¹ д.мед.н. Бабкіна
О.П., ² к.мед.н. Миловидова Г.Е., ¹Коробко І.С.
¹ДЗ
«Луганський державний медичний університет» (в.о. ректора – професор Іоффе
І.В.)
²ДУ
„ Інститут загальної та невідкладної хірургії ім. В.Т. Зайцева НАМН України”
ОСОБЛИВОСТІ ЗМІН ГІСТОЛОГІЧНИХ
ПОКАЗНИКІВ НИРОК ПРИ МЕХАНІЧНІЙ ТРАВМІ В ЗАЛЕЖНОСТІ ВІД ЧАСУ ЇЇ ЗАПОДІЯННЯ
Вступ. Ушкодження нирок серед травм паренхіматозних органів черевної порожнини
зустрічаються від 6 до 18 % випадків [1-5]. За даними науковців [6,10] при
падінні з висоти нирки травмуються в 28,8 % від всіх випадків травми органів
черевної порожнини. Шапошніков Ю.Г., Михопулос Т.Д. [13] діагностували травми
нирок у осіб з закритою травмою живота в 6,1 % випадків, при цьому в 60 %
випадків травма нирок поєднувалася з ушкодженнями інших органів черевної
порожнини. Гиске А.В. [8] були вивчені ушкодження нирок при закритій травмі
живота. За даними А.В. Гиске, травми нирок виявляються в 41,2 % випадків зі
закритою травмою живота. За іншими даними [14,16] частота травм нирок складає
при падінні з висоти 12,8 % випадків, при дорожньо-транспортній травмі 14 %,
від травми тупими предметами 6,9 %. Авторами відмічено, що ушкодження нирок
нерідко поєднувалися з травмами інших органів черевної порожнини.
Рішенню питання про час спричинення ушкодження нирки
допомагає експертна оцінка результатів гістологічного дослідження [7,11]. При
цьому слід врахувати, що ступінь виразності тих або інших мікроскопічних змін
нирок залежить від багатьох чинників: характеру та обсягу підкапсульного
ушкодження, тяжкості супутніх ушкоджень, попередніх захворювань, тощо.
Сапожникова М.А. [12] виділяла три
стадії морфологічних змін в травмованій нирці: різке порушення кровообігу,
травматичний набряк (у зоні порушення цілісності органу виявляються скупчення
еритроцитів з домішкою поодиноких лейкоцитів); дистрофічно-некротичні зміни та
запалення; регенерація й процеси організації.
Метою даної роботи було вивчення динаміки змін гістологічних показників
травмованих тканин нирок при різноманітних видах механічних травм в залежності
від давності заподіяння ушкоджень.
Матеріал та методи
дослідження. Матеріалом дослідження на сьогоднішній час є тканини нирок 76 трупів осіб чоловічої та
жіночої статі, віком від 20 до 60 років, що загинули при відомому та невідомому
часі травми і давності настання смерті
при наявності та відсутності алкоголю в крові та підлягали розтину в
танатологічному відділі бюро судово-медичної експертизи м. Луганська протягом
2005-2011 років. Забір тканин травмованих органів здійснювався при температурі
повітря в морзі від + 16 до 25 С, відносній вологості – 40-60 %. При проведені
досліджень використовувались: гістологічний, гістохімічний методи з метою
виявлення динаміки процесів регенерації
гістологічних показників травмованих тканин нирок та проводився статистичний
аналіз отриманих результатів.
Результати
та їх обговорення. В ході проведеного нами дослідження
встановлено, що при застосуванні гістологічних методів дослідження травмованих
та інтактних органів заочеревинного простору, зокрема нирок, мають місце
закономірні зміни залежно від давності травми та давності настання смерті.
За нашими даними в перші години після травми по периферії
ушкодження спостерігається порушення кровообігу; судини нерівномірного
кровонаповнення з лейкостазами та сепарацією плазми в просвітах окремих судин.
Стінки артерій нерівномірні, місцями потовщені за рахунок набряку, спазмовані.
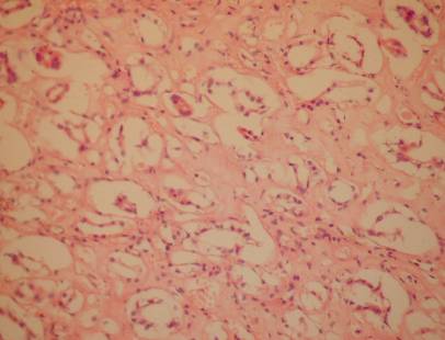
Строма мозкового та місцями коркового шарів набрякла, що представлено на
рисунку 1.

Рис. 1. Наявність
набряку в мозковому шарі правої нирки у жінки, 36 років, яка загинула від
механічної травми. Давність травми 2 години. Забарвлення гематоксилін-еозином.
Зб.: х. 200.
Через 6-12 годин після травми продовжується порушення
кровообігу; судини нерівномірного кровонаповнення з лейкостазами та сепарацією
плазми в просвітах окремих судин, виявляються дистрофічні зміни у епітелії
канальців: місцями епітелій набухлий, вакуолізований, в інших ділянках епітелій
глибчастий, спостерігається відсутність ядер епітелію. Протягом 12-24 годин, на
фоні вищезазначених змін, в стромі дифузно визначаються поодинокі лейкоцити,
кількість яких зменшується, цілісність багатьох лейкоцитів порушена, наростає кількість лейкоцитарних
інфільтратів, виявляються поодинокі гістіоцити.
Через 2-3 доби після заподіяння травми починаються ознаки
організації: в стромі виявляється наростання лімфогістіоцитарної інфільтрації,
починається утворення тонкостінних судин зі стінок капілярів.
В
даний період травми в стромі також
визначаються ознаки компенсаторної гіпертрофії нефронів.
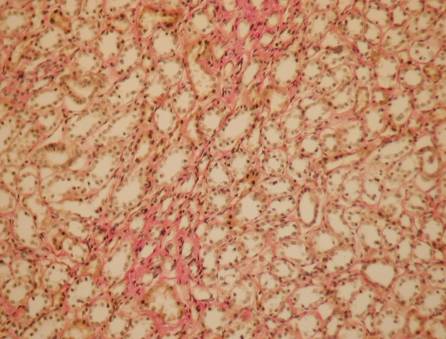
Ближче до 4-6 доби молода грануляційна тканина стає більш
зрілою, починається формування рубців. В даний термін заподіяння травми
виявляються вогнища склерозу в корковому шарі (рис. 2). Після 6 доби з моменту
отримання травми продовжуються процеси організації, деякий час ще зберігається
лімфогістіоцитарна інфільтрація, продовжується формування
судинно-тканинних рубців.

Рис. 2. Осередки
склерозу в корковому шарі (1) правої нирки у чоловіка, 48 років, який загинув від механічної травми. Давність
травми 4 доби. Забарвлення за Ван Гізон. Зб.: х. 200.
В зоні ушкодження в перші часи після травми
спостерігається порушення мікроциркуляції, спазм судин, ділянкові скупчення
еритроцитів з чіткими контурами, в центрі яких виявляється гемоліз їх окремих
груп, присутня домішка поодиноких лейкоцитів, гранулоцитів, мозковий та
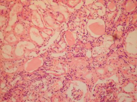
частково кірковий шари нирок інфільтровані (рис.3). Протягом 12-24 годин йде
розпад еритроцитів, навкруги зони ушкодження виявляється накопичення
лейкоцитів, а також починають з'являтися нитки фібрину, які формують
демаркаційний вал. Епітелій канальців безструктурний. В наступні 2-3 доби
виражений розпад еритроцитів, нитки фібрину формують добре виражений
демаркаційний вал, виявляється паренхіматозний некроз; в звивистих канальцях
спостерігається злущення епітелію та накопичення білка, що видно на рис. 4.

Рис. 3. Крововилив в
паренхіму правої нирки у жінки, 24 років, яка загинула від механічної травми.
Давність травми 6 годин. Забарвлення гематоксилін-еозином. Зб.: х. 200.

Рис. 4. Наявність
білка в просвіті канальців (1) правої нирки у чоловіка, 44 років, який загинув від механічної травми. Давність
травми 2 доби. Забарвлення за Ван Гізон. Зб.: х. 200.
В подальшому, в термін 4-6 годин після травми в корковому
шарі спостерігаються значні ділянки розростання сполучної тканини, окремі
клубочки заміщені волокнистою сполучною тканиною, в більшості звивистих
канальцях епітелій некротизований, в стромі коркового шару судини мають
потовщені стінки за рахунок волокнистої сполучної тканини з ознаками
еластофіброзу, в канальцях мозкового шару цитоплазма епітелію містить бурий
пігмент,в стромі мозкового слою виявляються ділянки розростання волокнистої
сполучної тканини. При гістологічному досліджені через 6 діб ділянки
розростання волокнистої сполучної тканини збільшуються, ділянки некротизації
епітелію в звивистих канальцях поширюються, продовжується заміщення клубочків
волокнистою сполучною тканиною, в цитоплазмі епітелію спостерігається бурий
пігмент.
Висновки. Таким чином, в результаті проведених досліджень нами виявлена закономірна
динаміка змін гістологічних показників нирок у загиблих, які померли внаслідок
заподіяних травм, що вказує на можливість розробки комплексу критеріїв для
оцінки встановлення давності виникнення ушкоджень внутрішніх органів
заочеревинного простору, зокрема нирок.
При
встановленні часу заподіяння травми обов'язково слід враховувати зовнішні та
внутрішні чинники, які могли спостерігатися у травмованих та померлих при
різноманітних видах травм, а саме: наявність захворювань, алкоголю, синдрому
взаємного обтяження, травматичної хвороби, індивідуальних особливостей
організму, обставин та механізму травми, наявність супутніх ушкоджень та
локалізацію, характер і обсяг самого ушкодження нирки.
Література
1.
Абакумов М.М. Повреждения живота при сочетанной травме /
М.М. Абакумов, Н. В. Лебедев, В.И. – М.: Медицина, 2005. -176 с.
2.
Антонюк М.Г. Аналіз летальності при тяжкій закритій
торакоабдомінальній травмі / М.Г. Антонюк // Клінічна хірургія. - 2003. - № 10.
- С. 26-28.
3.
Барамія Н.М. Помилки і складності у діагностиці і
медичної допомоги потерпілим з закритою торакоабдомінальною травмою на
догоспітальному етапі /Н.М. Барамія [та ін.] // Клінічна хірургія.-2003. - № 7.
- С. 44-46.
4.
Бойко В.В. Закрытая травма живота / В.В. Бойко, М.Г.
Кононенко. – Харьков: Б.и., 2008. – 528 с.
5.
Гайворонская В.И. Судебно-медицинская диагностика травм
от падения с высоты и столкновения автомобиля с человеком по особенностям
повреждений внутренних органов (математические методы оценки повреждений):
автореф. дис. … канд. мед. наук: 14.00.24 «Судебная медицина» / В.И.
Гайворонская . - М., 1997. - 21 с.
6.
Гедыгушев И.А. Судебно-медицинская экспертиза при
реконструкции обстоятельств и условий причинения повреждений (методология и
практика): автореф. дис. … д-ра мед. наук: 14.00.24 «Судебная медицина»/ И.А.
Гедыгушев. - М., 2000. - 28 с.
7.
Гридасов Е.В. К вопросу экспертной оценки морфодинамики
посттравматических реактивных изменений / Е.В. Гридасов, О.М. Виноградов //
Материалы VІ Всероссийского съезда судебных медиков. - Москва - Тюмень. - 2005.
– С. 78-79.
8.
Гыскэ А.В. Судебно-медицинская характеристика повреждений
почек при закрытой тупой травме живота: автореф. дис. … канд. мед. наук:
14.00.24 «Судебная медицина» / А.В. Гыксэ. - М., 1988. - 21 с.
9.
Дубов О.М. Тактика корекції порушень геодинаміки при
пораненнях живота / О.М. Дубов // Біль, знеболювання і інтенсивна терапія. -
2005. - № 3. - С. 54-58.
10.
Казарян В.М. Дефекты оказания медицинской помощи при
закрытой травме живота / В.М. Казарян // Судебно-медицинская экспертиза. -
2008. - № 4.- С. 37-39.
11.
Пиголкин Ю.И. Состояние и перспективы развития
морфологических исследований в судебной медицине / Ю.И. Пиголкин, Д.В.
Богомолов // Судебно-медицинская экспертиза. - 2001. - № 3. - С. 12-15.
12.
Сапожникова М.А. Морфология закрытой травмы груди и
живота / М.А. Сапожникова. - М.: Медицина, 1988. - 160 с.
13.
Шапошников Ю.Г. Повреждения живота / Ю.Г. Шапошников,
Е.А. Решетников, Т.Д. Михополус. - М.: Медицина, 1986. - 254 с.
14.
Шарифов А.Г. Повреждения внутренних органов живота при
разных способах приземления в случаях падения с высоты / А.Г. Шарифов //
Материалы 5 Всероссийского съезда судебных медиков: «Перспективы развития и
совершенствования судебно-медицинской службы Российской федерации. -
Москва-Астрахань. - 2000. - С. 190-191
15.
Цыбуляк Г.Н.
Лечение тяжелых и сочетанных повреждений / Г.Н. Цыбуляк. - Спб.: Гиппократ,
1995. - 432 с.
16.
Leppaniemi A. The role of laparoscopy in blunt abdominal
trauma / A. Leppaniemi [et al.] // Ann. Med. - 1996. - № 6. - P. 483-489.