О.А.Тюлєнєва

Буковинський державний медичний університет, Україна

Імуногістохімічне дослідження плацентарного лактогену при незрілості хоріального дерева екстрахоріальної плаценти

Актуальність. Екстрахоріальні плаценти – плацента, оточена валиком (рlacenta circumvallata), та плацента, оточена обідком (рlacenta circummarginata), - є найпоширенішою аномалією форми цього органу і зустрічаються з частотою 6,3-32,1%. Попередніми дослідженнями нами показано, що екстрахоріальні плаценти (ЕП) порівняно зі звичайними плацентами характеризуються незрілістю хоріального дерева. Ознаки гальмування розвитку хоріального дерева проявляються більшим відсотком гестаційно менш зрілих вільозних структур: стовбурових «ранніх», мезенхімальних, ембріональних, проміжних незрілих, трофобластичних та вільозних відростків, а також порушенням переходів термінальних ворсин у термінальні «спеціалізовані» форми. Отже, факт діагностики ЕП є достатньою підставою для постановки діагнозу «Синдром хронічної плацентарної недостатності». Принципово важливим критерієм ступеня компенсованості хронічної плацентарної недостатності (ХПН) є рівень продукції плацентарних гормонів, серед яких для останніх тижнів вагітності найбільше значення має плацентарний лактоген (ПЛ). Слід зазначити, що недостатньо вивченими залишаються імуногістохімічні аспекти продукції плацентарного лактогену екстрахоріальної плацентою при гальмуванні розвитку хоріальних структур.

Мета. Імуногістохімічним методом встановити кількісні параметри вмісту плацентарного лактогену в трофобласті вільозних структур екстрахоріальної плаценти в аспекті хронічної плацентарної недостатності.

Матеріал і методи. Для вивчення концентрації плацентарного лактогену у синцитіотрофобласті хоріальних ворсин екстрахоріальних плацент використано імуногістохімічну методику з первинними антитілами проти плацентарного лактогену. Місця специфічного зв’язування первинних антитіл з гормоном фіксували за допомогою стрептавідин-біотинової системи візуалізації LSAB2 з пероксидазною міткою і відповідного до цього барвника – діамінобензидину. Інтенсивність вказаного забарвлення оцінювали комп’ютерно-мікроденситометричним методом (визначали оптичну густину місць специфічного забарвлення у відносних одиницях) на цифрових копіях оптичних зображень хоріальних ворсин. За інтенсивністю забарвлення судили про концентрацію плацентарного лактогену. Групи дослідження склали спостереження з фізіологічною вагітністю: плацент звичайної форми – 18, екстрахоріальних – 35; з ХПН, обумовленою незрілістю хоріального дерева: плацент звичайної форми – 17, екстрахоріальних – 40. Розбіжності між групами дослідження здійснювали згідно методу Стьюдента (непарний двобічний критерій Стьюдента).

Результати дослідження. Отримано наступні середні дані щодо оптичної густини специфічного імуногістохімічного забарвлення на плацентарний лактоген: при фізіологічній вагітності в плацентах звичайної форми - 0,345±0,002 в.од.опт.густ., ЕП - 0,338 ±0,0036 в.од.опт.густ.; при ХПН внаслідок незрілості хоріального дерева в плацентах звичайної форми -0,324±0,0033 в.од.опт.густ., ЕП - 0,322±0,0030 в.од.опт.густ..

Наведені дані вказують на те, що при ХПН, зумовленій незрілістю хоріального дерева, як при плацентах звичайної форми, так і при ЕП суттєво знижується середня концентрація плацентарного лактогену у синцитіотрофобласті хоріальних ворсин. Водночас, не виявлено статистично вірогідного зниження концентрації гормону у вказаних структурах при екстрахоріальних плацентах при відсутності клінічних ознак ХПН. Такі результати імуногістохімічних досліджень дозволяють частково пояснити певну компенсованість ХПН (без дефіциту маси плода, новонародженого) в даній групі спостережень.

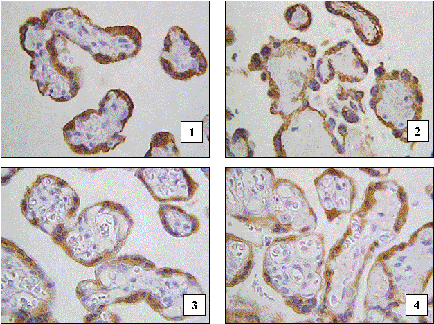
Вказані закономірності щодо концентрації плацентарного лактогену у синцитіотрофобласті хоріальних ворсин проілюстровані за допомогою цифрових мікрофотографій на рисунку 1.

 

 

 

 

 

 

 

 

 

 

 

 

 

 

 

 

Рис. 1. Різна концентрація плацентарного лактогену у синцитіотрофобласті хоріальних ворсин при плацентах звичайної форми та екстрахоріальних плацентах в аспекті хронічної плацентарної недостатності:

1 - плацента звичайної форми з фізіологічним перебігом вагітності;

2 - екстрахоріальна плацента з фізіологічним перебігом вагітності;

3 - плацента звичайної форми з клінічними проявами хронічної плацентарної недостатності;

4 - екстрахоріальна плацента з клінічними проявами хронічної плацентарної недостатності.

Імуногісто­хімічна методика з первин­ними антитілами проти плацентарного лактогену та візуалізацією первинних антитіл стрептавідин-біотиновим методом з використанням діамінобензи­дину. Дофарбовування клітинних ядер гемалауном Майера. Об.40х, Ок.10 х.

Висновки. Хронічна плацентарна недостатність екстрахоріальної плаценти, зумовлена незрілістю хоріальних ворсин, може бути компенсована на рівні метаболізму, зокрема, як це показано на прикладі дослідження концентрації плацентарного лактогену у цитоплазмі синцитіотрофобласта хоріальних ворсин.

Література:

1.     Тюлєнєва О. А. Вертикальний та горизонтальний гетероморфізм в екстрахоріальних плацентах / О. А. Тюлєнєва // Матеріали всеукраїнської науково-практичної конференції, присвяченої 100-річчю з дня народження професора Н.М.Шинкермана „Патологоанатомічна діагностика хвороб людини: здобутки, проблеми, перспективи”, Чернівці, 2007. – С. 176 – 178. 2. Давиденко І.С. Робоча класифікація хоріальних ворсинок плаценти для цілей інформаційного аналізу / І. С. Давиденко // Акт. пит. клін. та експерим. мед.: матер. 85-ї підсумк. наук. конф., присвяч. 60-річчю Бук. держ. мед. академії. - Чернівці: БДМА, 2004.- С.283-286. 3. Давиденко І. С. Використання теорії інформації для оцінки структурної організації різних типів хоріальних ворсинок плаценти при фізіологічній вагітності / І. С. Давиденко // Вісник морфол. – 2005. - № 1 (11). – С. 5 – 10. 4. Милованов А. П. Патология системы мать-плацента-плод : руководство [для врачей] / А. П. Милованов. – М.: Медицина, 1999. – 448 с. 5. Benirschke K. Pathology of the Human Placenta / К. Benirschke, Р. Kaufmann, R. N. Baergen. - [5 rd. ed].New York : Springer, 2006. – 1050 p. 6. Haggerty P. Placental nutrient transfer capacity and fetal growth / Р. Haggerty, S. Allstaff, G. Hoad // Placenta. – 2002. – Vol. 23. – P. 8692. 7. Kaufmann P. Aspects of human fetoplacental vasculogenesis and angiogenesis. II. Changes during normal pregnancy / Р. Kaufmann, D. S. Charlock-Jones, Т. М. Mayhew // Placenta. – 2004. – Vol. 25. – P. 114126.