Биологические науки / 6.Микробиология
К.т.н. Сухих
С.А.
ФГБОУ ВПО
«КемТИПП»
К.б.н.
Дышлюк Л.С.
ФГБОУ ВПО
КемТИПП
аспирант
Зимина М.И.
ФГБОУ ВПО
КемТИПП
Д.т.н Бабич
О.О.
ФГБОУ ВПО
«КемТИПП»
Принцип выделения антибактериальных веществ белковой природы из микроорганизмов
Бактериоцины – это антибактериальные
вещества белковой природы, вырабатываемые бактериями и подавляющие
жизнедеятельность других штаммов того же вида или родственных видов.
Способностью к синтезу бактериоцинов обладают как грамположительные, так и
грамотрицательные бактерии. Исследователи рассматривают бактериоцины в качестве
потенциальных антимикробных лекарственных веществ и консервантов, подавляющих
рост и развитие патогенных и условно патогенных бактерий и дрожжевых грибов.
Известно, что антибиотики оказывают многочисленные побочные действия, негативно
сказывающиеся на организме человека, в то же время бактериоцины и продуцирующие
их штаммы посредством избирательного воздействия на микрофлору нормализуют
микробный ценоз при некоторых патологиях у человека и животных [1, 3].
Интерес к
использованию бактериоцинов, образуемых лактококками, резко возрос. Одним из
главных аспектов этого интереса является возросший спрос потребителей к
качеству продуктов питания и их безопасности для здоровья, поскольку широко используемые
химические консерванты и некоторые антибиотики, увеличивающие срок хранения продуктов
питания, вызывают опасения [2].
Синтез бактериоцинов – наследственная
особенность микроорганизмов, проявляющаяся в том, что каждый штамм способен
образовывать один или несколько определенных, строго специфичных для него
антибиотических веществ. В большинстве популяций лактококков синтез
бактериоцинов можно индуцировать генно-инженерными методами, различными
физико-химическими воздействиями: ультрафиолетовыми лучами, мутагенами
химической природы, ДНК-тропными веществами, перекисями и другими агентами [1,2].
В настоящее время учёные многих
лабораторий мира изучают пути и способы направленного синтеза бактериоцинов для
создания биологическим путем различных модификаций уже известных бактериоцинов,
но с более ценными свойствами или пытаются получить новые природные сбалансированные бактериоциногенные
комплексы, безопасные для использования в качестве биоконсервантов.
Возможность конструирования новых антимикробных аналогов (бактериоцинов) в
перспективе может оказаться главным методом борьбы с антибиотикоустойчивыми
патогенными бактериями. Особый научный интерес представляют молочнокислые
стрептококки серологической группы N,
которые по систематическому положению недавно выделены из группы
микроорганизмов рода Streptococcus,
включающего патогенные формы, и под новым названием Lactococcus отнесены
к категории «GRAS», куда отнесены
микроорганизмы, не вызывающие инфекционных заболеваний человека и животных [3].
Бактериоцины молочнокислых бактерий
представляет собой довольно гетерогенную группу бактериальных ингибиторов,
молекулярный вес которых колеблется в широких пределах (от нескольких тысяч Да
до сложных протеиновых структур, имеющих в своем составе липидный компонент).
На основании физико-химических свойств, аминокислотного состава, способов
выведения, а также антимикробного спектра действия бактериоцины разделяют на
три класса: I, II, III: класс I – лантибиотики, представляющие собой пептиды с
модифицированными аминокислотами (лантионин, метилллантионин); класс II –
небольшие (<10 к Да), относительно термоустойчивые немодифицированные
бактериоцины; класс III – большие, термолабильные белки.
Известны
бактериоцины, оказывающие антимикробный эффект за счет действия на клеточную
стенку путем индукции автолиза и деградации пептидогликана, при этом происходит
повреждение цитоплазматической мембраны за счет образования пор и увеличения ее
проницаемости, а также путем подавления синтеза белков, ДНК или РНК.
Бактериоцины не действуют на бактериоциногенные популяции, способные
осуществлять синтез гомологичных антибактериальных веществ. Адсорбция колицинов
на чувствительных клетках ведет к подавлению синтеза ДНК, РНК и белка [1].
Бактериоцины
осуществляют естественное предохранение пищевых продуктов, в том числе
полученных путем ферментации. Продуцирующие бактериоцины штаммы микроорганизмов,
в частности молочнокислые бактерии, или сами бактериоцины могут быть использованы
как природные консерванты пищевых продуктов. Задача состоит в том, чтобы
оптимизировать продуцирование бактериоцинов бактериями, повысить активность и
стабильность этих соединений, направленно получать бактериоцины с заданными
свойствами. Однако появление и селекция вариантов бактерий, устойчивых к
бактериоцинам, осложняет использование этих веществ в качестве пищевых консервантов.
Считают, что молочнокислые бактерии из
родов Lactococcus, Lactobacillus, Pediococcus, Leuconostoc,
образующие антибактериальные вещества, в частности бактериоцины, могут
использоваться для консервации пищи. Из молочнокислых бактерий выделено
несколько бактериоцинов, которые являются лантибиотиками. Лантибиотики – это
бактериальные полипептиды, в состав которых входят такие редкие тиоэфирные
аминокислоты, как лантионин и метиллантионин. Эти вещества имеют широкий
антимикробный спектр действия. По механизму биосинтеза лантибиотики можно
разделить на две группы: низины и субтилин. Механизм биологического действия
лантибиотиков связан с нарушением проницаемости бактериальных
цитоплазматических мембран. Нарушение мембранного потенциала инициируется
образованием пор, через которые проходят молекулы лантибиотиков.
Бактериоцины из группы лантибиотиков или
образующие их микроорганизмы также используются в пищевой промышленности для
консервации пищи [3].
Бактериоцины молочнокислых бактерий
представляет собой довольно гетерогенную группу бактериальных ингибиторов,
молекулярный вес которых колеблется в широких пределах (от нескольких тысяч Да
до сложных протеиновых структур, имеющих в своем составе липидный компонент).
На основании физико-химических свойств, аминокислотного состава, способов
выведения, а также антимикробного спектра действия бактериоцины разделяют на
три класса: I, II, III: класс I – лантибиотики, представляющие собой пептиды с
модифицированными аминокислотами (лантионин, метилллантионин); класс II –
небольшие (<10 к Да), относительно термоустойчивые немодифицированные
бактериоцины; класс III – большие, термолабильные белки [2].
Известны
бактериоцины, оказывающие антимикробный эффект за счет действия на клеточную
стенку путем индукции автолиза и деградации пептидогликана, при этом происходит
повреждение цитоплазматической мембраны за счет образования пор и увеличения ее
проницаемости, а также путем подавления синтеза белков, ДНК или РНК.
Бактериоцины не действуют на бактериоциногенные популяции, способные
осуществлять синтез гомологичных антибактериальных веществ. Адсорбция колицинов
на чувствительных клетках ведет к подавлению синтеза ДНК, РНК и белка [1].
Бактериоцины
осуществляют естественное предохранение пищевых продуктов, в том числе
полученных путем ферментации. Продуцирующие бактериоцины штаммы микроорганизмов,
в частности молочнокислые бактерии, или сами бактериоцины могут быть использованы
как природные консерванты пищевых продуктов. Задача состоит в том, чтобы
оптимизировать продуцирование бактериоцинов бактериями, повысить активность и
стабильность этих соединений, направленно получать бактериоцины с заданными
свойствами. Однако появление и селекция вариантов бактерий, устойчивых к
бактериоцинам, осложняет использование этих веществ в качестве пищевых консервантов
[2].
Работа направлена на выделение
антибактериальных веществ белковой природы из микроорганизмов, находящихся на
поверхности свежих овощей, и изучению их свойств.
Для
выделения и очистки препаратов бактериоцинов часто используется метод хроматографии,
который является очень трудоемким процессом. Результаты исследования
антимикробных свойств бактериоцинподобных комплексов микроорганизмов,
выделенных из овощей, представлены в таблице 1.
Таблица
1 – Антимикробные свойства бактериоцинподобных комплексов, синтезируемых
микроорганизмами овощей, и низина
|
Штамм
микроорганизмов |
Диаметр
зоны ингибирования, мм, для разных тест-культур |
||
|
E. coli В-6954 |
Bacillus fastidiosus B-5651 |
Bacillus subtilis
B-1325 |
|
|
Bacillus stratosphericus |
17,8±0,9 |
19,3±1,0 |
25,6±1,3 |
|
Bacillus subtilis |
20,5±1,0 |
21,0±1,0 |
17,7±0,9 |
|
Bacillus pumilus |
17,6±0,9 |
22,3±1,1 |
18,0±0,9 |
|
Bacillus endophyticus |
18,5±0,9 |
19,6±1,0 |
22,8±1,1 |
|
Низин |
25,1±1,3 |
21,0±1,0 |
19,4±1,0 |
Из
таблицы 1 следует, что бактериоцинподобные комплексы, синтезируемые всеми
изучаемыми микроорганизмами, обладают антимикробной активностью в отношении
таких тест-культур, как E. coli В-6954, Bacillus fastidiosus B-5651 и Bacillus
subtilis B-1325, аналогично
ранее выделенному и изученному бактериоцину низину.
Далее
исследовали невосприимчивость штамма-продуцента к собственным бактериоцинам.
Иммунитет штамма-продуцента к собственному бактериоцину определяют, используя в
качестве индиаторной культуры штамм-продуцент. Полученные результаты
представлены в таблице 2.
Таблица
2 – Изучение перекрестной чувствительности бактериоцинпродуцирующих
микроорганизмов, выделенных с поверхности овощей
|
Штамм-продуцент |
Штамм-индикатор (диаметр зоны
ингибирования, мм) |
|||
|
Bacillus stratosphericus |
Bacillus subtilis |
Bacillus pumilus |
Bacillus endophyticus |
|
|
Bacillus
stratosphericus |
0 |
0 |
0 |
0 |
|
Bacillus subtilis |
0 |
0 |
0 |
0 |
|
Bacillus pumilus |
0 |
0 |
0 |
0 |
|
Bacillus endophyticus |
0 |
0 |
0 |
0 |
Данные
таблицы 2 свидетельствуют о том, что все четыре изученных штамма
микроорганизмов, выделенных с поверхности овощей, являются устойчивыми как к
собственным ингибиторам, так и взаимно резистентными к синтезируемым веществам,
что свидетельствует о родстве продуцируемых субстанций.
Выявление
белковой природы антибактериальных субстанций, продуцируемых микроорганизмами,
выделенными из овощей, проводили с использованием метода электрофореза в
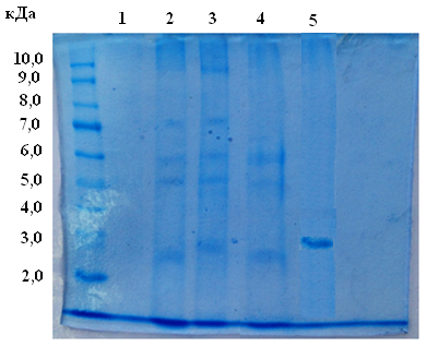
полиакриламидном геле. Полученные данные представлены на рисунке 1.

Рисунок 1 –
Результаты электрофореза в полиакриламидном геле: 1 – Bacillus stratosphericus, 2 – Bacillus subtilis, 3 – Bacillus pumilus, 4 – Bacillus
endophyticus, 5 – низин
Из рисунка 1 следует, что в культуральной жидкости
рассматриваемых штаммов микроорганизмов после концентрирования на полых
волокнах и центрифугирования содержатся белковые фракции с молекулярными
массами 3,0 (№1); 5,0 (№2); 6,0 (№3); 7,3 (№4) и 10,0 (№5) кДа, различающиеся
между собой химической природой и биологическими свойствами.
Таким образом, в ходе
проведения настоящих исследований выделили антибактериальные
вещества белковой природы, вырабатываемые бактериями.
Литература:
1. Червинец, Ю.В., Бондаренко В.М., Шабанова
Н.А. Бактериоциногенные высокоантагонистические штаммы лактобацилл / Ю.В.
Червинец, В.М. Бондаренко, Н.А. Шабанова // Микробиология. - 2006. - №7. - 43.
2. Benkerroum,
N. Isolation of a bacteriocin-producing Lactococcus lactis subsp. lactis and
application to control Listeria monocytogenes in Moroccan jben / N. Benkerroum,
H. Oubel, M. Zahar, S. Dlia, A. Filali-Maltouf // Journal. Applied
Microbiology. - 2002. - №89. - P.960 - 968.
3. Ghalfi,
H. Bacteriocin activity by Lactobacillus curvatus CWBI-B28 to inactivate
Listeria monocytogenes in Cold-Smoked salmon during 4°C storage / H. Ghalfi, A.
Allaoui, J. Destain, N. Benkerroum, P. Thonart // Journal Food Protection. -
2006. - №69. - P. 1066 - 1071.