Биологические науки / 2. Структурная ботаника и биохимия растений
М.Д. Алания, Н.Ш.Кавтарадзе, Дж.Н.Анели, К.З.Мчедлидзе
Тбилисский государственный медицинский университет;
Институт Фармакохимии им. И.Г. Кутателадзе, 0159, Грузия, Тбилиси, ул.
П.Сараджишвили 36, факс (99532) 52 00 23; e-mail: merialania @ yahoo.com
Фармакогностическое изучение
лекарственного сырья некоторых видов флоры Грузии
Флора Грузии богата растительностью в
связи с разнообразием эколого-географических зон. Многолетние исследования
растений флоры Грузии, проведенные в институте фармакохимии им.
И.Г.Кутателадзе, дали возможность выявить целый ряд таксономических групп,
являющихся потенциальным сырьем лекарственных препаратов, а также составляют
интерес для дальнейшего исследования с целью создания на их основе эффективных
лечебных средств [1].
Среди перспективных родов Urtica L. и Astragalus L. можно выделить следующие виды: Astragalus falcatus Lam., Astragalus bungeanus Boriss, Urtica dioica L.. Они
отличаются своим химическим составом и фармакологической активностью. Для них
характерны мочегонное, антиуремическое, лейкопоэтическое,
гипохолестеринемическое, кардиотоническое, иммуномодулирующее и другие действия
[2, 3].
Astragalus falcatus и
Astragalus bungeanus богаты
по содержанию фенольных, тритерпеновых и циклоартановых соединений. Из
надземных частей этих растений выделены и идентифицированы: робинин,
никотифлорин, апигенин, космоссиин, астрагалин, трифолин, изокверцитрин [2],
олигомерные производные кемпферола и кверцетина – фалкозиды A-E [4], глюкозид кониферилового спирта [5], гигантеозид
D [6], циклокантогенин, циклокантозид Е, циклогалегинозиды А и В [7]. Из надземных частей Urtica dioica
выделены и идентифицированы: кверцетин, изокверцитрин, гиперин, рутин,
кемпферол-3-О-тригалактозид, пеларгонидин-3O-β-D-глюко-дигалактозид, пеларгонидин-3O-β-D-ксилопиранозид, пеларгонидин-3-O-[ξ-(ванилил)-ксилозил]-ξ-ксилозид, кофейная
кислота, дегидродикинифериловый спирт; а из подземных органов – скополетин,
β-ситостерин, олеаноловая кислота [3].
Известно, что одным из важных разделов
фармакогностического анализа и стандартизации является определение подлинности
сырья на основе анатомических микродиагностических признаков. Учитывая, что
листья и цветки Astragalus falcatus являются сырьем антиуремического лекарственного
препарата – «Фларонин» [8], а также
тот факт, что ведутся работы по созданию
препарата иммуномодулирующего и лейкопоетического действия из надземных частей Astragalus bungeanus, а из корневищ с корнями Urtica dioica - средство для лечения аденомы предстательной железы,
было проведено изучение анатомического строения лекарственного сырья с целью
выявления диагностических признаков.
Анатомическое изучение проводили по
общепринятым методикам [9]. Срезы готовили от руки и проссматривали на
микроскопе «МБД-1», анатомические рисунки выполняли с помощью рисовального
аппарата РА-7У. Микроскопические фотоснимки были получены посредством аппарата
«Ергаваль» (Карл Цейсс, Иена). Образцы для исследования были собраны в
окрестностях г. Тбилиси.
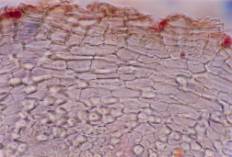
Анатомическое строение листа и цветка Astragalus falcatus. Эпидермис верхней стороны листа представлен
основоположными широковеретеносеночными клетками прямолинейного клана (Рис.1).
Основоположные кривостеночные клетки 1-го порядка нижнего эпидермиса относятся к криволинейному клану. Лист Astragalus falcatus гипостоматический.
На нижнем эпидермисе видны устьица,
окруженные 3-5 клетками (аномоцитный тип) (Рис. 2а). Здесь также наблюдаются
многочисленные волоски, особенно вдоль основной оси листа; они состоят из 2
клеток; на одной, более мелкой клетке прикреплена длинная, лентовидная клетка с
узкими концами (Рис. 2b). По краям
листа эти волоски видны с боку, тогда они по форме напоминают букву «Т» (Рис.
3), т.е. их можно назвать «Т»-образными. Сверху волоски имеют вид длиной клетки
с узкими концами, которая прикреплена к «ножке» не по центру, а вблизи к одному
из окончаний.
Рис.1. Эпидермис верхненей Рис.2. Эпидермис нижней
Рис.3.
«Т»-образный волосок стороны; ´ 200
листа Astragalus falcatus; ´ 300 стороны листа Astragalus falcatus; ´ 300
Основоположные клетки эпидермиса
чашелистиков представлены клетками гнутостеночного типа прямолинейного клана
(Рис. 4a). Чашечка обыльно опушена длиными, одноклеточными,
конусовидными волосками (Рис. 5A, 5B) с толстой оболочкой и грубобородавчатой поверхностью
(Рис. 4a, 5C). Эпидермис
лепестков венчика состоит из кривостеночными основоположными клетками
криволинейного клана (Рис. 4b). Опушение
также замечается по краям лепестков. Волоски лепестков «Т»-образные (Рис. 5D, 5E).
Рис.4. а) Эпидермис чашелистика; b) Эпидермис лепестков Astragalus Рис.5. А, В) Волоски чашелистика; ´ 100
Astragalus falcatus; ´ 300 falcatus; ´ 300 С) волосок
чашелистика; ´ 200
D, Е) «Т»-образные волоски; ´ 200
Анатомическое строение надземных частей Astragalus bungeanus.
Основоположные клетки верхнего и нижнего эпидермиса пластинки листа
кривостеночные 2-го порядка, относятся к криволинейному клану (Рис. 6.1; 6.2);
на нижнем эпидермисе наблюдаются мелкие устьица, окруженные 3-5 клетками
(аномоцитный тип). Прилегающие к устьицам некоторые клетки имеют бороздчатые
утолщения. Нижняя сторона листа опушена «Т»-образными остроконечными волосками
с мелкими зубчиковыми утолщениями. Волоски имеют вертикально-парралельную
ориентацию (Рис. 6.2). Инервация листа сетчатая (Рис. 6.3).
Рис.6. 1) Верхный эпидермис листа Astragalus bungeanus; ´ 300 Рис. 7. 1) Поперечный срез
стебля Astragalus bungeanus; ´ 150
2) Нижный эпидермис
листа Astragalus bungeanus; ´ 300 2) Поперечный срез стебля Astragalus bungeanus; ´ 200
3) Инервация листа
Astragalus bungeanus; ´ 10
4) Поперечный срез
черешка листа Astragalus bungeanus; ´ 100
5) Мезофил листа Astragalus bungeanus; ´ 200
В мезофиле черешка листа в виде
треугольника распределены 5 изолированных проводящих сложных пучков (Рис. 6.4).
В пучках кроме ксилемы и луба имеются лубяные склеренхимные колпачки и
перимедулярные арматурные элементы. Лист дорзивентральный, гипостоматический;
ассимиляционная ткань представлена из двух рядов палисадной паренхимы и трех
ярусов плотной губчатой паренхимы (Рис. 6.5). На поперечном срезе стебля в
междуузлиях видны расположенные в круг
проводящие пучки (Рис. 7.1). Часть пучков более плотно примкнувшие друг к
другу, другая часть с некоторыми просветами первичных радиальных лучей. Целый
срез круглый, более-менее ребристый; в четырех углах более мошно развита
уголковая колленхима. Вся окружность стебля опоясена слабо развитой колленхимой.
Лубяные волокна расположены в виде преривистых тяжей. В ксилемной части пучка
больше половины занимает либриформ; сосуды
мелкие и расположены как по рядам, так и хаотично. В коре между
колленхимными островками расположена хлоренхима. Сердцевина составлена
паренхимными клетками круглого очертания. Узел трех лакунный; в каждой лакуне
по одному пучку (Рис. 7.2); проводящие пучки листовых следов одновременно
внедряются в стебель.

Рис. 8. 1) Поперечный срез цветоножки; ´ 150
2) Эпидермис цветоножки; ´ 300
На поперечном срезе цветоножки видны
большие бугорки с уголковой колленхимой (Рис. 8.1); в промежутках колленхимы
преривыстые полосы хлоренхимы; вниз колленхимных бугорков расположены почти
оголенные биколлатеральные мелкие пучки. Вокруг цветоножки разбросаны
одноклеточные сидячие железки. Цветоножка обильно опушена ровноутолщенными
«Т»-образными остроконечными волосками (Рис. 8.2). Под слоем волосков (после их
удаления) видны тангетально протянутые клетки с прямыми стенками (Рис. 8.2); в
некоторых местах замечаются места
прикрепления «Т»-образных волосков.
Анатомическое строение корневищ с
корнями крапивы двудомной. Корневище
имеет четко выраженные 4 граней. Снаружи покрыто отслаивающимся местами
пробкой. Прилегающих к нему оболочки клеток утолщены неравномерно и образуют
типичную пластинчатую колленхиму (Рис. 9), в углах она более массивная, а по
кольце составляет лишь 1-2 ряда с более слабыми утолщениями клеточных стенок.
Паренхима коры представлена округленными, тонкостенными, плотно прилегающими
друг к другу клетками (Рис. 9). Здесь дифференцированы механические волокна,
расположенные одиночно или группами. В кольце ксилемы между проводящими пучками
имеется паренхима, представленная тонкостенными плотно прилегающими друг к
другу клетками почти квадратной формы (Рис. 9), содержащие включения в виде
крахмальных зерен. Элементы ксилемы расположены радиальными тяжами, клиновидно
расширяющимися к периферии (Рис. 10); они
разделены многорядными сердцевинными лучами. Паренхмиу ксилемы составляют
расчлененные и нерасчлененные, расположенные хаотично сосуды имеющие кольчатые
и спиральные утолщения стенок (Рис. 11).
Рис. 9. Поперечный срез
корневища Urtica dioica; ´ 80 Рис. 10. Поперечный срез корневища Urtica dioica;
элементы
ксилемы; ´ 80

Рис. 11.
Паренхима ксилемы; ´ 200 Рис.
12. Паренхима сердцевины; ´ 200
Флоэма представлена тонкостенными, четко
ограненными более-менее плотно прилегшими друг к другу мелкими клетками; в
некоторых местах в ткань флоэмы вторгнуты радиальные полиархные лучи. Клетки
сердцевины тонкостенные, почти изодиаметрические (Рис. 12). С возрастом в
сердцевине появляется полость.
На поперечном срезе корня видна пробка
(Рис. 13). Паренхима вторичной коры
представлена тонкостенными, плотно прилегающими, округленными клетками
(Рис. 14). Механические волокна одиночно или группами сконцентрированы в
паренхиме вторичной коры. Они также заметны во флоэме (Рис.14) и
характеризуются ограненными, тонкостенными, плотноприлегающими клетками.
Рис. 13. Поперечный срез корня Urtica dioica; ´ 80 Рис. 14. Паренхима коры; ´165
Камбий состоит из 3-4 слоев клеток.
Вторичная древесина представлена либриформом (Рис. 15) и кольчатыми и
спиральными сосудами расположенными хаотично. Полиархные радиальные лучи четко
вырожены (Рис. 16) и характеризуются плотноприлегающими, тонкостенными клетками
почти квадратной формы, содержащие включения в виде крахмальных зерен.
Рис.15. Сосуды
древесины корня; ´160 Рис. 16. Полиархные
радиальные лучи корня; ´165
Рис. 17. Элементы первычной ксилемы в сердцевине; ´165
Центральная часть цилиндра корня
представлена округленными, тонкостенными, плотноприлегающими, относительно
больших размеров к периферии клетками в которых включены элементы первичной
ксилемы (Рис. 17).
Изучением анатомического строения органов
растений Astragalus falcatus Lam., Astragalus bungeanus Boriss, Urtica dioica L. выявлены
микродиагностические признаки, которые легли в основу определения
доброкачественности лекарственного сырья и вошли в соответствующих
нормативно-техниченских документах.
Литература:
1.
Биологически активные
вещества флоры Грузии. Сборник трудов ин-та фармакохимии им. И.Г.Кутателадзе,
«Мецниереба», Тбилиси, 1987, 209 с.
2.
М.Д.Алания,
Э.П.Кемертелидзе, Н.Ф.Комиссаренко. Флавоноиды некоторых видов Astragalus L. флоры
Грузии, «Мецниереба», Тбилиси, 2002, 150 с.
3.
Н.Ш.Кавтарадзе.
Фенольные соединения Urtica
dioica и Urtica
urens, произрастающих в Грузии. Автореф. канд. дисс. ,
Тбилиси, 2005, 60 с.
4.
М.Д. Алания, Н.Ш.
Кавтарадзе, А.В. Схиртладзе, М.Г.Сутиашвили. Химия природ. соедин., 2011, 337
5.
М.Д. Алания, Н.Ш.
Кавтарадзе, В.Д. Мшвилдадзе, S. Lavoie, A. Pichette. Химия природ. соедин.,
2007,
586
6.
М.Д. Алания, Л.Н.
Гвазава, В.С. Киколадзе. Известия АН Грузии, серия химическая, 22, №1-4, 1996
7.
М.Д.Алания, Н.Ш.Кавтарадзе,
Serge Lavoie , Andre Pichette,
В.Д. Мшвилдадзе, З.З. Апакидзе. Химия природ. соедин., 2010, 849
8.
Способ получения
робинина. А.С. №484875, 24.05.1975
9.
Государственная
фармакопея Грузии, т.II, Тбилиси,
2003, 453с.