Медицина / 8. Морфология
1К.мед.н.
Назымок Е.В., к.мед.н. Процак Т.В., к.мед.н. Гаина Н.И.
1Кафедра анатомии,
топографической анатомии и оперативной хирургии
Буковинского государственного медицинского
университета, Черновцы, Украина
Кафедра анатомии человека имени Н.Г.Туркевича Буковинского государственного медицинского университета, Черновцы,
Украина
ГИСТОЛОГИЧЕСКИЕ ОСОБЕННОСТИ СТРОЕНИЯ ДИСТАЛЬНОГО ОТДЕЛА СИГМОВИДНОЙ
ОБОДОЧНОЙ КИШКИ В ПЛОДНОМ ПЕРИОДЕ
На современном этапе развития морфологии, как
науки, актуальным направлением становится изучение возрастной анатомии [1-2]. Прежде всего, это
касается установления точных данных об особенностях развития, становления
топографии микроскопического строения пищеварительного тракта в целом и дистального
отдела сигмовидной ободочной кишки в частности. В научной литературе освещены
разрозненные данные о ембриотопографии сигмовидной ободочной кишке [3-5]. Возникает
необходимость дополнить данные о гистологическом строении дистального
отдела сигмовидной ободочной кишки в плодном периоде развития.
Гистологическое исследование проведено на 30 трупах (18 – женского
пола, 12 – мужского) 4-6 месяцев (161,0-290,0 мм ТПД) и 31 плод (14 женского
пола, 17 мужского пола) 7-9 месяцев (305,0 -420,0 мм ТПД).
Морфометрические показатели стенки дистального отдела сигмовидной
ободочной кишки указывают на увеличение толщины подслизистой основы и циркулярного
слоя мышечной оболочки в динамике плодного периода
(табл. 1).
Таблица 1
Морфометрические показатели стенки
дистального отдела сигмовидной ободочной кишки в плодном периоде онтогенеза (
±
, мкм, n=61)
|
Облочки
сигмовидной ободочной кишки |
Толщина
оболочек дистального отдела сигмовидной ободочной кишки у плодов 4-6 месяцев
(мкм) |
Толщина
оболочек дистального отдела сигмовидной ободочной кишки у плодов 7-9 месяцев
(мкм) |
|
Слизистая оболочка |
95±7,01 |
130,8±9,7 |
|
Подслизистая основа |
80±4,8 |
117,7±11,7 |
|
Циркулярный слой
мышечной оболочки |
45,5±1,8 |
123±16 |
|
Продольный слой
мышечной оболочки |
36±1,5 |
47,5±5,9 |
|
Серозная оболочка |
9,6±0,4 |
18,1±2,6 |
Установлено, что слизистая оболочка дистального отдела сигмовидной
ободочной кишки во втором триместре внутриутробного развития представлена
криптами, количество которых постепенно уменьшается в направлении прямой кишки.
Собственная пластинка слизистой оболочки образована рыхлой волокнистой
соединительной тканью. Мышечная пластинка слизистой оболочки представлена
хорошо развитыми пучками гладких мышечных клеток. Подслизистая оболочка
представлена рыхлой волокнистой соединительной тканью, содержит малое
количество эластических и коллагеновых волокон. Толщина циркулярного мышечного
слоя преобладает над продольным по направлению к сигморектальному переходу.
Серозная оболочка представлена рыхлой волокнистой соединительной тканью,
которая покрыта однослойным плоским эпителием (рис. 1).

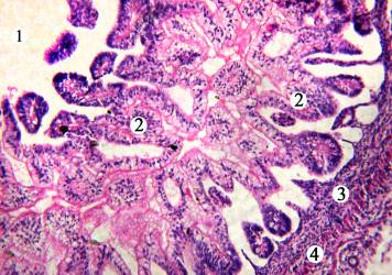
Рис. 1. Слизистая оболочка дистального отдела сигмовидной ободочной
кишки плода 260,0 мм ТПД. Микропрепарат. Окраска гематоксилином и эозином. Об.
8х, ок. 7х: 1 – просвет кишки; 2 – крипты; 3 – собственная пластинка слизистой
оболочки; 4 – мышечная пластинка слизистой оболочки.
При микроскопическом изучении стенки дистального отдела
сигмовидной ободочной кишки у плодов 7-9 месяцев внутриутробного развития
выяснено, что толщина слизистой оболочки уменьшается по сравнению с первой
половиной плодного периода. Ворсинки отсутствуют, происходит процесс редукции
крипт. Около 1/3 крипт исчезает. Рельеф слизистой оболочки представлен
однослойным призматическим эпителием, среди клеток которого визуализируются
бокаловидные клетки. Бокаловидные клетки залегают между столбчатыми
эпителиоцитами с каймой, которые начинают четко дифференцироваться в
эпителиальном пласте. У основания кишечных крипт лежат столбчатые эпителиоциты
без каймы и одиночно локализуются эндокриноциты. Собственная пластинка
слизистой оболочки дистального отдела сигмовидной ободочной кишки четко
визуализируется в составе слизистой оболочки плодов 7-9 месяцев, образована
рыхлой волокнистой соединительной тканью. Мышечная пластинка слизистой оболочки
дистального отдела сигмовидной ободочной кишки у плодов данного периода хорошо
выражена и представлена двумя слоями гладких мышечных клеток, среди которых
внутренний слой образован преимущественно циркулярно расположенными гладкими
миоцитами, а во внешнем – клетки ориентированы преимущественно продольно.
Следует заметить, что гладкие миоциты во внутреннем слое располагаются плотнее,
чем во внешнем. Слизистая оболочка дистального отдела сигмовидной ободочной
кишки в непосредственной близости сигморектального перехода не содержит
складок, в то же время дистальнее появляются беспорядочно расположенные
складки. Подслизистая основа дистального отдела сигмовидной ободочной кишки у
плодов 7-9 месяцев представлена рыхлой волокнистой соединительной тканью,
которая образована многочисленными клетками и волокнистыми структурами.

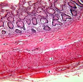
Рис. 2. Стенка дистального отдела
сигмовидной ободочной кишки плода 315,0 мм ТПД. Микропрепарат. Окраска
гематоксилином и эозином. Об. 3,5х, ок. 12х: 1 – слизистая оболочка; 2 –
подслизистая основа; 3 – мышечная оболочка; 4 – серозная оболочка.
При светооптическом исследовании мышечной оболочки
дистального отдела сигмовидной ободочной кишки у плодов 7-9 месяцев, отмечается
постепенное увеличение толщины циркулярного мышечного слоя относительно
продольного, по направлению к сигморектальному переходу. Серозная оболочка
дистального отдела сигмовидной ободочной кишки представлена рыхлой волокнистой
соединительной тканью, которая покрыта однослойным плоским эпителием и содержит
большое количество кровеносных сосудов (см. рис. 2).
Выводы. 1. Слизистая
оболочка дистального отдела сигмовидной ободочной кишки в непосредственной
близости сигморектального перехода не содержит складок, в то же время
дистальнее появляются беспорядочно расположенные складки. 2. В динамике плодного периода происходит
увеличение толщины циркулярного слоя мышечной оболочки.
ЛИТЕРАТУРА
1.
Волкова О.В. Эмбриогенез и возрастная гистология внутренних
органов человека / О.В.Волкова,
М.И.Пекарский. – М.: Медицина, 1976. – 414 с.
2.
Быков
В.Л. Частная гистология человека (краткий обзорный курс) / Быков В.Л. – СПб: Сотис,
1997. – 300 с.
3.
Bharucha
A.E. Recent advances in assessing anorectal structure and functions /
A.E.Bharucha, J.G.Fletcher. – Gastroenterology. – 2007. – V. 133, № 4. – P.
1069-1074.
4.
Rectosigmoid
junction: anatomical, histological, and radiological studies with special
reference to a sphincteric function / A.Shafik, S.Doss, S.Asaad [et al.] //
Int. J. Colorectal Dis. – 1999. – V. 14. - P. 237-244.
5.
Stoss F.
Investigations of the muscular architecture of the rectosigmoid junction in
humans / F.Stoss // Dis. Col. Rect. – 1990. – V. 33. – P. 378-383.