Қанаев Ә.Т., Айдарәлиева
И.Т., Дәулетбаева М.М.
Абай ат.Қазақ ұлттық
педагогикалық университеті
МИКОТРОФТЫЛЫҚТЫҢ
АСҚАБАҚ (CUCURBITA MAXIMA DUCH.) ТАМЫРЫ
МЕН
ЖАПЫРАҒЫНА ЭКОМОРФОЛОГИЯЛЫҚ
ӘСЕРІ
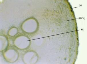
Асқабақ тамыры экоморфоанатомиялық структурасына
микоризаның әсері. Бізді қызықтырған мәселенің бірі микоризалы
саңырауқұлақтардың асқабақ
өсімдігінің экоморфоанатомиялық
структурасына микоризаның әсерін анықтау
болатын. Тәжірибе мағлұматтарынан
асқабақ тамырының сыртын филогенетикалық және
онтогенетикалық ең
бірінші пайда болған жоғары маманданған ұлпа - эпидерма қаптағаны
көрінеді (сурет 1а; 4) [1-3]. Эпидерма
өзінің құрылысының үлкен күрделілігімен және
жоғары маманданған
клеткаларымен ерекшеленеді. Оның қызметі екі жақты
және
қарама-қарсы. Бір
жағынан өсімдікті
сыртқы ортаның
әртүрлі
қолайсыз жағдайларынан қорғаса, екінші
жағынан сыртқы ортамен тығыз байланыстырады, яғни
жарықтың өтуін, газ алмасуды қамтамасыз етеді.
Жабындық ұлпа клеткалары тығыз орналасқан. Эпидерма
клеткаларының қабықшалары бірдей емес, олар
әртүрлі қалыңдаған. Бүйір және ішкі
қабырғасы сыртқы қабырғасымен салыстырғанда
жұқалау. Эпидерма бетін бір
қатарлы кутикула қабаты жабады. Тамыр эпидермасында бір клеткалы
трихомалық клеткаларды көруге болады [4,5].
Қабық паренхимасының перифериялық
бөлігіндегі 2-3 қатар клеткаларының қабырғалары
қалыңдап - экзодерма қабатын түзген. Қабық
паренхимасы көп қабатты. Алғашқы қабық
эндодерма қабатымен аяқталады. Эндодерманың тамырдың
бетіне перпендикуляр орналасқан клетка
қабырғаларында Каспари
белдеушелері болады. Эндодерма
клеткаларының ішкі және тангентальды қабырғалары
қалыңдаған. Тамырдың өткізгіш жүйесі
радиальді орналасқан түтікті талшықты шоқтардан
құралған. Флоэма ксилема түтіктерінің аралықтарында
орналасқан (кесте 1, сурет 1а,б).
Асқабақ тамырының
экоморфоструктурасының морфометриялық параметрлеріне
статистикалық талдау мәліметтері бойынша эпидерма
қабатының бақылау нұсқасында өскен
асқабақта 63,2 мкм, ал эндомикоризалардың
ықпалымен микоризалы өсімдікте 75,4 мкм-ге жеткен.
Сонымен бірге асқабақтың ксилема түтік
аудандарындағы көрсеткіштерінде де айырмашылықтар бар.
Бақылау нұсқасында зерттелген асқабақта алғашқы қабықтың қалыңдығы
- 160,4 мкм болса, ал микоризасы бар өсімдікте - 197,04 мкм екендігін
көрсетті. Сондай-ақ микоризалы және бақылау
нұсқаларын салыстырғанда тамырдың ксилема
түтіктерінің ауданында айтарлықтай айырмашылық болды.
Кесте 1 – Асқабақ
тұқымдас өсімдіктердің
тамырларының экоморфоанатомиялық
структурасының ерекшеліктері
|
Өсімдік түрлері |
Нұсқа |
Эпидерма қалыңдығы, мкм |
Алғашқы қабық
қалыңдығы, мкм |
Ксилема түтiк ауданы, х10-3 мм2 |
|
|
|
Асқабақ |
бақылау |
63,2 ± 1,1 |
160,4 ± 4,8 |
11,7 ± 0,6 |
|
|
|
микоризалы |
75,4 ±1,3 |
197,04 ± 9,3 |
14,3 ± 1,9 |
|
||
|
Патиссон |
бақылау
|
40,9 ± 1,9 |
84,1 ± 1,6 |
10,1 ± 0,4 |
|
|
|
микоризалы |
58,1 ± 2,4 |
90,1 ± 2,2 |
12,1 ± 0,5 |
|
||
|
Кәді |
бақылау
|
50,28 ±
2,01 |
95,3 ± 4,6 |
10,1 ± 1,2 |
|
|
|
микоризалы |
64,86 ± 1,08 |
118,9 ± 1,6 |
16,8 ± 0,5 |
|
||
|
Қияр |
бақылау
|
50,9 ± 1,9 |
84,1 ± 1,1 |
21,1 ± 0,9 |
|
|
|
микоризалы |
52,1 ± 0,4 |
86,1 ± 0,2 |
24,1 ± 0,5 |
|
||
|
А |
Б |
|||||
А-бақылау,
Б-микоризалы
Сурет 1 - Асқабақ
тамырының экоморфоанатомиялық структурасы (х 280)
Арбускулалы-везикулалы микоризалы
саңырауқұлақтарға өсімдіктің
микоризалы өсімдікті бақылау нұсқасымен
салыстырғанда экоморфоструктурасының қалыптасуына
оңтайлы әсер көрсететіні анықталды.
Асқабақ жапырағының экоморфоанатомиялық структурасына микоризаның әсері. Жапырақ өркеннің
бүйірлік өскіні болғандықтан жабындық, механикалық және өткізгіш
ұлпалардан тұрады. Өсімдіктің ішкі
құрылысының мәліметтерін кесте 2 және суреттер 2;
3; 5 а,б-дан көреміз. Асқабақ жапырағының жабындық ұлпасы - эпидерма бір
қатарлы паренхималық клеткалардан құралған.
Эпидерма сыртқы ортамен қарым-қатынаста болатын ұлпа
болғандықтан үш типті клеткалардан тұрады:
жабындық, түйістіргіш устьица клеткалары және трихобластар.
Жабындық клеткалардың орналасуы өте тығыз,
клеткааралықсыз. Жапырақтың көлденең кесіндісінде
эпидерма клеткаларының пішіні таспалы тәрізді. Эпидерма сыртын
тегіс кутикула қаптаған.
Ассимиляциялық
ұлпа екі түрлі: бағаналы және борпылдақ мезофилл
клеткаларынан құралған. Асқабақ
жапырағының бағаналы мезофиллі екі қатарлы тығыз
орналасқан клеткалардан
тұрады. Борпылдақ мезофиллі 5-6 қатарлы әртүрлі пішінді,
шашыранқы, клеткааралықтары жақсы айқындалған
клеткалардан құралған.
Арбускулалы-везикулалы
микоризалық саңырауқұлақтардың
асқабақтың тамырында көптеп енуінен
жапырақтың микоризалы нұсқасындағы
жоғарғы эпидерма қабатының қалыңдығы
9,4 мкм, бақылау түріндегі
мөлшері 6,02 мкм
шамасында. Микоризалы өсімдіктегі
төменгі эпидерма қалыңдығы 6,04 мкм, бақылау
нұсқасындағы 5,00 мкм-ға жетеді.
Эндомикоризаның
әсерінен жапырақтағы мезофилл қабаттарының
қалыңдығы да микоризалы және бақылау
нұсқасындағы асқабақтың
экоморфоструктурасында айырмашылықтар болатыны айқындалды. Микориза
саңырауқұлағы бар асқабақтағы
бағаналы мезофилл қабатының қалыңдығы 39,4
мкм, бақылау түрінде 26,01 мкм-ге дейін өсіп-жетілген.
Микоризалы нұсқада зерттелген асқабақтың
борпылдақ қабатының қалыңдығы 38,1мкм,
бақылау нұсқасында 35,4 мкм.
Кесте 2- Асқабақ
тұқымдас өсімдіктердің
жапырағының экоморфоанатомиялық
структурасының ерекшеліктері
|
Өсімдік
түрлері |
Нұсқа |
Эпидерма қабатының
қалыңдығы, мкм |
Мезофилл
қабатының қалыңдығы, мкм |
Өткізгіш шоқ ауданы х 10-3 мм2 |
||
|
жоғарғы |
төменгі |
бағаналы |
борпылдақ |
|||
|
Асқабақ |
бақылау |
6,02
± 0,7 |
5,00 ± 0,01 |
26,01
± 0,4 |
35,4
± 0,2 |
16,02 ±0,7 |
|
микоризалы |
9,4
± 0,4 |
6,04 ± 0,03 |
39,4
± 0,4 |
38,1
± 0,2 |
19,4
± 0,4 |
|
|
Патиссон |
бақылау |
5,6
± 0,2 |
4,06 ± 0,02 |
21,6
± 0,2 |
25,6
± 0,1 |
15,6
± 0,2 |
|
микоризалы |
6,2
± 0,3 |
4,89 ± 0,01 |
23,5
± 0,4 |
26,7
± 0,3 |
16,2
± 0,3 |
|
|
Кәді |
бақылау |
5,7
± 0,2 |
6,7 ± 0,2 |
22,7
± 0,3 |
25,7
± 0,1 |
15,7
± 0,2 |
|
микоризалы |
8,3
± 0,1 |
7,3 ± 0,6 |
24,1
± 0,2 |
28,8
± 0,8 |
18,3
± 0,1 |
|
|
Қияр |
бақылау |
6,6
± 0,2 |
6,1 ± 0,4 |
16,5
± 0,7 |
36,6
± 0,2 |
16,6
± 0,2 |
|
микоризалы |
7,2
± 0,4 |
7,9
± 0,1 |
17,8
± 0,5 |
37,7
± 0,4 |
17,2
± 0,4 |
|
|
бағ.мф т т.эп б.т б.мф ж.эп |
Сурет 2 - Асқабақ жапырағының
экоморфологиялық құрылысы (х 840) |
Өсімдіктің
ағыс жолдарын көрсететін өткізгіш шоқтың
структурасының қалыптасуына да арбускулалы-везикулалы микоризалы
саңырауқұлақтар өзінің әсерін
тигізеді. Микоризалы топырақта зерттелген асқабақтың
өткізгіш шоғының ауданы 19,4 х 10-3 мм2,
бақылау түрінде зерттелген өсімдікте 16,02
х 10-3
мм2 мөлшерде.
Жапырақтың
экоморфоструктурасын статистикалық талдау барысында микоризалық
саңырауқұлақтардың тамыр жүйесінде
шоғырлануына байланысты бірқатар ерекшеліктер байқалды:
эпидерма қабатының қалындығы, бағаналы мезофилл қабатының
қалындығы бақылау нұсқасындағы
өсімдікпен салыстырғанда микоризалы нұсқаларында
жақсы дамыған. Сонымен қатар эндомикоризалы
саңырауқұлақтар ықпалымен ксилема
түтіктерінің ауданы да микоризалы өсімдікте
ұлғайған. Бұл арбускулалы-везикулалық микориза
саңырауқұлақтарының асқабақ
өсімдігінің экоморфоанатомиялық структурасына әсер
көресетеді.
|
А |
Б |
А-бақылау,
Б-микоризалы
Сурет 3 - Асқабақ
жапырағының экоморфоанатомиялық
структурасы (х 592)
Асқабақ өсімдігінің
тамырларының экологиялық-анатомиялық ерекшеліктері сурет 4-да
бейнеленген. Сурет 4-да асқабақ өсімдігінің тамыр
жүйесінің ксилема түтік ауданының микоризалы
нұсқада үлкен болатыны, алғашқы қабығы және эпидермис қабатының қалың
қалыптасатыны көрінеді.
Диаграммадағы
сурет бойынша эндомикоризалы саңырауқұлақтар
өсімдіктің тамыр жүйесін қажетті элементтермен
қамтамасыз ете отырып, асқабақ дақылының экоморфоанатомиялық структурасының жақсы
қалыптасуына мүмкіндік жасайтынын байқаймыз.
Асқабақ
тұқымдас өсімдіктердің жапырақтарының экоморфоанатомиялық структуралық ерекшеліктері
көрсетілген сурет 5-нан микоризалы саңырауқұлағы бар
нұсқасынан өткізгіш ауданның көлемі артқаны
көрінеді. Борпыладақ қабатының, мезофил қабаттарының
және эпидермис қабаттарының қалыңдау
түзілетіні көрінеді. Диаграма мәліметтеріне
қарағанда эндомикоризалы саңырауқұлақтар
жапырақ структурасының дұрыс қаыптасуына әсерін
тигізетінін көреміз.

Сурет 4 -
Асқабақ тұқымдас өсімдіктердің
тамырларының
экоморфоанатомиялық структуралық ерекшеліктері

Сурет 5 - Асқабақ тұқымдас
өсімдіктердің жапырақтарының экоморфоанатомиялық структуралық ерекшеліктері
Зерттеу жұмысымыздың келесі мақсатының
бірі микоризалы саңырауқұлақтардың патиссон
өсімдігінің тамыры мен жапырағына ықпалын
анықтау.
Пайдаланған
әдебиеттер тізімі
1
Голышин Н.М. Фунгициды. -М.: Колос, 1993. -319 с.
2
Пронина Н.Б. Экологические стрессы. -М.: МСХА, 2000, -310 с.
3
Захваткин
Ю.А. Основы общей и сельско-хозяйственной экологии. М.: Мир, 2003. -С. 332-359.
4
Горленко М.В. Краткий курс иммунитета растений к инфекционным заболеваниям. -М.: Агропромиздат, 1973. -210 с.
5
Листопадов И.Н. Строение корневой системы арбузов //Научные тр. НИИ овощного хозяйства. -М.,
1965.-Т.3.-С.56-58.