Медицина. Стоматологія
Врач висшей категории Громова С.И., врач-интерн Громова А.О.
Днепропетровская обласная стоматологическая поликлиника,
Украина
СОВЕТЬІ
ПО УДАЛЕНИЮ СЛОМАННЬІХ ИНСТРУМЕТОВ В КОРНЕВЬІХ КАНАЛАХ
Вопрос препарирования
корневьіх каналовв является одной из наиболее важных тем в современной
зндодонтии. Хотя врачи с удовольствием завершалы бы каждое
препарирование своими любимыми финишными файлами определенного
размера и конусности, на самом деле нужно понимать, что все каналы отличаются.
Конусность, кривизна, длина и апикальные размеры, соединение с
другими каналами и разветвления на различных уровнях всегда
уникальны для конкретных случаев. Но самое главное,
формирование должно соответствовать природной анатомии зндодонтической системы. Поломка
зндодонтического инструмента представляет собой не ошибку, а осложнения,
создающие большие трудности для последующего зндодонтического лечения.
Тщательное соблюдение
основньїх принципов работьі с инструментами может минимизировать вероятность их
поломки, а именно:
1-обеспечить проходимость каналов и создать скользящую
дорожку, как минимум, до размера 15-20 с помощью ручных файлов;
2-обеспечить прямолинейный доступ;
3-использовать более прочные инструментьі
больших размеров (например, устьевики) для формирования корональной трети
канала перед использованием более тонких и более хрупких инструментов в
апикальной части;
4-использовать только легкое давление на инструмент, никогда
не давить а него с силой;
5-заменять инструменты после их использования в очень узких
или сильно искривленных каналах;
6- при работе с инструментом полость зуба и система корневых каналов должны быть заполнены гипохлоритом натрия;
7-обеспечивать непрерывное движение инструмента, не
фиксировать его в одной позиции;
8-при изучении новой техники, при работе с новьіми
инструментами всегда необходимы практические тренировки.


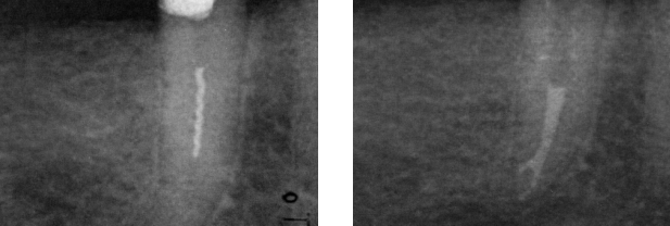
Снимок определения рабочей длины. Виден ByPass сломанного
инструмента.




Снимок наблюдения через 6
месяцев. Практически полное исчезновение периапикальных процессов на М и Д
корнях
Но, если, не смотря
не все предпринятые меры, произошла поломка, то степень
трудности при извлечении сломанного инструмента зависит от его типа и положення
в канале. С точки зрения перспективы для пациента сломанный инструмент сам по
себе может и не стать причиной неудачного лечения, но клинические или
рентгенологические симптомы могут персистировать, поскольку
инструмент препятствует адекватной дезинфекции и уничтожению микрофлоры. Оценка вероятного
микробного статуса корневого канала очень важна. В случае витальной пульпы, микробное
загрязнение будет маловероятным, но если на рентгенограмме явно
определяется периапикальный очаг, в зтом случае наличие отломка
препятствует зффективному лечению и пломбированию и корневой канал останется
инфицированным. Итак, клинические рекомендации, касающиеся принятия
решений при возникновении поломки инструмента:
1-установить
положение фрагмента инструмента с помощью рентгенограммы и тактильных ощущений. Если
инструмент находится на уровне или апикальнее кривизны, результат его
излечения гораздо менее предсказуем;
2-принять во внимание момент поломки: чем раньше с момента
налача обработки канала был сломан инструмент, тем выше вероятность
некачественной очистки;
3-принять во внимание наличие или отсутствие периапикальной
патологии - она может значительно ухудшить прогноз лечения;
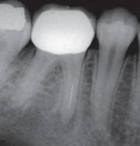
4-в первую очередь, постараться напрямую обойти сломанный фрагмент, очень
аккуратно используя ручные инструменты. Зто техника называется «Ву Pass»
Процедура прохождение рядом со сломанным инструментом. Такая
процедура позволяет нам очистить канал апикальнее и тем самым решить проблему
инфицирования. Я считаю, что механистический подход для решения проблемы сломанного
инструмента - попытка удаления в любом случае, не верен. Процедура удаления
фрагмента сломанного инструмента связана с лотерей здорового дентина корня. В
процессе зтой процедуры могут быть перфорации, либо,
как отсроченное осложнение вследствие ослаблення зуба, может возникнуть
вертикальная трещина корня. Такая клиническая тактика
основана на понимании биологических процессов, лежащих в основе
периапикальных патологий и биомеханики зубов.
5-если обойти инструмент не удалось, принимая во внимание вышеперечисленные условия, а также
наличие или отсутствие симптоматики, следует решать вопрос о необходимости
применения более инвазивных процедур, при зтом обязательным условием является
обязательное использование операционного микроскопа и специальных ультразвуковых насадок.
6-если попытки извлечения
фрагмента не приносят успеха без дальнейшего разрушения структур зуба, следует
рассмотреть альтернативные варианты лечения, такие как
апикальная хирургия или удаление зуба.
Итак, давайте рассмотрим графическую схему-алгоритм принятия
решения, в случае поломки зндодонтического инструмента.


Завершить обработку и пломбирование
канала. НЕ ПРЕДПРИНИМАТЬ АКТИВНЫХ ПОПЫТОК ИЗВЛЕЧЕНИЯ


В заключении, я бы
хотела уделить внимания медико-правовому аспекту. Уладить конфликт с пациентом
со сломанным в канале инструментом гораздо легче, если он был заранее
предупрежден о такой вероятности, иформирован о случившемся, а все происходящее
было документировано в истории болезни. Всегда необходимо
информировать пациента о возможных вариантах решения данной проблемы. Единственным исключение из зтого
правила является случай, когда фрагмент инструмента был легко извлечен в то же посещение.
Литература:
1. Клиническая эндодонтия, Том 2,
Санкт-Петербург
2. Клиническая эндодонтия, Том 5,
Санкт-Петербург
3. Семинар “Повторное
эндодонтическое лечение” А. Болячин, Москва
4. Конгресс “Квинтессенция”
раздел эндодонтия, доклад М. Соломонов,
Израиль