Медицина / 1.Акушерство и
гинекология
Гошовська А.В.1, Гошовський В.М.2
1.
Асистент кафедри акушерства, гінекології та перинатології
Вищого державного навчального закладу України
«Буковинський державний медичний університет»,
2.
В. о. головного лікаря міського пологового будинку №1 м.
Чернівців
ЗАЛІЗОДЕФІЦИТНА АНЕМІЯ – ФАКТОР ВИНЕКНЕННЯ ПЛАЦЕНТАРНОЇ ДИСФУНКЦІЇ
Вступ. Враховуючи те, що у ході навіть фізіологічної вагітності
зростає інтенсивність вільнорадикальних процесів у тканині плаценти, а при
гіпоксії, спричиненій залізодефіцитною анемією вагітних (ЗДАВ) вони ще більше
інтенсифікуються, доцільно було вивчити їх деякі найбільш важливі сторони.
Існує думка, що для оцінки окиснювального стресу в структурах плацентарної
тканини найпершу увагу слід приділяти нітропероксидам, які, на відміну від
активних форм кисню, завдяки більшому часу існування, здатні долати порівняно
більш значні дифузійні дистанції, і тому спроможні викликати реальну патологію
в глибині тканини, а не тільки на поверхнях.
Мета дослідження було встановити кількісні параметри хемілюмінесценції
нітропероксидів в структурах хоріальних ворсинок (ХВ) плаценти у різні терміни
гестації на прикладі фізіологічної вагітності та вагітності з залізодефіцитної
анемії матері.
Матеріал і методи. Для оцінки вмісту нітропероксидів у заморожених
гістологічних зрізах використали принцип ініціації світіння (виділення
світлової енергії) нітропероксидів люмінолом. Препарати після обробки робочим
розчином люмінола вивчали в люмінесцентному мікроскопі ЛЮМАМ-8 з відповідними
світлофільтрами при довжині хвилі 425 нм. Інтенсивність світіння оцінювали за
допомогою комп’ютерної програми GIMP (ліцензія GPL, 2012) на цифрових
монохромних копіях зображення за показником «яскравість» у шкалі 256 градацій
(від 0 – мінімум, до 255 – максимум).Порівняння між групами дослідження робили
за допомогою непараметричного критерію Mann-Whitney у середовищі комп’ютерної
програми PAST (вільна ліцензія). Попередньо виконували перевірку на
нормальність у вибірках методом Shapiro-Wilki за допомогою вищевказаної
комп’ютерної програми.
Результати дослідження та їх
обговорення. У термін гестації
5-12 тижнів цитоплазма трофобласта ХВ при обробці зрізів люмінолом давала ледве
помітне світіння (яскравість - 7-18, у середньому – 12,1±0,98). Спостережень
ЗДАВ у цей термін не відмічено.
У проміжок вагітності 13-20 тижнів таке світіння в контрольній групі
очевидно посилювалося (у середньому – 84,4±2,04), а при ЗДАВ воно ставало ще
більш інтенсивним (127±2,93). Розбіжність
між групами дослідження за критерієм Mann-Whitney була вірогідною
(p<0,001).
У проміжок гестації 21-27 тижнів вищевказана закономірність щодо посилення
світіння цитоплазми трофобласта хоріальних ворсин після обробки люмінолом при
ЗДАВ у порівнянні з контролем зберігалася як за самою тенденцією відмін так і
за рівнем бальної оцінки.
Аналогічна ситуація щодо світіння цитоплазми трофобласта хоріальних ворсин
після обробки люмінолом була відмічена і для терміна гестації 28-36 тижнів,
тобто при передчасних пологах . Відмінностей у світінні цитоплазми трофобласта
хоріальних ворсин після обробки люмінолом залежно від зони плаценти не
виявлено.
При строкових пологах (37-40 тижнів гестації) інтенсивність світіння
цитоплазми трофобласта хоріальних ворсин після обробки люмінолом було вищим,
ніж у попередні терміни вагітності. У групі контролю середня інтенсивність
світіння була оцінено у 184,1±4,27. Однак, це світіння набувало рис вираженого
фракціонування по площі цитоплазми . При ЗДАВ світіння було оцінено в 204±5,71,
а фракціонування по площі цитоплазми, такого, як у групі контролю не
відмічалося. Різниця між групами дослідження за критерієм Mann-Whitney була
вірогідною (p<0,001).

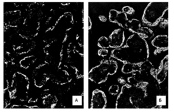
Рис.1. Світіння цитоплазми трофобласта хоріальних
ворсинок після обробки люмінолом при довжині хвилі 425 нм. А) контрольна група.
39 тижнів вагітності. Б) залізодефіцитна анемія. 39 тижнів вагітності.
Мікроскоп ЛЮМАМ-8. Об.20х.
Ок.10х.
Висновок. Проведені дослідження люмінесцентного світіння
цитоплазми трофобласта хоріальних ворсинок після обробки юміналом дозволили
встановити, що з терміном гестації зростає кількість нітропероксидів у
структурах плаценти, причому, починаючи з 13-16 тижня гестації і до її
завершення, залізодефіцитна анемія вагітних спричиняє більш значне утворення
нітропероксидів у цитоплазмі трофобласта ніж при відсутності анемії.
Література:
1. Гошовська А.В. Стан інвазивного цитотрофобласта базальної частини
плаценти вагітних, хворих на туберкульоз / А.В. Гошовська // Клін. анат. та
опер. хір. – 2009.- Т.8,№1. – С 33-36.
2. Давиденко І.С. Морфологічна характеристика структур матково-плацентарної
ділянки в різні терміни гестації при залізодефіцитній анемії у вагітних / І.С.
Давиденко // Клінічна та експериментальна патологія. – 2005.- Т.IV, №3.- 49-53.
3. Милованов А.П. Патология системы мать-плацента-плод : руководство [для
врачей] / А. П. Милованов. – М. : Медицина, 2009. – 448 с. 4. Пат. 60921 А
Україна, МПК А 61 В 10/00, G 01 N 33/48. Спосіб діагностики
матково-плацентарної форми недостатності плаценти екстрахоріального типу /
Тюлєнєва О.А.; заявник і патентовласник Буковинська держ. мед. академія МОЗ
України. - № 2003043588 ; заявл. 21.04.2003 ; опубл. 15.10.2003, Бюл. № 10. – 2
с.
5. Тюлєнєва О.А. Доплерометрична характеристика судинного русла матки при екстрахоріальних
плацентах / О. А. Тюлєнєва // Клінічна та експериментальна патологія. – 2007. –
Т. 6, № 1. – С. 113 – 115.
6. Тюлєнєва О.А. Морфологія кровоносних судин матково-плацентарної ділянки
та міометрія при екстрахоріальних плацентах / О.А. Тюлєнєва, В.М. Завалецький
// Буковинський медичний вісник. – 2004. – Т. 8, № 3 – 4, - С. 229 – 231.
7. Benirschke K. Pathology of the Human Placenta / К. Benirschke, Р.
Kaufmann, R. N. Baergen. - [5 rd. ed]. – New York : Springer, 2006. – 1050 p.