Комплексное лечение диабетического
макулярного отека
у
пациентов на фоне СД 2
Шелковникова. Т.В, Тахчиди Х.П., Балашова Л.М., Кацадзе Ю.Л.,
Шишлянникова Н.Ю.
Кемерово, ГБУЗ Кемеровская областная
клиническая офтальмологическая больница
Москва, ГОУ ВПО Российский национальный научно-исследовательский
университет им. Пирогова
Санкт- Петербург, ФГУ Российский НИИ гематологии и трансфузиологии
Кемерово,
ГБОУ ВПО Кемеровская
государственная
медицинская академия Минздрава России
Цель. Изучение клинико-лабораторных, морфометрических параметров макулярного отека у пациентов с ДР на фоне СД 2. Сравнение эффективности медикаментозного лечения ДМО даларгином, сулодексидом и их комплексного применения в сочетании с лазеркоагуляцией сетчатки у пациентов с ДР.
Материалы и методы. 50 пациентов (100 глаз) с ДР СД-2. Из них с непролиферативной диабетической ретинопатией (НПДР) - 12 пациентов (24 глаза); с препролиферативной (ППДР) – 13 пациентов (26 глаз); с пролиферативной формой (ПДР) - 25 пациентов (50 глаз). Использованы офтальмологические методы исследования; лабораторные методы: стандартные скрининговые методы, специальные методы исследования системы гемостаза.
Результаты и выводы. Снижение уровней показателей компонентов системы гемостаза у пациентов с диабетическим макулярным отеком (ДМО) свидетельствует об уменьшении тромбогенной ситуации в микроциркуляторном русле сетчатки. Снижение показателей: vWf, VIIIф, протеина С, РФМК, коррелирует с уменьшением частоты случаев ДМО (R1 -0,96, R2- 0,93; R3 – 0,97; R4 – 0,99), клинической картиной ДР и со стабилизацией патологического процесса.
Ключевые слова: комплексное лечение, диабетический макулярный отек, эндотелиальная
дисфункция, гемостаз, диабетическая ретинопатия.
Comprehensive treatment of diabetic macular edema
patients on the background of type 2
Shelkovnikova. T.W., Takhchidi Kh. P., Balashova L.M.,
Katsadze Y.L.,Shishlyannikova N.Y.
Kemerovo, Kemerovo Oblast Clinical
GBUZ Eye Hospital
Moscow, Russian State Educational Institution
National Research
University of Pirogova
St. Petersburg, Federal Russian
Institute of Haematology and Transfusion
Kemerovo, Kemerovo State Medical
Academy, Russian Ministry of Health
Purpose. The study of clinical, laboratory,
morphometric parameters of macular edema in patients with DR on the background
of DM 2. Comparison of the effectiveness of drug treatment DMO dalargin
sulodexide and their integrated use in combination with laser coagulation of
the retina in patients with DR.
Materials and methods. 50
patients (100 eyes) with DR-2 diabetes. Of these, the nonproliferative diabetic
retinopathy (NPDR) - 12 patients (24 eyes); with preproliferative (PPDR) - 13
patients (26 eyes); with proliferative (PDR) - 25 patients (50 eyes). Used
ophthalmic research methods; Laboratory methods: standard screening methods,
special methods of investigation of the hemostatic system.
Results and conclusions. Reduced levels
of performance components of the hemostatic system in patients with diabetic
macular edema (DME) indicates a decrease in thrombogenic situation in the
microvasculature of the retina. Declining: vWf, VIIIf, protein C, SFMC,
correlates with a decrease in the incidence of DME (R1 -0,96, R2- 0,93; R3 -
0,97; R4 - 0,99), the clinical picture and the stabilization of the DR
pathological process.
Keywords: comprehensive treatment, diabetic macular
edema, endothelial dysfunction, hemostasis, diabetic retinopathy.
Введение. Диабетическая ретинопатия (ДР) является одной
из лидирующих причин слепоты и инвалидизации населения вследствие патологии
органа зрения. Эффективными способами
лечения клинически значимых форм диабетической ретинопатии являются:
немедикаментозная коррекция (панретинальная лазеркоагуляция сетчатки и
витрэктомия), медикаментозное лечение
сахарного диабета (СД), приоритетным направлением которого является компенсация
нарушений микроциркуляции сетчатки [1].
Лазерная хирургия имеет ряд существенных недостатков, добиваясь регресса
отека сетчатки или внутриглазной неоваскуляризации различного генеза, лазерная
коагуляция приводит к повреждению пигментного эндотелия и нейросенсорной ретины. Побочные эффекты от лазеркоагуляции сетчатки
сказываются на качестве зрения и жизни пациентов. Поиск методов лечения ДР и ДМО, не уступающих по эффективности
имеющимся и сопровождающихся существенно меньшим повреждением окружающих
тканей, приводит к появлению новых
технологий [2].
В развитии ДР значительную роль играет состояние эндотелия и базальной мембраны сосудистой стенки. Существенное значение при этом имеет нарушение синтеза гепаринсульфата - гликозаминогликана(ГАГ), входящего в состав базальной мембраны и образующего активный поверхностный слой клеток эндотелия сосудов сетчатки. Применение гепараноидов, таких как Вессел Дуэ Ф(сулодексид), обладающих тропизмом к сосудистой стенке, адсорбирующихся, в основном(90%) эндотелием, позволяет восстановить нормальную плотность отрицательного электрического заряда пор базальной мембраны микроциркуляторного русла сетчатки [3, 4, 5].
В патогенезе ДМО большая роль отводится хориоидальной дисфункции, приводящей к вторичной дисфукции прилежащего пигментного эпителия сетчатки. В последние годы показано, что опиоидные нейропептиды, например, даларгин, способны улучшать региональную микроциркуляцию, усиливать репарацию и регенерацию тканей, угнетая активность системы перикисного окисления липидов, улучшая тем самым состояние эндотелия и базальной мембраны капилляров микроциркуляторного русла сетчатки [4].
В качестве маркеров дисфункции эндотелия рассматривают: фактор Виллебранда (vWf) – адгезивный гликопротеин, синтезируемый эндотелием кровеносных сосудов; в плазме крови vWf образует комплекс с фактором VIII, в результате чего последний активируется и получает защиту от неспецифического протеолиза. Растворимые фибрин-мономерные комплексы (РФМК), образующиеся в процессе деградации молекул растворимого фибрина под действием плазмина. Это один из ранних маркеров тромбинемии и гиперкоагуляционного синдрома. Протеин С – физиологический антикоагулянт. Активированный протеин С (АПС) инактивирует Vа и VIII факторы свертывания крови в присутствии своего кофактора – протеина S, тем самым препятствуя переходу протромбина в тромбин; АПС стимулирует выделение тканевого активатора плазминогена эндотелиальными клетками и тем самым стимулирует фибринолиз [6].
Цель. Изучение клинико-лабораторных, морфометрических параметров макулярного отека у пациентов с ДР на фоне СД 2.
Сравнение эффективности медикаментозного лечения ДМО даларгином, сулодексидом и их комплексного применения в сочетании с лазеркоагуляцией сетчатки у пациентов с ДР.
Материалы и методы. 50 пациентов (100 глаз) с ДР СД-2. Из них с непролиферативной диабетической ретинопатией (НПДР) - 12 пациентов (24 глаза); с препролиферативной (ППДР) – 13 пациентов (26 глаз); с пролиферативной формой (ПДР) - 25 пациентов (50 глаз). Пациенты с ПДР: неоваскуляризация (НВ) диска зрительного нерва(ДЗН) - менее 1/3 PD; НВ сетчатки - менее 0,5 PD. Фокальный макулярный отек встречался в 21% случаях, плоский диффузный макулярный отек – 18%, 54% случаях – высокий кистозный макулярный отек, в 7% - смешанные формы диабетического макулярного отека.
Возраст пациентов составлял - 45-62 лет. Мужчины – 20 чел., женщины – 30 чел. Уровень гликемии в крови - 8,7 ± 2,4(ммоль/л). Стаж СД 2 от 1 года до 10 лет. Осложнения СД 2 - гипертоническая болезнь и ИБС – 45 чел., макроангиопатия нижних конечностей – 25 чел., диабетическая нефропатия – 7 чел., инсульт – 2 чел.
Лабораторные исследования проведены в лаборатории гемостаза областной клинической больницы № 1 г. Кемерова. Материалом для исследования являлась венозная кровь.
Специфические методы исследования на тромбофилии проводились методами автоматизированной коагулометрии с использованием наборов реактивов «Dade Behring» и «Siemens»: определение активности vWf , антитромбина III, АПС, фактора VIII в плазме; определение резистентности фактора V к активному протеину С (РАПС); количественное определение растворимых фибринмономерных комплексов (РФМК), фирма «Технология-стандарт»; и агрегатограмма с индукторами агрегации АДФ, ристомицином, коллагеном, адреналином.
Выявление волчаночного антигена (ВА) проводилось с использованием «разбавленного»
тромбопластина, каолина, змеиных ядов гадюки Рассела, лебетокса, эхитокса, а
также подтверждающие тесты с плазмой донора и корригирующими фосфолипидами.
У пациентов в плазме крови
проведена ПЦР диагностика тробофилических генных мутаций: Лейденская мутация гена V фактора свертывания
крови (резистентность к активированному протеину С), мутация гена протромбина
G20210A, полиморфизм в гене метилентетрагидрофолатредуктазы(С677TMTHFR; MTHFR 1298).
В обследовании больных применяли
стандартные офтальмологические (визометрия, тонометрия, периметрия, прямая
офтальмоскопия) и специальные методы исследования: (осмотр глазного дна с
линзой Гольдмана, с асферичной линзой «+ 78», ФАГ глазного дна на Фундус-камере
«Topkon», Япония; оптическая когерентная томография сетчатки
(ОКТ) на аппарате RTVu–100 фирмы
Optovue (США); компьютерная периметрия.
Пациентам с диабетическим макулярным отеком с клиническими формами ДР проводилась ЛК сетчатки в виде «фокальной решетки» на лазерной установке «NIDEK» (Япония) Nd:YAG, λ= 532 нм. по стандартной методике с параметрами: диаметр коагулятов 100 мкм, экспозиция – 0,1-0,15 сек, количество коагулятов- 150-400. Использовали: даларгин 0,3-0,5 мл под конъюнктиву или парабульбарно № 10(патент № 2198641 «Способ лечения глазных болезней» от 20.02.2003 г.). Даларгин 1,0мл №10. внутримышечно, затем сулодексид 600 ЛЕ, внутримышечно № 10, потом по 250 ЛЕ сулодексид per,os 2 р/день – 30 дней.
Результаты и обсуждения.
Рост показателей vWf, VIIIф и протеина С коррелирует с возрастанием частоты случаев диабетического макулярного отека как у пациентов с НПДР, ППДР так и ПДР ( R1 -0,93 коэффициент корреляции vWf с толщиной сетчатки макулы у пациентов с клиническими формами ДР ; R2 -0,93 коэффициент корреляции уровня активности фактора VIII с толщиной сетчатки макулы у пациентов с клиническими формами ДР; R3 - 0,84 коэффициент корреляции активности протеина С с толщиной сетчатки макулы у пациентов с клиническими формами ДР; R4 -0,96 коэффициент корреляции РФМК с толщиной сетчатки макулы у пациентов с клиническими формами ДР) .

Рис.1 . Зависимость ДМО от параметров гемостаза до лечения.
vWf – активность фактора Виллебранда, %; VIII ф – активность фактора VIII, %; Протеин – активность протеина С, %; РФМК – мг %; ОКТ макулы – толщина сетчатки , мкм.
Рост показателей
эндотелиальной дисфункции (vWf
, фактора VIII, АПС, РФМК) коррелирует с возрастанием частоты
случаев диабетического макулярного отека и толщиной сетчатки в макуле у пациентов с ДР. Пропотевание ретинальных
капилляров приводит к ретинальному отеку: диффузному
вследствие просачивания плазмы и локальному в результате образования
микроаневризм. Первый заканчивается «мягким экссудатом» и кистевидными
дегенерациями, а второй – «твердым экссудатом» (рис.2).


Рис. 2 Глазное дно пациента П.52г. с ППДР с
ДМО до лечения.
Анализ результатов некоторых параметров гемостаза и эндотелиальной дисфункции (vWf , фактора VIII , АПС, РФМК) и толщины сетчатки в макуле у пациентов с клиническими формами ДР после проведенных курсов лечения даларгином, Вессел Дуэ Ф, сочетания этих препаратов с ЛК показал, что идет снижение тромбогенной активности в микроциркуляторном русле сетчатки, снижение проницаемости капилляров сетчатки, что приводит либо к разрешению ДМО, либо к уменьшению толщины сетчатки в макуле.
Уменьшение значений некоторых показателей гемостаза и эндотелиальной дисфункции (vWf , фактора VIII, АПС, РФМК) по стадиям ДР характеризует снижение тромбогенной активности в микроциркуляторном русле и снижение проницаемости мелких сосудов сетчатки, что приводит к разрешению ДМО.

Рис
4. Изменение толщины сетчатки макулы в зависимости от способа лечения
I – до лечения; II- даларгин; III- сулодексид
IV- даларгин+сулодексид; V - даларгин+сулодексид +ЛКС


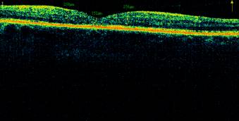
Рис.5.
Глазное дно и ОКТ макулы пациента М., 52г. с ППДР с разрешившимся ДМО
после комплексного лечения и ЛК.

Рис.6. Результаты комплексного лечения ДМО в сочетании с ЛК сетчатки в зависимости от некоторых параметров гемостаза эндотелиальной дисфункции и толщины сетчатки. vWf – активность фактора Виллебранда, %; VIII ф – активность фактора VIII, %; Протеин – активность протеина С, %; РФМК – мг %; ОКТ макулы – толщина сетчатки , мкм.
После комплексном лечении в сочетании с ЛК отмечается незначительное снижение коэффициента корреляции по двум факторам эндотелиальной дисфункции (vWf, VIIIф), соответственно до 0,89 и 0,84. Это связано с наличием аутоимунного воспаления в сетчатке, о чем свидетельствует выявление антител волчаночноподобного типа (ВА) в 10% случаях в сочетании с Лейденской мутацией гена V фактора свертывания крови у пациентов с ДМО на фоне СД 2 типа. Можно предположить, что ЛК усугубляет аутоимунное воспаление в сетчатке у этих пациентов. Поэтому применение ЛК возможно только после консервативного лечения доларгином, ретинопротекторами и препаратами, восстанавливающими эндотелий сосудистой стенки. Кроме того, лазеркоагуляцию сетчатки можно рекомендовать только после лабораторного контроля системы гемостаза.
Выводы. 1. При выборе
метода лечения необходимо учитывать клинико-лабораторные и морфометрические
показатели, характеризующие клиническую картину диабетического макулярного
отека (vWf , фактора
VIII, АПС, РФМК, ОКТ макулы), используя комплексный подход с применением
сулодексида, даларгина и лазеркоагуляции сетчатки.
2. Важно проводить тщательный отбор пациентов с ДМО на фоне ДР
2 типа для проведения ЛК сетчатки, обращая особое внимание на исследование
гемостаза на ВА и Лейденскую мутацию гена V фактора свертывания крови.
Литература:
1.
Гаврилова Н.А., О.Е.
Тищенко Влияние сулодексида на
функциональное состояние эндотелия у больных сахарным диабетом и диабетической
ретинопатией / Офтальмология – сахарный диабет.- М., 2011.-№ 2.- С.66-68.
2.
Гацу М. В. Комплексная
система функционально сберегающих лазерхирургических технологий лечения
сосудистых и дистрофических заболеваний сетчатки // Автореферат диссер. на
соискание уч. степени д.м.н. – М.- 2008.- 50с.
3.
Иванова Н.В., Ярошева Н.А. Дисбаланс в системе гемостаза и
эндотелиальная дисфункция у больных с диабетической ретинопатией //
Офтальмологический журнал. - 2008.- № 3. - С.33-37.
4.
Ильинский О.Б, Спевак
С.Е., Соловьева А.И. и др. Тезисы докладов 1 Всесоюзной конференции
«Нейропептиды: их роль в физиологии и патологии», Томск.- 1985.- С. 58- 59.
5.
Ищенко И.М., Миленькая
Т.М. Эффективность применения препарата Вессел Дуэ Ф у больных сахарным
диабетом с непролиферативной и препролиферативной ретинопатией // Фарматека.-
2009.- № 3.- С. 82-86.
6.
Шилова О.Г. Новые
аспекты патогенеза и лечения диабетической ретинопатии // Автореферат диссер.
на соискание уч. степени д.м.н. – Красноярск.- 2012.- 49с.
Сведения об авторах:
1. Шелковникова Татьяна Васильевна, старший преподаватель кафедры глазных болезней, к.м.н., врач лазерного отделения. (t.shelkovnikova@gmail.com, тел. +7-923-618-19-72)
ГБОУ ВПО Кемеровская государственная медицинская академия Минздрава России, г. Кемерово
2. Кацадзе Юнона Леонидовна, д.м.н., профессор, ведущий научный сотрудник лаборатории свертывания крови ФГУ Российского НИИ гематологии и трансфузиологии, Санкт- Петербург.
3. Тахчиди Христо Периклович, д.м.н., профессор,
проректор по лечебной работе, ГОУ ВПО Российский национальный научно-исследовательский университет им. Н.И. Пирогова Минздрава
России, г. Москва
4. Балашова Лариса Маратовна, д.м.н., профессор, заведующая ЦНИЛ, ГОУ ВПО Российский национальный научно-исследовательский университет им. Н.И. Пирогова Минздрава России, г. Москва
5. Шишлянникова Нина Юрьевна, к.х.н, доцент кафедры биологической, общей, биоорганической химии и клинической лабораторной диагностики ГБОУ ВПО КемГМА Минздрава РФ, г. Кемерово.