Технічні
науки / 1. Металургія
Донецький національний
технічний університет, Україна
Дослідження мікроструктури та властивостей
композитних Ni-WC покриттів
Актуальним завданням
сучасного матеріалознавства є використання захисних покриттів для поліпшення
механічних і фізико-хімічних властивостей металів і сплавів. Найбільш поширеним
являється плазмено-дугова наплавка, яка використовується для поліпшення зносостійкості
поверхні промислових виробів шляхом нанесення захисного шару, стійкого до
стирання або корозії, на базовий
матеріал. Цей метод широко застосовується в гірничодобувній промисловості,
металургії та машинобудуванні [1-4].
Метою роботи було
вивчення покриттів з нікель-карбід вольфрамових композиційних матеріалів
отриманих плазмено-дуговим наплавленням, а також встановлення твердості,
схильності до розтріскування та оцінки ступеню розчинення карбіду вольфраму у
нікелевій матриці.
Матеріалом для
досліджень були зразки з Ni-WC композита з металевою матрицею які наносилися
плазмено-дуговим наплавленням. Товщина покриттів становила від 25 до 30 мм
завширшки і близько 4 - 6 мм завтовшки.
Відомо, що дві
основні проблеми в досягненні оптимальних властивостей Ni-WC композитних покриттів – це виникнення
нерівномірного розподілу і можливий розпад або розчинення частинок WC. В
ході експерименту встановлено, що майже у всіх сплавах виявленний шар
позбавлений частинок карбіду вольфраму у верхній частині покриття який
показаний на рисунку 1, а; також деякі покриття Ni-WC містили круглі порожні
від карбіду зони в центрі, що показано стрілками на рисунку 1,б.
Також була
встановлена оцінка розчинення частинок карбід
вольфраму (WC) по перетину сплавів №7,№12 (хімічний склад сплавів наведений у табл.1) і
за допомогою оптичного аналізу зображень композитних сплавів (приклад аналізу
розчинення по перетину сплавів з низьким і високим вмістом карбіду вольфраму
показаний на рисунках 2а і 2б).

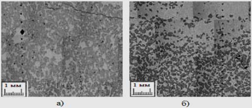
Рисунок
1- Оптична мікрофотографія покриття Ni-WC:
а) шар позбавлений частинок WC; б) круглі порожні зони Ni-WC

Рисунок
2- Аналіз розчинення WC:
а)
низький вміст WC; б) високий вміст WC
На основі
співвідношення 60/40% (мас.) WC / Ni в сплаві, об'ємна частка покриття повинна
бути теоретично 45% (об.) WC - 55% (об.) Ni але 50% ( об.) WC для цілей розрахунків розчинення з певною
очікуваної помилкою, оскільки є невелика різниця в ефективності осадження на
користь карбіду вольфраму. Висока розчинність була помітна в сплавах, які мали
більш високі суми (> 8% мас.) хрому і легуючих елементів.
Рисунок 3 вказує на
те, що є тенденція до зростання розчинення по відношенню до змісту вуглецю. Тим
не менш, жодного прямого зв'язку не визначене між розчиненням і конкретними
легуючими добавками, так як вміст хрому і вуглецю в сплаві збільшувалося
приблизно в рівній мірі.
Таблиця 1- Хімічний склад сплавів в % мас.
|
№ хімічного складу |
B |
С |
Cr |
Fe |
Ni |
Si |
|
1 |
1,26 |
0,22 |
5,25 |
2,48 |
87,87 |
2,92 |
|
2 |
1,25 |
0,11 |
8,63 |
2,7 |
84,17 |
3,14 |
|
3 |
1,93 |
0,67 |
8,39 |
5,2 |
79,79 |
4,02 |
|
4 |
1,89 |
0,18 |
8,38 |
4,88 |
81,68 |
2,99 |
|
5 |
1,57 |
0,21 |
7,03 |
3,23 |
84,17 |
3,79 |
|
6 |
1,57 |
0,09 |
4,47 |
0,87 |
90,22 |
2,78 |
|
7 |
3,45 |
0,027 |
0,16 |
0,64 |
92,643 |
3,08 |
|
8 |
1,65 |
0,52 |
12,23 |
5,16 |
75,93 |
4,51 |
|
9 |
2,9 |
0,42 |
8,62 |
8,25 |
76,15 |
3,66 |
|
10 |
2,71 |
0,44 |
8,17 |
4,45 |
80,33 |
3,9 |
|
11 |
1,98 |
0,42 |
9,28 |
4,49 |
79,89 |
3,94 |
|
12 |
2,73 |
0,92 |
13,8 |
5,5 |
71,25 |
5,8 |
|
13 |
3,55 |
0,75 |
12,2 |
4,49 |
74,68 |
4,33 |

Рисунок 3 – Розчинення карбіду вольфраму в покритті Ni-WC в залежності від вмісту вуглецю в матриці
Визначення твердості
за Віккерсом проводили на композитах з металевою матрицею (ММК) від низу (на
поверхні розділу покриття) до верхньої частини покриття і порівнювали з
твердістю матричного сплаву без частинок WC. Середня твердість по
Віккерсу по центру товщини покриття наведена на рисунку 4.

Рисунок 4 - Середні значення
твердості матриці нікелевого сплаву і Ni-WC композиційного покриття
Встановлено, що значення твердості збільшується
пропорційно номінальної твердості нікелевого сплаву для обох матриць і MMК
покриттів.
Спостерігалися
тріщини покриттів в матрицях і в
композитах з металевою матрицею. Тріщини матричних сплавів (хоча й рідко)
відбувалися в междендрітних областях і в порах на покриттях, а в ММК
розтріскування тріщини поширюються прямо через частинок WC наведено на рисунку
5.

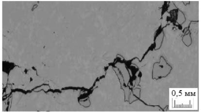
Рисунок
5 -Тріщини, що поширюються через частинки WC
Автор вважає, що це
відбувається через термічні напруження, які краще поглинаються в м'якій
матриці. Дане розтріскування матеріалу є нехарактерним для композитів, тому що
найслабшим місцем композиту вважається міжфазна межа між частинками WC і матрицею.
Таким чином, в
роботі булу встановлено, що майже у всіх сплавах виявлений шар, позбавлений
частинок карбіду вольфраму у верхній частині покриття, а також більш висока
щільність частинок WC в місцях переплетення зварного шва. Деякі покриття Ni-WC
містили круглі порожні від карбіду зони в центрі. Також був проведенний аналіз
оцінки розчинення частинок WC який показує, що є тенденція до зростання
розчинення по відношенню до змісту вуглецю. Спостерігалися тріщини в
композитах, що розповсюджувалися через частинки карбіду. Надалі планується
встановити, як впливають армуючі частинки WC на зносостійкість матричних
сплавів та дослідити швидкість зносу композитних покриттів залежно від вмісту
вуглецю в матриці.
Література:
1. Flores,
J.F., et al., An experimental study of
the erosion-corrosion
behavior of plasma
transferred arc MMCs. Wear, 2009. 267(1-4): p. 213-222.
2. Wolfe, T., in Chemical and Materials Engineering.
2010, University of Alberta: Edmonton, Canada.
3. Just,
C., E. Badisch, and J. Wosik, Influence
of welding current on
carbide/matrix interface
properties in MMCs. Journal of Materials Processing Technology,
2010. 210(2): p. 408-414.
4. Buytoz,
S., M. Ulutan, and M.M. Yildirim, Dry
sliding wear behavior of
TIG welding clad WC
composite coatings. Applied Surface Science, 2005. 252(5): p. 1313-1323.