастных группах, при этом одной из причин развития данной ситуации помимо
фактора перетренированности указывается нерегулярная чистка зубов (рис. 1).
Рис 1. Состояние
гигиены полости рта у спортсменов (ИГ) в исследуемых группах
Таким образом, в ходе настоящих
клинических исследований и индексной оценки установлен низкий уровень гигиены
полости рта у профессиональных спортсменов-единоборцев по сравнению с их
сверстниками в контрольной группе. В основной группе обследуемых, возраст
которых составлял 15-18 лет, значение индекса гигиены по Федорова-Володкиной равнялось 2,0±0,027,
тогда как у их сверстников, не занимающихся спортом, показатели были ниже и
составили в среднем 1,8±0,017 (p<0,001). При этом исследованные показатели в
третьей основной группе (старше 32 лет) были выше таковых контрольной группы,
но разница в показателях выражалась в сравнительно меньшей степени.
У
профессиональных спортсменов в состоянии перетренированности при недостаточной
гигиене и на фоне снижения иммунологической реактивности органов и тканей
полости рта происходит существенное ухудшение состояния тканей пародонта и
развитие в них патологических процессов. В ходе индексной оценки и изучения
клинических проявлений воспалительных
заболеваний пародонта у спортсменов установлено, что определенные показатели
тяжести течения и интенсивности патологического процесса в околозубных тканях
по величине пародонтального индекса РМА выше, чем у их сверстников в
контрольной группе.
Максимальные значения по исследуемому индексу были
выявлены в третьей основной группе, которую составили профессиональные
спортсмены-единоборцы в возрасте выше 32 лет - 37,4±0,22%, тогда как у их
оппонентов аналогичного возраста из контрольной группы показатель индекса РМА
составил 29,6±0,27% (рис. 2).
Рис.2 Состояние
полости рта у спортсменов (PMA)
в исследуемых группах
Результаты клинических исследований
свидетельствуют о высоком уровне распространенности признаков воспалительных
заболеваний тканей пародонта и обильном отложении над- и поддесневых зубных
отложений у спортсменов более молодого поколения. Патологические изменения в
околозубных тканях на основании результатов индекса РМА в группе представителей
юношеского и подросткового спорта составили 23,1±0,19% против 18,6±0,21% в
контрольной группе. При этом у обследованных данной группы чаще выявлялись кровоточивость
и наличие наддесневых зубных отложений, более тяжелые признаки пародонтопатий –
патологические пародонтальные карманы, регистрировались в старших возрастных
группах, как у профессиональных спортсменов, так и у лиц контрольной группы.
Применение новых лекарственных фито- и
апикомпозиций в лечении воспалительных заболеваний пародонта у профессиональных
спортсменов обеспечили весьма положительный клинический эффект, подтвержденный
положительной динамикой пародонтологических и гигиенических индексов.
При объективном обследовании полости рта
спортсменов-единоборцев, наряду с наличием обильных наддесневых и поддесневых
твердых и мягких зубных отложений, у большинства обследуемых выявлялись
ксеростомия, отек, гиперемия и кровоточивость десны, неприятный запах изо
рта.
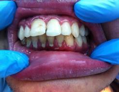
Клинический случай: пациент Е.,
20 лет, профессиональный спортсмен - единоборец, проходил курс лечения в
Стоматологической Клинике по поводу пародонтита средней степени тяжести (рис. 3 а - б.)


Рис. 3. Состояние пародонта до и после лечения
В связи с частым
возникновением аллергических реакций и других побочных эффектов при
использовании традиционных антисептиков, большой интерес вызывают природные
средства. В данном клиническом случае в комплексе с профессиональной гигиеной
осуществлялись аппликации
аппипрепаратом. Непосредственно после завершения курса альтернативной терапии
определялись нормализация цвета десны ее уплотнение, отсутствие кровоточивости.
Аналогичная положительная динамика клинического состояния околозубных
тканей выявлялась при обследовании полости рта почти у всех пациентов второй
группы.
Эффективность консервативного лечения с внедрением биологически нейтральных препаратов нашла свое отражение в результатах микробиологических исследований, которые свидетельствовали в выраженном противовоспалительном и антимикробном действии всех изучаемых в данной работе натуральных средств.
При изучении микробиоценоза полости рта
профессиональных спортсменов в динамике комплексных мер по профилактике и
лечению воспалительных заболеваний пародонта, возникающих и развивающихся на
фоне интенсивных физических нагрузок, с применением экстракта из цветков
шафрана посевного, обладающего в своем составе обширным набором биологически
активных компонентов, была выявлена позитивная динамика в количественных
показателях нормальной и
пародонтопатогенной микрофлоры (табл.
1).
На завершающем этапе клинико-лабораторных исследований
согласно результатам анализа полученных по числу обследуемых больных данных
снизился уровень обсемененности ротовой полости грибами рода Candida, Fusobacterium spp. и Porphyromonas gingivalis.
При изучении видового состава микрофлоры полости рта спортсменов-единоборцев с
заболеваниями пародонта легкой и средней степени тяжести наблюдалось наиболее
выраженное и значимое снижение уровня частоты встречаемости Candida spp. по
сравнению с первоначальными данными.
Таблица1
Спектр микроорганизмов на разных этапах лечения (экстракт шафрана)
(n = 14)
|
Микроорганизмы |
До лечения |
После лечения |
||
|
абс. |
частота, % |
абс. |
частота, % |
|
|
Streptococcus spp. |
14 |
100 |
13 |
92,9±6,9 |
|
Neisseria spp. |
13 |
92,9±6,9 |
8 |
57,1±13,2* |
|
Candida spp. |
6 |
42,9±13,2 |
0 |
0 ** |
|
Fusobacterium spp. |
7 |
50,0±13,4 |
3 |
21,4±11,0 |
|
Porphyromonas
gingivalis |
4 |
28,6±12,1 |
1 |
7,1±6,9 |
|
Lactobacillus spp. |
5 |
35,7±12,8 |
7 |
50,0±13,4 |
|
Peptostreptococcus spp. |
2 |
14,3±9,3 |
3 |
21,4±11,0 |
Примечание: различие значений относительно до лечения статистически достоверно: * - p<0,05, ** - p<0,01.
Так если до начала осуществления
аппликаций экстрактом шафрана посевного выраженная обсеменённость тканей
полости рта наблюдалась в 42,9±13,2% случаев, то после профилактических
мероприятий процент выявляемости грибковых колоний достиг минимальных значений
(p<0,01).
Высокий уровень частоты высеваемости
условно-патогенных и патогенных микроорганизмов, в частности некоторых
представителей грибковой и пародонтопатогенной микрофлоры, в полости рта
профессиональных спортсменов, связанный, по нашему мнению, с неудовлетворительным
гигиеническим состоянием и со слабой выраженностью или нарушением
функционального состояния органов и тканей полости рта, которые очень часто
наблюдаются на фоне интенсивных физических нагрузок, способствует развитию и
хронизации патологических процессов воспалительно-деструктивного характера.
Как демонстрируют результаты
статистического анализа полученных данных по исследуемой группе профессиональных спортсменов примененный в комплексном
лечении у них воспалительных заболеваний пародонта апипрепарат «Апибальзам 1»
практически не уступал другим лекарственным средствам по антибактериальной
эффективности в отношении некоторых
агрессивных патогенных микроорганизмов, ответственных за развитие
глубоких патологических процессов в тканях пародонта на фоне синдрома
перетренированности (таб. 2).
Под действием вышеуказанного эффективного
биологически нейтрального препарата наблюдалось достоверное выраженное снижение
показателей по степени и частоте высеваемости у обследуемых больных колоний Fusobacterium spp..
Таблица 2
Спектр
микроорганизмов на разных этапах лечения («Апибальзам1»)
(n = 14)
|
Микроорганизмы |
До лечения |
После лечения |
||
|
абс. |
частота, % |
абс. |
частота, % |
|
|
Streptococcus spp. |
13 |
92,9±6,9 |
12 |
85,7±9,4 |
|
Neisseria spp. |
14 |
100 |
6 |
42,9±13,2 ** |
|
Candida spp. |
5 |
35,7±12,8 |
2 |
14,3±9,3 |
|
Fusobacterium spp. |
6 |
42,9±13,2 |
1 |
7,1±6,9 * |
|
Porphyromonas
gingivalis |
4 |
28,6±12,1 |
2 |
14,3±9,3 |
|
Lactobacillus spp. |
6 |
42,9±13,2 |
8 |
57,1±13,2 |
|
Peptostreptococcus spp. |
2 |
14,3±9,3 |
0 |
0 |
Примечание: различие значений относительно до лечения статистически достоверно: * - p<0,05, ** - p<0,01.
Аналогичная картина наблюдалась при изучении
количественных и качественных показателей по грибам вида Candida spp., значимо
высокий уровень адгезии которых после лечения был выявлен лишь у 14,3±9,3%
спортсменов, против 35,7±12,8% до лечения.
Полученные при микробиологических исследованиях биотопов, забранных из
полости рта находившихся на обследовании профессиональных спортсменов, данные
свидетельствуют об эффективности и целесообразности применения различных
биологически нейтральных и натуральных терапевтических средств в профилактике и
лечении воспалительных заболеваний мягких и твердых тканей пародонта,
развивающихся у спортсменов на фоне синдрома перетренированности. Все
применяемые в данных исследованиях препараты обладали выраженной
антибактериальной активностью и ингибирующим действием в отношении роста
количественных и качественных показателей патогенных и условно-патогенных
микроорганизмов полости рта. Вышеизложенное подтверждается литературными данными, отражающими в себе
результаты некоторых научных исследований зарубежных и отечественных ученых в
области применения природных лекарственных средств в различных областях
медицины, в том числе и в стоматологии. При
первичных исследованиях состояния микрофлоры полости рта у профессиональных
спортсменов до начала лечебно-профилактических мероприятий и непосредственно
после завершения аппликаций комплексного растительного препарата «Solident»,
обладающего целым арсеналом биологически активных компонентов, суммарный показатель адгезии некоторых
патогенных микроорганизмов, в частности
Candida spp. и Porphyromonas gingivalis, был достоверно ниже и составлял 7,7±7,4% против 38,5±13,5% до
лечения; 15,4±9,3% против 23,1±11,7 до
лечения, соответственно, p<0,01 (табл.3).
Таблица3
Спектр микроорганизмов на разных этапах лечения - «Бальзам гранатовый»
(n = 14)
|
Микроорганизмы |
До лечения |
после лечения |
||
|
абс. |
частота, % |
абс. |
частота, % |
|
|
Streptococcus spp. |
13 |
100 |
11 |
84,6±10,0 |
|
Neisseria spp. |
12 |
92,3±6,9 |
5 |
38,5±13,5 * |
|
Candida spp. |
5 |
38,5±13,5 |
1 |
7,7±7,4 |
|
Fusobacterium spp. |
6 |
46,2±13,8 |
0 |
0 * |
|
Porphyromonas
gingivalis |
3 |
23,1±11,7 |
2 |
15,4±9,3 |
|
Lactobacillus spp. |
3 |
23,1±11,7 |
6 |
46,2±13,8 |
|
Peptostreptococcus spp. |
2 |
15,4±10,0 |
0 |
0 |
Примечание: различие значений относительно до лечения статистически достоверно: * - p<0,01.
При статистическом анализе данных, полученных на определенных этапах
исследований на фоне повышения интенсивности физических нагрузок в обследуемых
группах профессиональных спортсменов – единоборцев наблюдалось дальнейшее
увеличение колонизации полости рта вышеуказанными представителями агрессивной
пародонтопатогенной микрофлоры, что, несомненно, является одним из «важных»
факторов риска развития патологических процессов в мягких и твердых тканях
пародонта воспалительного и дистрофического характера.
Необходимо отметить факт значительного по сравнению с первоначальным
наблюдением снижения частоты высеваемости и выявления представителей рода Streptococcus.
Так, при использовании растительного препарата «Solident» по
разработанной нами схеме у спортсменов-единоборцев в виде аппликаций на
пораженную десну, выявлены следующие позитивные изменения в количественных и
качественных показателях кокковой микрофлоры: 100% до лечения и 84,6±10,0%
после завершения курса профилактических мероприятий.
Проведенные микробиологические исследования, проведенные в другой
группе профессиональных спортсменов, где в качестве противовоспалительного и
иммуномодулирующего средства применялся комбинированный натуральный препарат
«бальзам гранатовый», очередной раз свидетельств о негативных патологических
сдвигах в микробиоценозе полости рта. Результатом
применения биологически нейтральных лекарственных средств стало отсутствие
выраженной нормализации в состоянии органов и тканей зубочелюстной системы, а в
нередких случаях развитие побочных реакций при назначении обследуемым
традиционных антисептических средств, которые по нашему мнению возникали на
фоне синдрома перетренированности, развивающегося в период интенсивных
спортивных тренировок и из-за значительно повышения физических и
психоэмоциональных нагрузок.
Таким образом, в ходе сравнительного анализа полученных результатов подтверждалась отрицательная тенденция в структуре микробиоценоза,
количественных показателях нормальной, условно-патогенной и патогенной
микрофлоры полости рта спортсменов-единоборцев. Однако на фоне осуществления
комплексных лечебно-профилактических
мероприятий, включающих также применение препарата «Бальзам гранатовый»
в предсоревновательный и соревновательный периоды, существенно снижались
количественные и качественные показатели агрессивных и патогенных видов
бактерий (табл. 4). Согласно
результатам микробиологических исследований применение «Бальзама гранатового»
резко снизило показатели по обсеменённости полости рта представителем
пародонтопатогенного облигатно-анаэробного вида - Porhyromonas gingivalis
и грибами рода Candida.
Таблица 4
Спектр микроорганизмов на разных этапах лечения (“Solident”)
(n = 13)
|
Микроорганизмы |
До лечения |
после лечения |
||
|
абс. |
частота, % |
абс. |
частота, % |
|
|
Streptococcus spp. |
12 |
85,7±9,3 |
14 |
100 |
|
Neisseria spp. |
13 |
92,9±6,9 |
7 |
50,0±13,4 * |
|
Candida spp. |
6 |
42,9±13,2 |
3 |
21,4±11,0 |
|
Fusobacterium spp. |
9 |
64,3±12,8 |
5 |
35,7±12,8 |
|
Porphyromonas
gingivalis |
5 |
35,7±12,8 |
2 |
14,3±9,3 |
|
Lactobacillus spp. |
5 |
35,7±12,8 |
11 |
78,6±11,0 * |
|
Peptostreptococcus spp. |
2 |
14,3±9,3 |
2 |
14,3±9,3 |
Примечание: различие значений относительно до лечения статистически достоверно:* - p<0,05.
Предложение о широком применении данного препарата и включении его
в комплекс мер по улучшению
функционального состояния структурных составляющих ротовой полости у
профессиональных спортсменов на фоне периодического и очень частого развития
синдрома перетренированности было обусловлено выраженным снижением частоты
высеваемости патогенных микроорганизмов, ответственных за развитие тяжелых форм
основных стоматологических заболеваний воспалительного характера. Аппликации
исследуемого комбинированного препарата привели к существенным положительным
сдвигам в количественных и качественных показателях по уровню высеваемости
нормальной микрофлоры полости рта. При этом необходимо отметить рост колоний Lactobacillus
spp. и Streptococcus spp.: 35,7±12,8% до и 78,6±11,0%
после лечения; по кокковой флоре 85,7±9,3% до против 100% после завершения
курса терапии (p<0,05).
Заключение:
Анализ результатов проведенных нами
исследований и данных мировой литературы подтверждают тот факт, что
стоматологический статус у профессиональных спортсменов претерпевает
определенные негативные изменения под воздействием синдрома
перетренированности, который становится более выраженным по мере увеличения
возраста, и спортивного стажа. Данный факт является одной из основных причин
высокого уровня распространенности воспалительных заболеваний среди
спортсменов, особенно среднего и более старшего возрастов. Результаты глубокого
изучения клинических и микробиологических аспектов эффективности применения
практически новых в стоматологии фито - и апипрепаратов позволяют рекомендовать
их в качестве иммунокорригирующего, антимикробного и регенерирующего
лекарственного средства для лечения и профилактики широко распространенных
воспалительных заболеваний тканей пародонта.
Список литературы
1. Антонова И.Н., Косицкая Л.С., Розанов Н.Н. Аутоиммунные реакции при воспалительных заболеваниях пародонта у спортсменов/ И.Н.Антонова// Медицинская иммунология. – 2004. – Т.6, №3-5. – С. 278.
2. Апанасенко Г., Морозов Н. Современные подходы к оценке состояния уровня здоровья спортсменов и его коррекция // Лiки Украiни, 2002. - №9.- К.- С.52-54.
3. Афанасьева И.А., Антонова И.Н., Кульчицкая Ю.К., Розанов Н.Н. Функциональная характеристика Т- и В- лимфоцитов у спортсменов на различных периодах тренировочного цикла// Медицинская иммунология. – 2007. – Т. 9. – № 2-3. – С.12-15
4. Воробьев В.С., Лагутина Н.Я., Кирюхина С.А. Некоторые особенности стоматологических заболеваний у спортсменов // Стоматолог. - М.,2002.-№3.-С.52-54.
5. Давыдов В.В., Чурганов О.А., Гаврилова Е.А. Исследование концентрации молекул средней массы у спортсменов со стрессорной кардиомиопатией //Вестник аритмологии.- 2002.- №26.- С. 98-99.
7. Левин М.Я. Показатели местного иммунитета полости рта у спортсменов с воспалительными заболеваниями пародонта // Пародонтология.- М., 2000.-№1.- С.19-20.
8. Мамедов Ф.Ю. Распространенность заболеваний пародонта в очагах эндемии зоба Азербайджанской Республики и особенности лечебно-профилактических мероприятий. автореф. дис.к.м.н, Баку, 2008, 20 стр.
9. Розанов Н.Н. Влияние психофизического стресса на снижение местной иммунной защиты и формирование воспалительных заболеваний пародонта (ВЗП) у спортсменов/ Н.Н.Розанов, И.Н.Антонова // Медицинская иммунология. – 2005. – Т.7, №2-3. – с. 236.
10. Флешер Г.М. Нежелательные эффекты, возникающие при приеме лекарственных препаратов // Стоматолог. - 2005.- №6. - С.7-14.
11. Янышева Н.П. Связь стоматологической патологии с перенапряжением у спортсменов // Физиология, бальнеология и реабилитация. - 2003.- №5. - С.34.
12. Gani F., Passalacqua G., Senna G., Mosca Frezet M. Sport, immune system and respiratory infections //Allerg. Immunol. (Paris)-2003.-Vol. 35.-№2.-P.41-46.
13.
Kumar R., Singh
V., Devi K. [et al.] State
of Art of Saffron (Crocus sativus L.) / Agronomy: A
Comprehensive Review 2009; Vol.25, N 1, P. 44-85.
14.
Mamedov
F.Y., Alkisiyev K.S., Jafarli I.E. «Positive effect of plant preparations on the mucous membrane pathologies
at the time of blood diseases» Abstracts of XIII international Eurasian congress of surgery and
gastroenteroligy. Baku, 2013, p.12-15
РЕЗЮМЕ
Альтернативные
методы и средства лечения заболеваний пародонта у профессиональных спортсменов
Сафаралиев Ф.Р., Бабаев Е.Е., Мамедов Ф.Ю.
Азербайджанский Медицинский Университет
Кафедры ортопедической и терапевтической стоматологии
Согласно результатам клинических
исследований состояния полости рта и индексной оценки уровень воспалительных
заболеваний пародонта у обследуемых спортсменов-единоборцев выше, чем у их
сверстников, не занимающихся профессиональным спортом. Клинические и
микробиологические исследования полости рта профессиональных спортсменов,
проведенные до и после лечебных мероприятий, определили высокую
противовоспалительную и антимикробную эффективность и отсутствие побочных
действий при применении комплексных биологически нейтральных лекарственных
средств.
SUMMARY
Alternative methods and remedies for
treatments periodontal diseases in professional athletes
Safaraliev F.R., Babaev E.E., Mammadov F.Y.
Azerbaijan
Medical University
Department of Prosthodontics and Therapeutic dentistry
According to the results of clinical investigation of oral health and index
assessment the level of inflammatory periodontal diseases in the examined wrestle athletes higher than that of their peers who are
not engaged in professional sports. Clinical and microbiological studies of
oral professional athletes performed before and after treatment measures,
identified the high anti-inflammatory and anti-microbial efficacy and absence
of side-effects when using complex biologically neutral drugs.