І.С.Давиденко,
А.В.Гошовська
Буковинський
державний медичний університет (м. Чернівці, Україна)
МОРФОЛОГІЧНА ДІАГНОСТИКА ГОСТРОГО РЕСПІРАТОРНОГО
ДИСТРЕС-СИНДРОМУ В АКУШЕРСЬКІЙ ПРАКТИЦІ
Вступ. Гострий респіраторний
дистрес-синдром (гРДС) є найбільш тяжким варіантом перебігу гострого ушкодження
легень (по-інакшому - дифузного альвеолярного ушкодження) [1-3, 5] зі
смертністю понад 40% навіть при негайному наданні найсучаснішої медичної
допомоги [1,2,8]. Причинами гРДС можуть бути екзогенні чи ендогенні чинники
різної природи, які здатні уразити епітелій респіраторних відділів легень та
ендотелій мікроциркуляторного русла легеневої тканини [1,2,5]. У вагітних та
породіль гРДС розвивається з більшою вірогідністю і має, як правило, особливо
тяжкий перебіг [3]. гРДС може розвиватися також у новонароджених [1-3].
Кожен
рік у світі реєструється понад 1 млн спостережень гРДС [1,2]. Характерним є те, що гРДС діагностують
переважно в тих країнах, де високо розвинена медицина [1,2]. Це, а також
ситуація, яка склалася з діагностикою даної патології, у т.ч. і у вагітних, в
період епідемії грипу в Україні у 2009 році, дозволяють припустити, що реальна
кількість випадків гРДС є вищою, тож фактичні цифри у багатьох країнах, можливо,
є заниженими, причому скоріше з причин суб’єктивних, ніж об’єктивних. Отже є
необхідність в систематизованому викладі відомостей про макроскопічні та
мікроскопічні зміни легень при гРДС, що сприятиме уточненню безпосередньої
причини смерті від захворювань легень. Слід зазначити, що у міжнародній класифікації
хвороб (10-й перегляд) гРДС кодують: для дорослих - шифром J80,
для новонароджених - шифром P22.0.
Найбільш
характерною морфологічною рисою гРДС є те, що дифузно і одномоментно вражаються
обидві легені [1,2,5,6], і це кардинально відрізняє гРДС від класичних
запальних процесів у легенях, хоча механізми розвитку гРДС демонструють багато
ознак запального процесу [1,2 ].
гРДС
має свої морфологічні особливості залежно від причин його розвитку [2,5], а
також характеризується низкою нюансів, пов’язаних із віком хворих [4,5]. У
даній статті розглядаються тільки ті морфологічні ознаки гРДС, які властиві для
людей будь-якого віку, тобто існують незалежно від ступеня морфологічної та
функціональної зрілості легеневої тканини [7]. Особливості гРДС у новонароджених
є тією проблемою, яку слід розглядати окремо, але із залученням результатів даного
аналізу як базисної інформації.
Мета та завдання дослідження. Викласти для
діагностичних цілей в систематизованому вигляді основні відомості про макроскопічні
та мікроскопічні зміни легень при гострому респіраторному дистрес-синдромі у
вагітних та породіль з урахуванням морфологічних фаз цієї патології.
Матеріали та методи. Аналіз проведено
на основі автопсій, коли гРДС ставав безпосередньою причиною смерті (патологоанатомічні
та судово-медичні дослідження). Використані дані макроскопічних та
мікроскопічних досліджень на основі оглядової методики з гематоксиліном і
еозином.
Результати досліджень та їх обговорення. Згідно сучасних
уявлень [1,2,4] слід виділяти наступні морфологічні
фази розвитку гРДС:
·
Гостра
(ексудативна) фаза (перші 4-6 діб);
·
Підгостра
(проліферативна) фаза (з 4-6 по 21 добу);
·
Хронічна
(фібротична) фаза (після 21-ї доби, хоча перші прояви процесів фібротизації реєструються вже з 8-ї доби).
Нами
вивчені спостереження смертей переважно у перші дві фази. Опис третьої фази надається
головним чином за даними літератури.
ГОСТРА (ЕКСУДАТИВНА)
ФАЗА гРДС
Макроскопічні зміни. Характерним є
те, що одночасно дифузно уражуються обидві легені (Рис.1). Відмічається червоно-синій
колір вісцеральної плеври з осередками геморагій. Легені тяжкі, на дотик
безповітряні. Поверхня розрізу легеневої тканини яскраво-червона (Рис.1, А), з
поверхні розрізу стікає слабкопіниста або непіниста рідина (помірно). Можуть
бути емфізематозні ділянки (Рис.1, Б), які пов’язані з ураженням респіраторних
бронхіол або з ятрогенними чинниками (штучна вентиляція легень).
Мікроскопічні зміни. Відмічається
значне повнокров’я, розширення капілярів. Часто спостерігаються
фібриново-тромбоцитарні мікротромби. Іноді знаходять мегакаріоцити в капілярах.
Завжди знаходять інтракапілярну агрегацію поліморфноядерних лейкоцитів
(особливо значну при сепсисі чи травмі). Має місце нерівномірний інтерстиційний
та альвеолярний набряк, лейкоцитарна інфільтрація стінок респіраторних відділів
легень, внутрішньоальвеолярні крововиливи. Наведені вище ознаки притаманні,
гРДС, але можуть зустрітися при іншій патології легень, тому вони мають
допоміжне діагностичне значення.
Проявами,
які патогномонічні для гРДС, є наступні: розширення альвеолярних ходів при
колапсі решти паренхіми; альвеолярні мішечки або колабовані, або навпаки - розширені
ексудатом; поширена денудація (оголення епітеліальної поверхні) альвеолярних
ходів та альвеолярних мішечків (поширений некроз альвеолоцитів І-го типу);
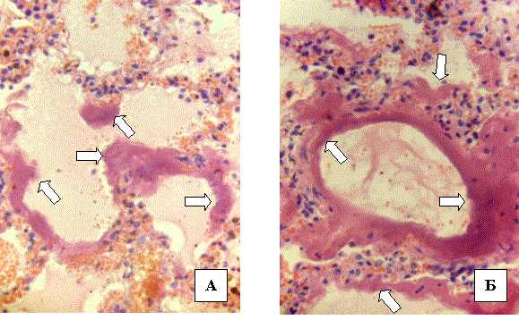
присутні так звані «гіалінові мембрани» (Рис.2), які найбільш виражені впродовж
альвеолярних ходів (Рис.2 А), звідки вони переходять на стінку альвеол і
поширюються через альвеолярні пори. Іноді гіалінові мембрани повністю вкривають
денудовану поверхню респіраторних відділів (Рис.2 Б).
Варто
вказати на те, що гіалінові мембрани містять ущільнений фібрин, протеїни
сироватки крові, тканинний детрит, сурфактант, імуноглобуліни, комплемент,
фібронектин [1,2 ].
Слід
також відмітити, що альвеолоцити ІІ-го типу (клітини кубічної форми з темною
цитоплазмою) більш стійкі до ураження, вони згодом стають джерелом регенерації
епітелію респіраторних відділів легень [1,2,5-7].
ПІДГОСТРА
(ПРОЛІФЕРАТИВНА) ФАЗА гРДС
Макроскопічні зміни. Легені
залишаються тяжкими (Рис.3). Поверхня розрізу паренхіми стає червоно-сірою і
набуває характерного блиску по типу слизької текстури, що віддзеркалює процеси
новоутворення фіброзної тканини (Рис.3 Б). З поверхні розрізу рідина, як
правило, не стікає. Однорідні ділянки чергуються з ділянками повітряних
розширень до 1-2 мм (Рис.3 Б)., добре підкреслених завдяки сусідній
міксоматоїдній новоутвореній сполучній тканині.
Мікроскопічні зміни. Відмічається
бурхлива проліферація (збільшення числа) пневмоцитів ІІ-го типу на поверхні
альвеол та респіраторних бронхіол. Вони формують характерні «ланцюги» (Рис.4 А)
містять великі ядра пухирчастого вигляду з помітними ядерцями. Притамання
ядерна атипія (Рис. 4 Б), яка особливо виражена при дії цитотоксичних
агентів, при радіоактивному ураженні та при вірусних інфекціях. Така ядерна
атипія може симулювати рак, тобто призводити до гіпердіагностики пухлинного
процесу. Відмічається сквамозна диференціація епітеліоцитів. Епітелій, який
розмножується, поширюється і на бронхіоли.
У
стінках альвеол проліферують фібробласти і міофібробласти, які також мігрують у
внутрішньоальвеолярний ексудат. Згодом фібробласти конвертують ексудат у
грануляційну тканину, яка пізніше (у третю фазу) розвинеться у фіброзну
тканину. Епітеліальні клітини також мігрують в грануляційну тканину. Найбільше
фіброз виражений в альвеолярних ходах та респіраторних бронхіолах.
Кільцеподібний фіброз альвеолярних ходів та респіраторних бронхіол у разі
накопичення в них нейтрофілів може симулювати мікроабсцеси, а накопичення
еритроцитів – мальформації кровоносних судин, що може призвести до
діагностичних помилок. Об’єм капілярів знижується у порівнянні з ексудативною
фазою.
ХРОНІЧНА (ФІБРОТИЧНА) ФАЗА
гРДС
Макроскопічні зміни. На вісцеральній
плеврі відмічаються вузлові ущільнення. У паренхімі має місце або дифузний
фіброз або нерегулярні рубці з утворенням мікрокістозних повітряних просторів
діаметром 1 мм і більше. Часто розвивається інтерстиційна емфізема. Периферійні
бронхи розширені (Рис. 5 А) – особливо ближче до плеври (тракційні
бронхоектази). Фіброкістозні зміни найбільше виражені в нижніх відділах легень.
Мікроскопічні зміни. Альвеолярні
стінки потовщені за рахунок розростання колагену. Шнуроподібні та зіркоподібні
рубці призводять до розширення альвеолярних ходів, утворюються фіброзні
мікрокісти круглястої форми подібно до медових стільників, але менших розмірів
(Рис. 5 Б). Відмічається епітеліальна гіперплазія. Має місце збільшення числа макрофагів
та інтерстиційних лімфоцитів. Розвивається ремоделювання кровоносних судин з
утворенням незвичних мальформацій, що симулюють природжену судинну патологію
легень.
Наведений
аналіз підкреслює те, що пацієнти, яким вдалося спасти життя і вивести їх на
третю морфологічну фазу гРДС, не відносяться до людей, які повністю видужали,
адже морфологічні зміни, які відмічаються в фібротичну фазу гРДС, є в основному
такими, що залишаються на все життя. Ці морфологічні зміни згодом функціонально
будуть проявлятися дихальною недостатністю з очевидною перспективою розвитку у
подальшому правошлуночкової недостатності серця.
Висновок. Морфологічна
діагностика гострого респіраторного дистрес-синдрому у вагітних та породіль є
складним завданням, яка вимагає спеціальної теоретичної та практичної
підготовки морфолога, вона повинна проводитися з урахуванням морфологічних фаз
цієї патології, а також на основі обов’язкового поєднання як макроскопічних так
і мікроскопічних методів дослідження.
Література.
1. Acute
respiratory distress syndrome / [Albertine K.H.,
Anzueto A., Bernard G.R. et al.] - New York, Basel: Marcel Dekker,
Inc. – 2005. - 591 p.
2. Acute
respiratory distress syndrome / [Anzueto A.,
Baron R.M., Brochard L. et al.] – London: Informa
Healthcare. – 2010. - 478 p.
3. Acute respiratory distress syndrome
in pregnancy and
the puerperium: causes,
courses, and outcomes / [ Catanzarite V., Willms
D., Wong D. et al. ] – Obstet. Gynecol. – 2001. – Vol.97. – P.760–764.
4. Allen T.C., Cagle P.T. Frozen Section Library: Lung / T.C.Allen //
Houston: Springer Science Business Media. – 2009. – 138 p.
5. Diffuse Lung Diseases: Clinical Features, Pathology / [ Cancellieri A., Dalpiaz G., Maffessanti M. et al. ] – Milan: Springer-Verlag
Italia. – 2004. - 237 p.
6. Houser S., Balis U.J., Mark E. J. Lung pathology: a consultative atlas
// S.Houser. - New Jersey: Humana Press Inc. – 2005. – 602 p.
7. McDonald J.A. Lung Growth and Development // J.A. McDonald. - London: Informa Healthcare. – 1997. - 739 p.
8. Respiratory Emergencies / [ Ed. By S.Nava, T.Velte
. ] – London: European Respiratory Society. - 2006. – 263 p.

Рис.1. Гострий респіраторний
дистрес-синдром, ексудативна фаза. Патологоанатомічне дослідження. Макроскопічна
картина. А) Вигляд легені з поверхні з кількома розрізами (для бактеріологічних
та вірусологічних досліджень – вказані стрілками). Б) Вигляд легені з поверхні,
емфізематозними ділянками (білуваті осередки – вказані стрілками).

Рис.2. Гострий респіраторний
дистрес-синдром, ексудативна фаза. Мікроскопічна картина. Патологоанатомічне
дослідження. Гіалінові мембрани вказані стрілками. Гематоксилін і еозин. Об.20х.
Ок.10х.
Б А
Рис.3. Гострий респіраторний
дистрес-синдром, проліферативна фаза. Макроскопічна картина. Судово-медичне
дослідження (з люб’язного дозволу доцента І.Г.Савки). А) Вигляд поверхні легень
(плевра). Б) Поверхня розрізу легеневої тканини. Ділянки окремих повітряних
розширень вказані стрілками.

Рис.4. Гострий респіраторний дистрес-синдром,
проліферативна фаза. Мікроскопічна картина. Патологоанатомічне дослідження . А)
Проліферуючі пневмоцити ІІ-го типу у вигляді темних «ланцюгів» - вказані
стрілками. Б) Атиповий багатоядерний пневмоцит з виразною ядерною атипією -
вказаний стрілкою. Гематоксилін і еозин. Об.20х. Ок.10х.
Рис.5. Гострий респіраторний
дистрес-синдром, фібротична фаза. Патологоанатомічне дослідження . А)
Макроскопічна картина. Розширення периферійних бронхів (тракційні бронхоектази)
– вказані стрілками. Б) Мікроскопічна картина. Мікрокістозні повітряні простори
- вказані стрілками. Гематоксилін і
еозин. Об.3,5х. Ок.10х.