СПОСОБЫ
ВЫДЕЛЕНИЕ БАКТЕРИОЦИНОВ ИЗ МИКРООРГАНИЗМОВ, ПОЛУЧЕННЫХ ИЗ РАСТИТЕЛЬНЫХ
МАТЕРИАЛОВ
Дышлюк Л.С., Зимина М.И., Бабич О.О., Милентьева И.С.
ФГБОУ ВПО
«Кемеровский технологический институт пищевой промышленности», г. Кемерово
Бактериоцины – это антибактериальные
вещества белковой природы, вырабатываемые бактериями и подавляющие
жизнедеятельность других штаммов того же вида или родственных видов.
Способностью к синтезу бактериоцинов обладают как грамположительные, так и
грамотрицательные бактерии. Исследователи рассматривают бактериоцины в качестве
потенциальных антимикробных лекарственных веществ и консервантов, подавляющих
рост и развитие патогенных и условно патогенных бактерий и дрожжевых грибов.
Известно, что антибиотики оказывают многочисленные побочные действия, негативно
сказывающиеся на организме человека, в то же время бактериоцины и продуцирующие
их штаммы посредством избирательного воздействия на микрофлору нормализуют
микробный ценоз при некоторых патологиях у человека и животных.
Интерес к использованию
бактериоцинов, образуемых лактококками, резко возрос. Одним из главных аспектов
этого интереса является возросший спрос потребителей к качеству продуктов
питания и их безопасности для здоровья, поскольку широко используемые
химические консерванты и некоторые антибиотики, увеличивающие срок хранения продуктов
питания, вызывают опасения.
Синтез бактериоцинов – наследственная
особенность микроорганизмов, проявляющаяся в том, что каждый штамм способен
образовывать один или несколько определенных, строго специфичных для него
антибиотических веществ. В большинстве популяций лактококков синтез
бактериоцинов можно индуцировать генно-инженерными методами, различными
физико-химическими воздействиями: ультрафиолетовыми лучами, мутагенами
химической природы, ДНК-тропными веществами, перекисями и другими агентами
В настоящее время учёные многих
лабораторий мира изучают пути и способы направленного синтеза бактериоцинов для
создания биологическим путем различных модификаций уже известных бактериоцинов,
но с более ценными свойствами или пытаются получить новые природные сбалансированные бактериоциногенные
комплексы, безопасные для использования в качестве биоконсервантов.
Возможность конструирования новых антимикробных аналогов (бактериоцинов) в
перспективе может оказаться главным методом борьбы с антибиотикоустойчивыми
патогенными бактериями. Особый научный интерес представляют молочнокислые
стрептококки серологической группы N,
которые по систематическому положению недавно выделены из группы
микроорганизмов рода Streptococcus,
включающего патогенные формы, и под новым названием Lactococcus отнесены
к категории «GRAS», куда отнесены
микроорганизмы, не вызывающие инфекционных заболеваний человека и животных.
Бактериоцины молочнокислых бактерий
представляет собой довольно гетерогенную группу бактериальных ингибиторов,
молекулярный вес которых колеблется в широких пределах (от нескольких тысяч Да
до сложных протеиновых структур, имеющих в своем составе липидный компонент).
На основании физико-химических свойств, аминокислотного состава, способов
выведения, а также антимикробного спектра действия бактериоцины разделяют на
три класса: I, II, III: класс I – лантибиотики, представляющие собой пептиды с
модифицированными аминокислотами (лантионин, метилллантионин); класс II –
небольшие (<10 кДа), относительно термоустойчивые немодифицированные
бактериоцины; класс III – большие, термолабильные белки.
Известны
бактериоцины, оказывающие антимикробный эффект за счет действия на клеточную
стенку путем индукции автолиза и деградации пептидогликана, при этом происходит
повреждение цитоплазматической мембраны за счет образования пор и увеличения ее
проницаемости, а также путем подавления синтеза белков, ДНК или РНК.
Бактериоцины не действуют на бактериоциногенные популяции, способные
осуществлять синтез гомологичных антибактериальных веществ. Адсорбция колицинов
на чувствительных клетках ведет к подавлению синтеза ДНК, РНК и белка.
Бактериоцины
осуществляют естественное предохранение пищевых продуктов, в том числе
полученных путем ферментации. Продуцирующие бактериоцины штаммы микроорганизмов,
в частности молочнокислые бактерии, или сами бактериоцины могут быть использованы
как природные консерванты пищевых продуктов. Задача состоит в том, чтобы
оптимизировать продуцирование бактериоцинов бактериями, повысить активность и
стабильность этих соединений, направленно получать бактериоцины с заданными
свойствами. Однако появление и селекция вариантов бактерий, устойчивых к
бактериоцинам, осложняет использование этих веществ в качестве пищевых консервантов.
Считают, что молочнокислые бактерии из
родов Lactococcus, Lactobacillus, Pediococcus, Leuconostoc,
образующие антибактериальные вещества, в частности бактериоцины, могут
использоваться для консервации пищи. Из молочнокислых бактерий выделено
несколько бактериоцинов, которые являются лантибиотиками. Лантибиотики – это
бактериальные полипептиды, в состав которых входят такие редкие тиоэфирные
аминокислоты, как лантионин и метиллантионин. Эти вещества имеют широкий
антимикробный спектр действия. По механизму биосинтеза лантибиотики можно
разделить на две группы: низины и субтилин. Механизм биологического действия
лантибиотиков связан с нарушением проницаемости бактериальных
цитоплазматических мембран. Нарушение мембранного потенциала инициируется
образованием пор, через которые проходят молекулы лантибиотиков.
Бактериоцины из группы лантибиотиков или
образующие их микроорганизмы также используются в пищевой промышленности для
консервации пищи.
Бактериоцины молочнокислых бактерий
представляет собой довольно гетерогенную группу бактериальных ингибиторов,
молекулярный вес которых колеблется в широких пределах (от нескольких тысяч Да
до сложных протеиновых структур, имеющих в своем составе липидный компонент).
На основании физико-химических свойств, аминокислотного состава, способов
выведения, а также антимикробного спектра действия бактериоцины разделяют на
три класса: I, II, III: класс I – лантибиотики, представляющие собой пептиды с
модифицированными аминокислотами (лантионин, метилллантионин); класс II –
небольшие (<10 кДа), относительно термоустойчивые немодифицированные
бактериоцины; класс III – большие, термолабильные белки.
Известны
бактериоцины, оказывающие антимикробный эффект за счет действия на клеточную
стенку путем индукции автолиза и деградации пептидогликана, при этом происходит
повреждение цитоплазматической мембраны за счет образования пор и увеличения ее
проницаемости, а также путем подавления синтеза белков, ДНК или РНК.
Бактериоцины не действуют на бактериоциногенные популяции, способные
осуществлять синтез гомологичных антибактериальных веществ. Адсорбция колицинов
на чувствительных клетках ведет к подавлению синтеза ДНК, РНК и белка.
Бактериоцины
осуществляют естественное предохранение пищевых продуктов, в том числе
полученных путем ферментации. Продуцирующие бактериоцины штаммы микроорганизмов,
в частности молочнокислые бактерии, или сами бактериоцины могут быть использованы
как природные консерванты пищевых продуктов. Задача состоит в том, чтобы оптимизировать
продуцирование бактериоцинов бактериями, повысить активность и стабильность
этих соединений, направленно получать бактериоцины с заданными свойствами.
Однако появление и селекция вариантов бактерий, устойчивых к бактериоцинам,
осложняет использование этих веществ в качестве пищевых консервантов.
Работа направлена на выделение
антибактериальных веществ белковой природы из микроорганизмов, находящихся на
поверхности свежих овощей, и изучению их свойств.
Для выделения и очистки препаратов бактериоцинов
часто используется метод хроматографии, который является очень трудоемким
процессом. Результаты исследования антимикробных свойств бактериоцинподобных
комплексов микроорганизмов, выделенных из овощей, представлены в таблице 1.
Таблица
1 – Антимикробные свойства бактериоцинподобных комплексов, синтезируемых
микроорганизмами овощей, и низина
|
Штамм
микроорганизмов |
Диаметр
зоны ингибирования, мм, для разных тест-культур |
||
|
E. coli В-6954 |
Bacillus fastidiosus B-5651 |
Bacillus subtilis
B-1325 |
|
|
Bacillus stratosphericus |
17,8±0,9 |
19,3±1,0 |
25,6±1,3 |
|
Bacillus subtilis |
20,5±1,0 |
21,0±1,0 |
17,7±0,9 |
|
Bacillus pumilus |
17,6±0,9 |
22,3±1,1 |
18,0±0,9 |
|
Bacillus endophyticus |
18,5±0,9 |
19,6±1,0 |
22,8±1,1 |
|
Низин |
25,1±1,3 |
21,0±1,0 |
19,4±1,0 |
Из
таблицы 1 следует, что бактериоцинподобные комплексы, синтезируемые всеми
изучаемыми микроорганизмами, обладают антимикробной активностью в отношении
таких тест-культур, как E. coli В-6954, Bacillus fastidiosus B-5651 и Bacillus
subtilis B-1325, аналогично
ранее выделенному и изученному бактериоцину низину.
Далее
исследовали невосприимчивость штамма-продуцента к собственным бактериоцинам.
Иммунитет штамма-продуцента к собственному бактериоцину определяют, используя в
качестве индиаторной культуры штамм-продуцент. Полученные результаты представлены
в таблице 2.
Таблица
2 – Изучение перекрестной чувствительности бактериоцинпродуцирующих
микроорганизмов, выделенных с поверхности овощей
|
Штамм-продуцент |
Штамм-индикатор (диаметр зоны
ингибирования, мм) |
|||
|
Bacillus stratosphericus |
Bacillus subtilis |
Bacillus pumilus |
Bacillus endophyticus |
|
|
Bacillus
stratosphericus |
0 |
0 |
0 |
0 |
|
Bacillus subtilis |
0 |
0 |
0 |
0 |
|
Bacillus pumilus |
0 |
0 |
0 |
0 |
|
Bacillus endophyticus |
0 |
0 |
0 |
0 |
Данные
таблицы 2 свидетельствуют о том, что все четыре изученных штамма
микроорганизмов, выделенных с поверхности овощей, являются устойчивыми как к
собственным ингибиторам, так и взаимно резистентными к синтезируемым веществам,
что свидетельствует о родстве продуцируемых субстанций.
Выявление
белковой природы антибактериальных субстанций, продуцируемых микроорганизмами,
выделенными из овощей, проводили с использованием метода электрофореза в
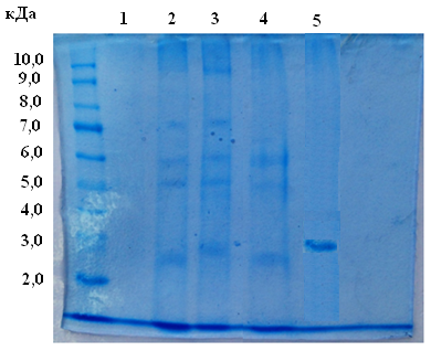
полиакриламидном геле. Полученные данные представлены на рисунке 1.

Рисунок 1 –
Результаты электрофореза в полиакриламидном геле: 1 – Bacillus stratosphericus, 2 – Bacillus subtilis, 3 – Bacillus pumilus, 4 – Bacillus
endophyticus, 5 – низин
Из рисунка 1 следует, что в культуральной жидкости
рассматриваемых штаммов микроорганизмов после концентрирования на полых
волокнах и центрифугирования содержатся белковые фракции с молекулярными
массами 3,0 (№1); 5,0 (№2); 6,0 (№3); 7,3 (№4) и 10,0 (№5) кДа, различающиеся
между собой химической природой и биологическими свойствами.
Таким образом, в ходе
проведения настоящих исследований выделили антибактериальные
вещества белковой природы, вырабатываемые бактериями.